这样的切口疝应该怎么做?
病例信息
【患者信息】:患者男性,56岁,因“右侧腰背部包块再次突出伴疼痛1年”入院,一般情况可,无其它特殊。
【主诉】:右侧腰背部包块再次突出伴疼痛1年
【现病史及既往史】:患者6年前因输尿管手术才有右侧腰部切口,术后切口局部膨出,2019年2月份行右侧腰部切口疝修补术。半年后腰部再次突出一小包块,后予以网塞修补后好转,1年前腰部包块逐渐明显,伴间断腰部疼痛,2月前在因腰椎压缩骨折行内固定术。
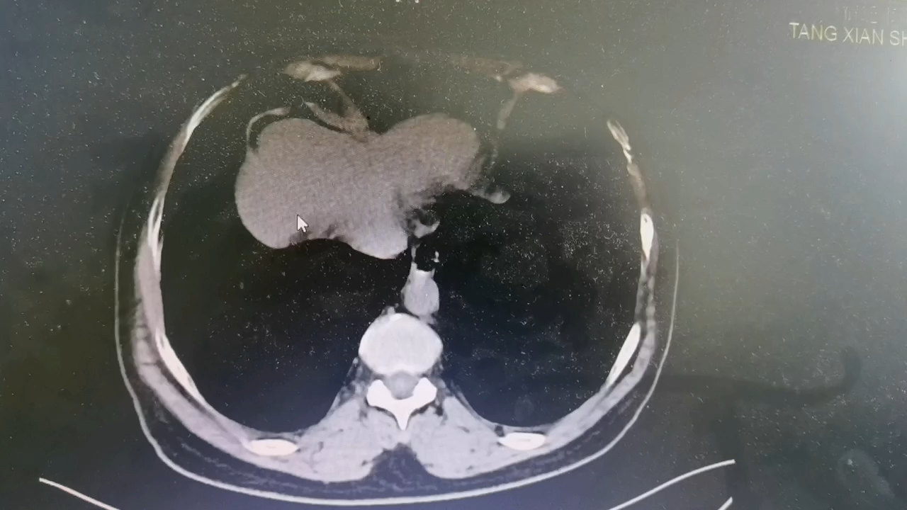
【检查】:CT检查提示右侧腰部切口疝复发。
【临床诊断】:右侧腰部切口疝
【治疗经过及结果】:







欢迎各位同道提供自己的治疗方案,2日后汇报我们的治疗方案。

患者采用健侧卧位,原计划做TEP,术中发现原先手术IPOM植入的补片和腹膜黏连紧密,腹膜前间隙难以分离进入,改行TAPP,下面是术中腹腔镜的情况。术中发现原先的补片已前腹壁以为,补片局部向外突出,形成了疝,腰部补片没有覆盖的区域也形成了疝。

术中觉得原先补片不取出,采用补片桥接,并采用开放切口行ONLAY修补,采用双层补片修补。开放切口只有图片共参考。

才原切口稍延长,游离皮瓣。

游离皮瓣

取掉之前的网塞,并关闭腹壁切口,切口和腹膜前相通,腹壁肌肉萎缩,腹壁软化。

腹膜前冲入气腹后可见局部膨出明显。


采用两块20*15补片桥接,补片采用多点固定,上缘超过2根肋骨,下缘固定于髂骨骨膜,后缘接近中线,前缘治锁骨中心内侧,并且补片用空心结和腹壁多点固定。最后一幅图是腹腔冲洗气腹后,可见局部已不在膨出,修补效果可靠。

腹腔内缝合桥接补片。
欢迎同行指导,对术中操作和手术方案给予讨论,指导。
















































