典型病例加精彩影像
患者性别:女
患者年龄:54岁
简要病史:反复咳嗽、咳脓痰40余年,气喘10年,加剧2周。
体格检查:SpO2:72%,双中下肺闻及中小湿啰音。
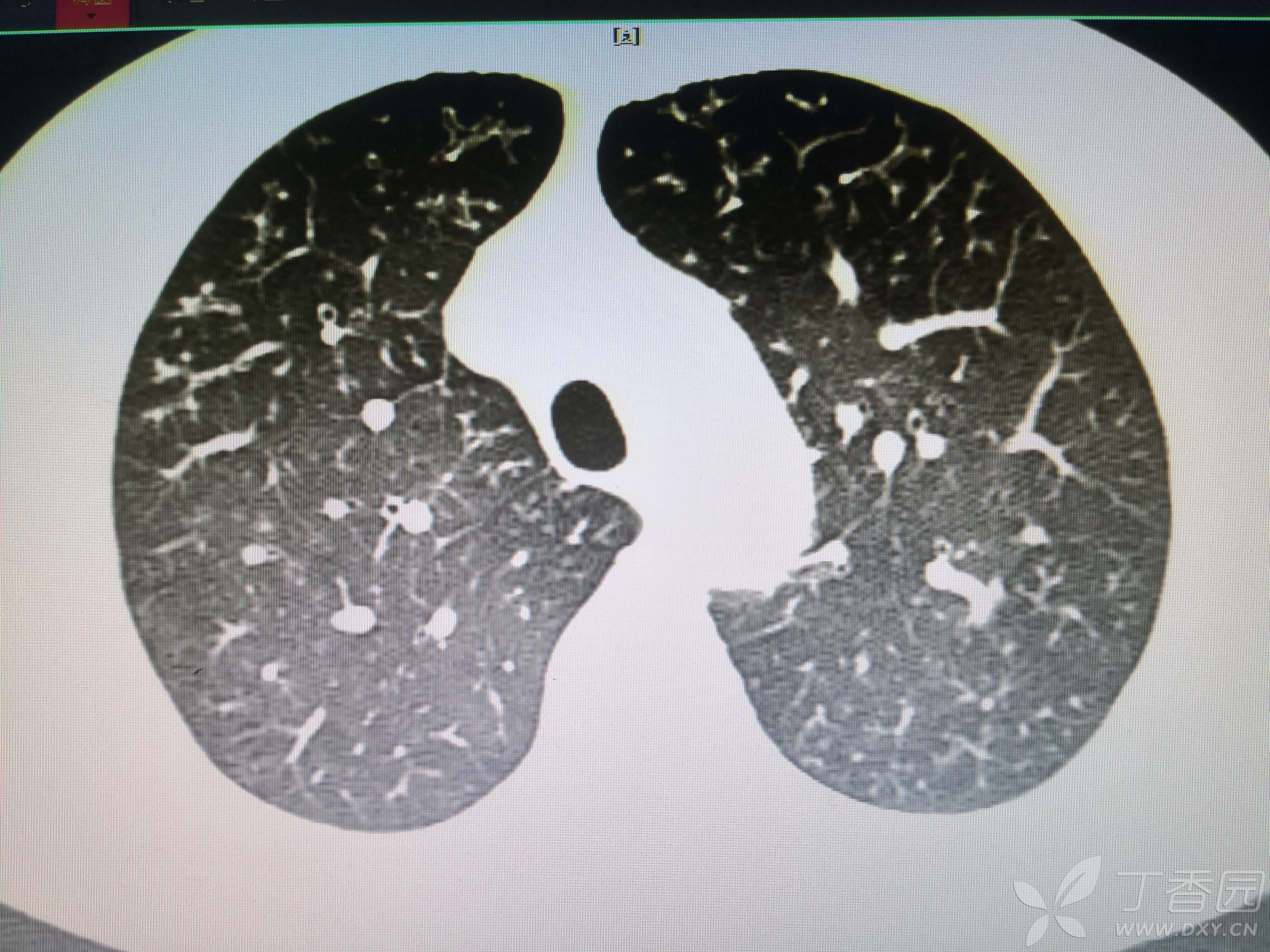
辅助检查:见图
临床诊断:支气管扩张并感染
治疗经过:哌拉西林他坐巴坦联合左氧氟沙星抗感染










本例诊断欢迎讨论
患者性别:女
患者年龄:54岁
简要病史:反复咳嗽、咳脓痰40余年,气喘10年,加剧2周。
体格检查:SpO2:72%,双中下肺闻及中小湿啰音。
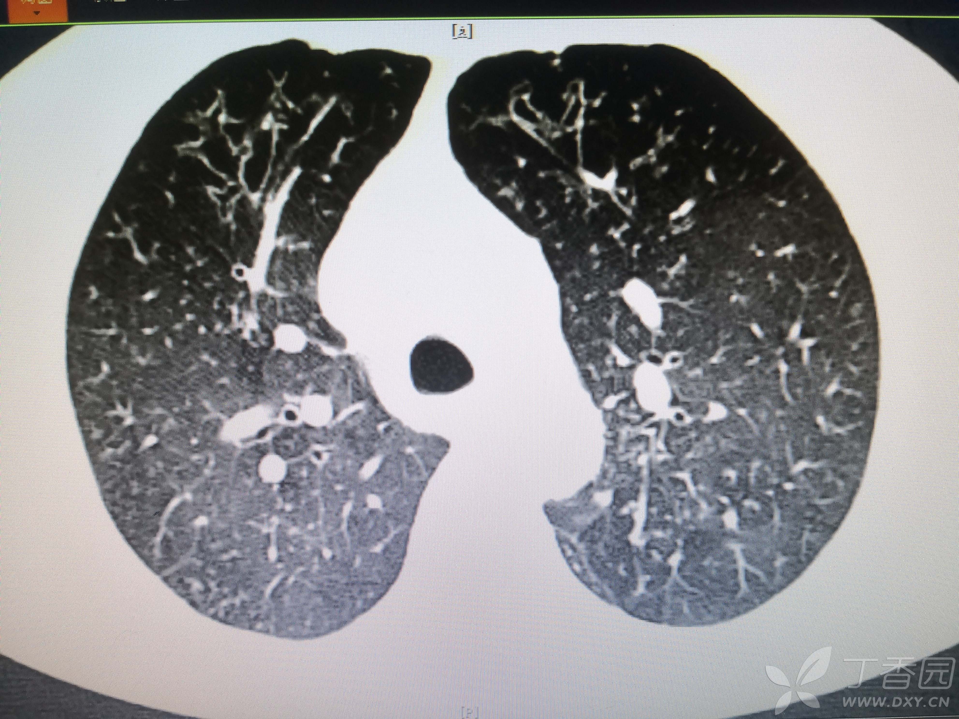
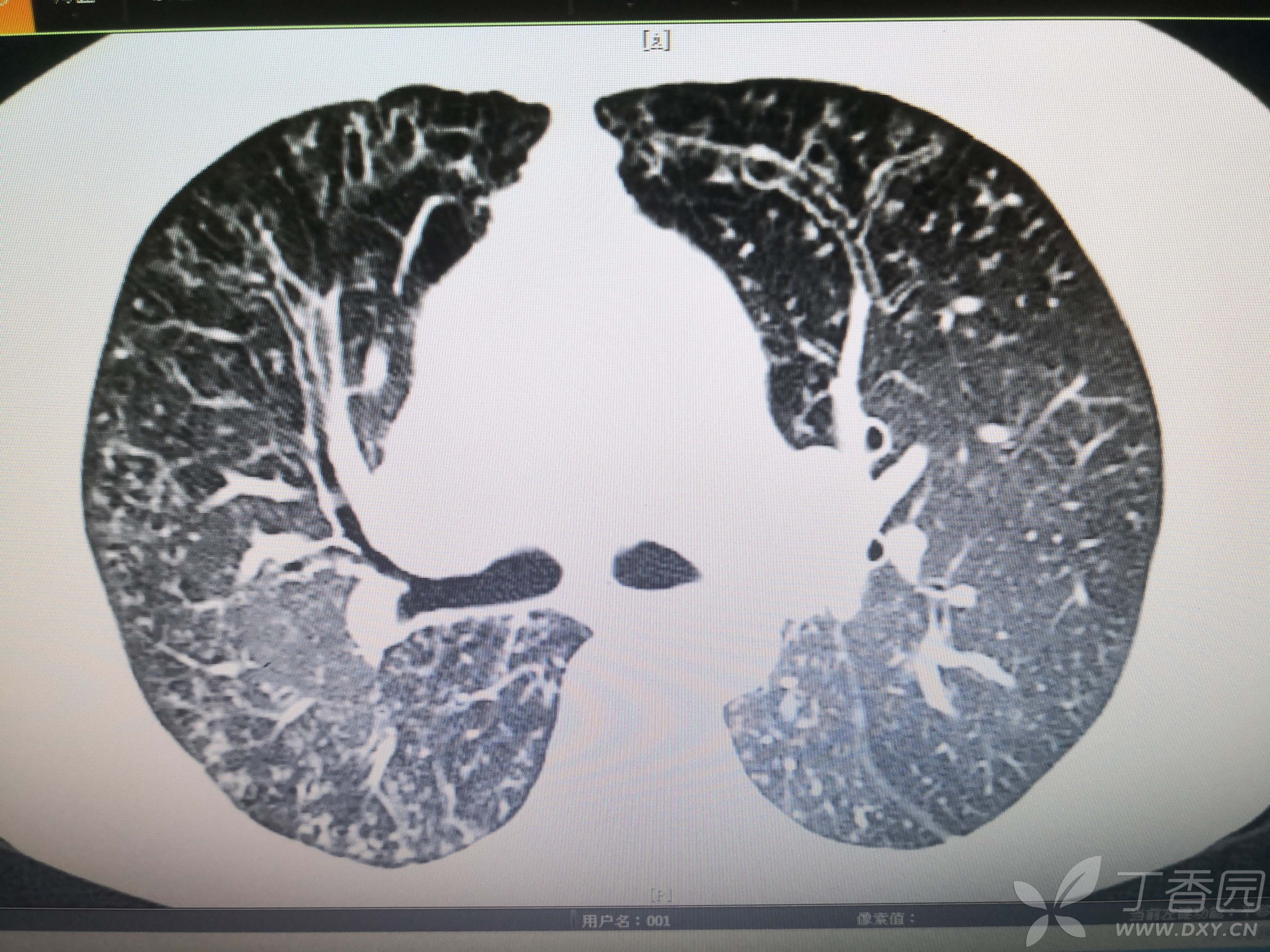
辅助检查:见图
临床诊断:支气管扩张并感染
治疗经过:哌拉西林他坐巴坦联合左氧氟沙星抗感染










本例诊断欢迎讨论
