<?xml version="1.0" encoding="utf-8"?>
<rss xmlns:rdf="http://www.w3.org/1999/02/22-rdf-syntax-ns#" xmlns:dc="http://purl.org/dc/elements/1.1/" xmlns:taxo="http://purl.org/rss/1.0/modules/taxonomy/" version="2.0">
   <channel>
      <atom:link ref = "self" xmlns:atom = "http://www.w3.org/2005/Atom" href = 'https://www.dxy.cn/atom.xml' type = "application/rss+xml" ></atom:link>
      <title>丁香园最新文章</title>
      <link><![CDATA[https://www.dxy.cn/atom.xml]]></link>
      <description>丁香园最新文章</description>
      <copyright>Copyright © 2000-2026 DXY All Rights Reserved.</copyright>
      <lastBuildDate>Fri Apr 17 07:12:55 CST 2026</lastBuildDate>
      <generator>2.0</generator>
      	        <item>
         <title><![CDATA[【10x Genomics 网络研讨会】全新 Chromium Flex Apex 助力大规模单细胞研究，突破 FFPE 与复杂样本限制]]></title>
         <link><![CDATA[http://oncol.dxy.cn/article/958685]]></link>
         <guid><![CDATA[http://oncol.dxy.cn/article/958685]]></guid>
		 		 <category><![CDATA[非医学时间app]]></category>
		 		 		 <enclosure url="https://img1.dxycdn.com/p/s10/2026/0306/546/4226139968643189202.jpg" />
		 		 
         <pubDate>2026-03-06 14:57:12.0</pubDate>
             <description>
						<![CDATA[   
    			<p style="text-align: center;"><img alt="2.jpg" src="https://img1.dxycdn.com/p/s10/2026/0306/207/2342232299613189202.jpg!w640" title=""/></p><p>那些潜伏在暗处的未知疾病驱动因子，那些导致耐药性的稀有细胞，这些不仅是科研的挑战，更是样本等待被揭示的真相。每个样本，都藏着一段未被讲述的故事。这一次，让全新的 Flex Apex 单细胞技术带您探寻生命真相。依托卓越的 Chromium 单细胞技术，我们为您<strong>提供灵活的样本解析方案，兼容 FFPE、新鲜、冷冻或固定样本</strong>，这不只是扩展了研究潜能，更是对单细胞领域的焕新定义，能带您直击背后的核心生物学机制，让您的每一个实验数据都掷地有声。同时，基于微孔板的多重分析技术<strong>解锁了前所未有的通量，能够以更高效的工作流程实现更大规模的研究</strong>。欢迎注册参加本次新品发布网络研讨会，您将获得全新 Flex Apex 单细胞技术的更多信息：<br/></p><ul class=" list-paddingleft-2"><li><p><strong>灵活分析更多样本类型：</strong>能够从新鲜、冷冻和固定样本（包括 FFPE 样本）中，以更少的测序量检测到更多的基因。并能根据您的时间安排进行样本固定、分批和上机运行。</p></li><li><p><strong>颠覆性的检测规模：</strong>通过便捷的基于微孔板的多重检测技术，大幅提高细胞和样本的处理通量，每周处理多达上亿细胞。</p></li><li><p><strong>按需使用试剂的灵活性：</strong>按照您自己的节奏扩展实验规模，让您按需使用试剂，支持仅运行微孔板的一部分。</p></li><li><p><strong>深度的多组学分析：</strong>通过捕获CRISPR向导RNA、细胞表面蛋白或细胞内蛋白，进行全面的综合分析。</p></li></ul><p>本次研讨会大概 45 分钟，随后会有 15 分钟的答疑环节。为了保证参会的效果，希望您提前接入会议。</p><h3 style="text-align: center;"><strong>☼ 研讨会时间：2026 年 3 月 12 日｜下午 3:00 | 北京时间</strong></h3><h3 style="text-align: center;"><strong>▶ <a href="https://10xgenomics.zoom.us/webinar/register/9717727004706/WN_qnXYoO0AQkaKR_1CcRtWvw" target="_self">扫描下方二维码或点此链接注册参会</a></strong></h3><p style="text-align: center;"><img alt="10x注册二维码.png" border="0" height="300" src="https://img1.dxycdn.com/p/s10/2026/0306/690/4072550879133189202.png!w640" style="width: 300.0px;height: 300.0px;" title="10x注册二维码.png" vspace="0" width="300"/></p><p style="text-align: center;"><img alt="11.png" src="https://img1.dxycdn.com/p/s10/2026/0306/801/2323629175833189202.png!w640" title=""/></p><ul class=" list-paddingleft-2"><p><br/></p><p><br/></p></ul>              ]]>
			         	</description>	 
      </item>
	        <item>
         <title><![CDATA[肾癌病例汇报]]></title>
         <link><![CDATA[http://oncol.dxy.cn/article/949609]]></link>
         <guid><![CDATA[http://oncol.dxy.cn/article/949609]]></guid>
		 		 <category><![CDATA[非医学时间app]]></category>
		 		 <category><![CDATA[硝苯地平]]></category>
		 		 <category><![CDATA[蒙脱石散]]></category>
		 		 		 <enclosure url="https://img1.dxycdn.com/p/s10/2025/1127/088/8699503496884893991.png" />
		 		 
         <pubDate>2025-11-28 16:59:43.0</pubDate>
             <description>
						<![CDATA[   
    			<p><strong>患者基线情况</strong></p><p>性别：男 ，年龄：77 岁<br/>主诉：查体发现右肾占位 7 天<br/>现病史：患者于 2024 年 5 月 18 日行腹部 CT 平扫显示，右肾上级占位，密度欠均匀，大小约 5.5X7.3cm，行强化 CT 示右肾占位，考虑透明细胞 ca 可能性大，双肺多发结节，不除外转移。患者无腰背部胀痛，无血尿，无尿频，尿急，尿痛等症状，无排尿困难，无发热等症状，未行特殊治疗，患者为求进一步诊治，来我院门诊就诊，门诊以「右肾肿瘤」 收入院。<br/>既往病史：高血压病史 5 年余，口服硝苯地平等药物治疗。抑郁病史 4 年余。</p><p style="text-align: center;"><img src="https://img1.dxycdn.com/p/s10/2025/1127/032/8007850209964793991.png!w640" alt="图片1.png"/></p><p><strong><br/></strong></p><p><strong>ECT 判断分肾功能</strong></p><p style="text-align: center;"><img src="https://img1.dxycdn.com/p/s10/2025/1127/313/8860569062774793991.png!w640" alt="图片2.png"/></p><p><strong><br/></strong></p><p><strong>诊断</strong></p><p>全身评价：胸部 CT 示双肺多发转移，转移不除外；ECT 肾功能显像示右肾功能中度受损</p><p>临床诊断：右肾肿瘤；肺转移病灶</p><p>临床分期：T2N0M1 IV期</p><p><strong><br/></strong></p><p><strong>治疗</strong></p><p>1. 腹腔镜右肾根治性切除术</p><p style="text-align: center;"><img src="https://img1.dxycdn.com/p/s10/2025/1127/691/6102225915395793991.png!w640" alt="图片3.png"/></p><p>（右肾) 肾细胞癌 , 结合免疫组化 , 考虑为透明细胞性肾细胞癌，WHO/ISUP 分级 G3 级，肿物切面积 7.5*6.5 cm, 肿瘤侵及肾窦脂肪组织，未查见明确肾被膜及肾盂侵犯，未查见明确脉管内癌栓 , 输尿管断端及肾门血管断端未查见癌。</p><p>2. 患者属于低危，国内指南推荐单靶治疗一线治疗，给予培唑帕尼靶向药物口服治疗</p><p>2024.6.16 给与培唑帕尼 800mg qd 治疗，患者腹泻超 10 次 / 天，伴随高血压，考虑到患者基线高血压情况，重点对腹泻进行应对。</p><p>3.不良反应处理</p><p>2024 年 6.25 开始减量至 600mg qd，同时服用蒙脱石散，腹泻仍 7-8 次，属于 3 级 AE。</p><p>Q：患者表示难以忍受，无法正常生活。此时是维持治疗方案还是更换治疗方案？</p><p><strong><br/></strong></p><p><strong>一线治疗不耐受后换药再次治疗应视为二线治疗</strong></p><p>肿瘤二线治疗是在初始治疗（一线治疗）失败、停止工作或出现不耐受的副作用后对肿瘤病症的进一步治疗。</p><p>诊断后用于治疗癌症的初始治疗称为一线治疗，一线治疗可以包括一种以上的治疗方法。</p><p>二线或后线治疗（三线、四线等）可能出于几个不同的原因：</p><ul class=" list-paddingleft-2" style="list-style-type: disc;"><li><p>一线治疗无效</p></li><li><p>一线治疗有部分疗效，但后续逐步耐受失效</p></li><li><p>一线治疗有无法耐受的副作用</p></li><li><p>一种新的治疗方法似乎比目前的治疗方法更有效。</p></li></ul><p><strong>CONCEPT 研究：随机双盲对照多中心 Ⅲ 期注册临床研究</strong></p><p><img src="https://img1.dxycdn.com/p/s10/2025/1127/745/4249741415067793991.png!w640" alt="图片4.png"/></p><p><strong><br/></strong></p><p><strong>伏罗尼布单药 OS 超过 30 个月</strong></p><p><img src="https://img1.dxycdn.com/p/s10/2025/1127/423/6545937975108793991.png!w640" alt="图片5.png"/></p><p>不良反应不耐受也是治疗失败，可以考虑更换治疗方案。</p><p>指南推荐伏罗尼布+依维莫司治疗，考虑患者培唑帕尼一线不良反应不耐受，结合研究伏罗尼布单药安全性比双靶联合耐受性更好，同时经济性更好，与患者充分沟通之后选择伏罗尼布单药序贯治疗。</p><p><strong><br/></strong></p><p><strong>2024 年 10 月复查胸腹 CT</strong></p><p>右肾切除术后态，局部低密度与肝脏及右肾上腺分界不清，请结合临床</p><p>双肺多发结节及肿块，纵隔肿大淋巴结，考虑转移支气管炎</p><p>心脏增大，心包积液，冠状动脉钙化左肾囊肿可能，请结合超声左肾周桥隔增厚</p><p style="text-align: center;"><img src="https://img1.dxycdn.com/p/s10/2025/1127/710/6560172150039793991.png!w640" alt="图片6.png"/></p><p style="text-align: center;"><img src="https://img1.dxycdn.com/p/s10/2025/1127/954/2766769379981893991.gif!w640" alt="MyVideo_1.gif"/></p><p><strong><br/></strong></p><p><strong>病例小结</strong></p><p><strong>2024 年 5.18 体检发现右肾肿物，同月行右肾根治性切除术。</strong></p><ul class=" list-paddingleft-2" style="list-style-type: disc;"><li><p>77 岁，男性患者，2024 年 5 月患者体检发现右肾肿物，双肺结节，不排除转移。</p></li><li><p>行右肾根治性切除术，术后病理诊断结果为：右肾透明细胞癌，WHO/ISUP 分级 G3 级，肿物切面积 7.5*6.5 cm, 肿瘤侵及肾窦脂肪组织。</p></li></ul><p><strong>2024.6-7 月患者一线服用培唑帕尼</strong></p><ul class=" list-paddingleft-2" style="list-style-type: disc;"><li><p>2024.6.11 给与培唑帕尼 800mg qd 治疗，患者腹泻超 10 次 / 天，高血压。</p></li><li><p>6.25 开始减量至 600mg qd，同时服用蒙脱石散，腹泻仍 7-8 次，属于 3 级 AE。</p></li></ul><p><strong>2024.7.12-10.13 换用伏罗尼布单药</strong></p><ul class=" list-paddingleft-2" style="list-style-type: disc;"><li><p>2024.7.13 开始服用伏罗尼布，10.13 复查 CT，双肺多发结节，大者位于右肺下叶，长径约 3.8cm，纵隔内见肿大淋巴结，长径约 3.7cm。</p></li></ul><p><strong>2024.10.13-2025.2.27 继续伏罗尼布单药</strong></p><ul class=" list-paddingleft-2" style="list-style-type: disc;"><li><p>2025.2.27 复查 CT，右肺下叶结节 2.1cm，纵隔淋巴结 3.7cm。</p></li><li><p>安全性：高血压较前无明显变化，无腹泻，头发变白。</p></li><li><p>评估 pr</p></li></ul><p><strong>2025.5 月</strong></p><ul class=" list-paddingleft-2" style="list-style-type: disc;"><li><p>待复查</p></li></ul><p><br/></p><p><strong>病例总结和思考</strong></p><p>1. 该例患者为初诊的晚期肾癌，术后给予培唑帕尼 800mg qd 靶向治疗，患者高血压，同时腹泻超 10 次 / 天，减小剂量至 600mg qd 腹泻仍达 7-8 次 / 天，属于三级 AE，患者无法忍受，更换伏罗尼布单药。</p><p>2. 伏罗尼布单药安全性良好，患者更易耐受，CONCEPT 研究伏罗尼布单药组因不良反应永久停药比例仅有 3%；该病例患者更换伏罗尼布单药之后高血压较基线无变化，无腹泻，但出现头发变白。CONCEPT 研究伏罗尼布单药组 OS 超过 30 个月，该患者应用伏罗尼布单药已 10 月余，疗效评估 PR，5 月底待复查。</p><p>3. 对于一般状态良好的晚期肾癌患者，CN 联合靶向药物仍是可选择的治疗方案。</p>              ]]>
			         	</description>	 
      </item>
	        <item>
         <title><![CDATA[病例-多药序贯病例]]></title>
         <link><![CDATA[http://oncol.dxy.cn/article/949590]]></link>
         <guid><![CDATA[http://oncol.dxy.cn/article/949590]]></guid>
		 		 <category><![CDATA[非医学时间app]]></category>
		 		 		 <enclosure url="https://img1.dxycdn.com/p/s10/2025/1127/932/8463883913161593991.png" />
		 		 
         <pubDate>2025-11-27 15:54:56.0</pubDate>
             <description>
						<![CDATA[   
    			<p>患者：贾XX，男，39 岁。<br/>主诉：左肾癌术后 2 年余。<br/>现病史：患者于 2 年余因血尿至郑大一附院就诊，经完善检查诊断为「左肾肿瘤」，后于 2020 年 8 月 28 日行全麻下行「腹腔镜左肾根治性切除术」，术后病理示：（左肾切除标本）肾细胞癌，结合形态及免疫组化，较符合乳头状肾细胞癌，II 型。术后口服「培唑帕尼」治疗，10 个月后因腹泻、高血压，自行停药。复查 CT 示：左肺上极及右肺中叶小结节，左肺上极小结节较前密度稍高。今为进一步治疗来我院就诊，门诊以「左肾癌术后腹膜后淋巴结转移」为诊断收入院。<br/>既往史、个人史、家族史：均余无特殊。</p><p style="text-align: center;"><img src="https://img1.dxycdn.com/p/s10/2025/1127/361/2998870009591493991.png!w640" alt="图片1.png"/></p><p style="text-align: center;"><img src="https://img1.dxycdn.com/p/s10/2025/1127/180/0464479074258493991.png!w640" alt="图片2.png"/></p><p style="text-align: center;"><img src="https://img1.dxycdn.com/p/s10/2025/1127/283/2135619484388493991.png!w640" alt="图片3.png"/></p><p><strong>诊断</strong></p><p>考虑为：左肾癌术后肺转移（T1N1M1）</p><ul class=" list-paddingleft-2" style="list-style-type: disc;"><li><p>T1：术前肿瘤最大径 3cm</p></li><li><p>N1：肾门淋巴结阳性</p></li><li><p>M1：左肺结节</p></li></ul><p>病人暂不考虑手术切除肺部病灶</p><ul class=" list-paddingleft-2" style="list-style-type: disc;"><li><p>双肺多发结节</p></li><li><p>可疑结节直径较小</p></li></ul><p>给予阿昔替尼联合特瑞普利单抗治疗</p><p><strong>影像学检查</strong></p><p>2023-05-03：</p><p style="text-align: center;"><img src="https://img1.dxycdn.com/p/s10/2025/1127/873/8467094784849493991.png!w640" style=""/></p><p style="text-align: center;"><img src="https://img1.dxycdn.com/p/s10/2025/1127/898/0806001252849493991.png!w640" style=""/></p><p>2023-08-01：</p><p style="text-align: center;"><img src="https://img1.dxycdn.com/p/s10/2025/1127/401/4414905288679493991.png!w640" style=""/></p><p style="text-align: center;"><img src="https://img1.dxycdn.com/p/s10/2025/1127/518/0040702795679493991.png!w640" style=""/></p><p>2023-11-08：</p><p style="text-align: center;"><img src="https://img1.dxycdn.com/p/s10/2025/1127/956/2572214705899493991.png!w640" style=""/></p><p style="text-align: center;"><img src="https://img1.dxycdn.com/p/s10/2025/1127/211/8402080494899493991.png!w640" style=""/></p><p>2024-02-28：</p><p style="text-align: center;"><img src="https://img1.dxycdn.com/p/s10/2025/1127/430/8883128520620593991.png!w640" style=""/></p><p style="text-align: center;"><img src="https://img1.dxycdn.com/p/s10/2025/1127/190/4285047479520593991.png!w640" style=""/></p><p><strong><br/></strong>2024-05-17：<br/></p><p style="text-align: center;"><img src="https://img1.dxycdn.com/p/s10/2025/1127/396/2325332423540593991.png!w640" style=""/></p><p style="text-align: center;"><img src="https://img1.dxycdn.com/p/s10/2025/1127/186/8296514003540593991.png!w640" style=""/></p><p><strong>治疗方案变更</strong></p><p>靶免联合治疗期间</p><ul class=" list-paddingleft-2" style="list-style-type: disc;"><li><p>出现蛋白尿（2023.08）</p></li><li><p>手足综合征及高血压</p></li></ul><p>更换为伏罗尼布继续治疗（2024.05）</p><p><strong>治疗过程</strong></p><p><img src="https://img1.dxycdn.com/p/s10/2025/1127/925/4412208325611593991.png!w640" alt="图片15.png"/></p><p><strong>问题探讨</strong></p><p>1. 靶免联合治疗期间出现蛋白尿（2023.08）</p><ul class=" list-paddingleft-2" style="list-style-type: disc;"><li><p>是否需减量或停药？</p></li><li><p>长期蛋白尿是否影响肾功能？是否是较为严重的问题？</p></li></ul><p>2. 病情稳定近两年（2022.08-2024.05）</p><ul class=" list-paddingleft-2" style="list-style-type: disc;"><li><p>能否停用 TKI，单用免疫维持？</p></li><li><p>复查 PET-CT 后，肺部单发病灶放疗？</p></li></ul>              ]]>
			         	</description>	 
      </item>
	        <item>
         <title><![CDATA[晚期肾癌病例]]></title>
         <link><![CDATA[http://oncol.dxy.cn/article/949249]]></link>
         <guid><![CDATA[http://oncol.dxy.cn/article/949249]]></guid>
		 		 <category><![CDATA[最新资讯]]></category>
		 		 <category><![CDATA[非医学时间app]]></category>
		 		 		 <enclosure url="https://img1.dxycdn.com/p/s10/2025/1125/926/2935130690082523991.png" />
		 		 
         <pubDate>2025-11-25 17:38:05.0</pubDate>
             <description>
						<![CDATA[   
    			<p><strong>摘要</strong></p><p>男性，58 岁<br/>主诉：左肾透明细胞癌并左锁骨转移 2 月余，于 2020-08-17 就诊于我科<br/>查体：浅表淋巴结未触及肿大，心、肺、腹（-）<br/>ECOG评分：1 分<br/>既往史：无特殊情况</p><p><br/></p><p><strong>临床资料</strong></p><p>2020-07-22：左肩关节 MR 平扫：左锁骨远端见一略短 T1 长 T2 混杂信号，最大截面积约 7.8cm×5.5cm，DWI 可见不均匀弥散受限。符合左侧锁骨远端骨肿瘤 MR 平扫表现。</p><p>2020-07-27 <strong>左锁骨肿瘤切除术，术后病理：（左锁骨）查见透明细胞癌</strong>，结合病史考虑透明细胞肾细胞癌（Ⅲ 级）转移，切面积 6×4cm；&nbsp;</p><p>2020-08-18：肾动脉 CTA+肾 CT 平扫+冠状位成像+增强：<strong>左肾见类圆形软组织肿块，截面约 3.8×3.6cm</strong>，增强扫描动脉期明显不均匀强化，静脉期及延迟期强化程度减低，考虑肾癌。</p><p>2020-08-14：<strong>全身骨显像未见明显异常</strong></p><p><strong><br/></strong></p><p><strong>诊断</strong></p><p>初步诊断：1.左肾透明细胞癌 2.肾癌骨转移术后</p><p>分期：cT1aN0M1</p><p><strong><br/></strong></p><p><strong>治疗情况</strong></p><p>1. 手术：2020-08-20 行左肾根治性切除术，术后病理结果：（左肾）透明细胞性肾细胞癌，Ⅲ级，切面积 3.5×2.8cm，未侵透包膜； 肾门血管、输尿管切线及肾周脂肪囊均未查见癌。（NED）</p><p>术后口服舒尼替尼 50mg 2/1 方案。</p><p>2. 随访：术后规律复查，2023-03-07：PET/CT(全身检查)诊断意见：1. 左肾肿瘤切除术后；左侧锁骨术后；2. 双肺多发结节，部分结节FDG代谢增高，考虑转移瘤；——肺转移。<br/></p><p style="text-align: center;"><strong><img alt="图片1.png" src="https://img1.dxycdn.com/p/s10/2025/1124/570/6560911077681092991.png!w640" width="680" height="692" border="0" vspace="0" title="图片1.png" style="width: 680px; height: 692px;"/></strong></p><p>2023-03-07 PET/CT：</p><p style="text-align: center;"><img alt="图片2.png" src="https://img1.dxycdn.com/p/s10/2025/1124/838/4667100439902092991.png!w640" width="680" height="395" border="0" vspace="0" title="图片2.png" style="width: 680px; height: 395px;"/></p><p><br/></p><p>2023-03 换用阿西替尼 5mg bid+替雷利珠单抗 200mg 治疗。AE：偶有腹泻，较重时一天 3-4 次。</p><p>2023-07-28 ：胸+全腹（含盆腔）CT平扫：双肺结节，部分较前增大 PD——阿西替尼 10mg bid+替雷利珠单抗 200mg-SD</p><p>2024-09-13：胸+全腹（含盆腔）CT平扫：右肺尖胸膜下（Img 6/38)、右肺下叶内基底段胸膜下（Img 53/375）见软组织密度结节，较大者位于右肺下叶胸膜下，大小约 2.4×1.9cm。右肺尖、右肺下叶内基底段胸膜下软组织密度灶，较前新发，考虑转移灶；双肺结节，不除外转移，食管下段周围肿大淋巴结，较前增大；PD。</p><p><strong><br/></strong></p><p><strong>治疗方案调整：</strong>阿西替尼联合 PD1i 进展后伏罗尼布治疗</p><p>2024-11-15：伏罗尼布 200mg po qd+艾帕洛利托沃瑞利单抗</p><p>2025-01-10&nbsp; ：胸+全腹（含盆腔）CT 平扫：与（2024-09-13 CT）对比：双肺见多发结节灶，较大者位于右肺下叶内基底段胸膜下（Img 56/276），大小约 2.2×1.6cm，较前范围略缩小，余结节较前未见明显变化。双肺多发结节，右肺下叶内基底段结节较前略减小，余未见明显变化，建议密切随诊复查；食管下段周围肿大淋巴结，较前变化不著。转移灶缩小 PR。</p><p>AE：无明显不良反应。</p><p>2024-09-13：</p><p><img alt="图片3.png" src="https://img1.dxycdn.com/p/s10/2025/1124/293/4458071250192092991.png!w640"/></p><p>2025-01-10</p><p><strong><img alt="图片4.png" src="https://img1.dxycdn.com/p/s10/2025/1124/928/8691791075692092991.png!w640"/></strong></p><p><br/></p><p><br/></p><p><strong>病例讨论</strong></p><p><strong>肾癌是泌尿系常见恶性肿瘤之一，晚期患者占比较高，预后较差。</strong></p><ul class=" list-paddingleft-2" style="list-style-type: disc;"><li><p>2020 年肾癌全球新发病例超过 43 万例，新发死亡病例约 18 万例<sup>1</sup>，2022 年中国肾癌新发病例数 7.37 万，死亡病例数2.40 万<sup>2</sup></p></li><li><p>约 30% 的肾癌患者初诊即存在转移，约 20-40% 的局部进展期肾癌患者术后出现远处转移<sup>3</sup></p></li><li><p>晚期肾癌 5 年生存率仅 20%，中、高危患者中位生存期仅 16.6 和 5.4 个月<sup>4</sup></p></li></ul><p style="text-align: center;"><img alt="图片6.png" src="https://img1.dxycdn.com/p/s10/2025/1125/425/0048789502081423991.png!w640" width="680" height="249" border="0" vspace="0" title="图片6.png" style="width: 680px; height: 249px;"/></p><p><strong>抗血管生成是晚期肾癌治疗药物的基石</strong></p><ul class=" list-paddingleft-2" style="list-style-type: disc;"><li><p>VHL 基因功能缺失导致 VEGF 通路调节异常,使肾癌成为一种富血管肿瘤</p></li><li><p>抑制 VEGFR-1,2,3，可全面延缓肿瘤进展</p></li></ul><p style="text-align: center;"><img alt="图片5.png" src="https://img1.dxycdn.com/p/s10/2025/1125/155/8210084592105323991.png!w640" width="680" height="310" border="0" vspace="0" title="图片5.png" style="width: 680px; height: 310px;"/></p><p><strong>专家共识意见：一线不良反应不耐受可认定为治疗失败</strong></p><p style="text-align: center;"><img alt="图片7.png" src="https://img1.dxycdn.com/p/s10/2025/1125/331/0278594081759223991.png!w640" width="680" height="342" border="0" vspace="0" title="图片7.png" style="width: 680px; height: 342px;"/></p><ul class=" list-paddingleft-2" style="list-style-type: disc;"><li><p>多数专家（80%）认为当患者接受一线治疗，尽管目前疾病稳定，但患者出现了无法耐受的不良反应时定义为治疗失败的一种（推荐等级：强）。</p></li><li><p>为了使患者得到最大程度的获益，在给予治疗时采用最佳给药策略，并密切关注不良反应并及时处理，尽可能减少因不良反应而导致的治疗失败。</p></li></ul><p>国内CSCO指南二线推荐有伏罗尼布</p><p style="text-align: center;"><img alt="图片8.png" src="https://img1.dxycdn.com/p/s10/2025/1125/372/6526393069042323991.png!w640"/></p><p style="text-align: center;"><img alt="图片9.png" src="https://img1.dxycdn.com/p/s10/2025/1125/640/6549376672642323991.png!w640"/></p><p><strong>伏罗尼布半衰期仅为舒尼替尼的 1/10，体内蓄积减少&nbsp; &nbsp; &nbsp; &nbsp; &nbsp; &nbsp; &nbsp; &nbsp; &nbsp; &nbsp; &nbsp; &nbsp; &nbsp; &nbsp; &nbsp; &nbsp; &nbsp; &nbsp; &nbsp; &nbsp; &nbsp; &nbsp; &nbsp; &nbsp; &nbsp; &nbsp; &nbsp; &nbsp; &nbsp; &nbsp; &nbsp; &nbsp; &nbsp; &nbsp; &nbsp; &nbsp; &nbsp; &nbsp; &nbsp; &nbsp; &nbsp; &nbsp; &nbsp; &nbsp; &nbsp; &nbsp; &nbsp; &nbsp;</strong></p><table cellpadding="0" cellspacing="0" style=""><tbody><tr class="firstRow" style=""><td style=""><p>药物</p></td><td style=""><p>半衰期（T<sub>1/2</sub>）</p></td></tr><tr style=""><td style=""><p>舒尼替尼</p></td><td style=""><p>T<sub>1/2</sub>（舒尼替尼）=40-60h</p><p>T<sub>1/2</sub>（主要活性代谢物）=80-110h</p></td></tr><tr style=""><td style=""><p>培唑帕尼</p></td><td style=""><p>T<sub>1/2</sub>=30.9h</p></td></tr><tr style=""><td style=""><p>索拉非尼</p></td><td style=""><p>T<sub>1/2</sub>=25-48h</p></td></tr><tr style=""><td style=""><p>阿昔替尼</p></td><td style=""><p>T<sub>1/2</sub>=2.5-6.1h</p></td></tr><tr style=""><td style=""><p>卡博替尼</p></td><td style=""><p>T<sub>1/2</sub>=99h</p></td></tr><tr style=""><td style=""><p>仑伐替尼（联合依维莫司）</p></td><td style=""><p>T<sub>1/2</sub>=28h</p></td></tr><tr style=""><td style=""><p>伏罗尼布（联合依维莫司）</p></td><td style=""><p>T<sub>1/2</sub>（伏罗尼布）=5.4h</p><p>T<sub>1/2</sub>（X-297）=6.07h</p></td></tr></tbody></table><p>肾癌新辅助治疗术前 1 天停药即可！</p><p style="text-align: left;"><strong>伏罗尼布单药方案严重不良反应发生率低</strong></p><p style="text-align: center;"><span style="text-align: justify;"><img alt="图片10.png" src="https://img1.dxycdn.com/p/s10/2025/1125/199/8271801775492423991.png!w640" width="680" height="298" border="0" vspace="0" title="图片10.png" style="width: 680px; height: 298px;"/></span></p><p><strong><span style="text-align: justify;">伏罗尼布单药相较于其他 TKI 耐受性佳</span></strong></p><p style="text-align: center;"><img alt="图片11.png" src="https://img1.dxycdn.com/p/s10/2025/1125/850/8231398800142523991.png!w640" width="680" height="320" border="0" vspace="0" title="图片11.png" style="width: 680px; height: 320px;"/></p><p><br/></p><p><strong>小结</strong></p><p>1、注册研究 CONCEPT 研究是国内开展的首个大规模晚期肾癌靶向治疗的双盲随机对照III期研究：二线 OS 超过 30 个月。伏罗尼布安全性良好，整体可耐受，因不良反应永久停药比例仅有 3%；</p><p>2、可及性强，前景广阔！伏罗尼布为基础的联合方案防范可作为一线不耐受或进展后的患者提供更优的治疗方案。</p>              ]]>
			         	</description>	 
      </item>
	        <item>
         <title><![CDATA[局晚期肾癌下腔静脉瘤栓病例]]></title>
         <link><![CDATA[http://oncol.dxy.cn/article/949248]]></link>
         <guid><![CDATA[http://oncol.dxy.cn/article/949248]]></guid>
		 		 <category><![CDATA[非医学时间app]]></category>
		 		 <category><![CDATA[最新资讯]]></category>
		 		 <category><![CDATA[硝苯地平]]></category>
		 		 <category><![CDATA[佐匹克隆]]></category>
		 		 		 <enclosure url="https://img1.dxycdn.com/p/s10/2025/1124/289/8400185945667582991.png" />
		 		 
         <pubDate>2025-11-24 15:28:23.0</pubDate>
             <description>
						<![CDATA[   
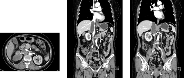
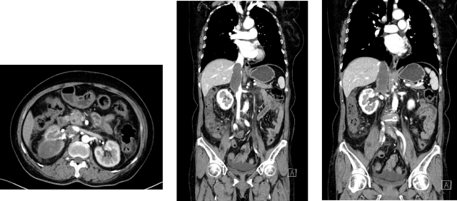
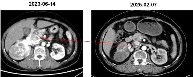
    			<p><strong>摘要</strong></p><p>女性，64 岁<br/>主诉：血尿1周，检查发现右肾肿瘤，于 2023-06-17 就诊于我科<br/>查体：浅表淋巴结未触及肿大，心、肺、腹（-）<br/>ECOG 评分：1 分<br/>既往史：子宫肌瘤术后 20 年；神经衰弱病史 1 年，佐匹克隆治疗；高血压病史 20 年，硝苯地平、利血平治疗。</p><p><strong><br/></strong></p><p><strong>临床资料</strong></p><p>一、辅助检查</p><p>肾脏 MR 平扫＋动态增强：右肾中上份为主见类椭圆形等 T1 等 T2 信号肿物，截面约 8.0×6.5cm，T1WI 反相位部分区域信号强度减低，DWI 及 ADC 扩散受限，呈不均匀快进快出强化模式；病灶侵及部分右肾静脉-下腔静脉，以上水平下腔静脉全程粗大，可见团状不均匀强化充盈缺损，肝中静脉内见条状充盈缺损区，符合右肾恶性肿瘤（CCRCC 可能大）累及部分右肾静脉并下腔静脉瘤栓，肝中静脉栓子形成 MR 表现。</p><p>病理：2023-06-19 行右肾穿刺活检术：（右肾占位穿刺）符合透明细胞性肾细胞癌。 免疫组化：CA9（+），Vimentin（+），CK7（-），TFE3（-），FH（+），PAX8（+），CD117（-）。</p><p>2023-06-14 泌尿系 CTU 增强：右肾及下腔静脉内富血供肿块，右肾癌并腔静脉癌栓达膈肌以上，肾占位最大横截面 9.9*6.1cm，腔静脉占位最大横截面 6.1cm，上下范围 12.4cm，可见肝静脉栓子。</p><p style="text-align: center;"><img src="https://img1.dxycdn.com/p/s10/2025/1124/477/6332268857029482991.png!w640" alt="图片1.png"/></p><p>二、诊断与鉴别诊断</p><p>初步诊断：右肾透明细胞癌并腔静脉瘤栓；肝静脉癌栓</p><p>分期：cT3bN0M0</p><p><br/></p><p><strong>治疗情况</strong></p><p>2024-09-13 ： 胸部+全腹部(含盆腔）CT 平扫+增强 ：右肾中上份见一类椭圆形略低密度灶，较大截面约 5.5×4.0cm，边界欠清，增强扫描呈欠均匀轻度强化，较前增大，病灶侵及部分右肾静脉-下腔静脉，以上水平下腔静脉全程粗大，较宽处约 3.8cm。右肾恶性肿瘤并右肾静脉、下腔静脉治疗后 CT 所见。</p><p>2024-11-01： 胸部+全腹部(含盆腔）CT 平扫+增强 ：右肾中上份见一类椭圆形略低密度灶，较大截面约 5.5×4.0cm，边界欠清，增强扫描呈欠均匀轻度强化，较前变化不明显，病灶侵及部分右肾静脉-下腔静脉，以上水平下腔静脉全程粗大，较宽处约 3.8cm 右肾恶性肿瘤并右肾静脉、下腔静脉治疗后CT所见，较前变化不明显 SD。<br/>胃肠道反应较重，恶心纳差乏力伴声音嘶哑反应较重，高血压，AE3 级。</p><p>2024-11-01：再次换用舒尼替尼 50mg，2-1 方案；<br/>消化道不良反应较重，恶心呕吐重，1 周内住院两次，AE3 级。</p><p>2024-11-15：换伏罗尼布 200mg po qd+艾帕洛利托沃瑞利单抗注射液。</p><p>2024-09-13：</p><p style="text-align: center;"><img src="https://img1.dxycdn.com/p/s10/2025/1124/538/0650772702832582991.png!w640" alt="图片2.png"/></p><p>2024-11-01：</p><p style="text-align: center;"><img src="https://img1.dxycdn.com/p/s10/2025/1124/788/4220497517252582991.png!w640" alt="图片3.png"/></p><p>2024-11 至今：伏罗尼布 200mg po qd+ 艾托组合抗体</p><p>CT复查：2025-02-07，胸部+全腹部(含盆腔）CT 平扫+增强 ：右肾中上份见一类椭圆形略低密度灶，较大截面约 4.6×3.8cm，边界欠清，增强扫描呈欠均匀轻度强化，较前变化不明显，病灶侵及部分右肾静脉-下腔静脉，以上水平下腔静脉粗大，较宽处约 3.8cm，右肾恶性肿瘤并右肾静脉、下腔静脉癌栓治疗后 CT 所见，癌栓位于膈肌下 2cm，肝静脉癌栓消失（PR）。</p><p>AE：irAE 甲状腺功能减退（对症治疗效果好）；肝功轻度异常；未见其他明显不良反应。</p><p><img src="https://img1.dxycdn.com/p/s10/2025/1124/146/8258361971504582991.png!w640" alt="图片5.png"/></p><p><img src="https://img1.dxycdn.com/p/s10/2025/1124/089/4646237200034582991.png!w640" alt="图片6.png"/></p><p><br/></p><p><strong>病例1：新辅助可能性讨论</strong></p><p>肾癌新辅助治疗的手术获益：从不可切除到部分切除的转变。</p><p>场景一：不可切除的肿瘤变得可以切除（癌栓等）</p><ol class=" list-paddingleft-2" style="list-style-type: decimal;"><li><p>巨大、复杂，侵犯肾蒂血管，淋巴结融合成团，高级别腔静脉瘤栓，周围重要器官受侵犯，手术风险高；</p></li><li><p>新辅助治疗有助于瘤栓降级、降低手术难度；合并癌栓的肾癌选择应用新辅助治疗为无法手术的患者再次赢得手术机会。</p></li></ol><p>场景二：不可部分切的肿瘤变得可以部分切除（保肾、高难度保肾）</p><ol class=" list-paddingleft-2" style="list-style-type: decimal;"><li><p>在控制切缘阳性率的同时尽可能保肾；保留肾单位手术（PN）结合使用时增强肾脏功能保留，这对于局部晚期RCC的治疗至关重要；</p></li><li><p>通过术前新辅助治疗，可以使肿瘤体积缩小，增加手术切除的成功率，提高肾癌患者的生存率，帮助双侧肾癌及孤立肾患者行保留肾单位手术或行根治性切除术。</p></li></ol><p>其他优势</p><ol class=" list-paddingleft-2" style="list-style-type: decimal;"><li><p>测试药物敏感度，为晚期阶段系统治疗药物选择提供参考；</p></li><li><p>调节免疫微环境，增加免疫反应，改善免疫抑制的肿瘤微环境。</p></li></ol><p>专家共识建议：减少因为不良反应而中断治疗的比例，更有益于患者的生存获益与生命质量的提高。</p><p><img src="https://img1.dxycdn.com/p/s10/2025/1124/709/8041462239455582991.png!w640" alt="图片7.png"/></p><ul class=" list-paddingleft-2" style="list-style-type: disc;"><li><p>靶向药物治疗肾癌时不良反应的管理非常重要。减少因为不良反应而中断治疗的比例更有益于患者的生存获益与生命质量的提高。</p></li><li><p>若出现 Ⅲ 级皮肤症状（重度皮肤改变，伴疼痛，影响个人日常生活），则应中止靶向治疗 1～2 周，必要时请皮肤科会诊，改善皮肤症状恢复至 0～I 级，方可考虑恢复靶向药物的使用。</p></li><li><p>转氨酶&gt;3×ULN 和总胆红素&gt;2×ULN 应停止治疗，且对患者持续进行监测，直至氨基转移酶恢复至1级或基线；若转氨酶水平&gt;8×ULN 应立即停止治疗，纠正肝功能后考虑其他靶向药物。若转氨酶水平＞8×ULN 应立即停止 治疗，纠正肝功能后考虑其他靶向药物。</p></li></ul><p><strong><br/></strong></p><p><strong>伏罗尼布--首个拥有中国自主知识产权肾癌小分子靶向自主创新药</strong></p><p>亲和力高：分子结构设计上，通过引入二甲胺基甲酰基（C=O）与 VEGFR 形成额外氢键，引入S-构型吡咯烷基分子构型固定，增加靶点亲和力。</p><p>组织蓄积毒性低：「二甲胺基甲酰基」碱性降低，降低了磷脂生物膜的穿透性，降低了组织分布，避免了组织蓄积毒性。</p><p>易代谢：「二甲胺基甲酰基吡咯烷基」具有更多的体内代谢位点，伏罗尼布和其 N-脱甲基代谢产物 X-297 具有更快的体内清除速率，消除相半衰期更短，可实现靶点的间歇抑制，降低毒性。</p><p><strong><br/></strong></p><p><strong>伏罗尼布单药——安全性良好，患者更易耐受</strong></p><p><img src="https://img1.dxycdn.com/p/s10/2025/1124/152/4872430269666582991.png!w640" alt="图片8.png"/></p><p><strong><br/></strong></p><p><strong>小结</strong></p><p>1、晚期肾癌进入靶免治疗时代，但靶向治疗依旧是重要的选择；无论靶向还是靶免一线治疗，药物不耐受普遍存在。中国回顾性研究发现，约 24.6% 的患者因无法耐受不良反应终止一线治疗。</p><p>2、伏罗尼布是中国肾癌治疗领域首个具有中国自主知识产权的创新药物，具有更强的靶点亲和力，毒性更小，组织蓄积性更低。</p>              ]]>
			         	</description>	 
      </item>
	        <item>
         <title><![CDATA[RCC Treatment Cases]]></title>
         <link><![CDATA[http://oncol.dxy.cn/article/948754]]></link>
         <guid><![CDATA[http://oncol.dxy.cn/article/948754]]></guid>
		 		 <category><![CDATA[最新资讯]]></category>
		 		 <category><![CDATA[非医学时间app]]></category>
		 		 <category><![CDATA[硝苯地平]]></category>
		 		 <category><![CDATA[门冬氨酸]]></category>
		 		 		 <enclosure url="https://img1.dxycdn.com/p/s10/2025/1119/988/0253672037152990991.png" />
		 		 
         <pubDate>2025-11-19 12:00:15.0</pubDate>
             <description>
						<![CDATA[   
    			<p><strong>基线情况 | Baseline</strong></p><p>左 XX ，男，57 岁<br/>ECOG 0分<br/>高血压1年，口服硝苯地平等药物治疗，维持平稳<br/>诊为左肾癌肺转移靶免联合治疗半月余，高热3天<br/>2022-02-18行超声引导下左肾肿物穿刺活检<br/>穿刺病理：左肾透明细胞肾细胞癌</p><p><strong>完善辅助检查</strong></p><p>01&nbsp;Blood Test<br/>2022-03-08：丙氨酸氨基转移酶 143.7 U/L 偏高(9--50)，天门冬氨酸氨基转移酶 220.3 U/L 偏高(15--40)，血小板计数 75*10^9 /L。</p><p>02&nbsp;病理<br/>左肾透明细胞肾细胞癌。免疫组化：Cppan+，Pax-8+，CAIX+，CD10+，Vimentin+，CD117-, P504S-，CK7-， HMB45-。</p><p>03 CT<br/>1. 左肾及肾周占位，建议结合其他检查；2. 双肺多发小结节灶，结合病史，考虑转移；3. 双侧胸腔及心包腔少量积液；4. 前列腺钙化灶；5.L5 双侧椎弓崩解；6. L2 椎体致密灶，建议观察。</p><p><strong>Treatment</strong></p><p>2022-05-20 CT：</p><p><img alt="图片1.png" src="https://img1.dxycdn.com/p/s10/2025/1119/276/6336239898712890991.png!w640"/></p><p>舒尼替尼治疗后，2022-08-15 复查 CT</p><p><img alt="图片2.png" src="https://img1.dxycdn.com/p/s10/2025/1119/799/6338159203222890991.png!w640"/></p><p>1. 结合临床，左肾癌治疗后，较前片 2022-5-20 好转；左侧肾上腺受累；考虑肝转移，较前缩小或显示不清。<br/>2. 双肺转移，较前好转。<br/>3. 前列腺钙化灶。<br/>4. L5 双侧椎弓崩解；L2 椎体致密灶，建议观察。</p><p><strong>Adverse Events&nbsp;舒尼替尼 50mg qd</strong></p><p>2022-08-15 CT</p><p><img src="https://img1.dxycdn.com/p/s10/2025/1119/847/2154038521782890991.png!w640" style=""/></p><p>舒尼替尼治疗后，2022-11-11 复查 CT</p><p><img src="https://img1.dxycdn.com/p/s10/2025/1119/637/2724390351782890991.png!w640" style=""/></p><p>1. 结合临床，左肾癌治疗后，较前片 2022-08-15 略饱满；左侧肾上腺受累；考虑肝转移，较前进展。<br/>2. 双肺转移，较前变化不著<br/>3. L5 双侧椎弓崩解；L2 椎体致密灶，变化不著。</p><p><strong>Treatment 腹腔镜减瘤性肾切除术</strong></p><p>01 Sugery <br/>2022-11-23 全麻下腹腔镜减瘤性肾切除术。</p><p>02 病理大体<br/>肾体积 14*9*6cm，沿肾门对侧剖开于肾上极见肿物，体积 9.5*7*5cm，切面多彩状，质软，侵透肾被膜，到达肾的脂肪囊，脂肪囊外壁粗糙，侵犯肾窦脂肪。</p><p>03&nbsp;病理<br/>（左肾及肿瘤、左肾上腺区肿瘤）透明细胞性肾细胞癌，核分级 2 级，未见明确脉管癌栓，可见神经侵犯，侵透肾被膜，侵达脂肪囊，未侵犯肾盂粘膜；间质纤维组织增生、炎细胞浸润、组织细胞反应，符合治疗后改变；输尿管断端未见癌。</p><p><strong>Treatment 舒尼替尼 50mg qd</strong></p><p>2022-08-15 CT</p><p><img alt="图片5.png" src="https://img1.dxycdn.com/p/s10/2025/1119/210/0044502895854890991.png!w640"/></p><p>舒尼替尼治疗后，2023-02-06 复查 CT</p><p><img alt="图片6.png" src="https://img1.dxycdn.com/p/s10/2025/1119/681/0401349428174890991.png!w640"/></p><p>1. 结合临床，左肾癌术后；考虑肝转移，较前缩小<br/>2. 双肺多发结节，较前（2022-08-15）缩小。<br/>3. 前列腺钙化灶；盆腔少量积液，较前减少<br/>4. L5 双侧椎弓崩解；L2 椎体致密灶，变化不著，观察</p><p><strong>Treatment&nbsp;舒尼替尼 50mg qd</strong></p><p>2023-02-06 CT</p><p><img src="https://img1.dxycdn.com/p/s10/2025/1119/506/6982768322635890991.png!w640" style=""/></p><p>舒尼替尼治疗后，2023-05-09 复查 CT</p><p><img src="https://img1.dxycdn.com/p/s10/2025/1119/109/4032844640635890991.png!w640" style=""/></p><p>1. 结合临床，左肾癌术后；考虑肝转移，较前（2023-02-06）增大。<strong><br/></strong>2. 双肺多发结节，较前变化不著。<br/>3. 前列腺钙化灶；盆腔少量积液，较前减少。<br/>4. L5 双侧椎弓崩解；L2 椎体致密灶，变化不著，观察。</p><p><strong>Treatment&nbsp;舒尼替尼 50mg qd</strong></p><p>2023-05-09 CT</p><p><img src="https://img1.dxycdn.com/p/s10/2025/1119/859/2977752735095890991.png!w640" style=""/></p><p>舒尼替尼治疗后，2024-04-17 复查CT</p><p><img src="https://img1.dxycdn.com/p/s10/2025/1119/454/2192018025095890991.png!w640" style=""/></p><p>1. 结合临床，左肾癌术后；肝转移，较前（2023-05-09）进展；双肺转移，较前新发。<br/>2. 右肺下叶少许炎症，较前变化不著。<br/>3. 前列腺钙化灶；盆腔少量积液。<br/>4. L5 双侧椎弓崩解；L2 椎体致密灶，变化不著，观察。</p><p><strong>Treatment&nbsp;</strong>伏罗尼布 100mg qd + 依维莫司 5mg qd</p><p>2024-04-18 CT</p><p><img src="https://img1.dxycdn.com/p/s10/2025/1119/225/8843644396136890991.png!w640" style=""/></p><p>伏罗尼布+依维莫司治疗后，2024-07-17 复查 CT</p><p><img src="https://img1.dxycdn.com/p/s10/2025/1119/311/4895288747136890991.png!w640" style=""/></p><p><strong>Treatment 伏罗尼布 100mg qd</strong></p><p>2024-07-17 CT</p><p><img src="https://img1.dxycdn.com/p/s10/2025/1119/149/2939166285030990991.png!w640" style=""/></p><p>伏罗尼布治疗后，2024-09-09 复查CT</p><p><img src="https://img1.dxycdn.com/p/s10/2025/1119/971/6391742806030990991.png!w640" style=""/></p><p>1. 考虑双肺炎症改变，较前范围减小，建议复查<br/>2. 双肺多发结节，较前减小。<br/>3. 双肺多发纤维灶。<br/>4. 心包积液。<br/>5. 肝内多发低密度病变，结合病史，不除外转移瘤可能，较前部分减小：建议必要时 CT 增强扫描进一步检查。<br/>6. 考虑：肝左叶囊肿。</p><p>2024-07-17 CT</p><p><img src="https://img1.dxycdn.com/p/s10/2025/1119/391/6357923602960990991.png!w640" style=""/></p><p>伏罗尼布治疗后，2024-09-09 复查 CT</p><p><img src="https://img1.dxycdn.com/p/s10/2025/1119/609/6397272842960990991.png!w640" style=""/></p><p>1. 考虑双肺炎症改变，较前范围减小，建议复查<br/>2. 双肺多发结节，较前减小。<br/>3. 双肺多发纤维灶。<br/>4. 心包积液。<br/>5. 肝内多发低密度病变，结合病史，不除外转移瘤可能，较前部分减小:建议必要时 CT 增强扫描进一步检查。<br/>6. 考虑：肝左叶囊肿。</p><p><strong>Summary</strong></p><p>01&nbsp;ccRCC T4NxM1：Pazopanib+Envafolimab</p><p>02 Transamintis：Axitinib、Sunitinib</p><p>03 Disease progression：Cytoreductive Nephrectomy、Sunitinib</p><p>04 PR：Vorolanib+Everolimus、Vorolanib</p>              ]]>
			         	</description>	 
      </item>
	        <item>
         <title><![CDATA[让创新落地！能放疗的输尿管支架斩获 10 万大奖]]></title>
         <link><![CDATA[http://oncol.dxy.cn/article/946904]]></link>
         <guid><![CDATA[http://oncol.dxy.cn/article/946904]]></guid>
		 		 <category><![CDATA[最新资讯]]></category>
		 		 <category><![CDATA[精彩幻灯]]></category>
		 		 <category><![CDATA[企业动态]]></category>
		 		 <category><![CDATA[器械信息]]></category>
		 		 <category><![CDATA[器械营销]]></category>
		 		 <category><![CDATA[非医学时间app]]></category>
		 		 		 <enclosure url="https://img1.dxycdn.com/p/s10/2025/1102/788/2511487752339974891.jpg" />
		 		 
         <pubDate>2025-11-02 09:47:42.0</pubDate>
             <description>
						<![CDATA[   
    			<p>10 月 31 日至 11 月 2 日，<strong>由河南省高性能医疗器械创新联合体主办的</strong><strong>「首届医疗器械创新转化铁三角生态建设大会暨科技部驼人医疗器械科技创新奖第十七届评审活动」在河南长垣启幕</strong>。<strong>大会以「协同创新 转化赋能 共建生态」为主题</strong>，汇聚医疗机构、高校院所以及科研学者等 1500 余人出席本次会议，共同探讨医疗器械创新转化的新路径、新模式，推动「医院+高校+企业」铁三角模式迈向体系化、生态化发展新阶段。</p><p>作为医疗器械领域科技部备案的国家级社会力量奖，<strong>「驼人医疗器械科技创新奖」</strong>已设立 17 年。在此期间，驼人集团始终秉持 <strong>「立足临床，聚焦真问题；赋能创新，驱动大发展」的理念</strong>，持续表彰卓越创新者。</p><p>本届评审活动共征集 1632 个项目，经 958 位专家多轮评审，127 个项目入围终评。<strong>涵盖精准化智慧麻醉、数字化智能护理、创新型血液净化技术及智能化、精准微创介入、疼痛管理、康复康养、精准外科及骨科七大领域</strong>的一等奖获奖项目分别获 10 万元奖金激励以及技术、资金与资源等多方面赋能，助力创新成果快速落地。</p><p style="text-align: center;"><img alt="2.jpg" src="https://img1.dxycdn.com/p/s10/2025/1102/635/4815408199500284891.jpg!w640" title=""/></p><p style="text-align: center;">首届医疗器械创新转化铁三角生态建设大会现场</p><p><br/></p><h3><strong>产品破局，输尿管支架实现从「支撑」到「治疗」的功能革命</strong></h3><p><strong><br/></strong></p><p>由郑州大学第一附属医院焦德超副教授牵头完成的「携 125I 粒子近距离放疗输尿管支架的转化和临床应用」项目，凭借其前沿的技术理念与突出的临床价值，荣获本届奖项介入方向一等奖。其核心在于融合腔内尿液引流与放射性粒子近距离照射，构建引流与放疗双重功能体系，实现输尿管恶性梗阻的姑息治疗与靶向抗癌同步进行，提升晚期患者生存质量 <sup>[1]</sup>。作为医工深度融合的标杆，该项目精准地将前沿核素技术与介入器械相融合，成功跨越了从科研构想至临床解决方案的转化鸿沟，为输尿管相关肿瘤患者提供了集支撑引流与局部精准施治于一体的创新疗法。</p><p style="text-align: center;"><img alt="7.jpg" src="https://img1.dxycdn.com/p/s10/2025/1102/547/8089538542458384891.jpg!w640" title=""/></p><p style="text-align: center;">郑州大学第一附属医院介入科焦德超团队——《携 125I 粒子近距离放疗输尿管支架的转化和临床应用》项目</p><p><br/></p><h3><strong>生态破局，「铁三角」模型及时推动课题落地与成果转化</strong></h3><p><strong><br/></strong></p><p>评审活动同期举办 <strong>首届医疗器械创新转化铁三角生态建设大会</strong>，大会重点阐释的 <strong>「一家创新，百家验证」模式</strong>，核心在于将传统的线性转化模式升级为网状、并行的协同生态。该模式旨在构建一个闭环转化路径：当医生的创新构想或原型产品进入平台后，将通过「高性能医疗器械创新联合体」的百余家成员医院网络，同步开展多中心临床验证与应用反馈。这意味着，一个创新方案能在短时间内积累起广泛的真实世界证据，大幅缩短传统转化所需周期，并显著提升产品的临床公信力与市场接受度，为真正的优质国产创新「正名」。</p><p><strong>河南省高性能医疗器械创新联合体理事长、驼人集团创始人王国胜</strong>在致辞中分享了驼人三十年创新实践的深刻体会。他表示，正是源于对创新艰难与孤独的切身体会，驱动驼人完成了 <strong>三件具有战略意义的大事</strong>：设立科技部驼人医疗器械科技创新奖，连续十七届「为创新呐喊」；建设医学史博物馆及医疗器械博物馆，从历史中探寻创新规律；构建河南省高性能医疗器械创新联合体，打造汇聚 117 家医院、20 所高校和 36 家企业的「创新命运共同体」。</p><p style="text-align: center;"><img alt="4.jpg" src="https://img1.dxycdn.com/p/s10/2025/1102/285/8028320598900284891.jpg!w640" title=""/></p><p style="text-align: center;">王国胜致辞</p><p><br/></p><p>「我们共同探索的『医院+高校+企业』铁三角模式，就是要让医生的需求第一时间成为研发课题，让实验室成果以最快速度转化为救治生命的产品。」王国胜在发布《医疗器械创新转化铁三角生态建设倡议》时指出。为支撑创新成果的高效转化，2025 年度，<strong>驼人集团联合体投入专项科研资金 1.3 亿元，直接用于支持由临床医生发起或主导的横向课题</strong>，旨在直接破解创新链条前端「死亡谷」的难题，通过非竞争性的稳定资金支持，帮助医生跨越从「想法」到「原型」最关键的资源鸿沟。过去一年来，来自郑大一附院、上海交大医学院、西安交大一附院等合作医院的临床专家与工程师协同攻关，大幅推进创新成果转化落地，截至目前，<strong>已累计协助完成专利申报 2000 余项，成果转化 600 余项，转化收益超 40 亿元，未来期待更多临床专家和高校团队加入</strong>。</p><p style="text-align: center;"><img alt="5.jpg" src="https://img1.dxycdn.com/p/s10/2025/1102/381/0449499494310284891.jpg!w640" title=""/></p><p style="text-align: center;">王国胜深入阐述「创新转化铁三角模型」</p><p><br/></p><p>与此同时，覆盖全国的百家医院验证网络将同步启动，它与资金支持共同构成完整的创新支撑闭环。这一网络不仅为创新产品提供了多中心、高质量的临床验证平台，更通过数据共享与风险分散，显著降低了医生个人投身创新的试错成本与潜在风险。这使得那些源自临床的宝贵创意，能够在一个安全、可靠的系统内快速迭代、成熟，并最终走向市场。让临床专家从转化过程中的诸多不确定性里解放出来，从而更专注地回归其创造价值的起点——破解复杂的临床现实问题。</p><p><br/></p><h3><strong>路径破局，专科联合体打通全链条转化快车道</strong></h3><p><strong><br/></strong></p><p>作为「首届医疗器械创新转化铁三角生态建设大会」的重要组成部分，介入专科联合体专题沟通会于 11 月 2 日上午同步举行。会议聚焦 <strong>血管介入、肿瘤介入、神经介入</strong>等关键方向，汇聚临床专家、科研团队与企业代表，共同勾勒出一条从「临床痛点」到「市场产品」的清晰转化路径。</p><p>沟通会重点围绕精准微创介入技术与器械的临床转化路径展开深入研讨，旨在系统构建 <strong>「临床需求—原型开发—工艺优化—产品注册」</strong>的全链条转化机制，推动临床介入专家将一线诊疗中的真实需求快速转化为可执行的研发目标；企业与科研机构能精准对接，共同推进产品原型的快速开发与工艺迭代，显著压缩从概念到样机的周期。</p><p>通过专科联合体的组织化运作，将有力促进高性能介入器械的快速迭代与临床应用推广，助力我国介入领域从「国产化替代」迈向「优质化突破、智能化赋能与专科化深耕」的高质量发展新阶段。</p><p><br/></p><h3><strong>从「河南实践」到「全国样本」，驱动创新从「单点突破」到「体系作战」</strong></h3><p><br/></p><p>随着亿元级资金的战略性注入与覆盖百家的临床协同网络持续发力，<strong>一个以一线临床医生为创新源头、以严谨临床研究为核心验证基石、以成熟产业链为转化支撑的创新生态系统正加速成型</strong>。这标志着中国医疗器械的创新模式，已从过去零散的「资源分散、单点发力」的初级阶段，升级为有机协同的「生态成型」。</p><p>王国胜在大会上发出三项诚挚邀请：共同做「创新生态的垦荒人」，将最前沿的课题、最优质的资源带到长垣；共同做「铁三角模式的合伙人」，驼人将全链条开放研发、检测、生产线等转化资源；共同做「中国医疗器械创新转化样板的缔造者」，打造响亮的「河南样板」，形成可复制、可推广的「中国模式」。</p><p>这套体系不仅为每一位临床创新者铺就了一条从创意到产品的清晰、可实现的路径，更通过构建「临床驱动-研究验证-产业承接」的新范式，为中国医疗器械行业从依赖「单点突破」到实现「体系化创新」的跨越，奠定了坚实的系统基础。</p><p><br/></p><p>参考文献：</p><p>[1] 焦德超, 韩新巍, 王俊杰, 等. 125I 放射性粒子链腔内近距离放疗输尿管癌的初步经验 [J]. 中华放射医学与防护杂志,2017,37(7):508-513. DOI:10.3760/cma.j.issn.0254-5098.2017.07.007.</p><p>* 本文仅供医疗卫生等专业人士参考</p><p><br/></p>              ]]>
			         	</description>	 
      </item>
	        <item>
         <title><![CDATA[【艾斯基因】深度解析丨综述文章 (IF=16.1)：RNA 修饰在女性生殖生理与疾病中的作用：新兴功能与临床意义]]></title>
         <link><![CDATA[http://oncol.dxy.cn/article/945796]]></link>
         <guid><![CDATA[http://oncol.dxy.cn/article/945796]]></guid>
		 		 <category><![CDATA[肌苷]]></category>
		 		 <category><![CDATA[非医学时间app]]></category>
		 		 		 <enclosure url="https://img1.dxycdn.com/p/s10/2025/1022/261/0635163510354880891.png" />
		 		 
         <pubDate>2025-10-22 14:31:01.0</pubDate>
             <description>
						<![CDATA[   
    			<p>过去几十年间，随着高通量测序技术的进步，越来越多的实验证据揭示了异常 RNA 修饰（m6A、m5C、ac4 等）与生殖疾病之间的关联，随着人们对表观转录组认识的快速深化，其正成为生殖生物学领域极具变革型的一个研究方向。</p><p>2025 年 3 月 27 日，浙江大学医学院附属妇产科医院朱依敏教授和白龙特聘副研究员，以及加拿大不列颠哥伦比亚大学医学院妇产科系的 Peter C.K. Leung 教授研究团队，在生殖医学顶级期刊 Human Reproduction Update（IF = 16.1）发表了题为「RNA modifications in female reproductive physiology and disease: emerging roles and clinical implications」的研究综述，系统总结了 RNA 修饰在生殖生物学中的作用机制及其失调如何导致不孕相关疾病，重点关注编码 RNA 中与女性生育力密切关联且证据确凿的修饰类型，其不仅揭示 RNA 修饰在不孕症中的临床价值，更提出基于 RNA 修饰蛋白（RMPs）的靶向治疗策略与个性化诊疗路径，这些突破性见解为生殖医学工作者开辟了诊断与干预的新思路。</p><p>（艾斯基因从实验设计—样本处理—生信分析—数据挖掘应用全链条参与您的方案，帮您高效避坑，突破难点！欢迎与我们联系&gt;&gt;<a href="https://acegen.biomart.cn" target="_self">https://acegen.biomart.cn/</a>）</p><p style="text-align: center;"><img alt="640.png" src="https://img1.dxycdn.com/p/s10/2025/1022/500/8636269818873880891.png!w640" title=""/></p><p style="text-align: center;"><img alt="640 (1).png" src="https://img1.dxycdn.com/p/s10/2025/1022/631/6735063394283880891.png!w640" title=""/></p><p style="text-align: center;">RNA 修饰在女性生殖过程及不孕症中的角色：揭示恢复生育力的新途径</p><h2>01、RNA 修饰：基因调控的「第三维度」</h2><p>RNA 修饰（通称为表观转录组）是基因调控的「第三维度」, 在转录、转录后及翻译水平调控基因表达。RNA 修饰蛋白（RMPs）包括写入蛋白、擦除蛋白和阅读蛋白，分别负责在 RNA 分子上添加、去除和识别化学修饰。与 DNA 和组蛋白修饰类似，RNA 修饰通过化学修饰影响 RNA 的结构、稳定性和与蛋白质的相互作用，从而调控基因表达。目前已发现超过 170 种不同的 RNA 修饰，其中 N6-甲基腺苷（m6A）是最为广泛研究的一种，m6A 修饰在 mRNA 的转录、加工、翻译和稳定性中起着关键作用。尽管目前相关的临床研究仍处于起步阶段，但 RNA 修饰已显现出作为诊断标志物和治疗靶点的巨大潜力。</p><h2>02、RNA 修饰：在生殖系统中的调控作用</h2><p>m6A 作为 mRNA 中最丰富的内部修饰，亦是研究最深入的 RNA 修饰类型。其完整的 &quot; 写入-擦除-阅读 &quot; 调控网络已被系统解析，测序技术与调控蛋白研究的结合更推动该领域在过去十年取得突破性进展，确立了 m⁶A 作为 RNA 命运决定者的核心地位。综述详细探讨了 m6A 修饰在女性生殖过程中的多种作用，m6A 的精准调控对维持卵母细胞母源 RNA 稳态、支持颗粒细胞功能、保障卵母细胞-胚胎转换至关重要，其失调与多囊卵巢综合征、卵巢早衰等不孕症密切相关。在卵巢储备形成过程中，m6A 修饰通过调控基因表达影响原始卵泡的形成和卵子的储备。例如，在卵子成熟过程中，m6A 修饰通过影响 RNA 的稳定性和翻译效率，调控卵子的减数分裂和成熟。此外，m6A 修饰还在受精后的胚胎发育中起关键作用，通过调控母源 RNA 的降解和合子基因组的激活，确保胚胎的正常发育。</p><p style="text-align: center;"><img alt="640 (2).png" src="https://img1.dxycdn.com/p/s10/2025/1022/809/0842945641593880891.png!w640" title=""/></p><p style="text-align: center;">RNA 修饰在卵母细胞成熟及早期胚胎发育中的关键作用</p><h2>03、其他 RNA 修饰：m5C、ac4C 及 A-I 编辑</h2><p>除了 m6A，其他 RNA 修饰如 5-甲基胞嘧啶（m5C）、N4-乙酰胞嘧啶（ac4C）和腺苷-肌苷（A-I）编辑等其他修饰在女性生殖中的重要作用也逐渐显现。如 m5C 修饰在卵子和胚胎发育中调控 RNA 的稳定性和翻译效率；ac4C 修饰则在卵子成熟过程中影响 RNA 的稳定性和翻译；A-I 编辑通过改变 RNA 序列，影响蛋白质的编码和功能，从而在卵子成熟和胚胎发育中发挥调控作用。尽管其分子机制尚待深入解析，但已有证据表明它们参与生殖疾病发生，进一步凸显 RNA 修饰在生殖生物学中的核心地位。</p><h2>04、RNA 修饰失调与不孕症</h2><p>另外，综述探讨了 RNA 修饰失调与不孕症之间的关系。多囊卵巢综合征（PCOS）、早发性卵巢功能衰竭（POI）和子宫内膜异位症等疾病均与 RNA 修饰的异常有关。例如，PCOS 患者中 FTO 基因的多态性与肥胖和高雄激素血症相关，FTO 蛋白在调节雄激素水平和颗粒细胞功能中起关键作用。在 POI 中，m6A 修饰相关基因的突变与卵巢功能减退有关。子宫内膜异位症中，m6A 修饰失调影响子宫内膜的容受性和胚胎着床。</p><h2>05、靶向 RNA 修饰的治疗潜力</h2><p>随着对 RNA 修饰在生殖过程中作用的深入了解，靶向 RNA 修饰的治疗策略逐渐成为可能。当前该领域研究多借鉴抗癌治疗经验，其中靶向 RNA 修饰酶的小分子抑制剂已在临床前研究中展现潜力，例如，小分子抑制剂 STM2457 能够抑制 m6A 甲基转移酶 METTL3 的活性，已在急性髓系白血病（AML）的临床试验得到验证。另外，该综述突破传统 m6A 研究框架，系统阐述 m6A、m5C、ac4C 及 A-I 编辑等表观转录组机制对女性生殖生理与疾病的调控作用。</p><p style="text-align: center;"><img alt="640 (3).png" src="https://img1.dxycdn.com/p/s10/2025/1022/752/2361071645704880891.png!w640" title=""/></p><p style="text-align: center;">RNA 修饰在女性生殖生物学中的多重功能升</p><p>随着研究的深入，RNA 修饰在女性生殖生理和疾病中的作用正逐渐被揭示。从卵巢储备到胚胎发育，RNA 修饰通过调控基因表达和细胞功能，影响着女性的生育能力。这篇综述聚焦于女性生殖表观转录组这一新兴领域，为生殖生物学研究提供了全新的视角，它不仅揭示了 RNA 修饰在女性不孕症中的临床价值，还提出了靶向 RNA 修饰蛋白（RMPs）的治疗策略和个性化诊疗路径的创新前景，通过解析 RNA 修饰与生殖健康的互作网络，揭示表观转录组干预策略在治疗不孕症方面的广阔前景。</p><p><strong>艾斯基因根据不同物种、样本 RNA 总量及 RIN 值完整性；开发出了全面灵活的 m6A 解决方案：包括常规 m6A-seq（polyA 捕获）、全面 m6A-seq（rRNA 剔除）及微量 m6A-seq（SMARTerrRNA 剔除）。从实验设计—样本处理—生信分析—数据挖掘应用全链条参与您的方案，帮您高效避坑，突破难点！</strong></p><p><strong>欢迎与我们联系&gt;&gt;<a href="https://acegen.biomart.cn/" target="_self">https://acegen.biomart.cn/</a></strong></p><p><br/></p>              ]]>
			         	</description>	 
      </item>
	        <item>
         <title><![CDATA[达罗他胺治疗晚期前列腺癌第三个适应症获美国FDA批准]]></title>
         <link><![CDATA[http://oncol.dxy.cn/article/923937]]></link>
         <guid><![CDATA[http://oncol.dxy.cn/article/923937]]></guid>
		 		 <category><![CDATA[非医学时间app]]></category>
		 		 <category><![CDATA[最新资讯]]></category>
		 		 		 <enclosure url="https://img1.dxycdn.com/p/s10/2025/0606/671/8826345149095001391.jpg" />
		 		 
         <pubDate>2025-06-06 23:11:01.0</pubDate>
             <description>
						<![CDATA[   
    			<p>l&nbsp; 诺倍戈®是首个且唯一获得美国FDA批准，联合雄激素受体抑制剂（ADT），并可联合或不联合多西他赛治疗激素敏感性前列腺癌（mHSPC）的雄激素受体抑制剂</p><p>l&nbsp; 第三个适应症的批准是基于关键性Ⅲ期ARANOTE试验的阳性结果，该试验拓宽了诺倍戈®的适应症范围，即联合ADT，并可联合或不联合多西他赛治疗mHSPC</p><p>l&nbsp; 诺倍戈®联合ADT加强了其在所有获批适应症的前列腺癌患者中已经确立的安全性和耐受性</p><p>拜耳宣布，美国食品药品监督管理局（FDA）已批准其口服雄激素受体抑制剂（ARi）诺倍戈®（达罗他胺）联合雄激素剥夺疗法（ADT）治疗转移性去势敏感性前列腺癌（mCSPC），也被称为转移性激素敏感性前列腺癌（mHSPC）。该批准是基于关键性III期ARANOTE试验的阳性结果，研究显示与安慰剂联合ADT相比，达罗他胺联合ADT显著降低mHSPC患者影像学进展或死亡风险达46%（HR 0.54; 95% CI 0.41–0.71; P&lt;0.0001）。</p><p>据此批准，诺倍戈®联合ADT，无论是否联合多西他赛在美国均可用于治疗mHSPC的成年患者。此外，诺倍戈®也获批用于治疗有高危转移风险的非转移性去势抵抗性前列腺癌（nmCRPC）。</p><p>蒙特利尔大学医院中心（CHUM）泌尿生殖肿瘤学主任、外科教授，ARANOTE试验的主要负责人Fred Saad医学博士提到，“ARANOTE试验的临床数据表明，达罗他胺联合ADT疗效显著且耐受良好。结合ARASENS试验（诺倍戈®联合ADT和多西他赛）中显示的强大临床疗效，此次批准进一步扩大了医生使用诺倍戈®治疗mHSPC的选择，使其在为患者选择临床方案时更加灵活。”</p><p>全球范围内，前列腺癌是男性第二常见癌症，也是男性癌症死亡的第五常见原因。2022年，估计有150万男性被诊断为前列腺癌，全球约有397,000人死于前列腺癌。预计到2040年，诊断为前列腺癌的患者将增加至290万。</p><p>拜耳处方药领导团队成员，全球产品战略及商业化负责人，执行副总裁Christine Roth表示，</p><p>“mHSPC患者希望接受能够延缓疾病进展和延长生存，同时又不影响日常活动的治疗。此次批准得到了临床数据强有力的支持，再次证实了诺倍戈®有潜力成为治疗前列腺癌各个疾病阶段的领先疗法，持续践行我们致力为患者及其家人提供有意义的治疗结果。”</p><p>达罗他胺已经在全球超过85个市场获批与ADT和多西他赛联合治疗mHSPC，商品名为诺倍戈®。同时，也在全球超过85个市场被批准用于治疗有高危转移风险的非转移性去势抵抗性前列腺癌（nmCRPC）患者。在中国，达罗他胺的第三个适应症联合ADT（不联合多西他赛）治疗mHSPC成年患者的上市申请正在审评中。</p><p>达罗他胺由拜耳和一家全球运营的芬兰制药公司Orion联合开发。</p>              ]]>
			         	</description>	 
      </item>
	        <item>
         <title><![CDATA[癌症患者戒烟指南（ASCO）]]></title>
         <link><![CDATA[http://oncol.dxy.cn/article/108087]]></link>
         <guid><![CDATA[http://oncol.dxy.cn/article/108087]]></guid>
		 		 <category><![CDATA[癌症]]></category>
		 		 <category><![CDATA[尼古丁]]></category>
		 		 <category><![CDATA[成瘾治疗]]></category>
		 		 <category><![CDATA[癌症治疗]]></category>
		 		 <category><![CDATA[戒烟益处]]></category>
		 		 <category><![CDATA[吸烟损害]]></category>
		 		 <category><![CDATA[指南共识]]></category>
		 		 <category><![CDATA[最新资讯]]></category>
		 		 <category><![CDATA[oncol_app_全部]]></category>
		 		 <category><![CDATA[无烟日专题]]></category>
		 		 <category><![CDATA[专题title文章]]></category>
		 		 		 <enclosure url="https://img.dxycdn.com/cms/upload/asset/2016/05/02/B1461916892.jpg" />
		 		 
         <pubDate>2025-05-13 16:15:02.0</pubDate>
             <description>
						<![CDATA[   
    			<p><strong>与患者就吸烟问题进行讨论</strong><br/><br/>关键点<br/><br/>• 无论所患癌症是否与吸烟有关，诊断癌症后继续吸烟者的治疗结果差于戒烟者。<br/><br/>• 各期癌症患者都应对吸烟给予高度重视，包括癌症幸存者和晚期癌症患者。<br/><br/>• 不应责备病人吸烟或是患癌。<br/><br/>• 复吸很常见，是对尼古丁成瘾的反应。<br/><br/>• 病人每次就诊时都应对吸烟进行评估。<br/><br/>为什么需要与病人讨论吸烟问题？<br/><br/>毫无争议，吸烟可以导致几种类型的癌症，许多病人想知道一旦诊断癌症再考虑吸烟问题是否太晚，这是肿瘤医生和病人很常见的一种错误观念。有证据显示患癌后继续吸烟者的治疗结果差于戒烟者，这一结论适合多种不同类型癌症病人，无论癌症是否由吸烟引起，都有证据支持戒烟对健康有益。因此ASCO鼓励肿瘤从业人员为病人提供戒烟支持。<br/><br/>各期癌症病人都要高度关注吸烟问题，包括癌症幸存者和晚期癌症患者。表1总结了诊断后不吸烟的获益和继续吸烟的风险。</p><p><span style="line-height: 25.2px;">表1.癌症病人戒烟获益与继续吸烟的风险</span></p><table><tbody><tr class="firstRow"><td height="25" style="" valign="top" width="386"><strong>戒烟</strong></td><td height="25" style="" valign="top" width="387"><strong>继续吸烟</strong></td></tr><tr><td style="" valign="top" width="386">改善治疗结果</td><td style="" valign="top" width="387">手术并发症发生率高，恢复慢</td></tr><tr><td style="" valign="top" width="386">减少副作用</td><td style="" valign="top" width="387">化放疗治疗相关毒性更高</td></tr><tr><td style="" valign="top" width="386">提高生存</td><td style="" valign="top" width="387">增加癌症复发风险</td></tr><tr><td style="" valign="top" width="386">降低感染风险</td><td style="" valign="top" width="387">增加其它严重疾病的风险，如心血管和呼吸系统疾病</td></tr><tr><td style="" valign="top" width="386">改善呼吸、增加体能</td><td style="" valign="top" width="387">降低治疗有效性</td></tr><tr><td style="" valign="top" width="386">改善生活质量</td><td style="" valign="top" width="387">使用氧气时或意识紊乱病人安全风险增加</td></tr><tr><td valign="top" width="386"><br/></td><td style="" valign="top" width="387">增加第二原发肿瘤风险</td></tr><tr><td valign="top" width="386"><br/></td><td style="" valign="top" width="387">降低生存</td></tr></tbody></table><p><span style="line-height: 1.8;">应该向病人就吸烟问题询问哪些内容？</span><br/></p><p>吸烟能影响病人对治疗的反应和恢复，因此需要精确掌握病人既往和现在的吸烟情况。吸烟史和目前吸烟状况的最佳衡量方法是询问病人诊断前及目前吸烟的时间和数量。有一些评估和处理工具，描述了如何获取需要的信息，包括Assessment of Tobacco Use History 和Assessment of Tobacco Use During Routine Patient Encounters。<br/><br/>病人起床后什么时间开始吸第一支烟对鉴别是否成瘾有帮助；既往吸烟史很重要，即使不再吸烟的病人也存在癌症更易复发的倾向；和其它吸烟者一起生活的病人戒烟挑战大，同时也是影响病人健康的风险因素。上述这些问题是病人治疗计划的一部分，不应因为病人吸烟而责备病人。<br/><br/>许多病人报告其诊断前已戒烟，但复吸很常见，所以每次病人就诊时再次评估吸烟情况就很重要，可以向病人询问一些标准化的问题来获得相关信息。<br/><br/>一些病人因为病耻感不愿意向医生提供其吸烟信息。研究表明有些癌症病人虽已戒烟，但尼古丁检查有时却是阳性，所以常规生化检查发现病人是否吸烟对近期戒烟者有应用价值。病人自我报告的吸烟状态看起来是准确的，如果怀疑病人没有准确报告吸烟情况，可以进行尼古丁生化检查以证实准确性。<br/><br/>怎样帮助病人戒烟？<br/><br/>新诊断癌症的病人经常被劝戒烟，并讨论如何戒烟。但是鼓励病人戒烟不足以保证烟草成瘾者长期脱离烟草。虽然许多病人在诊断及治疗时很赞同不吸烟，但会因为对尼古丁成瘾而再次吸烟。所以许多病人复吸并不是缺少鼓励或是动机，而是由于尼古丁成瘾。<br/><br/>大多数吸烟者以往都曾尝试过戒烟，是否愿意努力戒烟可以通过询问病人现在是否准备戒烟来评估。你会发现病人可能在某一次就诊时表现为完全不愿意戒烟，而在另一次就诊时却可能是截然不同的态度。向病人推荐戒烟对病人戒烟动机有影响，但不是每个人都准备好在特定的时间内戒烟，所以戒烟的动机程度也要在每次就诊时评估。<br/><br/>尼古丁成瘾不同于戒烟动机，后者是容易改变的。药物成瘾广义的定义是“持续的、冲动性的使用某种使用者明确了解有危害的物质”。通过对病人尼古丁成瘾程度的仔细评估，更好的指导指治疗。<br/><br/>持续每天吸烟者更易尼古丁成瘾，因此要充分了解既往吸烟史，明确对尼古丁依赖程度。频繁吸烟史（每天超过一盒）、起床就吸烟的人对尼古丁成瘾性更强。Heaviness of Smoking Index （HSI） 是简单评估尼古丁成瘾程度的工具，评估尼古丁成瘾程度有助于细化戒烟治疗方案。尼古丁依赖更强的病人可能需要更多支持帮助戒烟。<br/><br/><strong>鼓励病人戒烟</strong><br/><br/>关键点<br/><br/>• 直接告诉病人吸烟会降低治疗有效性，包括手术、放化疗。<br/><br/>• 病人每次就诊时都要与其交流尝试戒烟、成功戒烟和复吸等问题。<br/><br/>• 预先评估病人可能对吸烟风险和戒烟的错误观念，在交流中要强调改变吸烟习惯的重要性以及戒烟所能带来的益处。<br/><br/>关于吸烟与癌症治疗要向病人告知哪些内容？<br/><br/>在制定癌症治疗计划时，很有必要对吸烟问题进行讨论。当涉及吸烟对治疗的影响时，最佳方式是直接告诉病人吸烟能降低治疗有效性。换句话说，如果病人想要最大可能获得治疗成功并长期生存，他们就必需戒烟。<br/><br/>大量证据表明吸烟对多种癌症治疗结果和癌症治疗模式都有负面影响，包括那些并不是由吸烟直接导致的癌症，治疗烟草依赖可以看作是症状治疗的一部分。住院治疗是减少病人戒烟时的戒断症状和不舒适感的最佳时机，因为可以药物干预，且病人处于无烟环境中。<br/><br/>表2推荐了一些癌症治疗期间继续吸烟如何影响治疗的信息，对病人进行教育时可以使用。需要向病人指出吸烟是手术后出现并发症的首要风险因素。尼古丁收缩血管的作用会影响血流，吸烟增加循环中一氧化碳浓度，这些都将降低术后伤口愈合，增加手术部位感染机会 。<br/></p><p><span style="line-height: 25.2px;">表2. 继续吸烟对各种癌症治疗的影响</span></p><table><tbody><tr class="firstRow"><td style="" valign="top" width="254"><strong>手术</strong></td><td style="" valign="top" width="254"><strong>放疗</strong></td><td style="" valign="top" width="254"><strong>化疗</strong></td></tr><tr><td style="" valign="top" width="254">增加全麻合并症</td><td style="" valign="top" width="254">降低治疗有效性</td><td style="" valign="top" width="254">增加副作用如免疫抑制、体重减轻、疲劳感、肺和心脏毒性</td></tr><tr><td style="" valign="top" width="254">增加严重肺癌合并症风险</td><td style="" valign="top" width="254">增加毒性和副作用如口干、口腔炎、味觉丧失、肺炎、软组织和骨坏死、降低生活质量</td><td style="" valign="top" width="254">增加感染发生率</td></tr><tr><td style="" valign="top" width="254">影响伤口愈合</td><td valign="top" width="254"><br/></td><td valign="top" width="254"><br/></td></tr></tbody></table><p><span style="line-height: 1.8;">吸烟还会增加严重肺部合并症的风险，包括术中、术后支气管痉挛；增加全麻合并症，因为吸烟者肺内有更多的粘液。因为众多风险，许多外科医生坚持病人在手术前至少要停止吸烟2周，如果允许则可能要更长的时间内停止吸烟。</span></p><p>对接受放疗的病人需要指出继续吸烟会降低放疗完全反应率，增加毒性及副反应。与持续吸烟相关的副反应包括口腔炎、味觉丧失、口干、体重减轻、疲劳感、肺炎、软组织和骨坏死、生活质量下降。<br/><br/>对接受化疗的病人需向其指出吸烟会加重药物毒性和副作用，使病人在治疗期间更痛苦。吸烟还会削弱免疫功能、增加感染发生率、加重常见副反应如体重下降、恶液质、疲劳感、肺和心脏毒性。吸烟还能改变化疗药物代谢和作用机制，降低化疗作用。由于影响代谢，病人戒烟后食欲会增加。充足的营养对任何癌症的治疗都很重要，而戒烟对预防体重下降有帮助。<br/><br/>什么时候与病人讨论吸烟问题最佳？<br/><br/>病人每次就诊时都要与其交流是否有戒烟尝试、是否成功戒烟以及是否复吸。新诊断癌症的病人经常会被劝说戒烟，所以对讨论如何戒烟病人也是接受的。但不是每个人都做好准备在特定的时间里戒烟，且治疗期间戒烟动机会随时有变化，所以需要反复评估戒烟情况及动机，并对戒烟意图和努力给予鼓励。对没有做好戒烟准备的人需要一些干预措施。<br/><br/>评估病人是否做好戒烟准备的最佳方法是询问吸烟者是否确定了戒烟日期；如果病人明确了戒烟日期，接下来需询问是否准备就在今天戒烟；如果病人再次表示可以，询问病人需要医生给予哪些帮助。<br/><br/>如果病人没有准备好戒烟，则询问其计划什么时候戒烟，这些问题可使医生快速鉴别病人是否准备好戒烟以及阻碍病人戒烟的因素；如果病人没有确定戒烟日期，询问其是否能现在就确定戒烟日期，如果可以则按上述步骤继续；如果不可以则要其解释原因，明确不想戒烟的原因，哪些因素影响病人戒烟决定。<br/><br/>如果病人不愿意戒烟，那么减少烟草用量也是必要恰当的，有证据显示这对最终戒烟有促进作用，证据还支持向病人提供免费尼古丁治疗药物以促进戒烟。<br/><br/>与没有准备戒烟的病人交流哪些内容？<br/><br/>每个病人对其戒烟或不想戒烟都会有相应的理由。一些病人对吸烟的健康风险及戒烟有错误理解。预估病人底线并观察病人反应，如何改变吸烟习惯是交谈重点。<br/><br/>一些病人对动机干预措施反应良好，5-Rs方法（相关性、风险、回报、障碍、重复）是动机干预的范例，它需要病人配合才能鉴别和讨论戒烟的原因。<br/><br/>单纯戒烟的动机不足以确保长期戒烟，下一章将简要总结目前关于行为和药物治疗尼古丁成瘾的证据。<br/><br/><strong>治疗癌症病人尼古丁依赖</strong><br/><br/>关键点<br/><br/>• 需明确烟草成瘾是对尼古丁成瘾，这是因为脑中尼古丁受体的作用所致。<br/><br/>• 和病人一起制定恰当的戒烟目标。<br/><br/>• 医生推荐、证据为基础的戒烟策略增加病人尝试戒烟的可能性、增加戒烟尝试成功的可能性。电子烟和无烟烟草不应用于戒烟目的，因为没有证据支持其促进戒烟。<br/><br/>• 为更好满足病人戒烟需要，需综合考虑病人既往吸烟史、癌症治疗计划和戒烟药物治疗的禁忌证。<br/><br/>理解烟草依赖性<br/><br/>大多数吸烟者是想戒烟的，但不幸的是很难达到目的。医生对病人的劝诫可以影响其戒烟动机，但处理尼古丁成瘾则是一个挑战。烟草成瘾可以认为是“脑的疾病”，因为脑内的尼古丁受体所致。<br/><br/>许多癌症病人在诊断癌症时戒烟，在其完成治疗并感觉健康状态改善时开始再次吸烟。还会有一些社交暗示强化了其从癌症治疗恢复时吸烟的愿望。所以对许多癌症病人来说，复吸并不是戒烟动机的削弱，而是与尼古丁成瘾联系更紧密，有时也与没有充分做好戒烟准备有关。<br/><br/>帮助病人建立合理的改变其行为的目标。病人需要了解仅仅减少吸烟数量和烟草类型并不能达到充分的健康获益，对没有充分做好准备戒烟的人要鼓励其减少吸烟量，以期朝向最终戒烟努力。要使病人认识到戒烟是压倒一切的需要，因为大部分病人以往都曾有不成功的戒烟史。<br/><br/>持续每天吸烟者对尼古丁有依赖。那些每天频繁吸烟且报告晨起就吸烟的人尼古丁成瘾的强度更大，更易于复吸。HSI是简单评估尼古丁依赖的工具。不是每个人都做好准备立即戒烟，医生的工作是当病人准备好的时候，为病人提供机会戒烟，为病人提供戒烟帮助。也可以邀请病人家属加入，有时有些家属也正与烟草依赖做斗争。<br/><br/>简单的吸烟评估可以鉴定哪些个体高度尼古丁依赖、缺少戒烟动机或是没有戒烟自信，有助于治疗选择个体化；制定合理目标可使病人获得自信，对戒烟产生控制感；对未准备好戒烟的病人，应与病人一起制定短期目标以求最终戒烟，如延迟晨起第一支烟时间，限制吸烟时间地点，用尼古丁口香糖、硬糖果和水等逐渐代替吸烟，帮助病人建立控制吸烟的自信。<br/><br/>以证据为基础的治疗<br/><br/>因为大多数戒烟尝试都是无计划的，大多数成功戒烟者报告其在戒烟过程中没有任何戒烟帮助，没有任何外界帮助成功戒烟是个奇迹。医生的建议能增加病人戒烟可能性，增加病人持续脱离烟草的比率。应当向所有吸烟者提供烟草依赖治疗干预措施，即使很简短也很有效。通过咨询可使长期戒烟率接近20%，咨询与药物治疗联合可增加到30%。<br/><br/>在对不同戒烟治疗有效性进行回顾后，USPHS推荐吸烟者都要接受咨询、戒烟支持，最好与药物治疗相结合。有证据表明对重度成瘾吸烟者，更高剂量的药物治疗可能会获益。吸烟者代谢和对尼古丁反应的个体变化很大，这可能解释了不同的治疗效果。最近研究发现联合尼古丁替代治疗（NRT）如尼古丁贴联合口服尼古丁（口香糖或含片）能增加戒烟率。<br/><br/>几项研究发现在完全戒烟前几周就可以看到药物治疗的获益，这有助于吸烟者对烟草的戒断、使其对尼古丁成瘾不再敏感。电子烟在尝试戒烟的吸烟者中也正在逐渐流行，作为非法产品，电子烟不应用于戒烟治疗，没有证据表明其有效性。<br/><br/>一些病人认为转换为无烟烟草是戒烟的一种方式，无烟烟草实际上确实较正常烟草危险减低，但不推荐无烟烟草用于戒烟治疗，目前为止只推荐有证据支持的戒烟方法。<br/><br/>细化治疗方案满足病人需要<br/><br/>有证据支持的戒烟干预措施包括联合支持与药物治疗，了解病人吸烟史、癌症治疗计划后设计戒烟监控策略。因为戒烟治疗有效性依赖于成功的执行治疗，因此要特别注意药物治疗的禁忌症。例如口腔癌病人不应给予口服尼古丁替代治疗如口香糖或含片，尼古丁贴是优选。<br/><br/>复吸是可能的，所以需要在每次就诊时询问病人吸烟情况。复吸只是治疗过程的一部分，并不意味着治疗失败。当基础建议和治疗不成功时，阶梯治疗模式联合更强化的咨询和药物治疗会使病人向持续更长时间停止吸烟迈进。<br/><br/>药物治疗对那些中高HSI评分的病人有帮助。最近研究显示联合快速吸收的尼古丁药物如口香糖和含片与缓慢吸收的尼古丁贴能改善尼古丁高度成瘾者的戒断表现，增加长期戒烟的可能。对还没有准备好戒烟者，以5-Rs为主的咨询能帮助病人确定某个时间点进行戒烟。大部分吸烟者确实想戒烟，看穿病人不想戒烟并不影响干预。<br/><br/>生物反馈的使用证据并不一致，当考虑向病人证实烟草对他们的损害时可以考虑使用。例如简单的一氧化碳呼吸实验可以描述吸烟的不良影响，对那些拟行手术治疗的病人来说很重要。血尿或唾液检查可替宁也可帮助医生向病人讲述尼古丁是如何影响癌细胞生长的，这可能会影响癌细胞对治疗的反应。肺功能检查也可以显示吸烟对肺容量的影响。<br/><br/>所有努力都要自始至终的与干预措施相结合，如治疗小组成员通过打电话强化病人戒烟的决定、反复重申戒烟的好处、帮助病人解决因戒烟产生的任何问题。<br/><br/><strong>将烟草依赖治疗纳入医疗实践中</strong><br/><br/>关键点<br/><br/>• 将吸烟检查和戒烟服务纳入常规医疗实践，工作人员要知道吸烟的危害、不允许在医疗场所吸烟并帮助工作人员戒烟。<br/><br/>• 对任何想要戒烟的人来说戒烟都是可能的。<br/><br/>• 成功戒烟需要多种干预综合作用如就诊、电话、咨询、戒烟热线等。<br/><br/>• 电子医学记录使得戒烟更易纳入临床实践；至少吸烟状态应记录入EMRs，并在每次病人就诊时更新。<br/><br/>• 保险和各州覆盖戒烟赔偿，戒烟热线在美国对每个吸烟者都是免费的。<br/><br/>• 多种免费资源并存帮助病人和工作人员戒烟。<br/><br/>系统改变<br/><br/>为了保证病人戒烟，需要将烟草检查和戒烟服务纳入常规医疗活动中。帮助病人戒烟很重要，帮助你的同事戒烟也同样重要。<br/><br/>病人每次就诊时都要询问吸烟情况、治疗反应，并记录在案。护士加入吸烟评估可使戒烟干预措施施行的更高效，护士可执行措施包括正式的住院病人戒烟程序、补充教育材料、出院后随访。<br/><br/>教育所有工作人员了解吸烟的损害及戒烟的重要性，强调医疗工作者帮助病人成功戒烟中的重要作用，要使医疗工作者觉得自己是戒烟活动的必要组成，例如领导可以制定无烟政策，确保戒烟覆盖每个工作人员；接待人员和计划制定者负责戒烟调查并进行电话随访；护士和辅助人员帮助评估病人是否做好戒烟准备、并提供咨询和随访服务。<br/><br/>最后要让每个戒烟者觉得戒烟是可行的，无论是病人还是工作人员。大多数人在成功戒烟前都有过多次尝试戒烟，对每一次戒烟努力都要给予支持。减少病人因吸烟而产生的病耻感，病耻感会让人失去信心并羞于尝试戒烟。了解尼古丁成瘾的慢性本质，易于复吸的倾向，并为病人提供支持戒烟的环境。<br/><br/>病人评估与处理<br/><br/>戒烟5-As<br/><br/>戒烟应当是团队的努力结果，成功戒烟需要多因素相互作用如就诊、戒烟热线、随访等。2008年戒烟公共健康服务指南推荐根据5As（询问、建议、评估、帮助、安排）计划病人戒烟尝试。<br/><br/>询问<br/><br/>病人每次就诊时都要询问吸烟情况，治疗反应，并记录在案。询问癌症诊断前吸烟时间和数量是对现在和既往吸烟史的最佳评估方法。即便许多病人报告在诊断前已停止吸烟，因为复吸很常见，仍有必要每次就诊时询问吸烟情况。<br/><br/>建议<br/><br/>所有目前仍在吸烟者都要建议其立即戒烟，使其了解持续吸烟的害处和停止吸烟的益处。尽量针对个体特点进行教育，包括持续吸烟如何影响治疗。还可以讨论家庭、社会和经济费用。<br/><br/>评估<br/><br/>现在仍吸烟者，评估其戒烟意愿。病人有很多理由支持其不愿意戒烟或没有准备好戒烟。对每个可能都要做好充足准备或是理由，强调戒烟的重要性。对不愿意立即戒烟的病人可能反复宣讲有助于决定戒烟，5-Rs是开始这种类型交流的好方法。<br/><br/>明确病人尼古丁成瘾程度很重要，HSI是简单评估成瘾程度的工具。很多病人在诊断后会戒烟，了解病人诊断后是否戒烟对戒烟计划很重要。确定起床后吸第一支烟的时间对评估成瘾很有帮助，30分钟内吸烟者成瘾程度高。对既往吸烟者，要询问戒烟时间，戒烟中遭遇的困难，HSI还能评估前吸烟者成瘾程度，鉴别高复吸风险个体并预防复吸发生。<br/><br/>帮助<br/><br/>与准备戒烟的病人一起制定个体化的戒烟计划，包括戒烟日期、咨询、戒烟热线或社区转诊、处方FDA批准的戒烟药物（如果有需要）、估计治疗中可能遇到的困难（包括戒断综合征），根据尼古丁成瘾水平选择治疗药物。<br/><br/>对有复吸风险者，要明确导致可能复吸的因素，对现有的戒烟计划进行修订。联合药物、咨询、医生建议等治疗会有助于提高戒烟成功率，上述治疗是尼古丁依赖治疗的标准治疗。<br/><br/>安排<br/><br/>无论是否转诊，建议所有癌症病人戒烟，并需要一周或二周1次的电话随访以评估吸烟情况的进展。推荐更多随访，这样可以向病人传递戒烟的重要性。许多州的戒烟热线可以将招募入热线咨询计划的病人信息转至医院。在美国拨打1-800-QuitNOW电话可以咨询所在州能提供的戒烟服务。<br/><br/>对努力保持戒烟状态的病人，包括有精神疾病和药物滥用者，应转诊至精神科医生或专业戒烟咨询者。随访期间要不断强化病人努力改变吸烟行为的成就感。电话随访对药物治疗效果及用药问题评估特别有帮助。<br/><br/>如果病人重新吸烟，要确保支持环境不会让病人感到不舒服。对复吸者要专注正面的东西，努力确保下次戒烟成功。与病人一起调整戒烟计划或构建新计划，密切关注任何影响戒烟的文化、情感、文化程度和行为障碍。<br/><br/>治疗工具<br/><br/>治疗工具很多，要根据具体的实践来选择。随着电子健康记录广泛使用，更易将戒烟治疗纳入日常临床活动。至少吸烟状态应纳入EHR并在每次就诊时更新。吸烟状态可以促进了解病人既往吸烟情况、环境暴露和以往的戒烟尝试。<br/><br/>除了EHR，还可以建立吸烟登记，记录哪些就诊病人是正在吸烟者还是既往吸烟者，以及是否有意愿戒烟、戒烟计划细节、最近的随访和戒烟状态。吸烟登记很容易鉴别哪些病人需要戒烟或随访服务，哪些病人可能复吸。吸烟登记也可做为EHR的补充，也可独立存在。<br/><br/>在医生个人临床实践中还可以使用如下工具，如：<br/><br/>• 戒烟就诊记录模板<br/><br/>• 戒烟治疗计划模板<br/><br/>• 戒烟就诊检查模板<br/><br/>• 在表格中对吸烟状态以符号标记<br/><br/>确保戒烟治疗获得保险赔偿<br/><br/>一些制度缺陷，如过度关注保险补偿或不知道将病人转至何处进行戒烟支持治疗，这些都对癌症治疗中的戒烟治疗有害，所以向吸烟者提供关于戒烟的相关信息非常重要，包括：<br/><br/>• 内部戒烟支持<br/><br/>• 转诊至戒烟热线<br/><br/>• 转诊至社区支持戒烟<br/><br/>• 保险赔偿信息<br/><br/>每个保险公司和各州对戒烟治疗的覆盖是不同的，包括编码在内的覆盖信息根据保险类型也会有变化。<br/><br/>医疗保险<br/><br/>2010年，卫生与公众服务部覆盖了有证据支持的戒烟咨询，去除了戒烟治疗的障碍。新的覆盖下，吸烟者可以享受戒烟治疗赔偿。<br/><br/>公共医疗补助<br/><br/>关于戒烟公共医疗补助已经扩大，至2010年所有州都必需覆盖怀孕妇女戒烟，2013年开始覆盖戒烟预防服务的各州会得到更多的联邦补偿，2014年所有州的公共医疗补助程序都要支持FDA批准的戒烟药物。戒烟热线提供免疫免费服务。<br/><br/>私人保险<br/><br/>PPACA要求私人保险公司向所有成人和怀孕妇女提供证据为基础的戒烟咨询和干预。戒烟策略主题是USPSTF的A级推荐。<br/><br/>无保险<br/><br/>对无保险或保险未覆盖戒烟者可以寻求其它选择。<br/></p><p><a href="http://mp.weixin.qq.com/s?__biz=MjM5MzAwMjcyMA==&mid=205862319&idx=1&sn=0828a4797331984e9f7ece93ff7fdb3a#rd" style="line-height: 25.2px;white-space: normal;" target="_self">点击关注「肿瘤时间」微信公众号，即可获得 5 个丁当。</a></p>              ]]>
			         	</description>	 
      </item>
	        <item>
         <title><![CDATA[王辰院士领衔 经典升级 |《希氏内科学精要》终于迎来中英双语版，第10版隆重问世]]></title>
         <link><![CDATA[http://oncol.dxy.cn/article/919537]]></link>
         <guid><![CDATA[http://oncol.dxy.cn/article/919537]]></guid>
		 		 <category><![CDATA[血管疾病]]></category>
		 		 <category><![CDATA[呼吸道疾病]]></category>
		 		 <category><![CDATA[胃肠疾病]]></category>
		 		 <category><![CDATA[内分泌疾病]]></category>
		 		 <category><![CDATA[肿瘤]]></category>
		 		 <category><![CDATA[感染疾病]]></category>
		 		 <category><![CDATA[最新资讯]]></category>
		 		 <category><![CDATA[北京大学]]></category>
		 		 <category><![CDATA[非医学时间app]]></category>
		 		 		 <enclosure url="https://img1.dxycdn.com/p/s10/2025/0415/878/4034367505239012191.jpg" />
		 		 
         <pubDate>2025-04-16 10:22:31.0</pubDate>
             <description>
						<![CDATA[   
    			<h3 style="text-align: center;">与世界知名医学院医学生共读一本经典医书</h3><h3 style="text-align: center;">十版承粹，双语启新</h3><p><br/></p><p>《希氏内科学》（Goldman-Cecil Medicine）是全球范围内最为著名、流传最广的医学教科书之一。凝炼其精华的<strong>精要版本</strong>——《希氏内科学精要》（Cecil Essentials of Medicine）以<strong>简洁、易读</strong>的写作风格著称，重点介绍了经过<strong>高度概括</strong>的内科学核心知识，<strong>为医学生启蒙筑基之师，住院医师临床决策之导，内科专科医师深度精进之钥，内科之外专科医师返本溯源之鉴</strong>。历经 9 版，终于迎来期盼已久的《希氏内科学精要》第 10 版 中英双语对照版。</p><h3 style="text-align: center;">导 引 语</h3><p><br/></p><p style="text-align: center;"><img alt="01.png" src="https://img1.dxycdn.com/p/s10/2025/0415/963/0420564207477902191_small.png" title=""/></p><p style="text-align: center;"><img src="https://img1.dxycdn.com/p/s10/2025/0415/590/8657349311808902191.png!w640" title=""/></p><p>让我国医学生与国际医学生站在同一起跑线上的首要之事，是为其提供具有世界先进水平的标准教材。我们应争取使每一位医学生都能接触到内容经典、充分代表现代医学水平的国际权威原文教材并力求准确翻译，提供原文与中文双语对照版本，使医学生和医生在学习中形成双语医学词语、概念、概念间逻辑及由此构成的医学知识体系。在这样的思想驱动下，国际经典内科学教科书《希氏内科学精要（第 10 版）》中英双语版应运而生。</p><p>《希氏内科学》是一部伟大的著作，体量巨大却精致无比，自 1927 年首次出版以来，其在内科学领域渐享世界级声誉，成为全球众多优秀医学院校，包括哈佛医学院、斯坦福大学医学院、约翰斯·霍普金斯大学医学院、牛津大学医学部、剑桥大学医学院、墨尔本大学医学院、新加坡国立大学医学院及多伦多大学医学院等普遍采用的内科学参考书。</p><p style="text-align: center;"><img alt="希氏主编1.png" src="https://img1.dxycdn.com/p/s10/2025/0415/506/8613075847938902191_small.png" title=""/></p><p style="text-align: center;">《希氏内科学》1-12 版主编 R.L. Cecil<sup>[1]</sup></p><p style="text-align: center;"><sup><img alt="希氏主编2.jpg" src="https://img1.dxycdn.com/p/s10/2025/0415/499/0679629250958902191.jpg!w640" title=""/></sup></p><p style="text-align: center;">《希氏内科学》现任主编 L. Goldman<sup>[2]</sup></p><p>我国最早开始进行 《希氏内科学》及其精要版本翻译工作的王贤才教授形容它为「瑰丽宏伟的宫殿」，无论是对于医学生还是任何一个阶段的医生都具有领航人的意义。我国老一辈医学家，几乎都是以《希氏内科学》为蓝本，接受医学教育的<sup>[3]</sup>。</p><p style="text-align: center;"><img alt="旧版希氏.jpg" src="https://img1.dxycdn.com/p/s10/2025/0415/411/8085335493509902191_small.jpg" title=""/></p><p style="text-align: center;">王贤才教授翻译《希氏》版本（部分，5 种 25 部 2100 万字）<sup>[3]</sup></p><p>如果说《希氏内科学》作为一本全面的内科学通用巨著，满足医学生、住院医师和执业医师随时检索和查考的需要，那么凝炼其全本之精华和要点的《希氏内科学精要》(Cecil Essentials of Medicine，曾被称为《简明希氏内科学》)&nbsp;则更适合作为可供系统阅读和学习的教材或授课教本。首版《希氏内科学精要》诞生于 1986 年，旨在以最为简洁明确的方式向以医学生为主体的医学界精辟传达《希氏内科学》的核心信息，包括书中所体现的人文精神。此后的每版精要本都力求凝炼地反映当时最新医学成果和医疗实践指南，愈来愈成为各国医学生、住院医师、专培医师及教师学习和传授内科学的主要教本，在世界医学教材体系中居引领地位。</p><p style="text-align: center;"><img alt="外版书实拍.JPG" src="https://img1.dxycdn.com/p/s10/2025/0415/622/8216148145649902191.jpg!w640" title=""/></p><p style="text-align: center;">《希氏内科学精要》第 10 版原版与中英双语版合影</p><p>「它不是《希氏内科学》摘录，不是删繁就简和压缩，而是完全的再创作，目的是以简洁、明了的方式，全面、系统地阐释内科理论和实践中的最重要原理和原则，也就是内科领域的最精辟的核心内容。这是煞费苦心的。从某种意义来说，它比母本《希氏内科学》难度更大，写作过程也更艰辛。」</p><p style="text-align: right;">—— 王贤才<sup>&nbsp;[4]</sup></p><p>中国的医学生、住院医师、专培医师需要培养国际专业信息获取能力。将精要本原文引进并准确翻译，以中英文对照的形式呈现，便于读者进行双语对照阅读和学习，使之在学习理解国际标准医学内容的同时，学习好中英文医学词语，为国际医学交流打好基础。相信此举对于提高我国的医学教育水平，培养国际型医学人才至为有益。</p><p style="text-align: center;"><img alt="001-1.jpg" src="https://img1.dxycdn.com/p/s10/2025/0416/398/8427958248847242191.jpg!w640" title=""/></p><p style="text-align: center;"><img alt="002-2.jpg" src="https://img1.dxycdn.com/p/s10/2025/0416/308/4262841734248242191.jpg!w640" title=""/></p><p style="text-align: center;">各分册样页实拍</p><p>《希氏内科学精要》精练地涵盖了内科学的所有主要领域，包括心血管疾病、呼吸疾病与危重症、胃肠疾病、肾脏疾病、内分泌与代谢疾病、肌肉骨骼与结缔组织疾病、血液疾病、肿瘤、感染性疾病、神经与老年疾病等，构建了较为系统的知识体系。在翻译引进过程中，我们遵循将相关内容集中的原则，将原书按系统器官拆分为十个分册，使其更具有专科阅读的对应性，以更加灵活轻便的形式为读者提供多样化的阅读选择。&nbsp;</p><p style="text-align: center;"><img alt="封面合集.jpg" src="https://img1.dxycdn.com/p/s10/2025/0415/431/4264788199342012191.jpg!w640" title=""/></p><p style="text-align: center;">封面实拍</p><p>为确保译文质量，本书在译者遴选上采取了严谨的标准。从《希氏内科学（第 26 版）》翻译团队中择优选取责任心强、译文优质的译者，同时吸纳了临床医学专业「101」计划核心教材的编者团队。每个分册均由主译专家带领各自译者团队完成翻译、审校、交叉互审、通审四级译审工作。这些译者具备扎实的英语与专业能力，他们在翻译过程中，深入理解原文，准确阐述作者思想，并多角度审视译文的准确性、流畅性与风格一致性，确保译文的忠实性、规范性与可读性，在不同的语言和文化间架起坚实的桥梁。每成一章，除请专家审阅以保证其科学性外，还约请了不同年资医师，特别是中青年医师试读、品评，反复修订，终成定稿。</p><p style="text-align: center;">中英双语版 编辑委员会</p><p style="text-align: center;"><img alt="编委会.png" src="https://img1.dxycdn.com/p/s10/2025/0415/862/2154688010362012191.png!w640" title=""/></p><p>尤其值得称赞的是，对原著中疏漏或不够完善之处，译文中以「译者注」的形式加以适当解释和说明，使译文内容在忠实于原著的基础上更为准确。</p><p style="text-align: center;"><img alt="002手册注释-1.jpg" src="https://img1.dxycdn.com/p/s10/2025/0416/702/6773408600598242191.jpg!w640" title=""/></p><p style="text-align: center;">「译者注」实拍</p><p>本书读者定位于具有一定学习能力和基础的高等医学院校临床医学「4+4」学制、8 年制、5 年制学生以及相关医学专业人员，可作为医务人员的内科学参考书、住院医师规范化培训和专科医师规范化培训辅导教材、研究生入学考试辅导教材、内科学教师参考书、内科学各专科医师复习回顾其他专科知识的重要读本。</p><p style="text-align: center;"><img alt="实拍图.JPG" src="https://img1.dxycdn.com/p/s10/2025/0415/331/8406051622434012191.jpg!w640" title=""/></p><p>引用来源：</p><p style="text-align: left;">[1] https://www.si.edu/object/siris_arc_290689</p><p style="text-align: left;">[2] https://arc-anglerfish-arc2-prod-spectator.s3.amazonaws.com/public/4FDUVAAROZHLFDTZDGSILM4ZDE.jpg</p><p style="text-align: left;">[3]&nbsp;王贤才教授著《我与〈希氏内科学〉》（中国文史出版社，2019 年 2 月出版）</p><p style="text-align: left;">[4]&nbsp;原载于《江西民主与科学》1994 年第1期；《德·赛》1992 年第 3 期</p><p style="text-align: left;"><br/></p><h2 style="text-align: center;"><strong>编委会力荐</strong></h2><p style="text-align: center;">《希氏内科学精要》第 10 版 中英双语版 全 10 册</p><p>内科中各专科间相互依存，诊断产生于鉴别诊断，病间互作成为医生能否「治病」又「治命」的关键，共病(multi-morbidity)医疗是医学界未来的主导性方向。内科医生不可仅局限于本专科，「功夫在诗外」，兼及其他专科至为重要。建议专科医生通读凝炼各专科要义的全套《希氏内科学精要》，使自己的专科知识「高峰」建立于内科学的「高原」之上。</p><p style="text-align: center;"><img alt="分册详情.png" src="https://img1.dxycdn.com/p/s10/2025/0415/380/4452984529305012191.png!w640" title=""/></p><p style="text-align: left;">以上图书由北京大学医学出版社出版，可在北京大学医学出版社天猫旗舰店(bjdxyxcbs.tmall.com)、北京大学医学出版社有赞自营店（https://j.youzan.com/JQFivp）、北京大学医学出版社京东自营旗舰店（https://mall.jd.com/index-1000337381.html）购买正版图书。</p>              ]]>
			         	</description>	 
      </item>
	        <item>
         <title><![CDATA[AJE 高级润色服务]]></title>
         <link><![CDATA[http://oncol.dxy.cn/article/918804]]></link>
         <guid><![CDATA[http://oncol.dxy.cn/article/918804]]></guid>
		 		 <category><![CDATA[非医学时间app]]></category>
		 		 		 <enclosure url="https://img1.dxycdn.com/p/s10/2025/0407/389/2534023262104319091.jpg" />
		 		 
         <pubDate>2025-04-07 14:40:10.0</pubDate>
             <description>
						<![CDATA[   
    			<p>团体优惠处绑定丁香园的特别代码【DXM4351】，全线产品享 9 折优惠！</p><p>咨询电话：18658143450（分机号：8107）</p><h3><strong>01、高级润色服务都包含哪些语言检查？</strong></h3><ul class=" list-paddingleft-2"><li><p>纠正语法、用词、语言和标点符号</p></li><li><p>保持作者的原意、结构和逻辑</p></li><li><p>优化写作风格和流畅度</p></li><li><p>AJE 编辑证书</p></li></ul><h3><strong>02、高级润色服务包含哪些售后服务？</strong></h3><ul class=" list-paddingleft-2"><li><p>无限次、不限期限的免费重新编辑</p></li><li><p>RCP 科研交流合作伙伴 &nbsp;Q&amp;A</p></li><li><p>解决文稿完成后的后续问题，直到您满意为止</p></li></ul><h3><strong>03、何为无限次、不限期限的免费重新润色？</strong></h3><p>「免费重新润色」，是润色公司给作者的质保承诺。即「如果论文被期刊指出存在语言问题，润色公司将免费提供重新润色」。要是给这份「免费」前面加个期限，我们都希望是「无限期」。但有的润色公司机智地加上了一个「一年期有效」。</p><p>投稿到见刊有时及其耗时，稿件通常要经历 with editor，under review 及 await decison 阶段，而不同的学科领域需要的时间比也有很大差异。如果说论文发表出来时已经是一年后了，尚且接受；那么「等了 12-14 个月才得到一个 No 或是开始第一轮审稿」真是让人无力承担。这个时候作者因为期刊指出「需要修改语言问题或者修改内容」，润色公司惋惜又不失礼貌地回复：我们对您的遭遇深表同情，但是因为这个服务有效期是 1 年，所以您如果需要重新润色，就要再次付费。</p><h3><strong>04、AJE 科研交流伙伴（RCP）都能为您解答什么？</strong></h3><p>科研交流伙伴是由我们的美国编辑团队组成的，他们都具备多年的编辑经验，可以为您的文稿进行一对一的咨询，解答整个润色过程中的任何问题：</p><ul class=" list-paddingleft-2"><li><p>服务项目</p></li><li><p>论文写作</p></li><li><p>发表流程</p></li><li><p>其他疑问</p></li></ul><h3>05、如何使用代码？&nbsp;&nbsp;</h3><ul class=" list-paddingleft-2"><li><p>进入 AJE 官网注册/登陆账户</p></li><li><p>在「团体优惠码」处绑定代码</p></li><li><p>上传文稿选择「高级润色」服务，享受 9 折优惠</p></li></ul><p><br/></p><h3>我们的保证</h3><p>经过 AJE 编辑的完整稿件享受我们的质量保证。我们承诺，如果您对稿件的编辑不满意、或在投稿后期刊提出还有英语语言错误，我们将免费重新编辑您的文件。<br/><br/>如果您寻求为您的稿件提供更高级别的支持，我们的高级编辑服务能够为您提供更强大的编辑支持。我们将对文稿提供不限次数免费重新润色直到发表。</p><p>如果期刊提出我们编辑的稿件有英语语言问题，请联系我们并附上您发送给期刊的文档以及期刊的全部意见。收到您的文档后，我们将在 1 个工作日内为您答复。<br/></p><p>如果您对我们的润色质量不满意，我们将与您一起合作并解决问题，直到您满意为止。请举出一两个例子或一些详细说明，以便我们正确理解您不满意的具体原因。</p><div><br/><br/><p><strong>客户感言 &nbsp;</strong></p><p>在 AJE 润色服务的帮助下，我和我的同事发表了几篇 SCI 文章，今后凡是有语言润色需求，我都会第一时间想到 AJE。现在我们的科研论文 &nbsp;&nbsp;&#39;Morphological evidence for a neurotensinergic periaqueductal gray-rostral ventromedial medulla-spinal dorsal horn descending pathway in rat&#39;&nbsp; 成功发表在期刊 &nbsp;Frontiers in Neuroanatomy 上，再次感谢 AJE！<br/>Dr. Jian Wang</p><p>编辑很细致、很耐心负责的多次编辑了我的稿件，最终论文顺利接受，发表在 ACS AMI 杂志（IF = 5.900）这是一个很好的杂志，我在 &nbsp; 论文致谢部分感谢了 AJE。我会继续选择你们的服务，并向我的同事推荐。谢谢<br/>Dr.&nbsp; 嘉 &nbsp; 杨</p><p><br/></p></div><p><strong>❓常见问题</strong> <br/><br/>谁是你们的编辑人员？</p><p>我们的编辑都拥有（或即将得到）美国 top 大学的硕士、博士或医学博士的学位。他们都以英语为母语，并且符合严格的选拔条件。AJE 的工作团队由 2000+ 专业资深编辑和翻译人员组成，涵盖了 420+热门研究领域。如果您想了解更多信息，请访问 AJE 团队页面。</p><p>什么是 AJE 编辑证书？</p><p>AJE 将提供一份证书，确认您的论文是由 AJE 编辑的。假设我们建议的任何更改均已被纳入稿件，该证书保证您的稿件的英文质量适合进行同行评议。如果您的论文在一轮编辑后未获得证书，我们将乐于与您合作，以改进语言，直到论文有资格获得证书为止。</p><p><br/></p>              ]]>
			         	</description>	 
      </item>
	        <item>
         <title><![CDATA[云顶新耀 EVM14 新药临床试验申请获美国 FDA 批准]]></title>
         <link><![CDATA[http://oncol.dxy.cn/article/917631]]></link>
         <guid><![CDATA[http://oncol.dxy.cn/article/917631]]></guid>
		 		 <category><![CDATA[非医学时间app]]></category>
		 		 <category><![CDATA[最新资讯]]></category>
		 		 		 <enclosure url="https://img1.dxycdn.com/p/s10/2025/0324/926/6568707077441204091.jpg" />
		 		 
         <pubDate>2025-03-24 12:04:29.0</pubDate>
             <description>
						<![CDATA[   
    			<p>随着 mRNA 技术在肿瘤治疗领域的探索，处于全球前沿的相关，已经取得突破性进展，并有望率先攻克全球肿瘤治疗临床痛点，引领肿瘤治疗进入新阶段。</p><p>3 月 24 日，港股创新药企业云顶新耀宣布，其通用型的现货肿瘤治疗性疫苗 EVM14 注射液的新药临床试验申请（IND）获美国食品药品监督监督管理局（FDA）的批准。云顶新耀近期将向中国国家药品监督管理局药品审评中心递交 EVM14 的临床试验申请。</p><p>临床前试验显示，EVM14 展现出卓越抗癌潜力。在小鼠实验中，它呈现出剂量依赖性的抗原特异性免疫应答，于多个小鼠同源肿瘤模型里，显著抑制肿瘤生长。尤为关键的是，EVM14 还能诱导免疫记忆，展现出有效降低肿瘤复发及转移的能力。当 EVM14 与免疫检查点抑制剂（ICI，如 PD-1 或 PD-L1 抑制剂）联合使用时，抗肿瘤活性大幅增强，为临床联合用药探索提供了有力支撑，有望为癌症患者带来全新治疗方案与更多治愈希望。</p><p>值得一提的是，EVM14 获得 FDA IND 批准是 AI 技术赋能研发的新成果，目前 AI 正逐渐成为推动提升研发效率和精准度的关键力量，作为国内率先将 AI 驱动的 mRNA 肿瘤治疗性疫苗推进至临床阶段的生物制药公司，云顶新耀依托经过临床验证且实现本地化的 mRNA 平台，以及专有的具备自我迭代能力的「妙算」mRNA 序列算法系统（EVER-NEO-1），不断提升研发效率，推动创新疗法惠及全球患者。</p><p><br/></p><p><strong>EVM14 诱导免疫记忆</strong></p><p><strong>抑制肿瘤生长且有效抑制肿瘤复发转移</strong></p><p>据了解，EVM14 是一款靶向多种肿瘤相关抗原（TAA）的通用型的现货肿瘤治疗性疫苗，拟用于非小细胞肺癌、头颈癌等多种癌症的治疗，是通过将编码多种肿瘤相关抗原（TAA）的 mRNA 原液包封在脂质系统中配制而成。肌肉注射后，EVM14 可被抗原呈递细胞（APC）摄取并翻译成靶抗原，经加工后由主要组织相容性复合体（MHC）分子呈递给 T 细胞并激活抗原特异性 T 细胞。这些活化的 T 细胞可迁移至肿瘤组织，识别并杀死表达靶抗原的肿瘤细胞，同时诱导免疫记忆。</p><p>此外，在 mRNA 疫苗领域，AI 赋能创新药研发已成为近年来全球生物医药行业的重要趋势，云顶新耀基于数据+AI 驱动的研发策略显著缩短了从研发到临床试验的时间周期，不仅提升了效率，更大幅提升了研发成功率，推动 mRNA 药物研发从『经验驱动』向『数据+AI 驱动』转型。目前其专有的『妙算’mRNA 序列算法系统（EVER-NEO-1）已迭代至第三代，并通过大数据模型持续演化中。</p><p>在临床前试验中，EVM14 在小鼠中诱导了剂量依赖性的抗原特异性免疫应答，并在多个小鼠同源肿瘤模型中显著地抑制了肿瘤生长。EVM14 显著地激活了 T 细胞，促进 T 细胞对肿瘤组织的浸润，增强了 T 细胞的杀伤功能，降低了调节性 T 细胞（Treg）的浸润以及细胞毒性 T 细胞（CTL）的耗竭，与其抗肿瘤活性高度相关。</p><p>更值得关注的是，临床前研究表明，EVM14 作为一款治疗型疫苗，能够诱导免疫记忆，展现出有效降低肿瘤复发及转移的能力。大部分 MC38-TAA5 荷瘤小鼠经 EVM14 疫苗治疗后肿瘤完全消退，再次接种 MC38-TAA5 肿瘤细胞或者野生型 MC38 肿瘤细胞，也不再出现肿瘤生长。这意味着经过 EVM14 治疗后，体内 T 细胞能够形成免疫记忆，再次遭遇肿瘤细胞时，能快速和强烈的免疫应答，减少复发和转移的概率。</p><p><br/></p><p><strong>有望让患者实现「长期无癌生存」的获益</strong></p><p><strong>解决大量未满足临床需求</strong></p><p>Globocan 2022 年统计数据显示，全球新发肿瘤人数 2000 万人，因肿瘤死亡的人数为 970 万人。其中肺癌是世界上发病率最高的肿瘤类型，2022 年我国肺癌新发病例约 106.06 万，是我国发病率及死亡率排名第一的恶性肿瘤。非小细胞肺癌（NSCLC）约占肺癌总数的 85%～90%，其中鳞状 NSCLC（sq-NSCLC）作为亚型之一，占 25%～30%。然而 EGFR 突变、ALK 和 ROS1 重排等常见的靶向基因改变仅在不到 10% 的鳞状非小细胞肺癌病例中出现。因此，大多数局部晚期或转移 sq-NSCLC 患者不适合接受靶向治疗。<sup>[1]</sup></p><p>此外，据 2022 年全球癌症统计报告，头颈部鳞状细胞癌（HNSCC）是第七大常见癌症，估计每年有 89 万新病例和 45 万死亡病例。尽管人乳头瘤病毒（HPV）感染相关口咽癌的预后良好，但不幸的是，超过 50% 完成根治性治疗的局部晚期 HNSCC 患者最终出现复发或转移，并导致预后不良、高水平死亡率和生活质量恶化。大量未满足的临床需求亟需创新的治疗手段。</p><p>当前，无论是免疫疗法还是靶向疗法，均难以使免疫系统形成「记忆」。靶向肿瘤相关抗原的肿瘤疫苗有望成为现有疗法的强力补充，不仅起到联合增效的功能，而且有望减少患者复发及转移，契合当前肿瘤药物研发的趋势。</p><p>作为一款治疗型疫苗，临床前研究表明，EVM14 能够诱导免疫记忆，展现出有效降低肿瘤复发及转移的能力，有望让患者实现「长期无癌生存」的获益，在肿瘤治疗领域极具开拓性意义与潜在价值。此外，临床前研究还证明了 EVM14 与免疫检查点抑制剂（ICI，如 PD-1 或 PD-L1 抑制剂）的联用可以显著增强抗肿瘤活性，支持在临床上对联合用药的探索。</p><p>并且，通用型的现货肿瘤治疗疫苗能大大缩短生产周期，提升产能，降低生产成本，惠及更多患者。目前，全球范围内进展最快的该类疫苗尚处于早期临床阶段，包括 Moderna、BioNTech 等领先跨国药企的产品均处于 I/II 期研究阶段，EVM14 目前位于开发第一梯队。</p><p>得益于前瞻性的布局以及开拓能力，当前云顶新耀基于自研 mRNA 技术平台建立起三款核心管线产品，即通用型的现货肿瘤治疗性疫苗 EVM14、已进入临床阶段的个性化肿瘤治疗性疫苗 EVM16、自体生成 CAR-T 产品，三款产品已成为云顶新耀在肿瘤及自身免疫疾病领域创新战略的三大核心支点，不断拓展临床需求迫切、市场潜力广阔的治疗领域，为全球患者带来突破疗法。</p><p><br/></p><p>[1] Bray F, Laversanne M, Sung H, et al. Global cancer statistics 2022: GLOBOCAN estimates of incidence and mortality worldwide for 36 cancers in 185 countries. CA Cancer J Clin. 2024. doi:10.3322/caac.21834</p>              ]]>
			         	</description>	 
      </item>
	        <item>
         <title><![CDATA[完整糖肽技术揭示乳腺癌生物标记物]]></title>
         <link><![CDATA[http://oncol.dxy.cn/article/915849]]></link>
         <guid><![CDATA[http://oncol.dxy.cn/article/915849]]></guid>
		 		 <category><![CDATA[和信]]></category>
		 		 <category><![CDATA[非医学时间app]]></category>
		 		 <category><![CDATA[最新资讯]]></category>
		 		 		 <enclosure url="https://img1.dxycdn.com/p/s10/2025/0304/684/8843454088543376981.png" />
		 		 
         <pubDate>2025-03-04 10:10:52.0</pubDate>
             <description>
						<![CDATA[   
    			<p>蛋白质糖基化是一种关键的翻译后修饰（PTM），介导多种生物功能。异常糖基化与炎症和肿瘤等疾病密切相关。因此，糖基化是发现疾病相关生物标志物的重要靶点。糖基化具有宏观异质性（糖基化发生在不同位点）和微观异质性（每个位点有不同的糖型和结构），因此，相比于切糖分析，完整的糖肽分析能够揭示蛋白层面上的糖基化信息，这是糖蛋白组学具有挑战性的一项工作。通过质谱对糖肽进行完整表征已被证明是位点特异性糖蛋白组学分析和生物标志物筛选的通用工具。</p><p><br/></p><p>近期，复旦大学乔亮教授团队联合SCIEX 团队、单宝珍博士（百蓁生物联合创始人）在Analytical Chemistry上在线发表了“Quantitative Site-Specific Glycoproteomics Reveals Glyco-Signatures for Breast Cancer Diagnosis”文章，该研究方法通过优化质谱分析方法和机器学习算法，从乳腺癌的临床样本中鉴定和定量位点特异性的糖基化特征，最终确定了15种位点特异性聚糖作为检测乳腺癌症的潜在生物标记。这种方法不仅为乳腺癌的早期诊断提供了新的生物标志物，也为其他疾病的糖蛋白组学研究提供了新的思路和工具。</p><p>&nbsp;</p><p><strong>研究方法</strong></p><p>本研究对124份临床血清样本（乳腺癌患者、良性病变患者及对照组）进行糖蛋白组分析。通过对ZenoTOF 7600质谱仪动态碰撞能量设置的优化进行糖肽数据的采集，利用GlycanFinder 2.0等软件对糖肽进行鉴定与定量，进而利用主成分分析（PCA）和随机森林机器学习算法筛选位点特异性的糖基化标志物，并通过靶向MS/MS验证其在不同组间的差异表达，为乳腺癌的诊断提供潜在标志物。</p><p>&nbsp;</p><p><strong>研究结果</strong></p><p><strong>一、完整N-糖肽检测流程的建立</strong></p><p>首先建立了完整糖肽鉴定质谱数据采集和数据分析的工作流程，探索了糖肽鉴定的质谱信息学解决方案。通过对比不同固定CE (collisional energy)和动态CE条件下的糖肽鉴定结果，发现动态CE在糖肽鉴定数量和位点特异性糖基鉴定数量上显著优于固定CE值。与PEAKS® Studio和 FragPipe糖肽解析软件相比，GlycanFinder 2.0在不同CE条件下的糖肽鉴定数量和得分表现最为稳定。</p><p><br/></p><p>&nbsp;<img alt="2.png" src="https://img1.dxycdn.com/p/s10/2025/0304/287/2300245270033376981.png!w640" title=""/></p><p>图1. 完整糖肽鉴定中不同碎裂条件和信息学解决方案的性能比较</p><p>&nbsp;</p><p><strong>二、乳腺癌血清糖蛋白组分析</strong></p><p>利用上述确定的流程，研究人员分析了124名女性参与者的血清样本，其中包括40名乳腺恶性肿瘤（MT）患者、43名乳腺良性肿瘤（BL）患者和41名无乳腺疾病的对照组（Con），对每个样品进行蛋白质组学和糖蛋白组学分析（图2a）。在糖蛋白质组水平上，共鉴定出6901个独特位点特异性糖链，涉及807个糖基化位点，糖基化修饰以唾液酸化为主。</p><p><img alt="3.png" src="https://img1.dxycdn.com/p/s10/2025/0304/420/2952268026233376981.png!w640" title=""/></p><p>图2. 乳腺癌临床血清样本的糖蛋白组分析</p><p>&nbsp;</p><p><strong>三、乳腺癌糖蛋白组相比蛋白质组的差异分析</strong></p><p>研究人员探索了MT、BL和Con中蛋白质组和糖蛋白组的定量结果。糖蛋白质组在MT、BL和Con之间表现出显著差异，而蛋白质组的差异较小。差异表达的位点特异性糖链，主要涉及凝血、糖胺聚糖结合、肽酶活性、免疫反应等功能。KEGG通路分析显示，补体和凝血级联反应在MT和BL中显著改变，胆固醇代谢在MT和BL中下调，而黏着斑和铁死亡通路在MT中上调。</p><p><img alt="4.png" src="https://img1.dxycdn.com/p/s10/2025/0304/447/0806655368433376981.png!w640" title=""/></p><p>图3. 乳腺癌血清糖蛋白组的定量差异与功能分析</p><p>&nbsp;</p><p><strong>四、乳腺癌诊断的N-糖生物标记的发现</strong></p><p>为了从位点特异性聚糖中筛选潜在的生物标志物，研究人员使用随机森林来构建样本分类器。从位点特异性糖链中筛选出15个潜在的糖基标志物，用于构建乳腺癌检测的分类模型。该模型在训练集上实现了0.98的AUC值，并在验证集上达到了0.99的AUC值，显示出较高的诊断准确性。针对15个候选糖基标志物的靶向质谱分析进一步验证了其在乳腺癌诊断中的潜力。</p><p><img alt="5.png" src="https://img1.dxycdn.com/p/s10/2025/0304/429/0869198702733376981.png!w640" title=""/></p><p>图4.用于乳腺癌症诊断的位点特异性聚糖生物标志物筛选。</p><p>&nbsp;</p><p>&nbsp;</p><p><strong>结论</strong></p><p>文章提出了一种使用质谱进行完整糖肽表征的方法，并展示了其在临床血清样本的大规模位点特异性定量糖蛋白组分析中的应用。研究结果表明：位点特异性糖蛋白组为疾病生物标志物研究提供了令人兴奋的机会，该方法在基础和临床糖蛋白组学研究中具有广阔的潜力。</p><p>&nbsp;</p><p><strong>优品推荐</strong></p><p><strong>糖蛋白质组学分析</strong></p><p>百蓁生物（Baizhen Biotechnologies）是一家以AI驱动质谱技术，聚焦精准医疗的生物科技公司，是Bioinformatics Solutions Inc的中国分公司，公司不断深入优化完整糖肽和释放聚糖质谱分析技术，采用特有的PEAKS® GlycanFinder分析软件，提供对复杂样品的糖基化进行鉴定和相对定量分析服务。</p><p><strong>服务优势：</strong></p><p>全:专利酶解技术确保糖基化位点全覆盖</p><p>深:专利富集材料确保糖肽深度鉴定</p><p>多:多种碎裂方式组合确保糖肽离子信息丰富</p><p>准:独有结构分辨的糖基化解析软件确保鉴定和定量准</p><p><br/></p>              ]]>
			         	</description>	 
      </item>
	        <item>
         <title><![CDATA[拜耳精准靶向药维泰凯®准入新版国家医保目录！]]></title>
         <link><![CDATA[http://oncol.dxy.cn/article/908566]]></link>
         <guid><![CDATA[http://oncol.dxy.cn/article/908566]]></guid>
		 		 <category><![CDATA[非医学时间app]]></category>
		 		 <category><![CDATA[最新资讯]]></category>
		 		 		 <enclosure url="https://img1.dxycdn.com/p/s10/2024/1129/363/2361282611041532681.jpg" />
		 		 
         <pubDate>2024-11-29 12:22:32.0</pubDate>
             <description>
						<![CDATA[   
    			<p>2024年11月28日，国家医疗保障局、人力资源社会保障部印发《国家基本医疗保险、工伤保险和生育保险药品目录（2024年）》（以下简称新版医保目录），拜耳公司全球首个不限瘤种精准靶向药维泰凯®（硫酸拉罗替尼胶囊和硫酸拉罗替尼口服溶液）成功准入医保。2022年，维泰凯®胶囊和口服溶液两个剂型先后在国内获批上市。作为首个口服TRK抑制剂，维泰凯®是全球目前唯一含新生儿适应症、高选择性、双剂型的NTRK融合不限瘤种的精准靶向药，此次成功准入2024版国家医保目录，也成为了医保唯一全年龄覆盖的TRK抑制剂，意味着中国将有更多NTRK融合成人和儿童实体瘤患者能够从维泰凯®这一创新产品中获益，新版医保目录将于2025年1月1日起执行。</p><p>北京大学肿瘤医院沈琳教授介绍，“NTRK融合是一种罕见的基因组学改变，能够作为肿瘤驱动因子促进肿瘤的生长。NTRK融合肿瘤不局限于某些组织类型，在身体的各个部位都可能发生。在成人和儿童不同实体瘤中，NTRK融合肿瘤的发生率也有所不同。现有NTRK融合肿瘤的常用治疗方案，如化疗或免疫治疗，在一些瘤种中疗效有限，往往还伴随明显的副作用。”</p><p>已有研究表明，拉罗替尼对于NTRK融合肿瘤患者，无论患者的年龄大小或者肿瘤病灶的位置如何，包括儿童肿瘤（不限于婴儿型纤维肉瘤、梭形细胞肿瘤、脑胶质瘤等）、非小细胞性肺癌（NSCLC）、结直肠癌等消化道肿瘤、甲状腺癌、原发中枢神经系统肿瘤（CNS）等瘤种中均能看到快速、高效和持久的应答，安全性与此前报道一致且易于管理，已被国内外多个权威学术组织如中国临床肿瘤学会（CSCO）、美国国家综合癌症网络（NCCN）等发布的40多项指南中推荐为优选方案。</p><p>拜耳集团处方药事业部副总裁，特药业务总经理杨玉兰女士表示，“维泰凯®作为首款专为TRK融合实体肿瘤的成人和儿童患者设计的治疗药物，针对肿瘤驱动因子，而非原发部位，自2022年在国内上市，开启了‘异癌同治’的肿瘤精准治疗新格局。维泰凯®胶囊和口服溶液凭借其卓越的有效性和安全性，成功准入国家医保目录，无疑将改善全年龄群TRK融合肿瘤患者的生存状况。特别对于小于12岁的儿童以及新生儿，维泰凯填补了医保目录空白。值得强调的是，维泰凯的口服溶液剂型是拜耳从研发阶段就将儿童和有吞咽困难的成人患者需求考虑在内，方便患者服药，吃药不再靠掰，剂量无须再猜，可以更加精准判断用药剂量。拜耳将始终以患者为中心，专注以创新产品组合解决未被满足医疗需求的同时，积极支持政府医保惠民的政策与措施，继续践行以创新成果惠及患者，让更多中国患者真正从优质治疗中获益。”</p>              ]]>
			         	</description>	 
      </item>
	        <item>
         <title><![CDATA[临床指南｜收录国内外 2w+ 指南，下载快人一步]]></title>
         <link><![CDATA[http://oncol.dxy.cn/article/906857]]></link>
         <guid><![CDATA[http://oncol.dxy.cn/article/906857]]></guid>
		 		 <category><![CDATA[最新资讯]]></category>
		 		 <category><![CDATA[用药经验]]></category>
		 		 <category><![CDATA[只展示在用药助手]]></category>
		 		 		 <enclosure url="https://img1.dxycdn.com/p/s10/2024/1108/424/8630163054308084581.png" />
		 		 
         <pubDate>2024-11-11 17:23:12.0</pubDate>
             <description>
						<![CDATA[   
    			<p>用药助手 App 不止查药品啦！</p><p>完整功能包括临床决策（查疾病）、临床指南（查指南）、合理用药（查药品）、实用工具（医学工具）四大功能，是 300 万中国医生的实用临床决策工具。</p><p>——————<br/></p><h3>临床指南：科室重要指南都能搜</h3><p>* 指南随心搜：收录国内外权威机构 2w+ 指南共识</p><p>* 会员抢先看：中华医学会同步更新，科室订阅推送</p><p>* 一秒英译中：原文一键翻译，轻松获取全球核心观点</p><p>&nbsp;<img alt="2726080123300493281w.png" src="https://img1.dxycdn.com/p/s10/2024/1108/337/4644186875856084581.png!w640" title=""/></p><p>对于年轻的医生和基层工作者，指南及共识起到规范职业行为及指明职业发展方向的作用。</p><p>——————</p><h3>用药助手临床指南亮点</h3><p>学科经典指南哪里找？国外更新的共识新版有没有一键翻译？可以发送 PDF 原件吗？</p><p>这些问题在「临床指南」都能解决：按科室、按制定者，按热度、按发布时间都能查，即使你记不清拗口的标题，也能找到你想要的那篇。</p><p><img alt="截图8.png" src="https://img1.dxycdn.com/p/s10/2024/1108/452/8461925704517084581.png!w640" title=""/></p><p>使用有问题，可以添加会员专属顾问「李小宁」微信，帮您快速解决问题。</p>              ]]>
			         	</description>	 
      </item>
	        <item>
         <title><![CDATA[临床决策｜4000+ 疾病诊疗方案，开医嘱不再挠头翻书]]></title>
         <link><![CDATA[http://oncol.dxy.cn/article/906860]]></link>
         <guid><![CDATA[http://oncol.dxy.cn/article/906860]]></guid>
		 		 <category><![CDATA[最新资讯]]></category>
		 		 <category><![CDATA[用药经验]]></category>
		 		 <category><![CDATA[只展示在用药助手]]></category>
		 		 		 <enclosure url="https://img1.dxycdn.com/p/s10/2024/1108/157/8828248434480284581.png" />
		 		 
         <pubDate>2024-11-11 17:13:02.0</pubDate>
             <description>
						<![CDATA[   
    			<p>用药助手 App 包括临床决策（查疾病）、临床指南（查指南）、合理用药（查药品）、实用工具（医学工具）四大功能，是 300 万中国医生的实用临床决策工具。</p><p>——————</p><h3>什么是「临床决策」？<br/></h3><p>论是初入职场的「小医生」还是科室资深「顶梁柱」，每天都面临着解决从常规到复杂的各类患者问题的挑战。<br/></p><p>面对诸多临床难题，用药助手的王牌功能——临床决策。只需输入疾病名称，临床决策可提供全面的诊疗方案，对着它，你就能下医嘱，大大提高临床决策效率。</p><p><img src="https://img1.dxycdn.com/p/s10/2024/1108/814/2760228230697184581.png!w640" style=""/></p><p><img src="https://img1.dxycdn.com/p/s10/2024/1108/827/4281642950697184581.png!w640" style=""/></p><p>临床决策持续跟踪最新动态的循证证据，提供最新的诊疗信息。无论是新药物的使用还是治疗方法的更新，第一时间为您提供最新的治疗策略。</p><p>如膜性肾病基于梅奥的抗原和疾病新增了分类方法（二分法），可直接点击查看最新分类及其治疗方案：</p><p><img alt="486da3a3dc4a6027e04e7880aa532795.png" src="https://img1.dxycdn.com/p/s10/2024/1108/751/0464205168838184581.png!w640" title=""/></p><h3 style="">——————</h3><h3 style="">临床决策亮点</h3><p>* 疾病全：覆盖 4000+ 临床常见病与药物专题，最新上线肿瘤疾病诊疗方案</p><p>* 更新快：紧跟指南，诊疗策略解读迅速</p><p>* 查找快：全文搜索，诊疗要点一键直达</p><p><img alt="0215251167810493281w.png" src="https://img1.dxycdn.com/p/s10/2024/1108/125/2175346588964184581.png!w640" title=""/></p><p>使用有问题，可以添加会员专属顾问「李小宁」微信，帮您快速解决问题。</p>              ]]>
			         	</description>	 
      </item>
	        <item>
         <title><![CDATA[合理用药｜用法用量、特殊人群、超说明书、患教全掌握]]></title>
         <link><![CDATA[http://oncol.dxy.cn/article/906856]]></link>
         <guid><![CDATA[http://oncol.dxy.cn/article/906856]]></guid>
		 		 <category><![CDATA[最新资讯]]></category>
		 		 <category><![CDATA[用药经验]]></category>
		 		 <category><![CDATA[只展示在用药助手]]></category>
		 		 		 <enclosure url="https://img1.dxycdn.com/p/s10/2024/1108/051/0848224188702084581.png" />
		 		 
         <pubDate>2024-11-11 17:05:16.0</pubDate>
             <description>
						<![CDATA[   
    			<p>用药助手 App 不止查药品啦！</p><p>完整功能包括临床决策（查疾病）、临床指南（查指南）、合理用药（查药品）、实用工具（医学工具）四大功能，是 300 万中国医生的实用临床决策工具。</p><p>——————</p><h3><strong>合理用药：提供临床用药决策支持</strong><br/></h3><p>2000+ 临床常见药品成分超说明书内容，轻松查阅孕妇、儿童等特殊人群安全用药，规避处方风险。</p><p><img alt="6526106819989393281w.png" src="https://img1.dxycdn.com/p/s10/2024/1108/141/0823519472448974581.png!w640" title=""/></p><p>医生如何保障合理用药？药品说明书是具有法律效力的重要文件，是医师开具处方和患者安全、有效用药的最基本直接的信息源。</p><p>但是只有说明书，就够吗？远远不够。</p><p>超说明书用药，有风险吗？有。</p><p>临床用药的复杂性、药物本身的特殊性与说明书的信息滞后性形成强烈对比。为了帮助临床医生解决用药信息分散、更新慢、循证用药依据少等问题，丁香园用药助手全力打造「合理用药」原创数据库，与全体医护人员共同保障合理用药，远离用药纠纷。</p><p>现已上线 2000+ 常见药物成分，绑定 70000+ 上市药品说明书，系统解决你的药品查询问题。它就是—— 「合理用药」！</p><p>——————</p><h3>合理用药亮点</h3><p>好用！只查一个成分，就能看完 200 份说明书精华！</p><p>目前「合理用药」数据库覆盖常见药物成分 1800+ 种，占比 90%。也就是说，你想查的，我们几乎都有了。<br/></p><p>它的数据特点与优势是什么？</p><ul class=" list-paddingleft-2" style="list-style-type: disc;"><li><p>数据结构清晰：重新梳理结构分为适应症与用法用量、安全用药、药理毒理、患者教育四大模块，功能聚焦，快速定位问题答案，提高查找效率，结构更加清晰易定位。</p></li><li><p>数据质量有保障：选取NMPA（中国）、FDA(美国)、EMA（欧盟）、MHRA（英国）、TGA（澳大利亚）、PMDA（日本）、Health Canda（加拿大）等全球各大权威监管机构权威数据源。</p></li><li><p>数据持续更新，紧跟前沿：所有数据均由丁香园专业团队整理、编审，经由一套严格标准审核再面世。同时不断跟进前沿进展，持续更新数据，让你足不出户，就能掌握最新信息。</p></li></ul><h3>合理用药能帮你解决什么问题？</h3><p>合理用药目前有 4 大模块：适应症与用法用量、安全用药、药理毒理、患者教育，解决用药如何有效、安全、适当、合理 4 大难题。&nbsp;</p><ul class=" list-paddingleft-2" style="list-style-type: disc;"><li><p>适应症与用法用量：包括国内/外用法用量、超说明书用药、给药说明等内容，结合诊断结果与病人实际情况，参考国内/外用药信息，让每一次用药更加有效；</p></li><li><p>安全用药：包括特殊人群用药、药物警戒、FDA 黑框警告、不良反应、相互作用、配伍禁忌、禁忌证、注意事项、药物监控等内容，全面掌握世界各国药物安全信息，熟悉药物与药物间相互作用，降低用药风险，让每一次用药更加安全；</p></li><li><p>药理毒理：包括药效学、药代动力学、遗传、生殖、致癌性、药物过量等内容，了解药物作用机制以及体内代谢过程，合理调整用药剂量与时间间隔，让每一次用药更加适当；&nbsp;</p></li><li><p>患者教育：包括患者用药教育、患者手册等内容，轻松交代患者用药注意事项，提高患者合理用药认知度与用药依从性，让每一次用药更加合理。</p></li></ul><p><strong>马上打开用药助手 App，搜索药物成分试试吧。</strong><br/></p><p><strong><img alt="截图8.png" src="https://img1.dxycdn.com/p/s10/2024/1108/220/6948544654941084581.png!w640" title=""/></strong></p><p>使用有问题，可以添加会员专属顾问「李小宁」微信，帮您快速解决问题。</p>              ]]>
			         	</description>	 
      </item>
	        <item>
         <title><![CDATA[医学工具｜800+ 医学计算公式，解放大脑轻松值班]]></title>
         <link><![CDATA[http://oncol.dxy.cn/article/906855]]></link>
         <guid><![CDATA[http://oncol.dxy.cn/article/906855]]></guid>
		 		 <category><![CDATA[最新资讯]]></category>
		 		 <category><![CDATA[用药经验]]></category>
		 		 <category><![CDATA[只展示在用药助手]]></category>
		 		 		 <enclosure url="https://img1.dxycdn.com/p/s10/2024/1108/268/0679621422466974581.png" />
		 		 
         <pubDate>2024-11-11 16:40:50.0</pubDate>
             <description>
						<![CDATA[   
    			<p>用药助手 App 不止查药品啦！</p><p>完整功能包括临床决策（查疾病）、临床指南（查指南）、合理用药（查药品）、实用工具（医学工具）四大功能，是 300 万中国医生的实用临床决策工具。</p><p>——————</p><h3><strong>医学工具：有哪些？</strong></h3><p>&nbsp;800+ 医学计算公式，药物相互作用，配伍禁忌，抗菌谱，临床路径，医学检验，肿瘤分期查询（新上线）。临床决策更高效！</p><p>&nbsp;<img alt="0253294979399393281w.png" src="https://img1.dxycdn.com/p/s10/2024/1108/402/0236143855391874581.png!w640" title=""/></p><p>——————</p><h3><strong>医学工具：在哪里？</strong><br/></h3><p><strong><br/></strong></p><p>&nbsp;<img alt="截图8.png" src="https://img1.dxycdn.com/p/s10/2024/1108/727/4688260939659874581.png!w640" title=""/></p><p>使用有问题，可以添加会员专属顾问「李小宁」微信，帮您快速解决问题。<br/></p><p><br/></p>              ]]>
			         	</description>	 
      </item>
	        <item>
         <title><![CDATA[那些患癌的年轻人，到底做错了什么？]]></title>
         <link><![CDATA[http://oncol.dxy.cn/article/902809]]></link>
         <guid><![CDATA[http://oncol.dxy.cn/article/902809]]></guid>
		 		 <category><![CDATA[最新资讯]]></category>
		 		 <category><![CDATA[非医学时间app]]></category>
		 		 		 <enclosure url="https://img1.dxycdn.com/p/s10/2024/0924/414/4838239453555148381.jpeg" />
		 		 
         <pubDate>2024-09-24 11:10:02.0</pubDate>
             <description>
						<![CDATA[   
    			<p>老了容易生病，特别是一些比较严重的疾病，仿佛是一种很「正常」的现象。但当年轻人遭遇重症，例如癌症，仿佛生命中出了一个「错误」。</p><p>而「错误」，一定是有什么原因造成的。</p><p>在不少媒体宣传中，这些患癌年轻人的生活，总能找到一些「做错了」的蛛丝马迹：白天喝了奶茶、咖啡，患癌；晚上吃了外卖、烧烤，患癌；晚上熬夜加班了，患癌。时不时冲上热搜的年轻人患癌新闻，平等地震慑每一个疲于加班应酬、饮食不算健康，依靠熬夜和吃喝解压的年轻人。配合着体检报告上的「XX 结节」，总能引起深深的焦虑。</p><p>在这些新闻报道里，不健康的生活小习惯不停背锅，似乎年轻人从早到晚做任何事情，都会最终导向癌症；又好像每一位罹患癌症的年轻人，都能找到「咎由自取」的犯错瞬间。</p><p>但没有人能够活的「绝对健康」，年轻人患癌，并不能简单归因为「做错了什么」。</p><p>那么，到底为什么？</p><p style="text-align: center;"><strong>患癌的中青年，确实变多了</strong></p><p>在过去，癌症被认为通常发生在 50&nbsp; 岁以上的中老年人身上。而近 30&nbsp; 年，<strong>世界范围内 50&nbsp; 岁以下人群的癌症发病率，的确一直在上升。</strong></p><p>2023&nbsp; 年，一项发布于《英国医学期刊（BMJ）》关于早发癌症（14&nbsp; 至 &nbsp;49&nbsp; 岁）的研究显示<sup> [1]</sup>：</p><ul class=" list-paddingleft-2" style="list-style-type: disc;"><li><p>2019 年，全球 50&nbsp; 岁以下人群新发癌症病例总数为 326 万，相比 1990&nbsp; 年，早发癌症的发病率，增加了 79.1%；</p></li><li><p>与早发癌症相关的死亡人数达到 106 万人，相比 1990&nbsp; 年增加了 27.7%。</p></li></ul><p>这些数据中，早发性乳腺癌的发病率和死亡率最高；早发鼻咽癌和前列腺癌的发病率，增长最快。</p><p>将目光拉近至中国。</p><p>2018&nbsp; 年发布于《中华预防医学杂志》的研究数据显示，不论是男性还是女性，城市还是农村，2000&nbsp; 年至 &nbsp;2014&nbsp; 年间，0～29&nbsp; 岁与 &nbsp;30～39&nbsp; 岁之间的年轻人，癌症发病率均呈现出了一定的上升的趋势<sup> [2]</sup>。<br/><img alt="WechatIMG6803.jpeg" src="https://img1.dxycdn.com/p/s10/2024/0924/453/8691711068814148381.jpeg!w640"/><br/>图片来源：参考文献<sup> [2]</sup></p><p>不论是世界范围内，还是中国，癌症的高发人群主要还是 50、60&nbsp; 岁以上的中老年人，但发病和诊断年龄确实出现了一定的前移。</p><p style="text-align: center;"><strong>早诊断出癌症，并不一定是坏事</strong></p><p>看到这里先别着急焦虑，这背后的原因，其实有好有坏。</p><p><strong>坏消息是，现代生活积累的负效应，是癌症年轻化的影响因子之一。</strong></p><p>糟糕的空气和水源污染，特殊职业遭遇的致癌化学物暴露，以及全球化导致的病毒传播等等，都可能诱导体内细胞的基因突变更多发生，升高癌症风险。</p><p><strong>好消息是，癌症患病率上升，与人类整体医疗水平的进步也有很大关系。</strong></p><p>例如美国阿拉斯加，过去三十年，社区的癌症筛查率增加了一倍多，结果发现 &nbsp;50&nbsp; 岁以上人群的结直肠癌发病率出现下降，但年轻原住民的结直肠癌发病率，却每年攀升 &nbsp;5.2%<sup>[3]&nbsp;</sup>。</p><p>2018&nbsp; 年，基于更精确的微观研究模型，美国癌症协会敦促人们从 &nbsp;45&nbsp; 岁开始接受结直肠癌筛查，而不是之前建议的 &nbsp;50&nbsp; 岁 <sup>[4]</sup>。</p><p><strong>筛查年龄提前、技术改进，让不少「有症状才去医院」的中晚期癌症，在年轻时早早就被发现，带来更高的健康收益，一定程度上降低了癌症的死亡率。</strong></p><p>特别是有家族遗传史的高风险人群，根据医生指导早筛查早发现，是一场对癌症更有准备的战役。</p><p style="text-align: center;"><strong>生活方式很重要，但不是所有癌症都可以预防</strong></p><p>不可否认的是，平日里烟酒都来的生活方式、高油高盐的饮食模式，确实会带来更高的患癌风险。</p><p>发表在《柳叶刀》的一项研究显示，2019&nbsp; 年全球范围内，影响男女癌症死亡率与伤残调整生命年（DALY）<strong>最主要的风险因素是吸烟，其次是饮酒与肥胖</strong><sup> [5]</sup>。<br/><img alt="WechatIMG6804.jpeg" src="https://img1.dxycdn.com/p/s10/2024/0924/051/8448821262274148381.jpeg!w640"/></p><p><strong>约一半的癌症死亡可以通过戒烟、限酒、减肥、筛查等干预方式来预防。</strong></p><p>那……还有另一半呢？</p><p>对于早发性气管癌、支气管癌、肺癌而言，吸烟是最危险的因素，而被动吸烟、环境污染和室内油烟污染，同样会引起癌症。在《柳叶刀》发表的这项研究中，排在第四位风险因素，便是「环境颗粒污染」。</p><p>社会文明进步带来生育观的改变，也在影响女性患癌的几率。现代女性的生育年龄相比从前有了大幅度的推迟，但随着妊娠年龄的增加，乳腺癌风险也出现了升高。</p><p>而随着营养元素的丰富摄入，孩童发育年龄提前，女性月经初潮也日益提早。一项流行病学研究分析显示，现代女性初潮平均年龄为 13.1 岁。这也意味着现代女性，暴露在雌激素的时间比过去更长，罹患乳腺癌也风险增加<sup> [6]</sup>。</p><p>便捷实惠的腌制食品和加工肉制品，越来越多的占领餐桌，提供热量填饱肚子的同时，增加了结直肠癌的风险。但这并非打工人的主动选择，而是人们适应城市快节奏生活的副产物。</p><p>一项发布于《科学（Science）》杂志上的研究认为，多数基因突变是随机发生的<sup> [7]</sup>。生活方式是干扰随机突变的一个因素，但还有遗传、环境等很多我们个人无法改变的因素。</p><p>简单说就是：<strong>癌症的发生是一个漫长而复杂的过程，糟糕的生活习惯确实会提升风险，但患癌不能粗暴地归因为「生活习惯差」。</strong></p><p style="text-align: center;"><strong>年轻人患癌，不应该被指责做错了什么</strong></p><p>虽然年轻人患癌风险确实在提高，但并没有出现所谓「爆发性增长」。再来看这张图，年轻人的癌症发病率整体仍处于较低的水平。<br/><img alt="WechatIMG6805.jpeg" src="https://img1.dxycdn.com/p/s10/2024/0924/756/0466790898915148381.jpeg!w640"/></p><p>我们感觉年轻癌症患者到处都是，其实和信息传播有密切关系。</p><p><strong>「年龄」+「患癌」+「不良生活习惯」</strong>的组合，总能最大限度博取眼球、唤醒焦虑，实现更好的传播。</p><p>而自媒体缺乏信息溯源的意识，使得错误的癌症归因，进一步在社交媒体上流传，形成一圈圈无法散去的迷雾，不断加深<strong>「一定做错了什么」的刻板印象。</strong></p><p><strong>那些患癌的年轻人，他或她的生活方式往往与其他年轻人并无不同，更没有做错什么，只不过是迎头撞上了一种「命运」。</strong></p><p>癌症的发生是复杂而漫长的过程。</p><p>如果能把烟酒戒掉，开始尝试低油、低糖、低钠的饮食，保持每周有固定的运动，癌症的风险自然会小一点，当然再好不过。</p><p><strong>但如果因此就简单粗暴的反向归因，反而会让患癌的年轻人，在承受疾病压力的同时，还要不断反问、指责自己；也可能让没有患癌的年轻人，陷于本不必要的焦虑和恐慌。</strong></p><p>毕竟，没有人，能够按照医学书本「绝对健康」地活着。</p><p>参考文献</p><p>[1]Global&nbsp;trends&nbsp;in&nbsp;incidence,&nbsp;death,&nbsp;burden&nbsp;and&nbsp;risk&nbsp;factors&nbsp;of&nbsp;early-onset&nbsp;cancer&nbsp;from&nbsp;1990&nbsp;to&nbsp;2019</p><p>&nbsp;Global&nbsp;trends&nbsp;in&nbsp;incidence,&nbsp;death,&nbsp;burden&nbsp;and&nbsp;risk&nbsp;factors&nbsp;of&nbsp;early-onset&nbsp;cancer&nbsp;from&nbsp;1990&nbsp;to&nbsp;2019&nbsp;|&nbsp;BMJ&nbsp;Oncology</p><p>[2]2000—2014年中国肿瘤登记地区癌症发病趋势及年龄变化分析&nbsp;</p><p>[3]&nbsp;Why&nbsp;are&nbsp;so&nbsp;many&nbsp;young&nbsp;people&nbsp;getting&nbsp;cancer?&nbsp;What&nbsp;the&nbsp;data&nbsp;say<a href="https://www.nature.com/articles/d41586-024-00720-6" _src="https://www.nature.com/articles/d41586-024-00720-6">https://www.nature.com/articles/d41586-024-00720-6</a> </p><p>CN-20240709-00002</p>              ]]>
			         	</description>	 
      </item>
	        <item>
         <title><![CDATA[肺癌骨转移，这些诊治要点你都掌握了吗？]]></title>
         <link><![CDATA[http://oncol.dxy.cn/article/902724]]></link>
         <guid><![CDATA[http://oncol.dxy.cn/article/902724]]></guid>
		 		 <category><![CDATA[最新资讯]]></category>
		 		 <category><![CDATA[非医学时间app]]></category>
		 		 		 <enclosure url="https://img1.dxycdn.com/p/s10/2024/0923/863/6923434085822518381.jpg" />
		 		 
         <pubDate>2024-09-23 17:43:54.0</pubDate>
             <description>
						<![CDATA[   
    			<div><strong><span style="text-align: justify;">肺癌骨转移</span></strong><span style="text-align: justify;">发生率在 10%~15%，很多肺癌患者以<strong>&nbsp;SREs（骨转移及骨相关事件）</strong>为首发症状，若不及时处理，患者的生存预期大大缩短，下面这些诊治要点必须引起足够的重视。</span></div><p style="text-align: center;"><strong>关于肺癌骨转移</strong></p><p><strong>肺癌骨转移好发于脊柱和躯干骨近端</strong>，主要是破骨细胞导致的骨吸收，大多表现为溶骨型病变（溶骨型、成骨型和混合型）。</p><p><strong>骨痛是最主要的症状</strong>，主要是因为肿瘤增大，分泌一些炎症介质及侵犯骨膜、神经、软组织等引起比较严重的疼痛症状。1/3 患者骨转移为首发症状而无原发癌表现。<br/></p><p><strong>约 46% 的骨转移患者并发 SREs</strong>，主要包括病理性骨折（尤其是椎体压缩或变形）、脊髓压迫、骨放疗（因骨痛或防治病理性骨折或脊髓压迫）、骨转移病灶进展及高钙血症。</p><p style="text-align: center;"><strong>肺癌骨转移的诊断</strong></p><p><strong>1、X 线</strong> <br/>对骨转移瘤有一定的特异性，其操作简单、费用低廉，<strong>是诊断骨转移的主要诊断工具</strong>，但是敏感性不高。<br/><img alt="1.png" src="https://img1.dxycdn.com/p/s10/2024/0923/183/6317242222149418381.png!w640"/><br/><strong>2、CT</strong></p><p>尤其是增强 CT 对全身骨显像检查阳性而 X 线平片阴性、有局部症状、疑有骨转移、MRI 禁忌的患者较有价值，敏感性及特异常较高；能够精确地显示骨质破坏及其周围软组织肿块。</p><p><strong>增强 CT 还有助于显示骨转移瘤的血供特点及病变与周围组织之间的关系。</strong>但是 CT 对于骨皮质的早期转移、骨转移骨髓质的浸润等病变诊断的敏感性较低。</p><p><strong>3、MRI</strong></p><p>MRI 的敏感性优于全身骨显像，当怀疑骨转移，全身骨显像和 X 线平片仍不能确定时，可行 MRI 检查提供诊断证据。</p><p>MRI 对骨髓腔内的早期转移灶有很高的灵敏度，是评价骨转移骨髓内浸润的首选工具。</p><p><strong>4、骨扫描（ECT）</strong></p><p><strong>ECT 是肺癌骨转移首选的筛查方法，但不能作为确诊依据。</strong>ECT 能够早期发现骨转移灶（特别是成骨性），灵敏度高、全身骨组织一次成像不易漏诊。其缺点是特异性较低，其他骨病变也可以出现核素浓聚进而出现假阳性。</p><p><strong>5、PET-CT</strong></p><p>PET-CT&nbsp; 对骨转移的敏感性、特异性均比较高；不同显影剂对不同病灶诊断意义不同。<br/></p><p><strong>6、骨活检病理学</strong></p><p style="text-align: left;"><strong>骨活检病理学诊断是肺癌骨转移确诊的金标准。</strong>如果肺癌诊断明确，且全身多发骨破坏病灶，骨活检为非必须操作；如果肺癌诊断明确，但仅出现孤立性骨破坏病灶，则应积极进行活检。</p><p style="text-align: center;"><strong>肺癌骨转移的治疗</strong></p><p><strong>治疗肺癌骨转移的目标是提高生活质量、延长生命、缓解症状及心理痛苦、预防或延缓病理性骨折等 SREs。</strong></p><p>综合治疗方式包括：<strong>肺癌的系统治疗、放疗、手术、止痛、双膦酸盐和心理支持治疗。</strong></p><p><strong>1、放射治疗：</strong></p><p><strong>放射治疗是肺癌骨转移有效的治疗方法之一</strong>，能够减轻或消除症状、改善生活质量、延长生存，还能预防病理性骨折和脊髓压迫的发生及缓解脊髓压迫症状。近年来，放射性核素治疗肺癌骨转移临床应用增多，肿瘤细胞破坏骨组织，导致成骨修复活跃，骨组织代谢增高，89Sr 会浓聚。<br/><img alt="WechatIMG6802.png" src="https://img1.dxycdn.com/p/s10/2024/0923/023/8290262636971518381.png!w640"/><br/><strong>89Sr 是骨转移内科放射治疗中最常用的核素药物</strong>，半衰期 50.5 d（在正常骨中为 14 d），骨组织中射程约 3 mm，发射纯 β 射线。对于部分病理性骨折或即将发生骨折的患者需行外科手术治疗，改善患者生活质量。</p><p><strong>2、药物治疗</strong></p><p>药物治疗推荐<strong>双膦酸盐和地舒单抗</strong>用于肺癌骨转移的治疗。肺癌患者影像学检查提示有骨破坏或骨转移时，如无应用禁忌证，均推荐应用骨改良药物治疗，<strong>只存在骨转移风险（LDH 或 ALP 增高）但未确诊骨转移的患者不推荐使用骨改良药物治疗。</strong></p><p>双膦酸盐类药物目前已发展至第三代，第三代双膦酸盐延长了侧链，药物活性进一步增强，如加入饱和羟链的伊班膦酸钠和环状结构的唑来膦酸。</p><p><strong>第三代双磷酸盐药物（唑来膦酸、伊班膦酸钠和因卡膦酸二钠）除能减轻症状，还能降低骨转移的高钙血症，增加骨质密度，减少骨代谢紊乱。</strong><br/></p><p>地舒单抗通过与 RANKL 结合，从而抑制破骨细胞表面受体 RANK 及其下游信号通路的激活，使破骨细胞前体分化受损，从而使破骨细胞的增殖和功能受损甚至凋亡。</p><p>在地舒单抗对比唑来磷酸的 III 期注册临床 244 研究中，共纳入 1597 名实体瘤患者，随机接受每月一次皮下注射地舒单抗 120 mg 或静脉注射唑来磷酸 4 mg。在肺癌亚组的观察中，对于所有肺癌骨转移患者，<strong>地舒单抗较唑来磷酸显著延长生存 1.2 个月，降低死亡风险 20%。</strong></p><p style="text-align: center;"><strong>补充：骨改良药物治疗的风险和注意事项？</strong></p><p><strong>药物性颌骨坏死</strong>是一种因为治疗颌骨以外的疾病需要使用双膦酸盐类药物或其他靶向药物后而发生的严重颌骨坏死并发症，发生率为 1%～9%。</p><p><strong>药物性颌骨坏死多发生于下颌骨（约 2/3 以上），约 1/4 发生于上颌骨，也可上下颌骨同时累及</strong>。治疗前需要口腔评估、定期随访，做好自身的口腔护理。</p><p>注意低钙血症的发生，虽然中国人群骨改良药物引起的低钙血症发生率低于国外人群，但仍需重视。<strong>治疗过程中应尽早补钙并定期监测血清钙或钙离子含量，避免严重低钙血症的发生。</strong></p><p><strong>流感样症状</strong>相对其他不良反应发生率高，但多为一过性，且通过对症处理可明显缓解，必要时可予以预防用药。</p><p><strong>关注骨改良药物引起的肾功能不全。</strong>用药前应进行肾功能评估，用药过程中定期监测肾功能，及早发现肾脏损伤并尽早予以必要的干预措施。</p><p>地舒单抗不经肾脏代谢，当患者出现肾功能下降时，应充分排查其他原因，无需立即调整地舒单抗的使用剂量。</p><p>参考文献：<br/>1、北京医学奖励基金会肺癌青年专家委员会,&nbsp; 中国胸外科肺癌联盟. 肺癌骨转移诊疗专家共识 (2019 版)[J].&nbsp; 中国肺癌杂志,&nbsp;2019,&nbsp;22(4):&nbsp;187-207.<br/>2、中国医师协会肿瘤医师分会乳腺癌学组, 中国抗癌协会国际医疗交流分会. 骨改良药物安全性管理专家共识 [J]. 中华肿瘤杂志, 2021, 43(6):&nbsp;622-628.</p><p>CN-20240919-00011</p>              ]]>
			         	</description>	 
      </item>
	        <item>
         <title><![CDATA[拜耳达罗他胺达到III期ARANOTE试验的主要终点]]></title>
         <link><![CDATA[http://oncol.dxy.cn/article/896673]]></link>
         <guid><![CDATA[http://oncol.dxy.cn/article/896673]]></guid>
		 		 <category><![CDATA[最新资讯]]></category>
		 		 <category><![CDATA[非医学时间app]]></category>
		 		 		 <enclosure url="https://img1.dxycdn.com/p/s10/2024/0722/169/2705701168746225181.jpeg" />
		 		 
         <pubDate>2024-07-22 11:25:02.0</pubDate>
             <description>
						<![CDATA[   
    			<ul class=" list-paddingleft-2" style="list-style-type: disc;"><li><p>ARANOTE试验达到主要终点，与安慰剂加雄激素剥夺疗法（ADT）相比，达罗他胺+ ADT显著提高了影像学无进展生存期（rPFS）</p></li><li><p>安全性分析表明，达罗他胺加ADT与安慰剂加ADT安全性相当，再次证实了ARAMIS和ARASENS试验中观察到的达罗他胺的耐受性</p></li><li><p>基于两项在转移性激素敏感性前列腺癌（mHSPC）的关键性III期研究，达罗他胺加ADT联合或不联合多西他赛目前均有阳性数据</p></li><li><p>拜耳计划在即将召开的学术会议上发布关键数据，并准备在全球范围内向卫生监管部门提交扩大达罗他胺适应症的申请</p></li></ul><p>&nbsp;</p><p>柏林，2024年7月17日——达罗他胺加ADT治疗转移性激素敏感性前列腺癌（mHSPC）患者III期ARANOTE试验，已达到其rPFS的主要终点。与安慰剂加ADT相比，达罗他胺加ADT显著延长rPFS。两组的安全性数据具有可比性，并再次证实了达罗他胺在晚期前列腺癌中良好的耐受性。</p><p>达罗他胺已被批准用于治疗有高危转移风险的非转移性去势抵抗性前列腺癌（nmCRPC），以及mHSPC患者（联合ADT和多西他赛），商品名为诺倍戈<sup>®</sup>。</p><p>&nbsp;“我们很高兴分享这项来自III期试验的积极结果。在获得可能的监管批准后，医生可以根据个体患者的需求为其量身定制联合或不联合多西他赛的治疗方案。”拜耳处方药事业部研发负责人Christian Rommel博士表示， “今天的结果建立在诺倍戈<sup>®</sup>已经确立的疗效和耐受性基础之上。拜耳的临床开发项目正在研究达罗他胺在多个前列腺癌疾病阶段和适应症中的表现，我们对未来的结果充满期待。”</p><p>ARANOTE试验的详细结果计划在即将召开的学术大会上公布。拜耳计划将该研究的数据在全球范围内提交给卫生监管部门，以支持扩大达罗他胺在mHSPC男性患者中的使用。ARANOTE是强大临床开发计划的一部分，该计划旨在研究达罗他胺在前列腺癌各个疾病阶段的应用，其中包括评估达罗他胺加ADT与单独ADT治疗激素敏感性高风险生物化学复发（BCR）前列腺癌症的III期ARASTEP试验，这些患者经常规影像学无疾病转移证据，以及基线水平时PSMA PET/CT阳性。此外，在澳大利亚和新西兰泌尿生殖系统和前列腺癌症试验小组（ANZUP）领导的DASL-HiCaP（ANZUP801）III期合作试验中，也在研究达罗他胺，评估其在复发风险非常高的局限性前列腺癌症中作为辅助治疗的疗效。</p><p><strong>关于ARANOTE试验</strong></p><p>ARANOTE试验是一项随机、双盲、安慰剂对照的III期研究，旨在评估达罗他胺联合ADT治疗mHSPC患者的疗效和安全性。669名患者被随机分为两组，每天两次服用600mg达罗他胺，或在ADT的基础上服用匹配的安慰剂。</p><p>本研究的主要终点是rPFS，从随机化到首次记录影像学疾病进展或任何原因导致死亡的时间，以先发生者为准。次要终点包括总体生存期（基于任何原因死亡的时间）、至首次去势抵抗事件的时间、开始后续抗癌治疗的时间、前列腺特异性抗原（PSA）进展的时间、PSA检测不到率、至疼痛进展的时间以及安全性评估。</p><p><strong>关于转移性激素敏感性前列腺癌</strong></p><p>前列腺癌是全球范围内男性第二常见的恶性肿瘤，也是全男性癌症死亡的第五常见原因。2020年，估计有140万男性被诊断患有前列腺癌，全球约有375,000人死于前列腺癌。</p><p>在确诊时，大多数男性患有局限性前列腺癌，这意味着他们的癌症局限于前列腺，可以通过根治性手术或放疗进行治疗。mHSPC是癌症从前列腺外扩散至身体其它部位的疾病阶段。在首次诊断时，超过10%的男性表现为mHSPC。对于mHSPC患者而言，ADT是治疗的基石，通常与化疗药物多西他赛和/或雄激素受体抑制剂（ARi）联合使用。即使接受治疗，大多数mHSPC患者最终将进展为去势抵抗性前列腺癌（CRPC），该阶段生存期非常有限。</p>              ]]>
			         	</description>	 
      </item>
	        <item>
         <title><![CDATA[肺部多发结节怎么处理？随访时主要考虑哪一个结节？]]></title>
         <link><![CDATA[http://oncol.dxy.cn/article/896349]]></link>
         <guid><![CDATA[http://oncol.dxy.cn/article/896349]]></guid>
		 		 <category><![CDATA[推广]]></category>
		 		 <category><![CDATA[最新资讯]]></category>
		 		 		 <enclosure url="https://img1.dxycdn.com/p/s10/2024/0718/421/4091718566117683181.jpg" />
		 		 
         <pubDate>2024-07-15 17:23:21.0</pubDate>
             <description>
						<![CDATA[   
    			<p>多项研究显示，应用低剂量螺旋 CT（low dose computed tomography，LDCT）筛查可显著降低肺癌高危人群的死亡率。随着 LDCT 筛查的普及，越来越多的肺结节被检出，部分患者在检查时发现肺部同时存在多个结节。对于肺多发结节的诊疗，目前仍无相关指南，本文结合文献、研究进展及相关共识归纳总结多发肺结节的诊疗及随访。</p><p style="text-align: center;"><strong>01 多发肺结节的定义、分类&nbsp;</strong></p><p>多发肺结节是指肺内存在 2 个或以上长径均 ≤ 3 cm 的类圆形或不规则形病灶，影像学上常表现为若干个含磨玻璃影的结节。根据结节内是否含有实性成分，将其分为纯磨玻璃结节（pure ground-grass nodule，pGGN）、混合密度磨玻璃结节（mixed ground glass nodule，mGGN）和纯实性结节；<strong>pGGN 在纵隔窗上完全消失，mGGN 在纵隔窗上部分显影，而纯实性结节在纵隔窗上完全显影。</strong></p><p style="text-align: center;"><strong>02 筛查手段及临床病理表现</strong></p><p>对于多发肺结节，主要依靠影像学进行筛查。其中，薄层 CT（层厚 0.625～1.25 mm 建议进行三维重建）或者高分辨率 CT（层厚 0.6～1.25 mm，管电压 120 kVp，扫描矩阵 ≥ 512×512）以及对靶病灶的扫描是诊断过程中必不可少的第一步骤。靶病灶扫描后将会获得 CT 值和病灶大小等参数，CT 值对于判断结节性质有很大的作用。</p><p>多发肺结节的临床病理表现主要与 GGN 的性质及生物学发展有关。GGN 的病理学基础是肺泡间隔增厚，或部分肺泡腔充满液体、细胞或组织碎片，因此，<strong>GGN 并非某病的特异表现</strong>，它既可见于浸润性肺腺癌、前驱腺体病变，又可见于局灶性间质纤维化、肺泡出血、炎症或细支气管上皮增生、细支气管周上皮化生等。</p><p>临床上将随访 3 个月后消失的 GGN 称为暂时性 GGN，未消失者称为持续性 GGN。<strong>对于持续存在的 GGN 应当引起重视，因其多为恶性或有向恶性发展的潜能</strong>。</p><p style="text-align: center;"><strong>03 多发肺结节与癌症的关系</strong></p><p>根据结节的性质，可分为良性和恶性，其中良性病因包括感染性病变、结节病、机化性肺炎、肺泡蛋白沉积症、朗格汉斯组织细胞增生症、淀粉样变性等；而恶性病因以多原发肺癌（multiple primary lung cancer，MPLC）为主，其中以腺癌最多见，可表现为多发 pGGN 或 mGGN，其次为恶性肿瘤肺内转移，较少见病因包括淋巴瘤、弥漫大 B 细胞淋巴瘤、血管肉瘤等。当结节存在分叶征、毛刺征、支气管截断征、空泡征、胸膜凹陷、血管集束征，尤其是结节内血管增粗扭曲改变等征象时，应考虑恶性可能。</p><p style="text-align: center;">表 1：Martini-Melamed 诊断多原发肺癌标准（参考文献 2）<br/><img alt="WechatIMG6562.png" src="https://img1.dxycdn.com/p/s10/2024/0718/893/8691542469324683181.png!w640"/></p><p style="text-align: center;">表 2：美国胸科医师协会多原发肺癌诊断标准（参考文献 2）<br/><img alt="WechatIMG6563.png" src="https://img1.dxycdn.com/p/s10/2024/0718/075/2112619355034683181.png!w640"/></p><p>磨玻璃样表现的恶性结节病理大多为腺癌，多数 pGGN 的病理性质是非典型腺瘤性增生（atypical adenomatous hyperplasia，AAH）和原位腺癌（adenocarcinoma in situ，AIS），而 mGGN 多为微浸润腺癌（minimally invasive adenocarcinoma，MIA）或 AIS。<strong>多发磨玻璃结节（GGN）样肺癌是同时性多原发肺癌的一种特殊类型，同时存在 2 个及 2 个以上病灶，具有「惰性」发展、极少淋巴结或远处转移、病理阶段相同或不同、驱动基因突变具有差异性、影像学表现多样化和预后较好等特点</strong>。多数学者认为 GGN 型肺癌是经有序的多阶段发展而来的。影像上由 pGGN 发展为 mGGN 或实性结节，病理学上通常由 AAH 到 AIS，再进一步发展为 MIA 及浸润性腺癌（invasive adenocarcinoma，IAC）。</p><p>相关研究报道显示，<strong>CT 值、实性成分占比（consolidation tumor ratio，CTR）、实性成分大小、肿瘤大小、标准摄取值（standard uptake value，SUV）与浸润性腺癌关联度高</strong>，多因素回归分析显示，<strong>平均 CT 值和 SUV 为浸润性独立预测因素</strong>。另外，除了临床特征、CT 影像和有创活检病理，目前也有研究团队正在探索无创液体活检用于判断肺内结节良恶性的价值，包括外泌体 RNA 测序、DNA 甲基化测序和代谢组学等。</p><p style="text-align: center;"><strong>04 多发肺结节的治疗</strong></p><p><strong>1. 外科手术</strong></p><p>当评估高危结节需要临床干预治疗时，外科手术为首选方式。手术适应证：指主病灶（1）最大径 ≥ 15 mm 的持续性 pGGN，实性成分 ≥ 5 mm 或 CTR ≥ 25% 的持续性 mGGN；（2）影像学形态如分叶征、毛刺征、胸膜凹陷征、支气管充气征、空泡征、血管集束征或血管在结节内扭曲扩张及囊腔型等恶性征象者；（3）动态随访后稳定或增长（结节最大径增长 ≥ 2 mm 或实性成分增加）者。</p><p>术前应进行常规评估，包括有无纵隔淋巴结和全身转移。应根据 PET-CT 或超声支气管镜评估纵隔淋巴结情况，若 N2 淋巴结阳性则不推荐手术治疗；当 N2 淋巴结阴性时，则根据患者病灶位置、心肺功能及体力状况决定手术方案，优先处理主病灶。</p><p>2013 年 ACCP 指南推荐在可行的前提下，对所有怀疑恶性的多发磨玻璃病灶进行亚肺叶切除。不推荐行全肺切除。对于考虑局限性切除的患者，应由有经验的 MDT 团队进行决策，共同讨论该术式的有效性。</p><p>若病灶均位于同侧肺，一般选择同期手术切除。若病灶全部位于同一肺叶，则可考虑肺叶切除，但当病灶都是 pGGN 时可优先考虑楔形切除或肺段切除；若病灶分布于不同肺叶，可考虑主病灶行肺叶或肺段切除、联合多处肺段或楔形切除。术者可能采取较个体化的决策标准，如较大病灶所在的肺叶行肺叶切除术、小病灶采取楔形切除（或当两病灶均较小时采用不同肺叶局部切除），或根据病灶密度安排术式，当只存在一个主要实性病灶时，该病灶所在肺叶行肺叶切除，其他亚实性病灶选择局限性切除。分布于双侧肺的病灶通常需要分期手术，且亚肺叶切除有利于保留患者的肺功能。</p><p style="text-align: center;">表 3：主要指南关于 GGN 随诊观察和手术干预的标准（参考文献 4）<br/><img alt="WechatIMG6564.png" src="https://img1.dxycdn.com/p/s10/2024/0718/364/0677992805765683181.png!w640"/></p><p><strong>2. 消融治疗</strong> <br/></p><p>对于 MPLC 患者，局部消融既可作为外科术后剩余病灶的二线治疗手段，也可作为心肺功能无法耐受手术、拒绝手术或不宜活检且极度焦虑患者的一线治疗。消融技术主要包括热消融和冷消融。近年来随着电磁导航支气管镜的推广，经支气管消融技术也在逐步发展。<strong>考虑到磨玻璃型肺癌病灶获取病理不易，应在多学科讨论的基础上与患者共同决定是否进行无病理确诊基础上的消融治疗</strong>。</p><p><strong>3. 立体定向放疗（SBRT）</strong></p><p>《早期非小细胞肺癌立体定向放疗中国专家共识（2019 版）》提出，同时性多原发非小细胞肺癌是 SBRT 的相对适应证。《多发磨玻璃结节样肺癌多学科诊疗中国专家共识（2024 年版）》指出，对于不能行手术或拒绝接受手术，病理诊断的临床 GGN 患者，在满足下列条件的情况下，可考虑进行 SBRT 治疗：（1）明确的影像学诊断病灶在长期随访（&gt;2 年）过程中增长、实性成分增加，伴有血管集束征或血管在结节内扭曲扩张及分叶毛刺等恶性征象；至少两种影像检查（如 1～3 mm 薄层胸部增强 CT 和全身 PET-CT）提示恶性；（2）经 MDT 讨论确定；（3）患者及家属充分知情同意。</p><p><strong>4. 靶向和免疫治疗</strong></p><p>靶向治疗应用于驱动基因突变患者的剩余病灶和术后新发病灶的案例大部分为个例报道。对于 MPLC 病灶的驱动基因检测显示，不同病灶间基因突变的不一致率约为 70%～92.9%。有小样本研究报道，MPLC 最常见的 EGFR 突变不一致率为 92.1%，加之 MPLC 患者往往不能通过一次手术获取所有病灶的分子病理，因此单一靶向药物理论上不能兼顾所有病灶。另外，目前无明确证据表明 MPLC 患者接受免疫治疗有显著获益。</p><p style="text-align: center;"><strong>05 多发肺结节的随访</strong></p><p>Fleischner 学会 2017 年发表的肺结节随访策略是根据最可疑结节（未必是最大结节）随访；而 NCCN 肺癌筛查指南对肺多发 GGN 随访策略建议以最大径者随访。pGGN 和 mGGN 随访策略有所不同：随访中未发生变化的结节恶性可能性较低，建议采取降级策略（较相同直径大小的初次筛查检出结节随访周期更长的随访策略）；随访中出现新发结节或结节增长或实性成分增加，高度疑似恶性，建议采取升级策略（较相同直径大小的初次筛查检出结节随访周期更短的随访策略）。原则上当主要病灶的长径或实性成分 ≥ 8 mm、出现 ≥ 6 mm 的新发结节或随访期间病灶实性成分增大时，需要及时临床干预介入。当分类及采取最佳治疗存在困难时，建议进行多学科讨论。</p><p>pGGN：（1）最大径 &lt;8 mm 者每年复查 1 次 CT；（2）pGGN 最大径 8～14 mm 者每半年复查 1 次 CT；（3）最大径 ≥ 15 mm 者应在 3 个月复查 1 次 CT。pGGN 在 5 年的随访过程中约 13%～23% 会有所增长。</p><p>mGGN：（1）最大径 &lt;6 mm 者每年复查 1 次 CT；（2）最大径 &gt;6 mm、实性成分 &lt;5 mm 或 CTR&lt;25% 者 6 个月复查 1 次 CT；（3）最大径 &gt;6 mm、实性部分 ≥ 5 mm 或 CTR ≥ 25% 者应在 3 个月复查 1 次 CT。mGGN 在 5 年的随访过程中约 48%～55% 会有所增长。</p><p>如果有主病灶，推荐首次检查后 1～3 个月再行 CT 随访；如果病变持续存在，进行至少 3 年的随访，一般推荐 5 年，或者推荐活检或外科治疗，尤其是对内部实性成分直径 &gt;5 mm 的病灶。如果没有主病灶，即结节均为直径 &gt;5 mm 且 &lt;10 mm 的 pGGN，或者实性成分 &lt;5 mm 的 mGGN，推荐首次检查后 1～3 个月再行 CT 随访；如无变化，其后至少 3 年内每年 1 次 CT 随访，一般推荐 5 年；如果发现病灶变化，应调整随访周期。</p><p style="text-align: center;">表 4：国内外主要指南、共识对磨玻璃结节随访及处理的建议总结（参考文献 3）<br/><img alt="WechatIMG6565.png" src="https://img1.dxycdn.com/p/s10/2024/0718/205/8862800016276683181.png!w640"/></p><p><br/>参考文献：<br/>[1]&nbsp; 钟华, 姚烽, 陈群慧, 等. 肺部多发结节的诊断和治疗 [J]. 中华肿瘤杂志, 2023, 45(6): 455-463.<br/>[2] 王放, 岳鹏, 苏杭. 多原发早期肺癌诊疗专家共识 [J]. 中国胸心血管外科临床杂志, 2022, 29(12): 1545-1553.<br/>[3] 柯明耀, 陈智德, 曾俊莉, 等. 肺磨玻璃结节诊治策略与消融治疗 [J]. 中国胸心血管外科临床杂志, 2022, 29(01): 11-22.<br/>[4] 王帅博, 毛友生. 肺磨玻璃结节筛查及随诊研究进展 [J]. 中华肿瘤杂志, 2022, 44(2): 123-129.<br/>[5] 中国医药教育协会肺癌医学教育委员会,&nbsp; 中国胸外科肺癌联盟,&nbsp; 中国抗癌协会肿瘤消融治疗专业委员会,&nbsp; 等. 多发磨玻璃结节样肺癌多学科诊疗中国专家共识（2024 年版）[J]. 中华内科杂志,&nbsp;2024,&nbsp;63(02): 153-169.</p>              ]]>
			         	</description>	 
      </item>
	        <item>
         <title><![CDATA[HER2低表达临床意义尚存争议，Trop-2ADC改变TNBC格局]]></title>
         <link><![CDATA[http://oncol.dxy.cn/article/893868]]></link>
         <guid><![CDATA[http://oncol.dxy.cn/article/893868]]></guid>
		 		 <category><![CDATA[推广]]></category>
		 		 <category><![CDATA[最新资讯]]></category>
		 		 		 <enclosure url="https://img1.dxycdn.com/p/s10/2024/0621/852/4606799203744904081.png" />
		 		 
         <pubDate>2024-06-21 18:10:17.0</pubDate>
             <description>
						<![CDATA[   
    			<p><img src="https://img1.dxycdn.com/p/s10/2024/0621/073/4853040110824904081.jpg!w640" title="" alt="Screenshot_20240621_180805.jpg"/></p><p><img src="https://img1.dxycdn.com/p/s10/2024/0621/880/6984262528234904081.jpg!w640" title="" alt="Screenshot_20240621_180824.jpg"/></p><p><img src="https://img1.dxycdn.com/p/s10/2024/0621/199/2175158179834904081.jpg!w640" title="" alt="873a4e4bbc9a9d66f2ef573912949b7a.jpg"/></p>              ]]>
			         	</description>	 
      </item>
	        <item>
         <title><![CDATA[戈沙妥珠单抗或成晚期 TNBC 脑转移新希望！]]></title>
         <link><![CDATA[http://oncol.dxy.cn/article/893867]]></link>
         <guid><![CDATA[http://oncol.dxy.cn/article/893867]]></guid>
		 		 <category><![CDATA[推广]]></category>
		 		 <category><![CDATA[最新资讯]]></category>
		 		 		 <enclosure url="https://img1.dxycdn.com/p/s10/2024/0621/790/0821880383543904081.png" />
		 		 
         <pubDate>2024-06-21 18:06:15.0</pubDate>
             <description>
						<![CDATA[   
    			<p><img src="https://img1.dxycdn.com/p/s10/2024/0621/232/8047503206081904081.jpg!w640" title="" alt="Screenshot_20240621_175749.jpg"/></p><p><img src="https://img1.dxycdn.com/p/s10/2024/0621/989/4815670095622904081.jpg!w640" title="" alt="de4b7c49dc38777a7f286b588f208376.jpg"/></p><p><img src="https://img1.dxycdn.com/p/s10/2024/0621/784/2709501452352904081.jpg!w640" title="" alt="Screenshot_20240621_180212.jpg"/></p><p><img src="https://img1.dxycdn.com/p/s10/2024/0621/868/8218809783692904081.jpg!w640" title="" alt="Screenshot_20240621_180315.jpg"/></p><p><img src="https://img1.dxycdn.com/p/s10/2024/0621/270/2192474812623904081.jpg!w640" title="" alt="885354e4c6c687cf8f74365a4a7ea6bb.jpg"/></p><p><img src="https://img1.dxycdn.com/p/s10/2024/0621/985/2741408612823904081.jpg!w640" title="" alt="873a4e4bbc9a9d66f2ef573912949b7a.jpg"/></p><p><br/></p>              ]]>
			         	</description>	 
      </item>
	        <item>
         <title><![CDATA[浪潮来袭，一文盘点晚期三阴性乳腺癌治疗进展]]></title>
         <link><![CDATA[http://oncol.dxy.cn/article/893856]]></link>
         <guid><![CDATA[http://oncol.dxy.cn/article/893856]]></guid>
		 		 <category><![CDATA[最新资讯]]></category>
		 		 <category><![CDATA[非医学时间app]]></category>
		 		 		 <enclosure url="https://img1.dxycdn.com/p/s10/2024/0621/693/6399958397330904081.png" />
		 		 
         <pubDate>2024-06-21 17:53:51.0</pubDate>
             <description>
						<![CDATA[   
    			<p><img alt="Screenshot_20240621_175036.jpg" src="https://img1.dxycdn.com/p/s10/2024/0621/988/6165733841510904081.jpg!w640" title=""/></p><p><img src="https://img1.dxycdn.com/p/s10/2024/0621/989/4437759983911904081.jpg!w640" title="" alt="Screenshot_20240621_175516.jpg"/></p><p><img src="https://img1.dxycdn.com/p/s10/2024/0621/942/0825667577701904081.jpg!w640" title="" alt="Screenshot_20240621_175558.jpg"/></p><p><img alt="Screenshot_20240621_175112.jpg" src="https://img1.dxycdn.com/p/s10/2024/0621/335/6357182049520904081.jpg!w640" title=""/></p>              ]]>
			         	</description>	 
      </item>
	        <item>
         <title><![CDATA[令晓玲：从机制结构优势，解密 SG 稳定疗效背后故事]]></title>
         <link><![CDATA[http://oncol.dxy.cn/article/893855]]></link>
         <guid><![CDATA[http://oncol.dxy.cn/article/893855]]></guid>
		 		 <category><![CDATA[推广]]></category>
		 		 <category><![CDATA[最新资讯]]></category>
		 		 		 <enclosure url="https://img1.dxycdn.com/p/s10/2024/0621/291/6541164752788804081.png" />
		 		 
         <pubDate>2024-06-21 17:48:02.0</pubDate>
             <description>
						<![CDATA[   
    			<p><img src="https://img1.dxycdn.com/p/s10/2024/0621/660/8461526114558804081.jpg!w640" title="" alt="Screenshot_20240621_174439.jpg"/></p><p><img src="https://img1.dxycdn.com/p/s10/2024/0621/592/6370818006068804081.jpg!w640" title="" alt="Screenshot_20240621_174456.jpg"/></p><p><img src="https://img1.dxycdn.com/p/s10/2024/0621/404/6773083366278804081.jpg!w640" title="" alt="Screenshot_20240621_174501_com.tencent.mm.jpg"/></p>              ]]>
			         	</description>	 
      </item>
	        <item>
         <title><![CDATA[共话湘湖 晚期三阴性乳腺癌进展前沿，SG 予她曙光]]></title>
         <link><![CDATA[http://oncol.dxy.cn/article/893854]]></link>
         <guid><![CDATA[http://oncol.dxy.cn/article/893854]]></guid>
		 		 <category><![CDATA[最新资讯]]></category>
		 		 <category><![CDATA[推广]]></category>
		 		 		 <enclosure url="https://img1.dxycdn.com/p/s10/2024/0621/941/4433786437307804081.png" />
		 		 
         <pubDate>2024-06-21 17:40:44.0</pubDate>
             <description>
						<![CDATA[   
    			<p><br/></p><p><img alt="2024.06.21_17.34.54.jpg" src="https://img1.dxycdn.com/p/s10/2024/0621/129/0405799853965804081_small.jpg" title=""/></p><p><img alt="Screenshot_20240621_173423.jpg" src="https://img1.dxycdn.com/p/s10/2024/0621/879/4205625706465804081.jpg!w640" title=""/></p><p><br/></p><p><img alt="Screenshot_20240621_172859.jpg" src="https://img1.dxycdn.com/p/s10/2024/0621/381/2300099230254804081.jpg!w640" title=""/></p><p><img alt="Screenshot_20240621_172917.jpg" src="https://img1.dxycdn.com/p/s10/2024/0621/238/8845735615654804081.jpg!w640" title=""/><img alt="Screenshot_20240621_172932.jpg" src="https://img1.dxycdn.com/p/s10/2024/0621/289/8484395284164804081.jpg!w640" title=""/></p>              ]]>
			         	</description>	 
      </item>
	        <item>
         <title><![CDATA[发现磨玻璃结节就是早期肺癌吗？是否需要手术治疗？]]></title>
         <link><![CDATA[http://oncol.dxy.cn/article/896348]]></link>
         <guid><![CDATA[http://oncol.dxy.cn/article/896348]]></guid>
		 		 <category><![CDATA[推广]]></category>
		 		 <category><![CDATA[最新资讯]]></category>
		 		 		 <enclosure url="https://img1.dxycdn.com/p/s10/2024/0718/248/6948377914859483181.jpg" />
		 		 
         <pubDate>2024-06-11 16:13:38.0</pubDate>
             <description>
						<![CDATA[   
    			<p>随着胸部低剂量 CT 的普及，磨玻璃结节（ground-glass opacity，GGO）的检出率逐年升高。目前，通常根据 CT 肺窗上是否存在实性成分，将 GGO 分为纯 GGO（pGGO）和混合 GGO（mGGO）。仅有 GGO 成分而没有实性成分的肺结节被定义为纯 GGO，而同时含有 GGO 成分和实性成分的为混合 GGO。根据 CT 纵隔窗上是否可见上述实性成分，可进一步将混合 GGO 分为异质性 GGO（heterogeneous GGO，hGGO）和「真」混合 GGO。纵隔窗上实性成分不可见的称为异质性 GGO；在纵隔窗上可见实性成分的称为「真」混合 GGO。</p><p>影像学表现为 GGO 的肺部病变病理上可能是良性病变，短期内可以消散或变小；但<strong>持续存在的 GGO 多提示早期肺癌</strong>。GGO 型肺癌和传统肺癌不同，<strong>常见于年轻、女性和不吸烟人群，具有惰性生长的特点</strong><strong>，外科处理窗口期长</strong>。对于这部分考虑早期肺癌的 GGO，临床上往往有充足的外科处理时间窗，患者可根据自身情况选择干预时机。</p><p><br/><strong>01 手术适宜人群</strong></p><p><br/>对于持续存在的 GGO，需警惕其恶性可能。纯磨玻璃影被认为是非典型腺瘤样增生（AAH）或原位腺癌（AIS）的表现，当 pGGO&lt;5 mm 时多为 AAH；介于 5-30 mm，AIS 的可能性大，但也存在少数例外。而对于 mGGO，当实性成分直径 &lt;5 mm 时，以微浸润腺癌（MIA）多见，≥ 5 mm 则提示浸润性腺癌（IAC）的可能性较大。一般来讲，<strong>GGO&nbsp; 病灶越大，实性成分越多，其恶性可能性越大，侵袭性越强</strong>。文献报道，mGGO 的倍增时间是 457-568 d，pGGO 更是长达 469-845d。对 GGO 生长规律的了解，有助于我们做出正确的处理策略，避免过度诊治。此外，<strong>在随访过程中出现增大或出现恶性影像学征象（分叶征、毛刺征、胸膜凹陷征、支气管充气征、空泡征、血管集束征或血管在结节内扭曲扩张及囊腔型等恶性征象者），则可考虑外科手术干预</strong>。</p><p><br/>对于胸膜表面的肺结节，在随访过程中要密切关注胸膜情况，<strong>如出现胸膜凹陷、牵拉等恶性征象，则需要考虑外科手术处理</strong>。对于手术方式，可具体根据结节的大小、位置、实性成分比例、病灶稳定状态等因素决定手术方式。相关临床研究（如 JCOG 系列研究）对肺结节的手术方式做了详细阐述。一般来讲，<strong>对于外周结节、实性成分较少者可采取楔形切除或肺段切除；对于肺中野的结节，一般多采取肺段切除术；对于肺内野、结节较大者可行肺叶切除术</strong>。在手术决策时，除了考虑结节本身特征，还需要综合考虑患者一般情况、基础肺功能等情况，综合采取最优手术方案。术中冰冻病理检查能够用于指导 GGO 的手术，<strong>对于原位腺癌或微浸润腺癌，可不进行淋巴结清扫。对于浸润性腺癌，则根据患者情况进行淋巴结清扫</strong>。</p><p><br/><strong>02 早期肺癌手术干预的好处</strong></p><p><br/>对于早期肺癌，肿瘤的生物学行为相对比较惰性，生长速度和侵袭性都比较弱；另一方面，肿瘤很小时，内部的血管/淋巴管尚未充分形成，一般不具备血行转移/淋巴道转移条件。这类患者在进行手术根治后，远期预后相对较好。有文献报道，<strong>原位腺癌或微浸润腺癌者远期复发或转移率为零</strong>。因此，在癌症早期进行积极治疗可显著改善预后。</p><p><br/><strong>03 磨玻璃结节型肺癌的手术策略</strong></p><p><br/>关于怀疑早期肺癌的结节手术指征，各个指南略有差异。此期与观察期的区别在于<strong>有高度疑诊早期恶性肿瘤的临床证据时，需要在短期内进行干预性诊治</strong>。临床实践中常需把握诊疗时机，避免过度诊疗或延误诊疗。</p><p><img alt="WechatIMG6561.png" src="https://img1.dxycdn.com/p/s10/2024/0718/181/2192852378788483181.png!w640"/></p><p>陈海泉教授团队提出针对 GGO 的手术策略还需综合考虑多种因素：</p><p><strong>第一，GGO 是否需行手术治疗应结合患者的预期寿命</strong>。对于老年合并其它基础疾病的 GGO 患者，如果他们的预期寿命短于 GGO 的进展时间，建议随访即可；对于年轻的 GGO 患者，他们具有很长的预期寿命，因此推荐在不需切除过多肺组织的时候选择合适的时间点进行手术治疗。</p><p>第二，需结合 GGO 的具体位置，对于亚肺叶切除能够根治的周围型 GGO，可以采取积极手术干预；对于因结节位置较深而必须行肺叶切除的 GGO，则建议在安全期内随访，延长高质量生活的时间。由于两肺下叶在肺通气与换气中占主要地位，因此，<strong>对于发生在下叶的 GGO，应更积极地在能够行亚肺叶切除的阶段进行手术干预，以避免 GGO 进展后必须行肺下叶切除，从而达到保留更多有效肺组织的目的</strong>。</p><p>第三，合理选择 GGO 型肺癌的手术时机。GGO 型肺癌进展缓慢，外科处理窗口期长，因此手术时机的选择应<strong>以不影响人生轨迹和职业生涯为原则</strong>。除此之外，患者的心理因素也是决定 GGO 型肺癌手术时机的因素。部分患者可能由于存在 GGO 而患上焦虑症，影响生活质量，对于这种患者择期手术或许是较为合适的治疗方法。</p><p style="text-align: center;"><img alt="1-2.png" src="https://img1.dxycdn.com/p/s10/2024/0718/904/6731852542719483181.png!w640"/><br/><strong><br/></strong></p><p><strong>04 术后病理及预后评估手段</strong></p><p>对于早期肺癌的预后，需要根据术后病理情况进行评估。肿瘤组织学分化程度较高，以贴壁类型为主者，预后相对较好；肿瘤组织学分化程度低，以实体、乳头或微乳头为主，存在气道内播散、神经脉管受侵犯等情况，则预后相对较差。<br/>另外，有研究显示，肿瘤不同基因突变类型预后也不同。2023 年 1 月，Lung Cancer 上发表的一项研究专门讨论了携带 ALK 突变对肺癌转移能力的影响。研究者纳入 552 名初诊状态临床评估未见淋巴结和远处转移（N0M0）、接受标准肺癌根治术的患者。最终，手术以后有 82 名患者因为检出淋巴结转移而病理升期（14.9%）。进一步分析显示，<strong>携带 ALK 突变是导致病理升期的重要危险因素。ALK 阳性群体出现淋巴结隐匿转移的风险，是 ALK 阴性群体的 8.052 倍。和 EGFR 不一样的是，ALK 驱动的肺癌绝大多数不会出现磨玻璃阶段，而是直接表现为实性结节</strong>。因为缺乏磨玻璃的保护，携带 ALK 突变的肺癌即便体积很小，也具备较强的侵袭性，甚至可能发生淋巴结转移。<br/><br/>参考文献</p><p>[1] 傅方求, 马相宜, 张扬, 等. 磨玻璃结节型肺癌患者的个体化全程管理策略 [J]. 中国胸心血管外科临床杂志, 2022, 29(01): 1-10.[2] 王帅博, 毛友生. 肺磨玻璃结节筛查及随诊研究进展 [J]. 中华肿瘤杂志, 2022, 44(2): 123-129.<br/>[3] 赵晨光, 牟巨伟, 赫捷. 肺癌手术学演进简史 [J]. 中华肿瘤杂志, 2023, 45(6): 530-538.</p>              ]]>
			         	</description>	 
      </item>
	        <item>
         <title><![CDATA[2023 乳腺癌10大热词有哪些？乳腺癌年终盘点顺利召开]]></title>
         <link><![CDATA[http://oncol.dxy.cn/article/882227]]></link>
         <guid><![CDATA[http://oncol.dxy.cn/article/882227]]></guid>
		 		 <category><![CDATA[乳腺癌]]></category>
		 		 <category><![CDATA[最新资讯]]></category>
		 		 <category><![CDATA[推广]]></category>
		 		 <category><![CDATA[预警资讯]]></category>
		 		 <category><![CDATA[紫杉醇]]></category>
		 		 <category><![CDATA[多西他赛]]></category>
		 		 <category><![CDATA[兴华]]></category>
		 		 <category><![CDATA[和安]]></category>
		 		 <category><![CDATA[春花]]></category>
		 		 <category><![CDATA[北京大学]]></category>
		 		 <category><![CDATA[中南大学]]></category>
		 		 <category><![CDATA[阿斯利康]]></category>
		 		 <category><![CDATA[中国医学科学院]]></category>
		 		 		 <enclosure url="https://img1.dxycdn.com/p/s10/2024/0220/269/0846190675311689571.jpeg" />
		 		 
         <pubDate>2024-02-20 17:10:25.0</pubDate>
             <description>
						<![CDATA[   
    			<div><p>由丁香园和长江学术带乳腺联盟共同主办的「2023 乳腺癌临床领域 10 大热词发布会暨年度进展盘点」于 2024 年 1 月 20 日以线下同步线上的形式隆重举行。</p><p>本次活动邀请了中国医学科学院肿瘤医院徐兵河院士担任主席，联合多位乳腺癌领域的知名学者，共同回顾 2023 年乳腺癌临床领域大事件，梳理研究进展，提升医生认知，助力共同成长。</p><p class="rich_media_title " id="activity-name" style="margin: 0.0px 0.0px 14.0px;padding: 0.0px;outline: 0.0px;font-weight: 400;font-size: 22.0px;line-height: 1.4;text-align: center;"><img alt="1.png" src="https://img1.dxycdn.com/p/s10/2024/0220/917/8849723911691589571.png!w640" title=""/></p><p>会议由复旦大学肿瘤医院张剑教授和海军军医大学附属上海长海医院李恒宇教授全程主持。</p></div><p style="text-align: center;"><img src="https://img1.dxycdn.com/p/s10/2024/0220/729/8290414356151589571.png!w640" style=""/></p><p style="text-align: center;">张剑教授（左）和李恒宇教授（右）</p><p style="text-align: center;"><br/><br/><strong>主办方致辞</strong></p><p style="text-align: center;"><br/>会议开始，丁香园创始人李天天先生发表致辞。他表示，本次活动将为大家带来最前沿、最深度的乳腺癌临床领域知识。同时，对长江学术带乳腺联盟参与的精心策划以及所有与会专家的大力支持表示感谢。丁香园也将继续携手各位专家学者，共同推动中国肿瘤事业的发展，并通过平台把更多的前沿知识，更多的实践经验传递给广大的一线肿瘤科医生。<br/><br/><br/><img alt="3-1.png" src="https://img1.dxycdn.com/p/s10/2024/0220/325/6566637612722589571.png!w640" title=""/></p><p style="text-align: center;">李天天先生</p><p style="text-align: center;"><br/><strong>大会主席致辞及 10 大热词榜单揭晓</strong></p><p><strong><br/></strong>中国医学科学院肿瘤医院、大会主席徐兵河院士发表致辞。他强调了团队合作和跨学科交流的重要性，并向所有为乳腺癌研究和治疗做出努力的同仁们表示衷心的感谢和崇高的敬意。<br/>接下来，徐院士揭晓了 2023 乳腺癌临床领域年度 10 大热词，按得分从高到低依次为 NATALEE 研究、PHILA 研究、ADC、DESTINY-Breast04 研究、Trop-2 靶点、monarchE 研究、TORCHLIGHT 研究、CDK4/6 抑制剂、TROPiCS-02 研究、AKT 抑制剂。</p><p style="text-align: center;"><img alt="4.png" src="https://img1.dxycdn.com/p/s10/2024/0220/650/4893191979654589571.png!w640" title=""/></p><p style="text-align: center;">徐兵河院士揭榜十大热词环节<br/><br/><br/><strong>分榜单揭晓及解读</strong></p><p><strong><br/></strong>总榜单揭晓后，分别由中国医学科学院肿瘤医院袁芃教授、云南省肿瘤医院聂建云教授和北京大学肿瘤医院宋国红教授揭晓并解读了乳腺癌年度研究、靶点和创新药三个分榜单前五名。</p><p><br/>袁芃教授揭晓研究榜单：<br/>第五名：TORCHLIGHT 研究。该研究是由解放军总医院肿瘤医学部江泽飞教授牵头的一项随机、双盲、安慰剂对照的多中心 III 期临床研究，在 2023 年 ASCO 纳入 Late Breaking Abstract (LBA)，研究旨在于首诊 IV 期或复发转移的三阴性乳腺癌（TNBC）患者中比较特瑞普利单抗联合注射用紫杉醇（白蛋白结合型）与安慰剂联合注射用紫杉醇（白蛋白结合型）的疗效和安全性。TORCHLIGHT 研究是国内首个在晚期 TNBC 免疫治疗领域取得积极结果的 III 期研究。</p><p style="text-align: center;"><img src="https://img1.dxycdn.com/p/s10/2024/0220/315/0238407950905589571.jpeg!w640" style=""/></p><p style="text-align: center;">袁芃教授揭晓研究榜单第五名</p><p>第四名：monarchE 研究。在 2023 年 ESMO 大会上公布了 monarchE 研究的 5 年随访结果 (LBA17)。5 年结果显示， 在 H R + /HER2 -、淋巴结阳性的高危早期乳腺癌患者中，与单用内分泌治疗 (ET) 治疗相比，加入阿贝西利将带来无侵袭性疾病生存期 (IDFS) 和无远处复发生存期](DRFS) 的持续获益。<br/><br/></p><p style="text-align: center;"><img src="https://img1.dxycdn.com/p/s10/2024/0220/096/6351829650905589571.jpeg!w640" style=""/></p><p style="text-align: center;">袁芃教授揭晓研究榜单第四名</p><p>第三名：DESTINY-Breast 04 研究。在传统定义的 HER2-转移性乳腺癌（mBC）中，大约有 60% 存在 HER2 低表达（HER2-Low，即 IHC 1+或 IHC 2+/ISH-）。「HER2 低表达 」 定义的出现重新定义了 HER2 低表达晚期乳腺癌患者治疗新标准，而 DESTINY-Breast 04 研究是首个 ADC 治疗 HER2 低表达晚期乳腺癌并获得阳性结果的 3 期试验。在 2023 年 ESMO 大会上，DB-04 研究更新了中位随访 32 个月的生存数据，T-DXd 用于治疗 HER2 低表达 mBC 患者可带来持续的 PFS 和 OS 获益，且安全性和耐受性良好。<br/><br/></p><p style="text-align: center;"><img src="https://img1.dxycdn.com/p/s10/2024/0220/198/4410767750905589571.jpeg!w640" style=""/></p><p style="text-align: center;">袁芃教授揭晓研究榜单第三名</p><p>第二名：PHILA 研究。该研究是由中国工程院院士、国家新药（抗肿瘤）临床研究中心主任徐兵河教授牵头的一项乳腺癌创新研究，其成果已于 2023 年在 British Medical Journal（BMJ) 上发表。研究证实，吡咯替尼+曲妥珠单抗+多西他赛（PyHT）方案，在 HER2 阳性晚期乳腺癌一线治疗中的疗效和安全性良好。研究数据也是目前公布的 HER2 阳性晚期乳腺癌一线治疗的Ⅲ期临床研究中的最长无进展生存期。方案的适应症于 2023 年 4 月就获得国家药监局的加速审批上市，成为 HER2 阳性晚期乳腺癌的一线治疗的标准方案。该研究和方案的丁香后台搜索指数和发帖也引起了非常不错的反响和讨论。<br/><br/></p><p style="text-align: center;"><img src="https://img1.dxycdn.com/p/s10/2024/0220/721/4410970761905589571.jpeg!w640" style=""/></p><p style="text-align: center;">袁芃教授揭晓研究榜单第二名</p><p>第一名：NATALEE 研究。NATALEE 研究 2023 年陆续登上 ASCO、ESMO、SABCS 三大肿瘤国际会议舞台。NATALEE 研究进一步确立了 CDK4/6 抑制剂在辅助强化治疗中的作用并扩大了获益人群，ASCO 公布的结果显示，针对存在复发风险的 HR+/HER2-早期乳腺癌（EBC）广泛患者人群，与单独使用 NSAI 相比，瑞波西利+NSAI 组的无浸润性疾病生存期（iDFS）达到统计学和临床意义的改善， 3 年的 iDFS 率分别为 90.4% 和 87.1%，绝对值获益 3.3%，患者复发风险降低 25.2% 。<br/><br/></p><p style="text-align: center;"><img src="https://img1.dxycdn.com/p/s10/2024/0220/578/6712029081905589571.jpeg!w640" style=""/></p><p style="text-align: center;">袁芃教授揭晓研究榜单第一名</p><p style="text-align: left;"><br/><strong>聂建云教授揭晓靶点榜单：</strong><br/><br/><br/>第五名：B7-H4。在正常健康组织中 B7-H4 处于相对低的表达水平，但在多种实体瘤中高表达。因此，B7-H4 也作为抗肿瘤治疗中具有潜力的靶点进行不断研发与探索。在 2023 年 ESMO 大会上，复旦大学附属肿瘤医院张剑教授以优先口头报告的形式报告了一种新型的以 B7-H4 为靶点的 ADC HS-20089 治疗实体瘤的初期数据，在 TNBC 中展现出良好的疗效数据和治疗潜力。<br/><br/></p><p style="text-align: center;"><img src="https://img1.dxycdn.com/p/s10/2024/0220/809/4600659867806589571.jpeg!w640" style=""/></p><p style="text-align: center;">聂建云教授揭晓靶点榜单第五名</p><p>第四名：ESR1。ESR1 基因是雌激素受体（estrogen receptor，ER）基因，在体内负责介导雌激素的信号，调节生殖系统的生长、分化和各种生理功能。该基因突变可能会导致雌激素信号通路的异常，从而对肿瘤细胞的生长和转移产生影响。ESR1 突变在乳腺癌中具有重要的临床意义。2023 年 ASCO 指南快速推荐更新，推荐将 ESR1 突变检测用于指导激素受体阳性（ER+）/人表皮生长因子受体 2 阴性（HER2-）转移性乳腺癌治疗。<br/><br/></p><p style="text-align: center;"><img src="https://img1.dxycdn.com/p/s10/2024/0220/226/8235536967806589571.jpeg!w640" style=""/></p><p style="text-align: center;">聂建云教授揭晓靶点榜单第四名</p><p>第三名：HER3。HER3 发现迄今已有三十多年，HER3 是肿瘤耐药性的重要驱动因素，在肿瘤产生对化疗、内分泌治疗、靶向治疗的耐药性过程中发挥重要作用。但目前尚无一款靶向 HER3 的药物获批临床。近年来，双特异抗体及抗体偶联药物（ADC）在靶向 HER3 治疗中带来曙光，尤其是 HER3-DXd 已在乳腺癌领域，有多项临床研究展现了积极的治疗效果和安全性。</p><p style="text-align: center;"><img src="https://img1.dxycdn.com/p/s10/2024/0220/763/6522300258806589571.png!w640" style=""/></p><p style="text-align: center;">聂建云教授揭晓靶点榜单第三名</p><p><br/>第二名：AKT。在 HR+/HER2-晚期乳腺癌中，以 AKT 信号通路为靶点的抗肿瘤治疗成为近几年的研究热点，并成为 post-CDK4/6 抑制剂治疗策略的热点方向。2023 年，美国 FDA 宣布批准阿斯利康 &nbsp;Capivasertib 联合氟维司群用于治疗激素受体阳性（HR+）、人表皮生长因子受体 2 阴性（HER2-）局部晚期或转移性乳腺癌患者，成为全球首个获批的 AKT 通路抑制剂，引发大家热烈关注。</p><p style="text-align: center;"><img src="https://img1.dxycdn.com/p/s10/2024/0220/794/0468866569806589571.png!w640" style=""/></p><p style="text-align: center;">聂建云教授揭晓靶点榜单第二名</p><p><br/>第一名：Trop-2。Trop-2 在癌细胞中高表达且具有内化活性，是靶向治疗的新型且有潜力的分子靶点，也成为了继 HER2 之后 ADC 最为火爆的靶点之一，在各大国际会议及丁香平台指数的搜索频率上一路上升。如 Dato-DXd 的 TROPION-Breast01 研究、戈沙妥珠单抗（SG）的 TROPiCS-02 研究的事后分析和 SKB264 的 KL264-01 研究均在今年 ESMO 以及 SABCS 大会上引起不错反响。</p><p style="text-align: center;"><img src="https://img1.dxycdn.com/p/s10/2024/0220/253/8828031320906589571.png!w640" style=""/></p><p style="text-align: center;"><br/>聂建云教授揭晓靶点榜单第一名</p><p><br/></p><p><strong>宋国红教授揭晓创新药榜单：</strong></p><p>第五名：HER3-DXd。靶向 HER3 活性已成为乳腺癌的关键治疗策略，而 HER3-DXd 是目前在临床研究中获得较多研究成果的的抗 HER3 治疗药物，在乳腺癌、结直肠癌、肺癌等领域均有覆盖。例如，U31402-A-J101、SOLTI TOT-HER3 等研究分别在晚期和早期乳腺癌显示了积极的疗效结果。</p><p style="text-align: center;"><img src="https://img1.dxycdn.com/p/s10/2024/0220/146/2380049440027589571.png!w640" style=""/></p><p style="text-align: center;">宋国红教授揭晓创新药榜单第五名</p><p><br/>第四名：戈沙妥珠单抗。戈沙妥珠单抗（SG) 是一种靶向 Trop-2 的 ADC 药物，是全球首个获批的靶向 Trop-2 的 ADC 药物。国际多中心 III 期 ASCENT 研究证实了 SG 治疗复发或难治性 TNBC 中的疗效和安全性。TROPiCS-02 研究则聚焦晚期经治的 HR+/HER2-乳腺癌，同样显示 SG 相较于 TPC 显著改善 PFS 和 OS。2023 年 ESMO BC、SABCS 等国际大会也纷纷报道了 SG 相关的多项研究数据结果，让大家对这款 Trop-2 ADC 有了更深的探讨。</p><p style="text-align: center;"><img src="https://img1.dxycdn.com/p/s10/2024/0220/913/7560999448487589571.png!w640" style=""/></p><p style="text-align: center;">宋国红教授揭晓创新药榜单第四名</p><p><br/>第三名：瑞波西利。2023 年 2 月，瑞波西利在中国获批与 AI 联合用药作为 HR 阳性、HER2 阴性局部晚期或转移性乳腺癌绝经前或围绝经期女性患者的初始内分泌治疗。上市十个月后，瑞波西利就成功纳被入《国家基本医疗保险、工伤保险和生育保险药品目录（2023 年）》。此外，2023 年，瑞波西利的 NATALEE 研究数据在多个国际大会舞台以 LBA 研究形式公布，让大家对这款创新药有了更全面的认识。</p><p style="text-align: center;"><img src="https://img1.dxycdn.com/p/s10/2024/0220/601/6560999448487589571.png!w640" style=""/></p><p style="text-align: center;">宋国红教授揭晓创新药榜单第三名</p><p>第二名：阿贝西利。2023 ESMO 年会上公布了阿贝西利片 III 期研究 monarchE 基于预先计划分析的 5 年结果，这项研究旨在评估阿贝西利片联合内分泌治疗（ET）2 年相较单独内分泌治疗对于 HR 阳性、HER2 阴性、淋巴结阳性、高复发风险的早期乳腺癌患者（EBC）的疗效和安全性。该项研究数据的公布，也使得今年对于阿贝西利的探讨热度持续升高。</p><p style="text-align: center;"><img src="https://img1.dxycdn.com/p/s10/2024/0220/948/0006581461587589571.png!w640" style=""/></p><p style="text-align: center;">宋国红教授揭晓创新药榜单第二名</p><p><br/>第一名：T-DXd。T-DXd（德曲妥珠单抗，DS-8201）在乳腺癌领域正在开展的 DESTINY-Breast 系列研究，全面覆盖了乳腺癌的全程管理过程。2023 年，在各大国际会议上更新了 DB-01/02/03/04 系列亚组研究的数据结果，此外 THE LANCET 在 2023 年在线刊登了 DESTINY-Breast02 试验的结果，对于已接受过恩美曲妥珠单抗（T-DM1）治疗的患者，T-DXd 较医生选择的治疗方法，可是疾病进展或死亡风险下降 64%，为 HER2 阳性晚期乳腺癌患者带来了新的希望。</p><p style="text-align: center;"><img src="https://img1.dxycdn.com/p/s10/2024/0220/310/0449223012587589571.png!w640" style=""/></p><p style="text-align: center;">宋国红教授揭晓创新药榜单第一名</p><p style="text-align: center;"><br/><br/><strong>最热词之我见：继往开来</strong></p><p><br/>揭晓完榜单后，北京大学肿瘤医院梁旭教授对 10 大综合榜前 3 临床热词进行了详细解读。</p><p style="text-align: center;"><img alt="20.jpeg" src="https://img1.dxycdn.com/p/s10/2024/0220/243/6397861121998589571.jpeg!w640" title=""/></p><p style="text-align: center;">梁旭教授解读综合榜十大热词前三名</p><p><br/>梁教授指出，综合榜冠军&nbsp;NATALEE 研究亮点在于它有望通过长疗程的 CDKi 治疗为更广泛的 HR+早期乳腺癌患者带来生存获益。该研究不仅纳入了更广泛的患者群体，包括淋巴结阴性、相对中危ⅡA、ⅡB 期患者，而且瑞波西利采用 400 mg/天的剂量，这种减量不减效的设计提高了药物耐受性。此外，该研究将辅助治疗时间延长至 3 年，旨在延长细胞周期停滞时间、促使更多肿瘤细胞进入不可逆衰老。</p><p style="text-align: center;"><img alt="21.png" src="https://img1.dxycdn.com/p/s10/2024/0220/573/6372335436019589571.png!w640" title=""/></p><p style="text-align: center;">梁旭教授解读 NATALEE 研究</p><p><br/>综合榜亚军&nbsp;PHILA 研究是中国学者的骄傲，其亮点在于有望改变我国 HER2 阳性晚期乳腺癌一线治疗格局。该研究取得了 HER2 阳性晚期乳腺癌 III 期临床研究中一线治疗的最长无进展生存期，达 2 年多（24.3 个月），较对照组（10.4 个月）延长 13.9 个月，进展风险降低 59%。此外，该研究首次开创大小分子联合的双重抗 HER2 治疗乳腺癌方案，且对于接受过曲妥珠单抗治疗的患者仍有 PFS 获益，有望解决既往抗 HER2 治疗耐药问题。</p><p style="text-align: center;"><img src="https://img1.dxycdn.com/p/s10/2024/0220/287/2743782555449589571.png!w640" style=""/></p><p style="text-align: center;">梁旭教授解读&nbsp;PHILA 研究</p><p><br/>而综合榜季军&nbsp;ADC&nbsp;则被梁教授预测明年有望霸榜。ADC 被称之为生物学导弹，成为热点是必然的。ADC 成为热点的原因在于它具有一些关键的特点，其抗原特异性强，连接子稳定性高，到达肿瘤细胞内部能够高效释放，载体为高效的抗肿瘤药物（细胞毒药物）。目前 ADC 在乳腺癌领域最为成熟的两个靶点是 HER2 和 Trop-2，此外还有更多靶点的 ADC 研究正在进行中。</p><p style="text-align: center;"><img src="https://img1.dxycdn.com/p/s10/2024/0220/508/6319909795449589571.png!w640" style=""/></p><p style="text-align: center;"><br/>梁旭教授解读&nbsp;ADC</p><p style="text-align: center;"><br/><strong>年度进展盘点</strong></p><p><strong><br/></strong>在「年度进展盘点」环节，中国医学科学院肿瘤医院袁芃教授、北京大学肿瘤医院宋国红教授、南昌市第三医院陈文艳教授分别围绕「HER2 阳性乳腺癌」、「HR 阳性乳腺癌」和「三阴性乳腺癌」进行年度进展盘点，介绍了各亚型乳腺癌的最新研究成果。<br/><br/></p><p style="text-align: center;"><img src="https://img1.dxycdn.com/p/s10/2024/0220/632/6942615047449589571.jpeg!w640" style=""/></p><p style="text-align: center;">袁芃教授盘点 HER2 阳性乳腺癌</p><p style="text-align: center;"><img src="https://img1.dxycdn.com/p/s10/2024/0220/841/4262482698449589571.png!w640" style=""/></p><p style="text-align: center;"><br/>宋国红教授盘点&nbsp;HR+/HER2-&nbsp;乳腺癌</p><p style="text-align: center;"><img src="https://img1.dxycdn.com/p/s10/2024/0220/172/2346410027150689571.png!w640" style=""/></p><p style="text-align: center;"><br/>陈文艳教授盘点三阴性乳腺癌</p><p style="text-align: center;"><strong>热点话题——锵锵三人行</strong></p><p><strong><br/></strong>「锵锵三人行」环节的第一轮圆桌讨论由海军军医大学附属上海长海医院李恒宇教授主持，与华中科技大学同济医学院附属同济医院熊慧华教授、中南大学湘雅二医院易文君教授、天津医科大学肿瘤医院肖春花教授围绕「高危复发乳腺癌临床决策优化」的话题从手术、放疗和内科角度进行讨论和交流。<br/><br/></p><p style="text-align: center;"><img src="https://img1.dxycdn.com/p/s10/2024/0220/733/8841747758150689571.png!w640" style=""/></p><p style="text-align: center;">李恒宇教授、熊慧华教授、易文君教授及肖春花教授</p><p><br/>第二轮圆桌讨论由复旦大学附属肿瘤医院张剑教授主持，与中国科学技术大学附属第一医院韩兴华教授、浙江省肿瘤医院郑亚兵教授、北京大学肿瘤医院梁旭教授围绕「ADC 在乳腺癌的临床应用」的话题进行深入的讨论。<br/><br/></p><p style="text-align: center;"><img src="https://img1.dxycdn.com/p/s10/2024/0220/329/0658353328150689571.png!w640" style=""/></p><p style="text-align: center;">张剑教授、梁旭教授、郑亚兵教授及韩兴华教授</p><p style="text-align: center;"><strong>2024 年热词预测</strong></p><p><strong><br/></strong>「2024 乳腺癌年度热词预测和最期待的研究进展」环节由张剑教授和李恒宇教授一同主持，北京大学肿瘤医院宋国红教授、贵州医科大学附属医院刘蜀教授和中国医学科学院肿瘤医院李俏教授共同讨论并预测 2024 年年度热词及研究进展。</p><p style="text-align: center;"><img src="https://img1.dxycdn.com/p/s10/2024/0220/144/4836357288150689571.jpeg!w640" style=""/></p><p style="text-align: center;"><br/>张剑教授、宋国红教授、刘蜀教授、李俏教授及李恒宇教授</p><p style="text-align: center;"><strong>会议主席总结</strong></p><p><strong><br/></strong>最后，徐兵河院士对今天的会议内容做了总结概括，对本次会议的成功召开表示了祝贺，徐院士同时提出希望 2024 年能够纳入筛查、早诊、治疗、预后预测等分领域的热词预测。<br/><br/></p><p style="text-align: center;"><img src="https://img1.dxycdn.com/p/s10/2024/0220/069/8866030889150689571.jpeg!w640" style=""/></p><p style="text-align: center;">徐兵河院士</p>              ]]>
			         	</description>	 
      </item>
	        <item>
         <title><![CDATA[拜耳诺倍戈®（达罗他胺片）转移性激素敏感性前列腺癌新适应症成功准入新版国家医保目录！]]></title>
         <link><![CDATA[http://oncol.dxy.cn/article/876503]]></link>
         <guid><![CDATA[http://oncol.dxy.cn/article/876503]]></guid>
		 		 <category><![CDATA[推广]]></category>
		 		 <category><![CDATA[最新资讯]]></category>
		 		 		 <enclosure url="https://img1.dxycdn.com/p/s10/2023/1218/091/0274940781940166371.jpeg" />
		 		 
         <pubDate>2023-12-18 12:53:04.0</pubDate>
             <description>
						<![CDATA[   
    			<p>12 月 13 日，国家医疗保障局、人力资源社会保障部印发《国家基本医疗保险、工伤保险和生育保险药品目录（2023 年）》（以下简称新版医保目录），拜耳公司前列腺癌治疗药物新型雄激素受体抑制剂（ARi）诺倍戈<sup>®</sup>（达罗他胺片）成功续约并新增适应症。2021 年，诺倍戈<sup>®</sup>获批用于治疗有高危转移风险的非转移性去势抵抗性前列腺癌（nmCRPC）成年患者，于同年准入国家医保目录。今年 3 月，诺倍戈<sup>®</sup>联合多西他赛治疗转移性激素敏感性前列腺癌（mHSPC）成年患者的新适应症在国内获批，此次成功新增准入 2023 版国家医保目录，意味着中国将有更多更广泛疾病阶段的前列腺癌患者从诺倍戈<sup>®</sup>这一创新产品中获益，新版医保目录将于 2024 年 1 月 1 日起执行。</p><p>近年来，我国前列腺癌发病率及死亡率呈现持续增长趋势，据 GLOBOCAN 数据，2020 年我国新增前列腺癌患者 11.5 万例，因前列腺癌死亡患者 5.1 万例，位居我国男性恶性肿瘤发病率第六位，死亡率第七位。<sup>1</sup> 我国前列腺癌患者总体预后与西方国家存在较大差距，超过 50% 的患者初诊即存在转移，转移患者的 5 年生存率不足 30%。<sup>2,3</sup></p><p>复旦大学附属肿瘤医院叶定伟教授介绍，「转移性激素敏感性前列腺癌（mHSPC）是前列腺癌治疗的关键阶段，如若在 mHSPC 阶段未得到良好的救治，mHSPC 将很快进展至转移性去势抵抗性前列腺癌 (mCRPC)，年全因死亡率由 16% 骤升至 56%<sup>4</sup>。延缓疾病进展、改善生存和维持患者生活质量是 mHSPC 治疗的重要目标。「今年 3 月，诺倍戈®再次获批用于联合多西他赛治疗转移性激素敏感性前列腺癌（mHSPC）成年患者，同时也是目前唯一获批与化疗联用适应症的二代 ARi，前列腺癌适应症进一步拓宽。诺倍戈®相较于其他新型 ARi 分子结构更加独特，AR 亲和力更高，抗肿瘤活性更强，PSA 持续达标，达标率高达 71%，并且用药安全性更高。ARASENS 研究结果显示，诺倍戈®联合 ADT 起始进行治疗，6 周内给予多西他赛的治疗，相比对照组显著降低 mHSPC 患者的死亡风险 32.5% <sup>5</sup>。值得关注的是，诺倍戈<sup>®</sup>药品说明书提到，对于接受二联起始、三联加用治疗策略的 mHSPC 患者，在开始诺倍戈®治疗的 6 周内给予第 1 个周期的多西他赛，即使多西他赛治疗周期出现延迟、暂停或终止，达罗他胺给药也应持续至疾病进展或出现不可接受的毒性。同时说明书中明确提及诺倍戈®治疗组 PSA 较基线中位最大降幅高达 99.7%，显著改善患者生存。《CSCO 前列腺癌诊疗指南》也已将达罗他胺作为 mHSPC 患者的 I 级推荐治疗方案（IA 类证据）。</p><p>拜耳处方药肿瘤业务部总经理韩爽表示，「诺倍戈<sup>®</sup>已在非转移和转移性前列腺癌两大领域获批适应症，同时在全球范围开展临床研发项目，旨在将诺倍戈®治疗范围扩展到更早期阶段；多菲戈<sup>®</sup>作为目前唯一具有生存获益的精准骨靶向 α 核素治疗药物，延缓前列腺癌骨转移，推迟疾病进展；诺倍戈<sup>®</sup>和多菲戈<sup>®</sup>共同为中国前列腺癌患者全程管理做出贡献。作为高效安全的创新型治疗药物，诺倍戈<sup>®</sup>全适应症成功准入国家医保目录，继续服务中国更广泛疾病阶段的前列腺癌患者。拜耳将始终以患者为中心，专注以创新解决未被满足医疗需求的同时，积极支持政府医保惠民的政策与措施，继续践行以创新成果惠及患者，让更多中国患者真正从优质治疗中获益。」</p><p>参考文献：</p><p>[1] Sung H, et al. CA Cancer J Clin. 2021;71(3):209-249.<br/>[2] SIEGEL R L, et al. CA Cancer J Clin, 2021, 71(1): 7-33.<br/>[3] 马春光, 等. 中华外科杂志, 2008, 46(12): 921-925. 生物化学与分子生物学第 9 版.<br/>[4] Scher HI, et al. PLoS One. 2015. 10(10): e0139440.<br/>[5] Smith MR, et al. N Engl J Med. 2022 Mar 24;386(12):1132-1142.</p>              ]]>
			         	</description>	 
      </item>
	        <item>
         <title><![CDATA[着眼未来，Trop-2 ADC 带来实体瘤抗癌新曙光！]]></title>
         <link><![CDATA[http://oncol.dxy.cn/article/875445]]></link>
         <guid><![CDATA[http://oncol.dxy.cn/article/875445]]></guid>
		 		 <category><![CDATA[乳腺癌]]></category>
		 		 <category><![CDATA[最新资讯]]></category>
		 		 <category><![CDATA[推广]]></category>
		 		 		 <enclosure url="https://img1.dxycdn.com/p/s10/2023/1206/062/4682128522014822371.png" />
		 		 
         <pubDate>2023-12-06 14:21:36.0</pubDate>
             <description>
						<![CDATA[   
    			<p>ADC（Antibody Drug Conjugate）是将细胞毒药物连接到靶向肿瘤的单克隆抗体而构成的复合体，可成功实现精准治疗。ADC 药物的概念在 1900 年被提出，然而技术限制使其长期停留于理论层面，并没有真正在临床得以实现。随着技术的发展，「魔法子弹」的概念终于可以在临床得以实施，截至 2022 年底，全球已有 15 款 ADC 药物获批上市，目前全球在研的 ADC 药物超过 400 余个，其中进入临床阶段的超过 200 个。</p><p>目前 ADC 药物在乳腺癌领域的研发主要分为两大类，一类是以 HER2 为靶点的 ADC 类药物，另一类是以 TROP2 为靶点的 ADC 类药物。这次我们将针对明星靶点「TROP2」类 ADC 药物为大家盘点年度重要进展。</p><p>人滋养层细胞表面糖蛋白抗原 2（Trop-2）是 GA733 基因家族的成员，又称肿瘤相关钙信号转导子 2（TACSTD2）、上皮糖蛋白 1（EGP-1）、胃肠道抗原 733-1（GA733-1）、膜表面标志物 1（M1S1）<sup>[1]</sup>。由于 Trop-2 在大多数人类癌症中高表达，但在正常组织中保持低水平甚至几乎不表达，这使其成为肿瘤靶向治疗的理想靶标，并正在抗体偶联药物（ADC）开发领域得到广泛研究。那么究竟 Trop-2 在肿瘤发生发展中发挥着怎样的作用？针对 Trop-2 靶点的 ADC 目前又有哪些进展呢？</p><p><br/></p><h3 style="text-align: left;"><strong>多癌种高表达，Trop2 靶点展现抗癌潜力</strong></h3><p><strong><br/></strong></p><p>作为一种 I 型跨膜糖蛋白，Trop-2 最早于 1981 年首次在人类滋养层细胞中被定义，其抗体被认为有助于绒毛膜癌或生殖系统癌症的诊断和治疗<sup>&nbsp;[1]</sup>。随着分子细胞学的进一步发展，Trop-2 被发现是重要的肿瘤发生因子，其在多种肿瘤中高表达，如前列腺癌、食管鳞状细胞癌、卵巢癌、乳腺癌、结直肠癌、胃癌、胰腺癌和肺癌等，并且在肿瘤细胞中过表达 Trop-2 能大幅提高肿瘤的生长速度<sup>&nbsp;[2]</sup>。</p><p>从机制上来看，Trop-2 与肿瘤细胞中许多关键的细胞信号通路相互作用，如过度表达的 Trop-2 能够通过与胰岛素样生长因子 1（IGF-1）结合来抑制 IGF-1 受体（IGF-1R）信号通路，并通过 RAS-丝裂原活化蛋白激酶（MAPK）/细胞外信号调节激酶（ERK）下调转录因子激活蛋白 1（AP-1）水平来促进细胞增殖并抑制细胞凋亡，引起癌细胞侵袭和转移，并最终促进上皮间质转化<sup>&nbsp;[3]</sup>。这些特点使得 Trop-2 成为了抗癌药物开发的潜力靶点之一。</p><p>ADC 因其精准靶向、高效杀伤的特点成为了 Trop 靶点最重要的药物类型，其由单克隆抗体通过连接子携带细胞毒药物，特异性靶向表达靶抗原的肿瘤细胞，从而精准打击肿瘤细胞<sup>&nbsp;[4-5]</sup>。值得注意的是，部分 ADC 药物还可以对靶抗原表达细胞周围的癌细胞发挥细胞毒功能，这被称为「旁观者效应」<sup>[4-5]</sup>。而 Trop-2 作为一类内化的细胞膜受体，其可以让靶向它的 ADC 药物进入细胞内溶酶体并释放更具细胞渗透性的细胞毒性有效负载，产生更强的旁观者效应&nbsp;<sup>[3]</sup>。因此 Trop2 也成为了 ADC 药物开发的优质靶点。</p><h3 style="text-align: left;"><strong><br/></strong></h3><h3 style="text-align: left;"><strong>高效抗肿瘤，还看 Trop2 ADC 戈沙妥珠单抗精准靶向</strong></h3><p><strong><br/></strong></p><p>目前戈沙妥珠单抗（Sacituzumab Govitecan，SG)、Datopotamab deruxtecan（Dato-DXd）等 Trop-2 靶向 ADC 药物已被证明可产生旁观者效应，并在多种实体瘤临床试验（包括乳腺癌和非小细胞肺癌）中证明了其显著的抗肿瘤疗效。但不同 Trop-2 靶向 ADC 药物从结构组成和作用机制等方面均具有不同的特征，这些差异的存在决定了其抗肿瘤活性和安全性等方面的特异性。</p><p>其中戈沙妥珠单抗作为全球第一个上市的 Trop2 靶向 ADC，由针对 Trop-2 的人源化κ单抗（hRS7）、马来酰亚胺-聚乙二醇-酸敏感的可切割碳酸酯连接子和伊立替康代谢物（SN-38）组成，平均药物抗体比 (DAR) 为 7.6<sup>[6]</sup>。它的成功面世颠覆了「ADC 药物 DAR 值最优为 4」这一传统认知，真正将 Trop-2 靶向疗法推向了临床。</p><p>自研发面世以来，戈沙妥珠单抗一路高歌猛进，在多个癌种开展临床研究，其在乳腺癌领域的临床研究结果尤其令人瞩目：</p><ul class=" list-paddingleft-2"><li><p>I/II 期 IMMU-132-01 篮子试验<sup>&nbsp;[7]&nbsp;</sup>初步验证了戈沙妥珠单抗在晚期三阴性乳腺癌（TNBC）中的疗效与安全性，该研究共入组 495 例患者，其中包括 108 例经过多线治疗的晚期转移性 TNBC 患者，旨在评估戈沙妥珠单抗的疗效和安全性。其结果显示，TNBC 队列戈沙妥珠单抗的客观缓解率（ORR）为 33.3%，中位缓解持续时间（DOR）为 7.7 个月。患者的临床获益率（CBR）为 45.4%，中位无进展生存期（PFS）为 5.6 个月，总生存期（OS）为 13.0 个月。该研究的突破性成果可以说是点亮了 TNBC 治疗希望。</p></li><li><p>另一项针对复发性或难治性转移性三阴性乳腺癌 (mTNBC) 的随机 III 期 ASCENT 试验<sup>&nbsp;[8](</sup>&nbsp;NCT02574455 ) 评估了戈沙妥珠单抗与单药化疗（卡培他滨、艾力布林、长春瑞滨、吉西他滨）的疗效，纳入患者既往接受过 ≥ 2 线标准化疗方案（转移性疾病阶段至少接受过一种化疗）。结果显示，相较于单药化疗方案，戈沙妥珠单抗组中位 PFS 提高约 3 倍（5.6 个月 vs. 1.7 个月，HR = 0.41，P&lt; 0.0001）；中位 OS 提高约 2 倍（12.1 个月 vs 6.7 个月，HR = 0.48，P&lt; 0.0001）；ORR 更是提高约 7 倍（35%vs.5%），获益优势十分显著。并且其亚组分析<sup>&nbsp;[9]&nbsp;</sup>还显示，戈沙妥珠单抗的治疗获益无关 Trop-2 表达状态，能广泛覆盖 TNBC 患者。</p></li></ul><p>ASCENT 研究的成功使戈沙妥珠单抗成为<strong>全球首个获批用于针对 Trop-2 的 mTNBC 治疗的 ADC 药物</strong>。而戈沙妥珠单抗在我国首次获批用于治疗<strong>既往接受过至少两种系统治疗（其中至少一种为针对转移性疾病的治疗）的不可切除的局部晚期或转移性 TNBC 成人患者</strong>则是基于另一项 IIb 期研究 EVER-132-001<sup>[10]</sup>。该项研究共纳入我国 80 名转移三阴性乳腺癌患者，其研究结果与既往报道的 IMMU-132-01 以及 ASCENT 研究结果有较高的一致性。目前戈沙妥珠单抗已经成为国内外权威指南共同推荐的针对晚期 TNBC 患者的标准二线治疗选择。</p><p>除了 mTNBC，戈沙妥珠单抗还被证实在 HR+/HER2-乳腺癌中具有良好表现。另一项关键的 III 期临床试验 TROPiCS-02（NCT03901339）<sup>[11]&nbsp;</sup>共纳入 543 例接受过内分泌治疗、2～4 线化疗和 CDK4/6 抑制剂的 HR+/HER2-晚期乳腺癌患者，旨在比较戈沙妥珠单抗治疗和单药化疗（卡培他滨、长春瑞滨、吉西他滨、艾立布林）的疗效和安全性。结果显示，相较于医生选择化疗组，戈沙妥珠单抗组患者的中位 PFS（5.5 个月 vs.4.0 个月，HR = 0.66，&nbsp;P = 0.0003）和中位 OS（14.5 个月与 11.2 个月，HR = 0.79，P = 0.020）均有显著改善，其 1 年无进展生存率是化疗患者的三倍（21% vs.7%）。<br/>这提示戈沙妥珠单抗治疗可给 HR+/HER2-乳腺癌患者带来 PFS/OS 双获益。</p><p>该研究结果奠定了 SG 在内分泌耐药、至少两线化疗进展的晚期 HR+/HER2-乳腺癌患者中的治疗地位，基于 TROPiCS-02 研究结果，<strong>戈沙妥珠单抗于 2023 年 2 月 3 日被 FDA 获批用于既往接受过内分泌治疗且 ≥ 2 线系统治疗（针对转移性疾病）的激素受体（HR）阳性、人表皮生长因子受体 2（HER2）阴性的不可切除的局部晚期或转移性乳腺癌患者。</strong></p><p>此外，今年欧洲肿瘤内科学会（ESMO）大会还公布了 TROPiCS-02 研究不同前线化疗亚组<sup>&nbsp;[12]&nbsp;</sup>分析结果，其结果提示无论在既往接受过 ≤ 2 线化疗或 ≥ 3 线化疗的患者中，戈沙妥珠单抗均较化疗具有更佳的 PFS 及 OS，并提示更早线使用戈沙妥珠单抗的患者具有更佳临床获益。</p><p>实际上，除了乳腺癌，戈沙妥珠单抗早在 2021 年就已被 FDA 获批用于治疗既往经含铂化疗联合或不联合 PD-1/PD-L1 免疫检查点抑制剂治疗失败的局部晚期或转移性尿路上皮癌患者。而除了已经获批的乳腺癌和尿路上皮癌相关适应症之外，戈沙妥珠单抗在很多其它癌种中的研究也在进一步开展，并展示出了良好的治疗潜力：</p><ul class=" list-paddingleft-2"><li><p>在先前接受过中位 3 线治疗的非小细胞肺癌患者中，戈沙妥珠单抗也取得了 19% 的客观缓解率和 43% 的疾病控制率<sup>&nbsp;[13]</sup>。</p></li><li><p>在转移性子宫内膜癌患者中，戈沙妥珠单抗单药治疗获得了 22.2% 的客观缓解率，44.4% 的患者客观缓解或疾病稳定超过 6 个月<sup>&nbsp;[14]</sup>。</p></li></ul><p>期待随着更多研究成果的披露，戈沙妥珠单抗未来能惠及更多肿瘤患者。</p><p><strong style="text-align: left;"><br/></strong></p><h3><strong style="text-align: left;">小结</strong></h3><p><strong style="text-align: left;"><br/></strong></p><p>尽管目前 Trop-2 靶向 ADC 药物在多种实体瘤中表现出优异的抗肿瘤活性，但其在临床应用中仍面临许多挑战。比如由于恶性肿瘤的异质性和个体特异性，单独使用一种治疗药物或疗法很难取得更好的效果。因此，除了关于 Trop-2 靶向 ADC 药物单药治疗的相关研究，目前关于其于不同类型药物（化疗、小分子抑制剂、免疫检查点抑制剂、抗血管生成药物等）的联合策略也已成为抗肿瘤药物研究的热点。相信随着未来对于戈沙妥珠单抗这类新型 Trop-2 靶向 ADC 药物的深入研究，必将有更多肿瘤患者从中获益。</p><p><br/></p><p style="text-align: left;">参考文献：<br/>[1]Lipinski M, Parks DR, Rouse RV, Herzenberg LA. Human trophoblast cell-surface antigens defined by monoclonal antibodies.&nbsp;Proc Natl Acad Sci U S A. 1981;78(8):5147-5150.<br/>[2]Trerotola M,Cantanelli P, Guerra E, et al. Upregulation of Trop-2 quantitatively stimulateshuman cancer growth[J]. Oncogene, 2013, 32(2): 222-233.<br/>[3]Qiu S, Zhang J, Wang Z, et al. Targeting Trop-2 in cancer: Recent research progress and clinical application.&nbsp;Biochim Biophys Acta Rev Cancer. 2023;1878(4):188902.<br/>[4]Drago JZ, Modi S, Chandarlapaty S. Unlocking the potential of antibody-drug conjugates for cancer therapy.&nbsp;Nat Rev Clin Oncol. 2021;18(6):327-344.<br/>[5]Strebhardt K, Ullrich A. Paul Ehrlich&#39;s magic bullet concept: 100 years of progress.&nbsp;Nat Rev Cancer. 2008;8(6):473-480.<br/>[6]Sun M, Zhang H, Jiang M, et al. Structural insights into the&nbsp;cis&nbsp;and&nbsp;trans&nbsp;assembly of human trophoblast cell surface antigen 2.&nbsp;iScience. 2021;24(10):103190. Published 2021 Sep 30.<br/>[7]Bardia A, Mayer IA, Vahdat LT, et al. Sacituzumab Govitecan-hziy in Refractory Metastatic Triple-Negative Breast Cancer.&nbsp;N Engl J Med. 2019;380(8):741-751.<br/>[8]Bardia A, Hurvitz SA, Tolaney SM, et al. Sacituzumab Govitecan in Metastatic Triple-Negative Breast Cancer.&nbsp;N Engl J Med. 2021;384(16):1529-1541.<br/>[9]Bardia A, Tolaney SM, Punie K, et al. Biomarker analyses in the phase Ⅲ ASCENT study of Sacituzumab govitecan versus chemotherapy in patients with metastatic triple-negative breast cancer. Ann Oncol, 2021, 32(9):1148-1156.<br/>[10]Xu B, Ma F, Wang T, et al. A Phase IIb, single arm, multicenter trial of sacituzumab govitecan in Chinese patients with metastatic triple-negative breast cancer who received at least two prior treatments.&nbsp;Int J Cancer. 2023;152(10):2134-2144.<br/>[11]Rugo HS, Bardia A, Marmé F, et al. Overall survival (OS) results from the phase III TropiCS-02 study of sacituzumab govitecan (SG) vs treatment of physician&#39;s choice (TPC) in patients (pts) with HR+/HER2- metastatic breast cancer (mBC). Ann Oncol. 2022;33(S7):LBA76.<br/>[12]Cortés J, et al. Efficacy and safety analyses by prior lines of chemotherapy from the phase III TROPiCS-02 study of sacituzumab govitecan (SG) vs treatment of physician’s choice (TPC) in patients (pts) with HR+/HER2- metastatic breast cancer (mBC). 2023 ESMO 389P.<br/>[13]Heist R S,Guarino M J, Masters G, et al. Therapy of advanced non–small-cell lung cancerwith an SN-38-anti-trop-2 drug conjugate, sacituzumab govitecan[J]. Journal ofClinical Oncology, 2017, 35(24): 2790-2797.<br/>[14]Santin A, KomiyaT, Goldenberg D M, et al. Sacituzumab govitecan (SG) in patients (pts) withpreviously treated metastatic endometrial cancer (mEC): results from a phaseI/II study[J]. 2020.</p><p>本文仅供医疗卫生等专业人士参考<br/>题图来源：图虫创意</p><p><br/></p>              ]]>
			         	</description>	 
      </item>
	        <item>
         <title><![CDATA[乳腺癌 ADC 类药物，年度一文 review！]]></title>
         <link><![CDATA[http://oncol.dxy.cn/article/875444]]></link>
         <guid><![CDATA[http://oncol.dxy.cn/article/875444]]></guid>
		 		 <category><![CDATA[乳腺癌]]></category>
		 		 <category><![CDATA[最新资讯]]></category>
		 		 <category><![CDATA[推广]]></category>
		 		 		 <enclosure url="https://img1.dxycdn.com/p/s10/2023/1206/068/0825629599360822371.jpeg" />
		 		 
         <pubDate>2023-12-06 14:12:41.0</pubDate>
             <description>
						<![CDATA[   
    			<p>抗体-药物偶联物 (Antibody - drug conjugates, ADC) 是一类新型的肿瘤靶向治疗药物，具有良好的疗效和可耐受的系统毒性。早在 1913 年第十七届国际医学大会期间，Paul Ehrlich 教授就提出来「魔法子弹（magic bullet）」的设想，利用单克隆抗体的荷载将细胞毒药物特异性输送到肿瘤细胞里去，进而实现杀伤肿瘤细胞的目的。</p><p>随着近年来单克隆抗体生产技术水平的发展及单抗连接子开发的探索，ADC 得以实现，并快速运用于临床。</p><p style="text-align: center;"><img alt="图片 1.png" src="https://img1.dxycdn.com/p/s10/2023/1206/364/4665667808500822371_small.png" title=""/><br/>图：Paul Ehrlich 教授</p><h3><strong><br/></strong></h3><h3><strong>ADC 类药物的开发有几个关键点：</strong></h3><p><strong><br/></strong></p><p><strong>靶点抗原的选择：</strong>靶点抗原需要特异性表达于肿瘤细胞的细胞膜，这有利于单克隆抗体的结合；此外，如果靶抗原的表达与癌症的预后相关，更有利于 ADC 发挥作用。<br/><strong>连接子的要求：</strong>具有恰当的稳定性。既需要避免荷载的细胞毒药物在外周血过早的释放，造成系统毒性，又需要在内化到肿瘤细胞内时可高效释放，达到杀伤肿瘤的目的。<br/><strong>细胞毒药物的选择：</strong>具有恰当的疏水性。疏水连接子与疏水细胞毒分子结合会促进 &nbsp;ADC 分子的聚集，可能会引起血液循环过程中的免疫反应。</p><p style="text-align: center;"><br/><img alt="图片 2.png" src="https://img1.dxycdn.com/p/s10/2023/1206/857/0675639640320822371.png!w640" title=""/><br/>图：ADC 药物作用机制</p><h3><strong><br/></strong></h3><h3><strong>借此机会，与大家共同梳理在乳腺癌领域常见的 ADC 类药物：</strong></h3><p><strong><br/></strong></p><p><strong>戈沙妥珠单抗（SG）</strong>&nbsp;：SG 是一项靶向 Trop-2 蛋白的 ADC 类药物，在靶向 Trop-2 的单抗基础上荷载拓扑异构酶抑制剂类细胞毒药物 SN-38。<br/><strong>ASCENT&nbsp; 研究</strong>&nbsp;<sup>&nbsp;[1]&nbsp;&nbsp;</sup>是一项前瞻性、随机对照、III 期临床研究，研究入组 468 例三阴性晚期后线乳腺癌患者，试验组接受 SG，对照组接受医生选择的化疗方案。研究结果显示，试验组和对照组中位 PFS 分别为 5.6 个月和 1.7 个月，HR 0.41；95% CI，0.32-0.52；P&lt;0.001。试验组和对照组中位 OS 分别为 12.1 个月和 6.7 个月，HR 0.48；95% CI，0.38-0.59；P&lt;0.001。有意思的是，进一步的分析发现，无论患者是否过表达 Trop-2，均可以从 SG 的治疗中获益。研究结果使得 SG 成为三阴性晚期后线的标准治疗方案之一。<br/><strong><br/></strong></p><p><strong>TROPiCS-02&nbsp; 研究</strong><sup>&nbsp;&nbsp;[2]&nbsp;&nbsp;</sup>是一项前瞻性、随机对照、III 期临床研究，研究入组 543 例 HR 阳性 HER2 阴性晚期后线乳腺癌患者，试验组接受 SG，对照组接受医生选择的化疗方案。<br/>研究结果显示，试验组和对照组中位 PFS 分别为 5.4 个月和 4.0 个月，HR 0.66；95% CI，0.53-0.83；P = 0.0003。试验组和对照组中位 OS 分别为 14.4 个月和 11.2 个月，HR 0.79；95% CI，0.65-0.96；P = 0.02。研究结果使得 SG 成为 HR 阳性晚期二线后的标准治疗方案之一，并且获得了 FDA 的批准。</p><p><strong>恩美曲妥珠单抗（T-DM1）</strong>T-DM1 是一项靶向 HER2 蛋白的 ADC 类药物，在曲妥珠单抗的基础上，通过不可逆连接子链接微管抑制剂 DM1，进而杀伤肿瘤细胞。<br/><strong>EMILIA&nbsp; 研究</strong>&nbsp;<sup>&nbsp;[3]&nbsp;&nbsp;</sup>是一项前瞻性、随机对照、III 期临床研究，研究入组 991 例 HER2 阳性晚期二线乳腺癌患者，试验组接受 T-DM1 单药，对照组接受拉帕替尼联合卡培他滨。<br/>研究结果显示，试验组和对照组中位 PFS 分别为 9.6 个月和 6.4 个月，HR 0.65；95%CI，0.55-0.77；P&lt;0.001。研究结果使得 T-DM1 单药成为 HER2 阳性晚期二线的标准治疗方案之一。<br/><strong>KATHERIN&nbsp; 研究</strong>&nbsp;<sup>&nbsp;[4]&nbsp;&nbsp;</sup>是一项前瞻性、随机对照、III 期临床研究，研究入组 1486 例 HER2 阳性新辅助治疗后未取得 pCR 的早期乳腺癌患者，试验组接受 T-DM1 单药治疗 14 周期，对照组接受曲妥珠单抗单药治疗 14 周期。研究结果显示，两组 3 年 iDFS 分别为 88.3% 和 77.0%，HR 0.50；95% CI，0.39-0.64；P&lt;0.001。<br/>研究结果证明，对于接受新辅助治疗并且未取得 pCR 的 HER2 阳性早期高危乳腺癌患者，T-DM1 单药治疗比当时标准治疗曲妥珠单抗单药更优。KATHERIN 研究为早期 HER2 阳性乳腺癌患者探索了一个新的治疗模式，借助新辅助治疗的效果可以筛选出需要强化辅助治疗的高危患者，T-DM1 成为这部分患者的标准治疗方案之一。<br/><strong>T-DXd（DS8201）</strong>同 T-DM1 一样，T-DXd 也是基于曲妥珠单抗开发的抗 HER2 ADC 类药物。但与 T-DM1 不同，T-DXd 具有独特的连接子和细胞毒药物载荷 DXd。DXd 是一项拓朴异构酶抑制剂，可高效杀伤肿瘤细胞，且同类药物不常见于晚期乳腺癌患者的治疗史。<br/>另外，T-DXd 具有独特的四肽（GGFG）可裂解连接子，具有更高药物载荷的同时，可发挥旁观者效应。凭借单臂临床研究&nbsp;DESTINY-Breast01 研究，T-DXd 提前获 FDA 批准上市。<br/><strong>DESTINY-Breast03&nbsp; 研究</strong><sup>&nbsp;&nbsp;[5]&nbsp;</sup>&nbsp;是一项前瞻性、随机对照、III 期临床研究，研究入组 524 例 HER2 阳性晚期二线乳腺癌患者，试验组接受 T-DXd，对照组接受 T-DM1。<br/>研究结果显示，试验组和对照组中位 PFS 分别为 28.8 个月和 6.8 个月，HR 0.33；95%CI，0.47-0.87；P&lt;0.000001。两组 OS 也有显著差异，HR 0.64; 95% CI, 0.47-0.87; P = 0.0037。研究结果使得 T-DXd 成为 HER2 阳性晚期二线的标准治疗方案之一。<br/><strong>DESTINY-Breast04&nbsp; 研究</strong>&nbsp;<sup>&nbsp;[6]&nbsp;</sup>是一项前瞻性、随机对照、III 期临床研究，研究入组 557 例 HER2 低表达晚期二、三线乳腺癌患者，试验组接受 T-DXd，对照组接受医生选择的化疗方案。<br/>研究结果显示，试验组和对照组中位 PFS 分别为 9.9 个月和 5.1 个月，HR 0.50; 95% CI, 0.40-0.63; P &lt; 0.001。试验组和对照组中位 OS 分别为 23.4 个月和 16.8 个月，HR 0.64; 95% CI, 0.49-0.84; P = 0.001。该研究首次成功在 HER2 低表达人群中证明使用抗 HER2 治疗的必要性，并且很快获得 FDA 批准，也是截至目前 FDA 唯一批准用于 HER2 低表达人群的抗 HER2 药物。</p><h3><strong><br/></strong></h3><h3><strong>小结</strong></h3><p><br/></p><p>上述已经获批的 ADC 类药物还在继续拓展适应症，如 T-DXd，由于其前期成功的临床研究结果，在 HER2 低表达和 HER2 阳性乳腺癌的晚期一线、（新）辅助治疗阶段都有相应的研究正在进行，期待后续可以带给临床更多的结果。</p><p>除了上述已经获得 FDA 批准的 ADC 类药物，目前还有多项单一靶点的 ADC 类药物正在研发，比如靶向 HER2 的 ARX788，RC-48，SHR1811 等，靶向 Trop-2 的 SKB264, DS1062 和 SHR-A1921 等。除此以外，还有多靶点的 ADC 类药物值得期待，比如靶向 Claudin-18.2 和 LIV-1 的 ADC 药物。</p><p style="text-align: center;">表 1：乳腺癌 ADC 类药物发展管线&nbsp;[7]<br/><img alt="图片 3.png" src="https://img1.dxycdn.com/p/s10/2023/1206/029/0690041116530822371.png!w640" title=""/><img alt="图片 4.png" src="https://img1.dxycdn.com/p/s10/2023/1206/164/2992907077830822371.png!w640" title=""/></p><p><br/></p><p>回看 1913 年，Paul Ehrlich 教授提出「魔法子弹」的设想，终于在今天开始广泛运用于临床。我们完全可以相信，将来更多的新型治疗药物会加入到乳腺癌的治疗当中来，随着基因治疗，肿瘤疫苗，蛋白降解等新型成药技术的不断扩展和更新，乳腺癌患者的治疗将会有更多、更好的选择。</p><p><br/></p><p style="text-align: left;">参考文献<br/>[1]&nbsp;Bardia A, Hurvitz SA, et&nbsp;al; ASCENT Clinical Trial Investigators. Sacituzumab Govitecan in Metastatic Triple-Negative Breast Cancer. N Engl J Med. 2021 Apr 22;384(16):1529-1541.<br/>[2]&nbsp;Rugo HS, Bardia A, et&nbsp;al. Sacituzumab Govitecan in Hormone Receptor-Positive/Human Epidermal Growth Factor Receptor 2-Negative Metastatic Breast Cancer. J Clin Oncol. 2022 Oct 10;40(29):3365-3376.<br/>[3]&nbsp;Verma S, Miles D, Gianni L, et&nbsp;al; EMILIA Study Group. Trastuzumab emtansine for HER2-positive advanced breast cancer. N Engl J Med. 2012 Nov 8;367(19):1783-91.<br/>[4]&nbsp;von Minckwitz G, Huang CS, et&nbsp;al; KATHERINE Investigators. Trastuzumab Emtansine for Residual Invasive HER2-Positive Breast Cancer. N Engl J Med. 2019 Feb 14;380(7):617-628.<br/>[5]&nbsp;Sara A. Hurvitz, a &nbsp;Roberto Hegg, et al；Trastuzumab deruxtecan versus trastuzumab emtansine in patients with HER2-positive metastatic breast cancer: Updated results of the randomized, phase 3 study DESTINY-Breast03；2022 SABCS，GS2-02<br/>[6]&nbsp;Modi S, Jacot W, et&nbsp;al; DESTINY-Breast04 Trial Investigators. Trastuzumab Deruxtecan in Previously Treated HER2-Low Advanced Breast Cancer. N Engl J Med. 2022 Jul 7;387(1):9-20.<br/>[7] Yu-Fei Chen,et al. Resistance to antibody-drug conjugates in breast cancer: mechanisms and solutions.Cancer Commun (Lond) . 2023 Mar;43(3):297-337.</p><p>本文仅供医疗卫生等专业人士参考<br/>题图来源：图虫创意</p>              ]]>
			         	</description>	 
      </item>
	        <item>
         <title><![CDATA[首次亮相！ 2023ASH 将公布现货通用型 CD19-CAR-DNT 细胞治疗 r/r NHL I 期临床研究结果]]></title>
         <link><![CDATA[http://oncol.dxy.cn/article/873341]]></link>
         <guid><![CDATA[http://oncol.dxy.cn/article/873341]]></guid>
		 		 <category><![CDATA[最新资讯]]></category>
		 		 <category><![CDATA[白血病]]></category>
		 		 <category><![CDATA[肺癌]]></category>
		 		 <category><![CDATA[贫血]]></category>
		 		 <category><![CDATA[淋巴瘤]]></category>
		 		 <category><![CDATA[非医学时间app]]></category>
		 		 		 <enclosure url="https://img1.dxycdn.com/p/s10/2023/1113/362/8089998310432983271.png" />
		 		 
         <pubDate>2023-11-13 10:35:38.0</pubDate>
             <description>
						<![CDATA[   
    			<p>当前全球已有 10 款自体 CAR-T 细胞产品获批上市，包括中国 4 款自体 CAR-T 细胞产品。但自体 CAR-T 疗法面临因价格昂贵而可及性差，制备周期长，以及因患者自身 T 细胞质量差等因素导致无法制备自体 CAR-T 细胞等商业化瓶颈问题。</p><p>加拿大多伦多大学医学院张丽教授团队在小鼠模型上首次揭示了双阴性 T 细胞（CD3<sup>+</sup>CD4<sup>-</sup>CD8<sup>-</sup>）亚群具有抗原特异性抑制移植排斥反应的功能及其机理，并于 2000 年在《Nature Medicine》发表论文 <sup>1</sup>。</p><p style="text-align: center;"><img alt="1.png" src="https://img1.dxycdn.com/p/s10/2023/1113/768/0044797465690983271_small.png"/></p><p>2022 年 4 月，张丽教授团队在 Science 子刊 Science Immunology 发表研究论文，证实在 B 细胞急性淋巴细胞白血病（B-ALL）和非小细胞肺癌（NSCLC）小鼠模型中，针对 CD19 靶点的 CAR-DNT 细胞（CD19-CAR-DNT）能够有效清除血液瘤和实体瘤，且不会引发移植物抗宿主病（GvHD）<sup>2</sup>，疗效与 CAR-T 细胞相当但毒性更低。<br/></p><p style="text-align: center;"><img alt="2.png" src="https://img1.dxycdn.com/p/s10/2023/1113/456/6589084346011983271_small.png"/></p><p>同年 6 月，美国 AACR 会议公布了 CD19-CAR-DNT 细胞冻存产品在体外和 B-NHL 小鼠模型中的药效、药代和初步毒理学研究数据，验证了 CAR-DNT 细胞作为现货通用型产品的巨大潜力 <sup>3</sup>。</p><p style="text-align: center;"><img src="https://img1.dxycdn.com/p/s10/2023/1113/140/0679281981038393271_small.png" alt="3.png"/></p><p>由浙江大学医学院附属第二医院血液科钱文斌教授团队发起并联合广东瑞顺生物技术有限公司开展的全球首个 CD19-CAR-DNT 细胞用于治疗复发/难治性非霍奇金淋巴瘤（r/r NHL）的 I 期临床研究（NCT05453669）结果将以壁报形式在今年第 65 届美国血液病学会（ASH）年会上公布 <sup>4</sup>。这是 CD19-CAR-DNT 治疗 B-NHL 的人体临床研究结果的首次全球亮相。 近日，ASH 网站公布了该研究的摘要内容。</p><p><strong>研究方法</strong></p><p>这是一项针对同类首创 RJMty19（CD19-CAR-DNT）细胞疗法的、开放标签、单剂量、I 期研究。该研究旨在评估 3+3 剂量递增方案中，RJMty19 的 5 个剂量组（DL）分别为：1×10<sup>6</sup>， 3×10<sup>6</sup>， 9×10<sup>6</sup>， 2×10<sup>7</sup>和 3×10<sup>7</sup>CAR-DNT 细胞/kg 体重。入选人群标准包括存在可测量病灶，既往接受至少 2 线治疗，ECOG 评分为 0-1。</p><p>所有患者均接受氟达拉滨和环磷酰胺的清淋化疗预处理。主要终点是剂量限制毒性、不良事件的发生率和具有显著临床意义的实验室指标异常。次要终点包括药代动力和药效学指标，以及客观反应率（ORR）和疾病控制率（DCR）。</p><p><strong>研究结果</strong></p><p>截至 2023 年 7 月 31 日，在 15 例被纳入研究的 B-NHL 患者中，有 12 例患者可评估（包括 1 名仅输注 10 天的受试者）。</p><p>在第 28 天完成 DLT 评估的 11 例患者中，有 5 例（45.5%）为男性，平均年龄为 59.7 岁（范围 45-74 岁）；在基线时，73% 的患者的 IPI 评分为 ≥ 3（范围 0-4)；既往治疗的中位线数为 3 线（范围 2-9）。此外，5 例患者既往接受过 BTKi 治疗，4 例患者在入组前曾接受过来那度胺/维奈克拉治疗。没有患者接受过 CAR-T 疗法。</p><p>单次输注 RJMty19 后，没有观察到 GvHD（移植物抗宿主病）、ICANS（免疫细胞相关神经毒性综合征）和 SAEs（严重不良反应）病例。只有 1 例患者出现 2 级 CRS（细胞因子释放综合症），但在 24 小时内症状缓解。除发热外，所有 ≥ 3 级不良事件均为血液学毒性，包括白细胞减少、淋巴细胞减少、中性粒细胞减少、血小板计数减少和贫血（如下表）。</p><p style="text-align: center;"><img src="https://img1.dxycdn.com/p/s10/2023/1113/115/8081769749638393271_small.png" alt="4.png"/></p><p>在接受 ≥ 9×10<sup>6</sup>CAR-DNT 细胞/kg 体重（DL ≥ 3；N = 5）治疗的患者中， 第 28 天 B 超影像结果显示的最佳 DCR 和 ORR 分别为 100%（5/5）和 40%（2/5）。DL4 组患者中有一例患者的肿瘤病灶（SPD）在第 31 天和第 61 天退缩 87%。</p><p>体内动力学数据显示，CD19-CAR-DNT 细胞以剂量依赖性方式扩增， 在第 5 天至第 7 天之间达到峰值，DL4 组患者（n = 3）的平均峰值达到 384 个 CAR<sup>+</sup>细胞/ul 外周血。</p><p><strong>钱文斌教授在近日接受采访时指出，</strong>全球首次发布的异体 CAR-DNT 细胞治疗 B-NHL 的 I 期研究结果显示，单次输注 RJMty19 注射液的安全性良好，在各剂量组均未观察到 ≥ 3 级 CRS、ICANS、SAE，以及 GvHD。</p><p>2020 年发表的一项针对已发布的 19 个 CD19-CAR-T 临床研究的 890 例患者的回顾性数据分析结果显示， 包括免疫相关毒性、CRS 和 ICANS 在内的与死亡相关的毒性的致命率达 5.4%<sup>5</sup>。</p><p><strong>钱文斌教授认为</strong>，&nbsp; 在 I 期研究中观察到的 RJMty19 注射液的安全性令人鼓舞，尤其是在高剂量组未观察到 ≥ 3 级的毒性，这为后续尝试输注高剂量、多次输注的临床方案带来了可能性。</p><p>「比较令人意外的结果是研究中，接受 DL4 剂量组（2×10<sup>7</sup>CAR-DNT 细胞/kg 体重）治疗的三例患者均观察到抗肿瘤疗效（1 例 CR， 2 例 PR）」，<strong>钱教授补充道，</strong>「下一步，有必要在更大人群样本中探索 RJMty19 注射液的安全性和疗效，以及多次输注高剂量 RJMty19 注射液临床方案能否带来更持久的疗效和生存。」</p><p>未来，DNT/CAR-DNT 细胞是否会替代 CAR-T？</p><p><strong>钱教授认为，</strong>回答这个问题还需要更多针对 CAR-DNT 细胞的临床研究所带来的循证医学证据来验证，但是开发通用型 CAR-T 细胞疗法是 CAR-T 疗法获得临床普及应用的关键，也是免疫细胞疗法发展的必经之路，因为唯有通用，方能降低成本，提升普惠性。「而异体来源的 DNT 细胞因为不引起移植物抗宿主病（GvHD）和宿主抗移植物反应（HvGR），所以天然具备了作为通用型细胞治疗产品的特征。」</p><p><strong>据钱教授透露</strong>，此次开展的 I 期临床研究使用的是冷冻后复融的 CD19-CAR-DNT 细胞，这意味着我们可以随时给予患者 CAR-DNT 细胞治疗，无需像现在的自体 CAR-T 细胞那样需要等待几周时间去制备。</p><p>「CAR-DNT 细胞不仅可降低成本，带来普适性，而且还有望提升细胞疗法的便捷性」， <strong>钱教授表示</strong>。</p><p>今年 10 月， RJMty19 注射液用于治疗复发/难治性 B 细胞非霍奇金淋巴瘤（r/r NHL）的新药注册临床研究申请已获国家药品监督管理局（NMPA）药品审评中心（CDE）正式受理（受理号：CXSL2300725）。</p><p>在此之前（2023 年 9 月）， RJMty19 注射液用于治疗复发/难治性自身免疫性疾病（r/r AID）的新药注册临床研究申请获国家药品监督管理局（NMPA）药品审评中心（CDE）正式受理（受理号：CXSL2300661）。</p><p><strong>据瑞顺生物董事长兼首席科学官杨黎明博士介绍</strong>，中国在 DNT 细胞免疫疗法的开发领域已走在世界最前列，包括 RJMty19 注射液在内的多款基于 DNT 细胞开发的细胞疗法目前正在国内开展多个注册 IND 临床研究 (RCT）和研究者发起的临床研究（IIT)。</p><p>「药物研发是一个极其严谨的科学探索过程，需要可靠的临床研究数据来证明药物的临床疗效和安全性」，<strong>杨黎明博士认为</strong>，「我们希望有更多的中国医生能了解 DNT/CAR-DNT 细胞，共同开发源于中国的创新好药，让更多中国患者尽早从用得起的免疫细胞疗法中获益。」</p><p><br/></p><p>参考文献</p><p>1、Z. X. Zhang, L. Yang, K. J. Young, B. DuTemple, L. Zhang, Identification of a previously&nbsp;unknown antigen-specific regulatory T cell and its mechanism of&nbsp;suppression. Nat. Med.6, 782–789 (2000)</p><p>2、Daniel&nbsp;Vasic&nbsp;et al., Allogeneic double-negative CAR-T cells inhibit tumor growth without off-tumor toxicities. SCIENCE IMMUNOLOGY, 22 Apr 2022, Vol 7, Issue 70. DOI: 10.1126/sciimmunol.abl3642</p><p>3、Yang LM et al., Abstract 5510: Preclinical study of allogeneic CD19-CARDNT cells as an off-the-shelf immunotherapy drug for NHL, Cancer Res(2022) 82 (12_Supplement): 5510, <a href="https://doi.org/10.1158/1538-7445.AM2022-5510">https://doi.org/10.1158/1538-7445.AM2022-5510</a></p><p>4、Xibin Xiao et al., A Phase 1 Study of RJMty19: Anti-CD19 Humanized CAR-Engineered Allogeneic Double Negative T Cells in Adults with B-Cell non-Hodgkin&#39;s Lymphoma, 2023 ASH，Abstract&nbsp;#2094</p><p>5、Changjing Cai, Diya Tang et al., A comprehensive analysis of the fatal toxic effects associated with CD19 CAR-T cell therapy， AGING 2020, Vol. 12, No. 18, p18741-18751</p>              ]]>
			         	</description>	 
      </item>
	        <item>
         <title><![CDATA[CAR-T 的「阿喀琉斯之踵」和 CAR-DNT 的中国雄心]]></title>
         <link><![CDATA[http://oncol.dxy.cn/article/872266]]></link>
         <guid><![CDATA[http://oncol.dxy.cn/article/872266]]></guid>
		 		 <category><![CDATA[最新资讯]]></category>
		 		 <category><![CDATA[淋巴瘤]]></category>
		 		 <category><![CDATA[白血病]]></category>
		 		 <category><![CDATA[非医学时间app]]></category>
		 		 		 <enclosure url="https://img1.dxycdn.com/p/s10/2023/1101/625/0848059702834169171.jpg" />
		 		 
         <pubDate>2023-11-01 15:19:09.0</pubDate>
             <description>
						<![CDATA[   
    			<p>相比于CAR-T细胞疗法，CAR-DNT&nbsp;细胞疗法并不为人熟知。然而中国很可能诞生全球首个获批临床应用的&nbsp;CAR-DNT&nbsp;细胞药。</p><p>&nbsp;</p><p><strong>CAR-T&nbsp;的阿喀琉斯之踵</strong></p><p>DNT（Double Negative T，双阴性&nbsp;T）细胞是指人外周血中正常存在的&nbsp;CD3<sup>+</sup>&nbsp;CD4<sup>-</sup>&nbsp;CD8<sup>-</sup>&nbsp;的&nbsp;T&nbsp;&nbsp;细胞亚群，占&nbsp;T细胞总数的&nbsp;3％～5%<sup>[1]</sup>。</p><p>加拿大多伦多大学医学院张丽教授团队是国际上最早发现和研究DNT&nbsp;细胞的团队之一，2000&nbsp;年在在国际顶级医学期刊《Nature Medicine》发表论文，第一次报道了&nbsp;DNT&nbsp;细胞具有抗原特异性抑制移植排斥反应的功能特征和机理<sup>[2]</sup>。</p><p>DNT&nbsp;细胞表面表达&nbsp;CD3&nbsp;分子和&nbsp;αβ-&nbsp;或&nbsp;γδ-T&nbsp;细胞受体（T Cell Receptor，TCR），但不表达&nbsp;CD4&nbsp;和&nbsp;CD8&nbsp;分子，因此不同于常规的&nbsp;T&nbsp;细胞、NK&nbsp;细胞和&nbsp;NKT&nbsp;细胞。DNT&nbsp;细胞无需基因编辑，天然具备作为通用型细胞治疗产品的特征，即异体来源的&nbsp;DNT&nbsp;细胞不引起移植物抗宿主病（GvHD）和宿主抗移植物反应（HvGR）。</p><p>自&nbsp;2017&nbsp;年全球首个&nbsp;CAR-T&nbsp;细胞产品&nbsp;CTL019&nbsp;在美国获批以来，当前全球已有&nbsp;9&nbsp;款自体的&nbsp;CAR-T&nbsp;细胞产品获批，包括中国&nbsp;3&nbsp;款自体&nbsp;CAR-T&nbsp;细胞产品获批。但自体&nbsp;CAR-T&nbsp;疗法面临因价格昂贵而可及性差，制备周期长，以及因患者自身&nbsp;T&nbsp;细胞质量差等因素导致无法制备自体&nbsp;CAR-T&nbsp;细胞等发展瓶颈问题。</p><p>2022&nbsp;年底，国际顶尖临床专业杂志《Lancet Hematology》在线发表系列综述，阐述细胞治疗在中国的进展<sup>[3]</sup>。文中提出除靶点创新，增强功能，减少副反应之外，开发通用型（Universal）细胞疗法以提升细胞疗法的可及性是下一代&nbsp;CAR-T&nbsp;细胞产品发展的重要方向之一，然而&nbsp;GvHD&nbsp;是阻碍通用型细胞疗法广泛应用的主要挑战之一。</p><p><strong>瑞顺生物董事长兼首席科学官杨黎明博士则更进一步，</strong>他认为不仅要开发安全有效的通用型细胞疗法，而且还必须是&nbsp;Off-The-Shelf（现货）通用型，这样才能使免疫细胞疗法像药一样获得临床普及应用，成为真正意义上的颠覆性细胞治疗药品，这也是&nbsp;CAR-T&nbsp;细胞产品实现商业化突破的难点之一<sup>[4]</sup>；而&nbsp;CAR-DNT&nbsp;细胞在这方面则具有天然优势。</p><p>&nbsp;</p><p><strong>「现货通用」的开发历程</strong></p><p>杨黎明博士曾在张丽教授实验室作为联合培养博士生和博士后，从事转基因小鼠抗原特异性移植耐受研究，第一次在建立&nbsp;T&nbsp;细胞克隆的实验中意外发现&nbsp;DNT&nbsp;细胞，是&nbsp;2000&nbsp;年《Nature Medicine》文章的共同第一作者<sup>[2]</sup>。</p><p>杨黎明博士早在&nbsp;90&nbsp;年代初期就在上海第二医科大学（现上海交通大学医学院）上海市免疫学研究所作为课题负责人，带领团队开展了&nbsp;LAK&nbsp;细胞和&nbsp;TIL&nbsp;细胞的基础和临床应用研究，发表了系列相关学术论文。作为临床医学专业毕业的科研人员，<strong>杨博士对于将实验室研究成果进行临床转化有一种发自内心的冲动，而&nbsp;DNT&nbsp;细胞为这种冲动带来了最大的释放，并很有可能让中国的现货通用型免疫细胞疗法的临床开发和商业化走在世界前列。&nbsp;</strong></p><p>2012&nbsp;年杨黎明博士从美国回国创立了瑞顺生物并于&nbsp;2017&nbsp;年把开发基于&nbsp;DNT&nbsp;细胞产品的现货通用型免疫细胞疗法作为公司战略发展重点。</p><p>瑞顺生物研发的第一款产品&nbsp;RC1012&nbsp;注射液是一款非基因编辑的同种异体&nbsp;DNT&nbsp;细胞免疫治疗生物制品，2020&nbsp;年&nbsp;11&nbsp;月获国家药品监督管理局（NMPA）批准开展治疗复发/难治急性髓系白血病（Relapsed and Refractory Acute Myeloid Leukemia，r/r AML）的&nbsp;Ⅰ&nbsp;期临床试验，是<strong>国内首个</strong>被批准用于注册人体临床试验的从健康捐赠者外周血提取并在体外扩增获得的通用型免疫细胞新药。</p><p>中国科学技术大学附属第一医院血液内科朱小玉教授团队、张丽教授团队以及瑞顺生物团队共同在&nbsp;2020&nbsp;年《Blood》和&nbsp;2022&nbsp;年《American Journal of Hematology》发表研究文章，报道了&nbsp;RC1012&nbsp;注射液用于治疗移植后复发&nbsp;AML&nbsp;的安全性和有效性的结果<sup>[5,6]</sup>：</p><p>√&nbsp;在入组的&nbsp;12&nbsp;例移植后复发&nbsp;AML&nbsp;患者中，最终&nbsp;10&nbsp;例完成&nbsp;3&nbsp;次第三方健康供者&nbsp;DNT&nbsp;细胞回输。所有患者&nbsp;DNT&nbsp;细胞回输后安全性好，无移植物抗宿主病（GvHD）发生。<br/></p><p>√&nbsp;DNT&nbsp;细胞&nbsp;3&nbsp;次回输后疗效评估，总反应率&nbsp;50%（5/10），1年的总生存率（OS）为&nbsp;60.0%。长期完全缓解率（CR）为&nbsp;40%，达到&nbsp;3.8&nbsp;年，生存最长患者的&nbsp;CR&nbsp;已超过&nbsp;49&nbsp;个月。</p><p>如果说治疗&nbsp;r/r AML&nbsp;是&nbsp;DNT&nbsp;细胞产品进军通用型免疫细胞疗法「打响的第一枪」，那&nbsp;2022&nbsp;年&nbsp;8&nbsp;月&nbsp;NMPA&nbsp;批准&nbsp;RC1012&nbsp;注射液细胞制剂类型由新鲜制剂变更为冻存制剂则是&nbsp;DNT&nbsp;迈向「现货通用」的一个里程碑，成为<strong>全球首款</strong>未经基因编辑的现货通用型&nbsp;DNT&nbsp;细胞治疗产品获批用于人体的注册临床试验。</p><p>杨黎明博士指出，细胞制剂从新鲜变更为冻存制剂，看上去只是剂型改变，其实对通用型细胞产品来说这是一个质的飞跃，使细胞疗法与大家熟知的其它药物一样，成为现货可取的产品，真正具备了药物的属性。</p><p>「相比于其它细胞疗法平台——比如&nbsp;NK&nbsp;细胞，现货通用型&nbsp;DNT&nbsp;细胞在冷冻后复融仍可保持很高的生物活性」，杨黎明透露。</p><p><br/></p><p><strong>CAR-DNT&nbsp;细胞疗法的中国雄心</strong></p><p>2017&nbsp;年至今是&nbsp;CAR-T&nbsp;疗法研发及临床应用在全球高速发展的六年，也是卯足了劲专注于开发现货通用型&nbsp;DNT&nbsp;细胞疗法的瑞顺生物急速狂飙的六年。</p><p>瑞顺生物在研的第二款现货通用型&nbsp;DNT 细胞产品&nbsp;RJMty19注射液带了点「火药味」，因为这是一款带上了&nbsp;CAR&nbsp;的第二代增强型&nbsp;DNT&nbsp;细胞产品，即靶向&nbsp;CD19&nbsp;的&nbsp;CAR-DNT&nbsp;产品。在当前美国和中国获批的&nbsp;9&nbsp;款&nbsp;CAR-T&nbsp;细胞疗法中，有&nbsp;6&nbsp;款是靶向CD19。</p><p>杨黎明博士指出，不同于&nbsp;CD19-CAR-T，RJMty19&nbsp;注射液无需对健康捐赠者来源的&nbsp;DNT&nbsp;细胞进行基因敲除以避免&nbsp;GvHD&nbsp;和HvGR，可直接引入&nbsp;CAR&nbsp;基因片段而实现现货通用型&nbsp;CAR-DNT&nbsp;细胞的制备，极大地提高了开发效率和安全性。</p><p>进入&nbsp;2023&nbsp;年下半年，RJMty19&nbsp;注射液的研发提速前行。</p><p>2023&nbsp;年&nbsp;10&nbsp;月&nbsp;24&nbsp;日，RJMty19&nbsp;注射液治疗复发/难治性&nbsp;B细胞非霍奇金淋巴瘤（r/r B-NHL）的适应症&nbsp;IND&nbsp;申请又获&nbsp;NMPA&nbsp;药品审评中心（CDE）正式受理。</p><p>而在此不到一个月前（2023&nbsp;年&nbsp;9&nbsp;月&nbsp;26&nbsp;日），RJMty19&nbsp;注射液用于治疗复发/难治性自身免疫性疾病的新药研究申请（IND）获&nbsp;CDE&nbsp;受理。</p><p>在全球范围内，目前尚未有任何&nbsp;CAR-T&nbsp;细胞产品上市治疗自身免疫性疾病，但国际上对于&nbsp;CAR-T&nbsp;细胞治疗自身免疫性疾病的关注热度正持续上扬。瑞顺生物在该赛道的快速布局有望让在价格、可及和使用便捷性方面较自体&nbsp;CAR-T&nbsp;细胞产品都具有显著优势的&nbsp;CAR-DNT&nbsp;细胞产品的临床开发与&nbsp;CAR-T&nbsp;基本同步。这对于&nbsp;CAR-DNT&nbsp;进入主流，与&nbsp;CAR-T&nbsp;并驾齐驱意义重大。</p><p>作为&nbsp;CAR-T&nbsp;细胞产品的追赶者，CAR-DNT细胞对于新靶点的开发可以瞄准&nbsp;CAR-T&nbsp;细胞的成熟靶点，但是让瑞顺生物对未来信心满满的最重要「定海神针」还是&nbsp;DNT&nbsp;细胞在开发现货通用型细胞疗法上的天然优势和这些年积累的经验和临床数据。</p><p>「当前的&nbsp;CAR-T&nbsp;细胞必须&nbsp;1&nbsp;对&nbsp;1&nbsp;制备，即一个患者一个&nbsp;CAR-T&nbsp;细胞产品, 无法通用，导致目前的&nbsp;CAR-T&nbsp;疗法价格昂贵，多数患者不可及；而&nbsp;DNT&nbsp;细胞的天然优势以及瑞顺生物在制备现货通用型&nbsp;DNT&nbsp;细胞上的领先优势不但能让中国在细胞治疗领域有可能站在前列，引领世界，而且可以让中国患者首先从更安全，更可及、更方便使用的治疗中得到巨大的生存获益，这是我们目前设立的追求目标」，杨黎明博士平静地说。</p><p>瑞顺于&nbsp;2017&nbsp;年获得&nbsp;Pre-A&nbsp;轮融资，2021&nbsp;年再获&nbsp;1.37&nbsp;亿人民币的&nbsp;A&nbsp;轮融资，2022&nbsp;年完成&nbsp;5900&nbsp;万元人民币&nbsp;A＋&nbsp;轮融资。 身处高投入、高风险的生物制药行业，瑞顺生物的未来发展离不开持续的资本投入。对此杨黎明博士表示，DNT/CAR-DNT&nbsp;细胞在临床治疗上的数据已证明了该细胞的市场潜力，当前其发展的一个关键是让更多的中国医生了解&nbsp;DNT/CAR-DNT&nbsp;细胞产品的潜力，有更多研究者愿意发起或参与临床研究。</p><p>研究者发起的临床研究（IIT）在推进&nbsp;RJMty19&nbsp;注射液治疗&nbsp;r/r NHL&nbsp;的注册临床研究申请过程中发挥了重要的作用。就在该产品治疗&nbsp;r/r NHL IND&nbsp;申请获&nbsp;CDE&nbsp;受理之前，今年&nbsp;8&nbsp;月，由浙江大学医学院附属第二医院血液科发起并开展的&nbsp;RJMty19&nbsp;注射液治疗&nbsp;r/r NHL&nbsp;的临床研究（NCT05453669）取得了突破性成果，已被&nbsp;2023&nbsp;年美国血液学会（ASH）年会接受，将在今年&nbsp;12&nbsp;月以墙报形式展示。</p><p>√&nbsp;12&nbsp;名患者完成&nbsp;DLT&nbsp;评估（剂量限制性毒性），均未观察到&nbsp;≥&nbsp;3&nbsp;级细胞因子释放综合征（CRS）、移植物抗宿主病（GvHD）、免疫效应细胞相关的神经毒性综合征（ICANS）、严重不良事件（SAE），临床安全性良好。<br/></p><p>√&nbsp;在临床疗效方面，随着剂量增加，临床疗效显著提升；第&nbsp;4&nbsp;剂量组&nbsp;3&nbsp;例受试者在单次给药后都获得不同程度的临床缓解，客观缓解率（ORR）为&nbsp;100%（3/3），完全缓解率（CRR）为&nbsp;33.3%（1/3）。</p><p>「药物研发是一个极其严谨的科学探索过程，因为我们需要极其可靠的临床研究数据和循证医学证据来证明药物的临床疗效和安全性」，杨黎明博士指出，「但只要选对赛道且手握好药，再冷的寒冬我们也有信心穿越！」</p><p>&nbsp;</p><p>参考文献：</p><p>[1] Lee JB, Kang H, Fang L, D&#39;Souza C, Adeyi O, Zhang L. Developing Allogeneic Double-Negative T Cells as a Novel Off-the-Shelf Adoptive Cellular Therapy for Cancer[J].&nbsp;Clin Cancer Res. 2019;25(7):2241-2253.</p><p>[2] Zhang ZX, Yang L, Young KJ, DuTemple B, Zhang L. Identification of a previously unknown antigen-specific regulatory T cell and its mechanism of suppression[J].&nbsp;Nat Med. 2000;6(7):782-789.&nbsp;<br/>[3] YHu Y, Feng J, Gu T, et al. CAR T-cell therapies in China: rapid evolution and a bright future.&nbsp;Lancet Haematol. 2022;9(12):e930-e941.&nbsp;</p><p>[4] Depil S, Duchateau P, Grupp SA, Mufti G, Poirot L. &#39;Off-the-shelf&#39; allogeneic CAR T cells: development and challenges[J].&nbsp;Nat Rev Drug Discov. 2020;19(3):185-199.<br/>[5] Tang B, Lee JB, et al.&nbsp;Safety and efficacy of ex vivo expanded healthy donor-derived double negative T cells for the treatment of AML relapsed after allogeneic stem cell transplantation: A first in-human phase I/IIA clinical trial[J]. Blood. 2020; 136(1–2).<br/>[6] Tang B, Lee JB, Cheng S, et al. Allogeneic double-negative T cell therapy for relapsed acute myeloid leukemia patients post allogeneic hematopoietic stem cell transplantation: A first-in-human phase I study[J].&nbsp;Am J Hematol. 2022;97(7):E264-E267.</p>              ]]>
			         	</description>	 
      </item>
	        <item>
         <title><![CDATA[会员简报 | 本周重要指南上新及重点关注疾病一览！]]></title>
         <link><![CDATA[http://oncol.dxy.cn/article/863137]]></link>
         <guid><![CDATA[http://oncol.dxy.cn/article/863137]]></guid>
		 		 <category><![CDATA[用药经验]]></category>
		 		 <category><![CDATA[最新资讯]]></category>
		 		 <category><![CDATA[只展示在用药助手]]></category>
		 		 		 <enclosure url="https://img1.dxycdn.com/2023/0720/328/4289683707259681861-10.jpg" />
		 		 
         <pubDate>2023-07-22 08:28:31.0</pubDate>
             <description>
						<![CDATA[   
    			<p><img alt="会员简报.png" src="https://img1.dxycdn.com/2023/0720/964/8467818411176681861-10.png!w640" title=""/></p><p>临床知识日新月异，及时获取最新的内容对我们十分有必要。为了把近期最新的重点内容及时同步给各位会员，我们每周会定期为会员汇总平台上新/更新的重要内容，一起来看看这周有哪些重要变化吧！</p><p><strong>本周大家都在关注的疾病及治疗</strong></p><p>为了帮助大家基于循证医学证据进行诊疗，用药助手构建了一个以疾病为中心，辅助医生临床诊疗全过程的数据库，即「诊疗顾问」。</p><p>现已上线 4000+ 疾病的诊疗决策参考，覆盖诊断、治疗、用药、预后全流程，数据将持续更新迭代。</p><p>本周热门诊疗顾问内容请见&gt;&gt; <a href="http://rheum.dxy.cn/article/863159" target="_self">急性感染性腹泻？除蒙脱石散外这些药物也能止泻</a> &lt;&lt;</p><p><strong>一周上新的重点指南</strong></p><p>临床实践指南作为缩小当前最佳证据与临床实践之间差距的临床决策工具，能帮我们规范诊疗方案，尤其是遇到难题或意见不一致的时候，临床指南能帮我们指明大的方向，保护患者，同时也保护我们自己。</p><p>目前用药助手已涵盖 20000+ 国内外权威指南，数据一直不断更新。</p><p>本周更新的重点指南请见 &gt;&gt;&nbsp;<a href="http://ccm.dxy.cn/article/863136" target="_self">一周重点指南上新</a>&nbsp;&lt;&lt;</p><p><strong>热门说明书更新</strong></p><p>用药助手持续为大家更新药品说明书，过去一周累计更新说明书约 2206篇，其中查看量较高的说明书包括：</p><p><br/>-&nbsp; &nbsp;<a href="https://app.dxy.cn/drugs/nativejump/drugs/91569" target="_self">贝林（人血白蛋白）</a></p><p>-&nbsp;&nbsp;&nbsp;<a href="https://app.dxy.cn/drugs/nativejump/drugs/156926" target="_self">诺科飞（泊沙康唑肠溶片）</a></p><p>-&nbsp;&nbsp;&nbsp;<a href="https://app.dxy.cn/drugs/nativejump/drugs/187824" target="_self">吡非尼酮片（北京凯因）</a></p><p>-&nbsp;&nbsp;&nbsp;<a href="https://app.dxy.cn/drugs/nativejump/drugs/302421" target="_self">诺科飞（泊沙康唑注射液）</a></p><p>-&nbsp;&nbsp;&nbsp;<a href="https://app.dxy.cn/drugs/nativejump/drugs/125738" target="_self">复方福尔可定糖浆（福必安）</a></p><p>点击说明书标题即可查看详情。更多药品说明书请打开用药助手 App 搜索查看。</p><p><strong>用药助手会员服务</strong><br/></p><p>为了帮助大家提高临床决策效率，我们精选了优质内容和服务供会员使用。成为会员后，除了可以及时收到每周的重要更新内容，还能随时随地畅享以下权益：</p><p>--查指南更权威：覆盖 20000+ 国内外权威医学机构发布的临床指南、专家共识、指南解读，及时了解各专科必读指南<br/></p><p>--查疾病更专业：畅享「诊疗顾问」4000+ 临床常见疾病知识，快速掌握疾病诊断、治疗方案（仅 PLUS 会员可享噢）</p><p>--查药品更全面：掌握「合理用药」2000+ 临床常见药品成分超说明书内容，轻松查阅孕妇、儿童等特殊人群安全用药</p><p>--用工具更及时：8 大临床常用工具，医学计算、相互作用、配伍禁忌... 帮你解放大大脑和双手，值班不累、下班轻松</p><p>……</p><p>全部会员权益请见 &gt;&gt;&nbsp;<a href="https://dxy.pub/gFbP7h" target="_self">会员中心</a>&nbsp;&lt;&lt;，我们将不断优化会员的服务体验。</p><p>点击查看<a href="http://gi.dxy.cn/article/863256" target="_self">让会员更值的小技巧</a><br/></p>              ]]>
			         	</description>	 
      </item>
	        <item>
         <title><![CDATA[急性感染性腹泻？除蒙脱石散外这些药物也能止泻]]></title>
         <link><![CDATA[http://oncol.dxy.cn/article/863159]]></link>
         <guid><![CDATA[http://oncol.dxy.cn/article/863159]]></guid>
		 		 <category><![CDATA[用药经验]]></category>
		 		 <category><![CDATA[最新资讯]]></category>
		 		 <category><![CDATA[只展示在用药助手]]></category>
		 		 <category><![CDATA[蒙脱石散]]></category>
		 		 		 <enclosure url="https://img1.dxycdn.com/2023/0720/370/2990282394443091861-10.jpg" />
		 		 
         <pubDate>2023-07-22 08:23:11.0</pubDate>
             <description>
						<![CDATA[   
    			<p><img alt="公众号头图.gif" src="https://img1.dxycdn.com/2023/0720/381/0656859757022091861-10.gif!w640" title=""/></p><p>急性感染性腹泻是指每天排便 3 次或 3 次以上，总量超过 250 g，持续时间不超过 2 周的腹泻。粪便性状可为稀便、水样便、黏液便、脓血便或血样便，可伴有恶心、呕吐、腹痛或发热等全身症状。</p><p>感染性腹泻呈高流行性和高发病率，世界卫生组织（World Health Organization，WHO）估计，全球每天有数千万人罹患腹泻病，每年发生腹泻病达 17 亿例次，其中有 220 万例患者因严重腹泻而死亡。我国感染性腹泻病的发病率一直位居肠道传染病的首位。</p><p>腹泻会导致机体脱水，进而导致更严重的后果，因此，对于急性感染性腹泻要进行止泻治疗。那么除了常见的止泻药物蒙脱石散外，还有哪些药物可以止泻呢？</p><p><strong>急性感染性腹泻止泻治疗药物类型及用法</strong></p><p><img alt="急性感染性腹泻.png" src="https://img1.dxycdn.com/2023/0720/225/2342827831841091861-10.png!w640" title=""/></p><p>完整止泻药物内容请点击 &nbsp;&gt;&gt;&nbsp;「<a href="https://app.dxy.cn/drugs/nativejump/advisor_dtl/0?fieldId=6885" target="_self">急性感染性腹泻</a>」&nbsp;&lt;&lt; 详情查看。</p><p>为了帮助大家基于循证医学证据进行诊断和治疗，用药助手构建了一个以疾病为中心，辅助医生临床诊疗全过程的数据库，即「诊疗顾问」。如果你在临床中遇到难以诊断的病例，或者对于治疗方案没有把握，可以试试在用药助手 App 搜索相关的疾病或症状词，通过对应的诊疗顾问内容帮你破解诊疗难题。</p><p>现已上线 4000+ 疾病的诊疗决策参考方案，覆盖诊断、治疗、用药、预后全流程，上文提到的「<a href="https://app.dxy.cn/drugs/nativejump/advisor_dtl/0?fieldId=6885" target="_self">急性感染性腹泻</a>」是诊疗顾问的数据之一。&nbsp;</p><p>成为<a href="https://dxy.pub/gFbP7h" target="_self">用药助手 PLUS 会员</a>，即可随时查看临床常见疾病诊疗方案，还能解锁「临床指南」、「合理用药」等实用权益，助你快速破解诊疗难题。</p><p><img alt="诊疗顾问底图.png" src="https://img1.dxycdn.com/2023/0720/461/6393077399132091861-10.png!w640" title=""/></p>              ]]>
			         	</description>	 
      </item>
	        <item>
         <title><![CDATA[一周重要指南上新 | 中华医学会肺癌临床诊疗指南、中国老年高血压管理指南等内容发布！]]></title>
         <link><![CDATA[http://oncol.dxy.cn/article/863136]]></link>
         <guid><![CDATA[http://oncol.dxy.cn/article/863136]]></guid>
		 		 <category><![CDATA[用药经验]]></category>
		 		 <category><![CDATA[最新资讯]]></category>
		 		 <category><![CDATA[只展示在用药助手]]></category>
		 		 		 <enclosure url="https://img1.dxycdn.com/2023/0720/325/4893349793475681861-10.jpg" />
		 		 
         <pubDate>2023-07-22 08:20:35.0</pubDate>
             <description>
						<![CDATA[   
    			<p><img alt="查指南上用药助手.png" src="https://img1.dxycdn.com/2023/0720/824/8881835280518581861-10.png!w640" title=""/></p><p>临床实践指南作为缩小当前最佳证据与临床实践之间差距的临床决策工具，能帮我们规范诊疗方案，尤其是遇到难题或意见不一致的时候，临床指南能帮我们指明大的方向，保护患者，同时也保护我们自己。</p><p><br/></p><p>目前用药助手已涵盖 20000+ 国内外权威指南，数据一直不断更新。</p><p><br/></p><p>一起来看看近期有哪些值得关注的指南吧！</p><p><br/></p><p><strong>近期上新的重点指南</strong></p><p><br/></p><p>点击下方指南标题名称，即可跳转查看详情：</p><p>1.&nbsp;<a href="https://app.dxy.cn/drugs/nativejump/guides/63451" target="_self">中华医学会肺癌临床诊疗指南(2023版)</a></p><p><br/></p><p>-&nbsp;&nbsp; 制定机构：中华医学会肿瘤学分会</p><p><br/></p><p>-&nbsp;&nbsp; 发布时间：2023-07-12</p><p><br/></p><p>-&nbsp;&nbsp; 概要：为进一步规范中国肺癌的防治措施、提高肺癌的诊疗水平、改善患者的预后、为各级临床医务人员提供专业的循证医学建议，中华医学会肿瘤学分会组织呼吸内科、肿瘤内科、胸外科、放疗科、影像科和病理科专家，经过共识会议制定了《中华医学会肺癌临床诊疗指南(2023版)》。</p><p><br/></p><p>2.&nbsp;<a href="https://app.dxy.cn/drugs/nativejump/guides/63602" target="_self">中国老年高血压管理指南2023</a></p><p><br/></p><p>-&nbsp;&nbsp; 制定机构：中国老年医学学会高血压分会</p><p><br/></p><p>-&nbsp;&nbsp; 发布时间：2023-06-30</p><p><br/></p><p>-&nbsp;&nbsp; 概要：高血压是最常见的慢性病之一。半数以上老年人患有高血压,是罹患脑卒中、心肌梗死乃至造成心血管死亡的首要危险因素。老年人是一个独特的群体,高血压的预防、诊断、评估和治疗策略与一般人群显著不同。本文针对老年人 血压测量、降压目标、老年高血压特点、功能保存、多重用药、特定人群的治疗及血压管理等问题做了详细阐述。</p><p><br/></p><p>3.&nbsp;<a href="https://app.dxy.cn/drugs/nativejump/guides/63505" target="_self">深部抗真菌药物临床合理用药及目录遴选指引（试行）</a></p><p><br/></p><p>-&nbsp;&nbsp; 制定机构：广东省药学会</p><p><br/></p><p>-&nbsp; &nbsp; 发布时间：2023-07-13</p><p><br/></p><p>-&nbsp;&nbsp; 概要：深部真菌感染一直是临床难以攻克的难题之一，关注抗真菌药物的合理使用和目录规范成了当前真菌感染合理用药指导亟需解决的关键。本指引总结了国内临床常用的深部抗真菌药物临床应用情况，包括深部抗真菌药物分类、药代动力学参数、适应证、用法用量、特殊人群用药、指南推荐情况、药物相互作用、药物不良反应、药物目录遴选程序等，旨在为抗真菌药物临床合理应用、目录的遴选、国家谈判和集采药品的引进提供参考，以促进抗真菌药物合理使用，提高我国侵袭性真菌病的诊疗水平。</p><p><br/></p><p>4.&nbsp;<a href="https://app.dxy.cn/drugs/nativejump/guides/63548" target="_self">2023 TSOC专家共识：心脏淀粉样变性的诊断和治疗</a></p><p><br/></p><p>-&nbsp;&nbsp; 制定机构：台湾心脏病学会（TSOC）</p><p><br/></p><p>-&nbsp; &nbsp; 发布时间：2023-07-13</p><p><br/></p><p>-&nbsp;&nbsp; 概要：心脏淀粉样变性是由异常淀粉样原纤维沉积在心肌细胞外间隙引起的系统性淀粉样变性的一种形式，由于限制性心肌病和传导障碍导致心力衰竭。本文主要针对心脏淀粉样变性的诊断和治疗提供共识指导。</p><p><br/></p><p>5.&nbsp;<a href="https://app.dxy.cn/drugs/nativejump/guides/63452" target="_self">肿瘤化疗导致的中性粒细胞减少诊治中国专家共识(2023版)</a></p><p><br/></p><p>-&nbsp;&nbsp; 制定机构：中国抗癌协会肿瘤临床化疗专业委员会</p><p><br/></p><p>-&nbsp;&nbsp; 发布时间：2023-07-12</p><p><br/></p><p>-&nbsp;&nbsp; 概要：基于循证医学证据和专家共识，中国抗癌协会肿瘤临床化疗专业委员会和中国抗癌协会肿瘤支持治疗专业委员会制定了《中国肿瘤化疗导致的中性粒细胞减少诊治专家共识(2023版)》，在《肿瘤化疗导致的中性粒细胞减少的诊治专家共识(2019版)》的基础上进行了更新，旨在为我国肿瘤学医师提供关于化疗导致的中性粒细胞减少诊断和治疗有效的建议与参考。</p><p><br/></p><p>6.&nbsp;<a href="https://app.dxy.cn/drugs/nativejump/guides/63534" target="_self">过敏原皮下免疫治疗不良反应防治专家共识（2023年，重庆）</a></p><p><br/></p><p>-&nbsp;&nbsp; 制定机构：中国鼻病研究协作组</p><p><br/></p><p>-&nbsp;&nbsp; 发布时间：2023-07-07</p><p><br/></p><p>-&nbsp;&nbsp; 概要：变应性（过敏性）疾病已经成为临床最常见疾病之一，如过敏性哮喘、过敏性鼻炎、过敏性结膜炎、特异性皮炎、荨麻疹、过敏性胃肠炎、严重过敏反应、过敏性休克等，因患病率高、病程长、症状反复发作，给全球带来沉重的经济和医疗负担。过敏原免疫治疗（allergen immunotherapy，AIT）是针对尘螨、花粉、动物皮屑等诱发的主要由IgE介导的过敏性疾病的对因治疗方法，已被众多指南推荐为一线治疗。</p><p><br/></p><p>7.&nbsp;<a href="https://app.dxy.cn/drugs/nativejump/guides/63553" target="_self">老年人头晕/眩晕诊疗多学科专家共识（2021）</a></p><p><br/></p><p>-&nbsp;&nbsp; 制定机构：中国卒中学会卒中与眩晕分会</p><p><br/></p><p>-&nbsp;&nbsp; 发布时间：2021-10-14</p><p><br/></p><p>-&nbsp;&nbsp; 概要：头晕/眩晕和平衡障碍是老年人的常见症状，可能限制老年人的日常活动，影响生活质量。引起老年人头晕/眩晕的病因很复杂，常多因素参与。本共识旨在综合国内外老年人头晕/眩晕的病因、临床特征、诊断评估及治疗的基础和临床研究成果，结合国内多学科专家的临床经验，在多学科专家交流达成共识的基础上形成，为进行更加精准与规范的老年头晕/眩晕疾病的诊断与治疗提供依据。</p><p><br/></p><p>8.&nbsp;<a href="https://app.dxy.cn/drugs/nativejump/guides/63662" target="_self">中国体癣和股癣诊疗指南(大众科普版)</a></p><p><br/></p><p>-&nbsp;&nbsp; 制定机构：中国体癣和股癣诊疗指南工作组</p><p><br/></p><p>-&nbsp;&nbsp; 发布时间：2023-07-08</p><p><br/></p><p>-&nbsp;&nbsp; 概要：本文为中国体癣和股癣诊疗指南(大众科普版),从体股癣的病因、诱发因素、临床表现、特殊人群及部位、诊断、鉴别诊断及治疗等方面以问答的形式一一解答,简单易懂,适宜于大众科普。</p><p><br/></p><p><strong>怎样及时获取感兴趣科室的上新指南？&nbsp;</strong></p><p>1）打开用药助手 App ，点击底部「临床指南」进入指南专属页，即可查看最新指南 &nbsp;&amp; 精选合集。&nbsp;</p><p><br/>2）点击「订阅科室」可关注感兴趣的科室，当关注的科室有重要指南上新时，将第一时间通过用药助手 App 或用药助手 VIP 服务号推送给你。</p><p><br/>需要打开用药助手 App 的通知权限或关注用药助手 VIP 服务号噢～</p><p><br/></p><p><img alt="重点指南的底图.jpg" src="https://img1.dxycdn.com/2023/0720/442/8824670790213681861-10.jpg!w640" title=""/></p><p><br/></p><p>成为<a href="https://dxy.pub/gFbP7h" target="_self">用药助手 PLUS 会员</a>，即可随时查看国内外权威指南，还能解锁「诊疗顾问」、「合理用药」等实用权益，助你快速破解诊疗难题！</p>              ]]>
			         	</description>	 
      </item>
	        <item>
         <title><![CDATA[会员简报 | 本周重要指南上新及重点关注疾病一览！]]></title>
         <link><![CDATA[http://oncol.dxy.cn/article/862495]]></link>
         <guid><![CDATA[http://oncol.dxy.cn/article/862495]]></guid>
		 		 <category><![CDATA[用药经验]]></category>
		 		 <category><![CDATA[最新资讯]]></category>
		 		 <category><![CDATA[只展示在用药助手]]></category>
		 		 		 <enclosure url="https://img1.dxycdn.com/2023/0713/979/2743708813178739761-10.jpg" />
		 		 
         <pubDate>2023-07-15 09:15:53.0</pubDate>
             <description>
						<![CDATA[   
    			<p><img alt="会员简报.png" src="https://img1.dxycdn.com/2023/0713/819/0276218076595739761-10.png!w640" title=""/></p><p>临床知识日新月异，及时获取最新的内容对我们十分有必要。为了把近期最新的重点内容及时同步给各位会员，我们每周会定期为会员汇总平台上新/更新的重要内容，一起来看看这周有哪些重要变化吧！</p><p><strong>本周大家都在关注的疾病及治疗</strong></p><p>为了帮助大家基于循证医学证据进行诊疗，用药助手构建了一个以疾病为中心，辅助医生临床诊疗全过程的数据库，即「诊疗顾问」。</p><p>现已上线 4000+ 疾病的诊疗决策参考，覆盖诊断、治疗、用药、预后全流程，数据将持续更新迭代。</p><p>本周热门诊疗顾问内容请见 &gt;&gt;&nbsp;<a href="http://ultrasound.dxy.cn/article/862491" target="_self">湿疹引起的瘙痒，除了氯雷他定，还可以选择哪些药物来缓解症状？</a>&lt;&lt;</p><p><strong>一周上新的重点指南</strong></p><p>临床实践指南作为缩小当前最佳证据与临床实践之间差距的临床决策工具，能帮我们规范诊疗方案，尤其是遇到难题或意见不一致的时候，临床指南能帮我们指明大的方向，保护患者，同时也保护我们自己。</p><p>目前用药助手已涵盖 20000+ 国内外权威指南，数据一直不断更新。</p><p>本周更新的重点指南请见 &gt;&gt;<a href="http://pediatr.dxy.cn/article/862492" target="_self">&nbsp;一周重点指南上新</a>&nbsp;&lt;&lt;</p><p><br/></p><p><strong>热门说明书更新</strong></p><p>用药助手持续为大家更新药品说明书，过去一周累计更新说明书约 2206篇，其中查看量较高的说明书包括：</p><p><br/>-&nbsp; &nbsp;<a href="https://app.dxy.cn/drugs/nativejump/drugs/159868" target="_self">壹丽安（注射用艾普拉唑钠）</a></p><p>-&nbsp;&nbsp;&nbsp;<a href="https://app.dxy.cn/drugs/nativejump/drugs/135678" target="_self">坤泰胶囊（和颜）</a></p><p>-&nbsp;&nbsp;&nbsp;<a href="https://app.dxy.cn/drugs/nativejump/drugs/89441" target="_self">葡萄糖酸钙片（山东鲁抗）</a></p><p>-&nbsp;&nbsp;&nbsp;<a href="https://app.dxy.cn/drugs/nativejump/drugs/92292" target="_self">亚甲蓝注射液（寿牌）</a></p><p>-&nbsp;&nbsp;&nbsp;<a href="https://app.dxy.cn/drugs/nativejump/drugs/56141" target="_self">蔗糖铁注射液（森铁能）</a><br/></p><p>点击说明书标题即可查看详情。更多药品说明书请打开用药助手 App 搜索查看。</p><p><br/></p><p><strong>用药助手会员服务</strong><br/></p><p>为了帮助大家提高临床决策效率，我们精选了优质内容和服务供会员使用。成为会员后，除了可以及时收到每周的重要更新内容，还能随时随地畅享以下权益：</p><p>--查指南更权威：覆盖 20000+ 国内外权威医学机构发布的临床指南、专家共识、指南解读，及时了解各专科必读指南<br/></p><p>--查疾病更专业：畅享「诊疗顾问」4000+ 临床常见疾病知识，快速掌握疾病诊断、治疗方案（仅 PLUS 会员可享噢）</p><p>--查药品更全面：掌握「合理用药」2000+ 临床常见药品成分超说明书内容，轻松查阅孕妇、儿童等特殊人群安全用药</p><p>--用工具更及时：8 大临床常用工具，医学计算、相互作用、配伍禁忌... 帮你解放大大脑和双手，值班不累、下班轻松</p><p>……</p><p>全部会员权益请见 &gt;&gt;&nbsp;<a href="https://dxy.pub/gFbP7h" target="_self">会员中心</a>&nbsp;&lt;&lt;，我们将不断优化会员的服务体验。</p><p>如果你还不是会员，欢迎 &gt;&gt;&nbsp;<a href="https://dxy.pub/gFbP7h" target="_self">加入我们</a>&nbsp;&lt;&lt;，一起做靠谱的临床专家！</p><p><br/></p>              ]]>
			         	</description>	 
      </item>
	        <item>
         <title><![CDATA[湿疹引起的瘙痒，除了氯雷他定，还可以选择哪些药物来缓解症状？]]></title>
         <link><![CDATA[http://oncol.dxy.cn/article/862491]]></link>
         <guid><![CDATA[http://oncol.dxy.cn/article/862491]]></guid>
		 		 <category><![CDATA[用药经验]]></category>
		 		 <category><![CDATA[最新资讯]]></category>
		 		 <category><![CDATA[只展示在用药助手]]></category>
		 		 		 <enclosure url="https://img1.dxycdn.com/2023/0713/051/2190970509759639761-10.jpg" />
		 		 
         <pubDate>2023-07-15 09:14:03.0</pubDate>
             <description>
						<![CDATA[   
    			<p><img alt="公众号头图.gif" src="https://img1.dxycdn.com/2023/0713/029/6735694802353639761-10.gif!w640" title=""/></p><p>湿疹是由多种内外因素引起的⼀种具有明显渗出倾向的炎症性⽪肤损伤，伴有明显瘙痒，易复发，严重影响患者的⽣活质量。急性期表现为红斑、水肿基础上粟粒大小的丘疹、丘疱疹、水疱、可有明显的糜烂及渗出，病变中心往往较重，而逐渐向周围复延。亚急性期红肿和渗出减轻，糜烂面结痂、脱屑。慢性湿疹主要表现为粗糙肥厚、苔藓样变。可伴有色素改变，手足部湿疹可伴发甲改变。皮疹一般对称分布、常反复发作，自觉症状为瘙痒，甚至剧痒。</p><p>缓解湿疹引起的瘙痒，常用药物为氯雷他定，那么，除了氯雷他定，还可以选择什么药物来缓解症状呢？</p><p><strong>不同皮损分期药物剂型的选择</strong><br/></p><p><img alt="湿疹.png" src="https://img1.dxycdn.com/2023/0713/925/4011342139180939761-10.png!w640" title=""/></p><p>完整急救内容请点击 &nbsp;&gt;&gt;&nbsp;「<a href="https://app.dxy.cn/drugs/nativejump/advisor_dtl/0?fieldId=6052" target="_self">湿疹</a>」&nbsp;&lt;&lt; 详情查看。</p><p>为了帮助大家基于循证医学证据进行诊断和治疗，用药助手构建了一个以疾病为中心，辅助医生临床诊疗全过程的数据库，即「诊疗顾问」。如果你在临床中遇到难以诊断的病例，或者对于治疗方案没有把握，可以试试在用药助手 App 搜索相关的疾病或症状词，通过对应的诊疗顾问内容帮你破解诊疗难题。</p><p>现已上线 4000+ 疾病的诊疗决策参考方案，覆盖诊断、治疗、用药、预后全流程，上文提到的「<a href="https://app.dxy.cn/drugs/nativejump/advisor_dtl/0?fieldId=6052" target="_self">湿疹</a>」是诊疗顾问的数据之一。&nbsp;</p><p>成为<a href="https://dxy.pub/gFbP7h" target="_self">用药助手 PLUS 会员</a>，即可随时查看临床常见疾病诊疗方案，还能解锁「临床指南」、「合理用药」等实用权益，助你快速破解诊疗难题。</p><p><img alt="诊疗顾问底图.png" src="https://img1.dxycdn.com/2023/0713/866/8043538305927639761-10.png!w640" title=""/><strong><br/></strong></p>              ]]>
			         	</description>	 
      </item>
	        <item>
         <title><![CDATA[一周重要指南上新 | 超药品说明书用药目录、猴痘公众防护指南等内容发布！]]></title>
         <link><![CDATA[http://oncol.dxy.cn/article/862492]]></link>
         <guid><![CDATA[http://oncol.dxy.cn/article/862492]]></guid>
		 		 <category><![CDATA[用药经验]]></category>
		 		 <category><![CDATA[最新资讯]]></category>
		 		 <category><![CDATA[只展示在用药助手]]></category>
		 		 		 <enclosure url="https://img1.dxycdn.com/2023/0713/423/0215401598505739761-10.jpg" />
		 		 
         <pubDate>2023-07-15 09:13:25.0</pubDate>
             <description>
						<![CDATA[   
    			<p><img alt="查指南上用药助手.png" src="https://img1.dxycdn.com/2023/0713/576/4684251910699639761-10.png!w640" title=""/></p><p>临床实践指南作为缩小当前最佳证据与临床实践之间差距的临床决策工具，能帮我们规范诊疗方案，尤其是遇到难题或意见不一致的时候，临床指南能帮我们指明大的方向，保护患者，同时也保护我们自己。</p><p><br/></p><p>目前用药助手已涵盖 20000+ 国内外权威指南，数据一直不断更新。</p><p><br/></p><p>一起来看看近期有哪些值得关注的指南吧！</p><p><br/></p><p><strong>近期上新的重点指南</strong></p><p><br/></p><p>点击下方指南标题名称，即可跳转查看详情：</p><p>1.&nbsp;<a href="https://app.dxy.cn/drugs/nativejump/guides/63324" target="_self">超药品说明书用药目录（2023年版）</a></p><p><br/></p><p>-&nbsp;&nbsp; 制定机构：广东省药学会</p><p><br/></p><p>-&nbsp;&nbsp; 发布时间：2023-07-04</p><p><br/></p><p>-&nbsp;&nbsp; 概要：为协助各医疗机构制定超说明书用药目录，本会医院药学专业委员会、循证药学专家委员会组织编写了《超药品说明书用药目录（2023年版）》，是2015年以来的第9版。除广东外，本版目录起草单位包括北京、河北、山西、辽宁、黑龙江、上海、江苏、浙江、安徽、湖北、湖南、海南、重庆、四川、陕西、福建、新疆等省、市的三甲医院。</p><p><br/></p><p>2.&nbsp;<a href="https://app.dxy.cn/drugs/nativejump/guides/63299" target="_self">猴痘公众防护指南（2023）</a></p><p><br/></p><p>-&nbsp;&nbsp; 制定机构：国家传染病医学中心</p><p><br/></p><p>-&nbsp;&nbsp; 发布时间：2023-07-05</p><p><br/></p><p>-&nbsp;&nbsp; 概要：猴痘是一类人畜共患病，人类猴痘病例既往主要分布在非洲地区。近一年以来，已有多个非地方性流行国家发现多例猴痘病例，国内输入性病例风险相应增加。为了帮助公众更好了解猴痘病毒，在多学科专家和公众代表的共同参与下，通过确定公众关注的猴痘感染相关问题、系统检索证据和德尔菲调研，并参照患者与公众指南报告规范，形成了符合我国国情的《猴痘公众防护指南（2023）》。</p><p><br/></p><p>3. <a href="https://app.dxy.cn/drugs/nativejump/guides/63374" target="_self">人偏肺病毒感染诊疗方案（2023）</a></p><p><br/></p><p>-&nbsp;&nbsp; 制定机构：中华人民共和国国家卫生健康委员会</p><p><br/></p><p>-&nbsp; &nbsp; 发布时间：2023-07-07</p><p><br/></p><p>-&nbsp;&nbsp; 概要：人偏肺病毒（Human Metapneumovirus，以下简称hMPV）为急性呼吸道感染的常见病原体，全球广泛分布，全年均可感染，多发生于冬末及春初，临床表现多见发热、咳嗽、鼻塞、流涕、声音嘶哑等症状。为进一步提高hMPV规范化诊疗水平，我们组织专家制定了《人偏肺病毒感染诊疗方案（2023年版）》，内容包括病原学、流行病学、临床表现、实验室及影像学检查、诊断、鉴别诊断、治疗和预防措施等，供各地参照执行。</p><p><br/></p><p>4.&nbsp;<a href="https://app.dxy.cn/drugs/nativejump/guides/63304" target="_self">抑郁症治疗与管理的专家推荐意见（2022 年）</a></p><p><br/></p><p>-&nbsp;&nbsp; 制定机构：中华医学会行为医学分会</p><p><br/></p><p>-&nbsp; &nbsp; 发布时间：2023-06-30</p><p><br/></p><p>-&nbsp;&nbsp; 概要：抑郁症是常见的精神障碍，每年经济负担位于临床疾病前列，造成严重的公共卫生问题。及时的识别、诊断及规范的治疗对患者临床症状的改善，以及社会功能的恢复具有重要意义。本文对国内外相关指南进行综合分析和评价，形成针对抑郁症的筛查与评估、诊断与鉴别诊断、治疗、特殊人群的治疗、管理、随访与监测等方面的专家意见，以期为临床工作者提供指导和参考。</p><p><br/></p><p>5.&nbsp;<a href="https://app.dxy.cn/drugs/nativejump/guides/63310" target="_self">中国成人重症患者镇痛管理专家共识</a></p><p><br/></p><p>-&nbsp;&nbsp; 制定机构：中华医学会重症医学分会</p><p><br/></p><p>-&nbsp;&nbsp; 发布时间：2023-05-31</p><p><br/></p><p>-&nbsp;&nbsp; 概要：疼痛是指与实际或潜在组织损伤相关的不愉快的感觉和情绪体验，当患者表现不适时需要考虑存在疼痛。重症患者遭遇疼痛的比例很高，安静时中重度疼痛的发生率为33%~51%，接受各种操作治疗时疼痛的发生率以及严重程度进一步增加。为进一步规范临床问题导向的合理镇痛策略，笔者依据国内外最新的研究进展及专家意见，归纳和总结 21 个有关镇痛的临床问题，依据牛津循证医学中心 2011 版证据质量评估工具制定本共识。</p><p><br/></p><p>6.&nbsp;<a href="https://app.dxy.cn/drugs/nativejump/guides/63298" target="_self">颅内曲霉菌病诊治中国专家共识</a></p><p><br/></p><p>-&nbsp;&nbsp; 制定机构：中华医学会神经病学分会</p><p><br/></p><p>-&nbsp;&nbsp; 发布时间：2023-07-07</p><p><br/></p><p>-&nbsp;&nbsp; 概要：颅内曲霉菌病又称中枢神经系统曲霉菌病，是曲霉菌感染引起的一种少见而病死率高的疾病。近年来，随着激素、免疫抑制剂及广谱抗生素的广泛应用，其发病率逐年上升。但是，国内外尚无针对性的指南或共识。为规范颅内曲霉菌病的诊治流程，经专家组反复讨论，制订了本共识。本共识从流行病学、感染途径、病理生理、临床表现、辅助检查、诊断及治疗等方面总结了该病的特点，供临床医生参考。</p><p><br/></p><p>7.&nbsp;<a href="https://app.dxy.cn/drugs/nativejump/guides/63377" target="_self">普通心脏起搏器和植入型心律转复除颤器手术操作规范中国专家共识（2023）</a></p><p><br/></p><p>-&nbsp;&nbsp; 制定机构：中华医学会心电生理和起搏分会</p><p><br/></p><p>-&nbsp;&nbsp; 发布时间：2023-06-28</p><p><br/></p><p>-&nbsp;&nbsp; 概要：本共识由中华医学会心电生理和起搏分会（CSPE）和中国医师协会心律学专业委员会（CSA）共同组织了多位国内该领域知名专家，查阅了大量的参考文献并结合丰富的临床经验及国内医院的实际情况编撰而成，就植入PM和ICD的手术流程，包括基本要求、详细的手术步骤、出院前管理、围术期并发症及处理、ICD植入特殊要点和脉冲发生器更换注意事项等多个方面通过详尽的文字和图片的形式对涉及手术的每个细节都进行了深入地解析。</p><p><br/></p><p>8.&nbsp;<a href="https://app.dxy.cn/drugs/nativejump/guides/63380" target="_self">中国儿童血管炎诊断与治疗系列专家共识之三——白塞综合征</a></p><p><br/></p><p>-&nbsp;&nbsp; 制定机构：中国医师协会儿科医师分会</p><p><br/></p><p>-&nbsp;&nbsp; 发布时间：2023-06-29</p><p><br/></p><p>-&nbsp;&nbsp; 概要：白塞综合征是一种多系统变异性血管炎性疾病，主要累及口腔及生殖器黏膜、皮肤、消化道和眼部等。本病通常发生在青壮年，15%~20%于儿童时期起病。由于缺乏特定的实验室指标，儿童从发病到出现典型临床表现之间往往有较长时间间隔，故儿童白塞综合征的诊断及治疗更具有挑战性。该共识依据国内外成人相关指南及儿童分类标准，结合国内部分风湿免疫专家意见形成，可为规范国内儿童白塞综合征的诊断与治疗提供参考依据。</p><p><br/></p><p>9.&nbsp;<a href="https://app.dxy.cn/drugs/nativejump/guides/63407" target="_self">中轴型脊柱关节炎诊断和治疗专家共识（2023年版）</a></p><p><br/></p><p>-&nbsp;&nbsp; 制定机构：中华医学会骨科学分会（COA）</p><p><br/></p><p>-&nbsp;&nbsp; 发布时间：2023-04-30</p><p><br/></p><p>-&nbsp;&nbsp; 概要：中轴型脊柱关节炎是一组以中轴关节及其周围组织慢性进展性炎症为特征的疾病，早期缺乏特异性症状，常被漏诊、误诊或延迟诊断，晚期引起脊柱或受累关节强直畸形，常导致终身残疾。在2019版专家共识的基础上，充分梳理国际中轴型脊柱关节炎诊疗指南，分析循证医学证据，经过多次讨论形成推荐意见，制定了新版中轴型脊柱关节炎诊断和治疗的专家共识。</p><p><br/></p><p><strong>怎样及时获取感兴趣科室的上新指南？&nbsp;</strong><br/></p><p>1）打开用药助手 App ，点击底部「临床指南」进入指南专属页，即可查看最新指南 &nbsp;&amp; 精选合集。&nbsp;</p><p><br/>2）点击「订阅科室」可关注感兴趣的科室，当关注的科室有重要指南上新时，将第一时间通过用药助手 App 或用药助手 VIP 服务号推送给你。</p><p><br/>需要打开用药助手 App 的通知权限或关注用药助手 VIP 服务号噢～</p><p><br/></p><p><img alt="重点指南的底图.jpg" src="https://img1.dxycdn.com/2023/0713/183/2764087681083739761-10.jpg!w640" title=""/></p><p><br/></p><p>成为<a href="https://dxy.pub/gFbP7h" target="_self">用药助手 PLUS 会员</a>，即可随时查看国内外权威指南，还能解锁「诊疗顾问」、「合理用药」等实用权益，助你快速破解诊疗难题！</p>              ]]>
			         	</description>	 
      </item>
	        <item>
         <title><![CDATA[会员简报 | 本周重要指南上新及重点关注疾病一览！]]></title>
         <link><![CDATA[http://oncol.dxy.cn/article/861836]]></link>
         <guid><![CDATA[http://oncol.dxy.cn/article/861836]]></guid>
		 		 <category><![CDATA[用药经验]]></category>
		 		 <category><![CDATA[最新资讯]]></category>
		 		 <category><![CDATA[只展示在用药助手]]></category>
		 		 		 <enclosure url="https://img1.dxycdn.com/2023/0706/184/8448069853787486761-10.jpg" />
		 		 
         <pubDate>2023-07-08 09:11:19.0</pubDate>
             <description>
						<![CDATA[   
    			<p><img alt="会员简报.png" src="https://img1.dxycdn.com/2023/0706/522/2551953965255486761-10.png!w640" title=""/></p><p>临床知识日新月异，及时获取最新的内容对我们十分有必要。为了把近期最新的重点内容及时同步给各位会员，我们每周会定期为会员汇总平台上新/更新的重要内容，一起来看看这周有哪些重要变化吧！</p><p><strong>本周大家都在关注的疾病及治疗</strong></p><p>为了帮助大家基于循证医学证据进行诊疗，用药助手构建了一个以疾病为中心，辅助医生临床诊疗全过程的数据库，即「诊疗顾问」。</p><p>现已上线 4000+ 疾病的诊疗决策参考，覆盖诊断、治疗、用药、预后全流程，数据将持续更新迭代。</p><p>本周热门诊疗顾问内容请见 &gt;&gt;&nbsp;<a href="http://nurs.dxy.cn/article/861831" target="_self">高钾血症的药物治疗</a>&lt;&lt;</p><p><strong>一周上新的重点指南</strong></p><p>临床实践指南作为缩小当前最佳证据与临床实践之间差距的临床决策工具，能帮我们规范诊疗方案，尤其是遇到难题或意见不一致的时候，临床指南能帮我们指明大的方向，保护患者，同时也保护我们自己。</p><p>目前用药助手已涵盖 20000+ 国内外权威指南，数据一直不断更新。</p><p>本周更新的重点指南请见 &gt;&gt;<a href="http://obgyn.dxy.cn/article/861835" target="_self">&nbsp;一周重点指南上新&nbsp;</a>&lt;&lt;</p><p><br/></p><p><strong>热门说明书更新</strong></p><p>用药助手持续为大家更新药品说明书，过去一周累计更新说明书约 2206篇，其中查看量较高的说明书包括：</p><p><br/>-&nbsp; &nbsp;<a href="https://app.dxy.cn/drugs/nativejump/drugs/90614" target="_self">注射用头孢哌酮钠舒巴坦钠（2：1）（达力哌坦）</a></p><p>-&nbsp;&nbsp;&nbsp;<a href="https://app.dxy.cn/drugs/nativejump/drugs/152921" target="_self">注射用甲硝唑（澳赛欣）</a></p><p>-&nbsp;&nbsp;&nbsp;<a href="https://app.dxy.cn/drugs/nativejump/drugs/136691" target="_self">治咳川贝枇杷滴丸（松栢）</a></p><p>-&nbsp;&nbsp;&nbsp;<a href="https://app.dxy.cn/drugs/nativejump/drugs/202897" target="_self">止嗽立效胶囊（普济堂）</a></p><p>-&nbsp;&nbsp;&nbsp;<a href="https://app.dxy.cn/drugs/nativejump/drugs/157346" target="_self">知柏地黄丸（浓缩丸）（民康）</a></p><p>点击说明书标题即可查看详情。更多药品说明书请打开用药助手 App 搜索查看。</p><p><br/></p><p><strong>用药助手会员服务</strong><br/></p><p>为了帮助大家提高临床决策效率，我们精选了优质内容和服务供会员使用。成为会员后，除了可以及时收到每周的重要更新内容，还能随时随地畅享以下权益：</p><p>--查指南更权威：覆盖 20000+ 国内外权威医学机构发布的临床指南、专家共识、指南解读，及时了解各专科必读指南<br/></p><p>--查疾病更专业：畅享「诊疗顾问」4000+ 临床常见疾病知识，快速掌握疾病诊断、治疗方案（仅 PLUS 会员可享噢）</p><p>--查药品更全面：掌握「合理用药」2000+ 临床常见药品成分超说明书内容，轻松查阅孕妇、儿童等特殊人群安全用药</p><p>--用工具更及时：8 大临床常用工具，医学计算、相互作用、配伍禁忌... 帮你解放大大脑和双手，值班不累、下班轻松</p><p>……</p><p>全部会员权益请见 &gt;&gt;&nbsp;<a href="https://dxy.pub/gFbP7h" target="_self">会员中心</a>&nbsp;&lt;&lt;，我们将不断优化会员的服务体验。</p><p>如果你还不是会员，欢迎 &gt;&gt;&nbsp;<a href="https://dxy.pub/gFbP7h" target="_self">加入我们</a>&nbsp;&lt;&lt;，一起做靠谱的临床专家！</p><p><br/></p>              ]]>
			         	</description>	 
      </item>
	        <item>
         <title><![CDATA[高钾血症的药物治疗]]></title>
         <link><![CDATA[http://oncol.dxy.cn/article/861831]]></link>
         <guid><![CDATA[http://oncol.dxy.cn/article/861831]]></guid>
		 		 <category><![CDATA[用药经验]]></category>
		 		 <category><![CDATA[最新资讯]]></category>
		 		 <category><![CDATA[只展示在用药助手]]></category>
		 		 		 <enclosure url="https://img1.dxycdn.com/2023/0706/995/2530229642849386761-10.jpg" />
		 		 
         <pubDate>2023-07-08 09:09:47.0</pubDate>
             <description>
						<![CDATA[   
    			<p><img alt="公众号头图.gif" src="https://img1.dxycdn.com/2023/0706/919/0489775735952386761-10.gif!w640" title=""/></p><p>血清钾离子浓度高于 5. 5mmol/L 称为高钾血症（ hyperkalemia）。高钾血症可能是由于钾的摄入增加，钾的排泄减少，或钾从细胞内转移到细胞外造成的，最常见的原因是钾的排泄减少。</p><p>高钾血症最常见的主诉是虚弱和易疲劳。有时，患者会主诉全身肌肉麻痹或呼吸急促。患者也可能会主诉心悸或胸痛。患者可出现恶心、呕吐和感觉异常。那么，高钾血症如何进行药物治疗呢？</p><p><strong>高钾血症治疗：药物治疗的关键要点</strong></p><p><img alt="高钾血症.png" src="https://img1.dxycdn.com/2023/0706/596/6125459425915486761-10.png!w640" title=""/></p><p>完整急救内容请点击 &nbsp;&gt;&gt;&nbsp;「<a href="https://app.dxy.cn/drugs/nativejump/advisor_dtl/0?fieldId=1930" target="_self">高钾血症</a>」&nbsp;&lt;&lt; 详情查看。</p><p>为了帮助大家基于循证医学证据进行诊断和治疗，用药助手构建了一个以疾病为中心，辅助医生临床诊疗全过程的数据库，即「诊疗顾问」。如果你在临床中遇到难以诊断的病例，或者对于治疗方案没有把握，可以试试在用药助手 App 搜索相关的疾病或症状词，通过对应的诊疗顾问内容帮你破解诊疗难题。</p><p>现已上线 4000+ 疾病的诊疗决策参考方案，覆盖诊断、治疗、用药、预后全流程，上文提到的「<a href="https://app.dxy.cn/drugs/nativejump/advisor_dtl/0?fieldId=1930" target="_self">高钾血症</a>」是诊疗顾问的数据之一。&nbsp;</p><p>成为<a href="https://dxy.pub/gFbP7h" target="_self">用药助手 PLUS 会员</a>，即可随时查看临床常见疾病诊疗方案，还能解锁「临床指南」、「合理用药」等实用权益，助你快速破解诊疗难题。</p><p><img alt="诊疗顾问底图.png" src="https://img1.dxycdn.com/2023/0706/871/0027030272418386761-10.png!w640" title=""/></p>              ]]>
			         	</description>	 
      </item>
	        <item>
         <title><![CDATA[一周重要指南上新 | 儿童幽门螺旋杆菌感染诊治、慢性肾脏病患者高血压管理等内容发布！]]></title>
         <link><![CDATA[http://oncol.dxy.cn/article/861835]]></link>
         <guid><![CDATA[http://oncol.dxy.cn/article/861835]]></guid>
		 		 <category><![CDATA[用药经验]]></category>
		 		 <category><![CDATA[最新资讯]]></category>
		 		 <category><![CDATA[只展示在用药助手]]></category>
		 		 		 <enclosure url="https://img1.dxycdn.com/2023/0706/633/8868583093684486761-10.jpg" />
		 		 
         <pubDate>2023-07-08 09:08:45.0</pubDate>
             <description>
						<![CDATA[   
    			<p><img alt="查指南上用药助手.png" src="https://img1.dxycdn.com/2023/0706/302/4629310483800486761-10.png!w640" title=""/></p><p>临床实践指南作为缩小当前最佳证据与临床实践之间差距的临床决策工具，能帮我们规范诊疗方案，尤其是遇到难题或意见不一致的时候，临床指南能帮我们指明大的方向，保护患者，同时也保护我们自己。</p><p><br/></p><p>目前用药助手已涵盖 20000+ 国内外权威指南，数据一直不断更新。</p><p><br/></p><p>一起来看看近期有哪些值得关注的指南吧！</p><p><br/></p><p><strong>近期上新的重点指南</strong></p><p><br/></p><p>点击下方指南标题名称，即可跳转查看详情：</p><p>&nbsp;1.&nbsp;<a href="https://app.dxy.cn/drugs/nativejump/guides/63230" target="_self">中国儿童幽门螺杆菌感染诊治专家共识（2022）</a></p><p><br/></p><p>-&nbsp;&nbsp; 制定机构：中华医学会儿科学分会</p><p><br/></p><p>-&nbsp;&nbsp; 发布时间：2023-07-02</p><p><br/></p><p>-&nbsp;&nbsp; 概要：幽门螺杆菌（Hp）感染是人类常见的慢性感染之一，根除Hp可以减少儿童消化性溃疡的发生和复发，降低成年期胃癌的发生率。随着Hp耐药率的升高，既往推荐的一线治疗方案已不能满足临床需要。儿童补救治疗可用的药物有限，提高首次根除率尤为重要。结合国内外相关研究和指南，中华医学会儿科学分会消化学组、国家儿童医学中心消化专科联盟、中华儿科杂志编辑委员会组织专家制定本共识，以期规范儿童Hp感染的诊治，提高Hp感染的根除率。</p><p><br/></p><p>2.&nbsp;<a href="https://app.dxy.cn/drugs/nativejump/guides/63260" target="_self">非透析和透析慢性肾脏病患者高血压管理的中国专家共识</a></p><p><br/></p><p>-&nbsp;&nbsp; 制定机构：慢性肾脏病高血压管理共识专家组</p><p><br/></p><p>-&nbsp;&nbsp; 发布时间：2023-07-01</p><p><br/></p><p>-&nbsp;&nbsp; 概要：慢性肾脏病（CKD）是一个全球性公共卫生问题，其通常呈进展性，高血压是CKD进展的危险因素，心血管疾病是导致CKD患者死亡的首位病因。我国CKD患者高血压患病率高，控制率低。近年来不断有研究证实，有效控制血压可延缓肾脏病进展，降低心血管事件和全因死亡风险。</p><p><br/></p><p>3.&nbsp;<a href="https://app.dxy.cn/drugs/nativejump/guides/63222" target="_self">老年慢性阻塞性肺疾病管理指南</a></p><p><br/></p><p>-&nbsp;&nbsp; 制定机构：中国老年学和老年医学学会（CAGG）</p><p><br/></p><p>-&nbsp; &nbsp; 发布时间：2023-06-26</p><p><br/></p><p>-&nbsp;&nbsp; 概要：慢性阻塞性肺疾病（COPD）是常见的、可预防和治疗的慢性气道疾病，其特点是持续的气流受限及相应的呼吸道症状。60岁以上人群COPD患病率超27%但关于老年COPD 存在着认识与诊断不足等问题，因而其防治面临诸多挑战。为规范老年COPD的风险评估、干预、管理，提高中西医协同慢病管理水平，中国老年学和老年医学学会主持编制了《老年慢性阻塞性肺疾病管理指南》。</p><p><br/></p><p>4.&nbsp;<a href="https://app.dxy.cn/drugs/nativejump/guides/63254" target="_self">2023 中国香港共识建议：幽门螺杆菌感染的筛查、诊断和管理</a></p><p><br/></p><p>-&nbsp;&nbsp; 制定机构：中国消化科相关专家小组（统称）</p><p><br/></p><p>-&nbsp; &nbsp; 发布时间：2023-06-30</p><p><br/></p><p>-&nbsp;&nbsp; 概要：幽门螺杆菌感染引起慢性胃部炎症，可导致各种胃十二指肠疾病，包括消化性溃疡和胃癌。本文主要针对幽门螺杆菌感染的筛查、诊断和管理提出了24条共识意见。</p><p><br/></p><p>5.&nbsp;<a href="https://app.dxy.cn/drugs/nativejump/guides/63231" target="_self">老年重症患者静脉血栓栓塞症预防中国专家共识（2023）</a></p><p><br/></p><p>-&nbsp;&nbsp; 制定机构：中国老年医学学会重症医学分会</p><p><br/></p><p>-&nbsp;&nbsp; 发布时间：2023-06-28</p><p><br/></p><p>-&nbsp;&nbsp; 概要：重症患者是静脉血栓栓塞症（VTE）的高危人群，患者年龄越大，VTE发生率越高。尽管VTE预后差，但VTE是可以预防的。目前，国内外虽然已有多个关于VTE预防的共识或指南，但尚缺少针对老年重症患者VTE预防的共识或指南。为了规范我国老年重症患者的VTE预防，由中国老年医学学会重症医学分会和浙江省重症医学临床医学研究中心牵头制定了《老年重症患者静脉血栓栓塞症预防中国专家共识（2023）》。</p><p><br/></p><p>6.&nbsp;<a href="https://app.dxy.cn/drugs/nativejump/guides/63269" target="_self">系统性红斑狼疮诊疗规范</a></p><p><br/></p><p>-&nbsp;&nbsp; 制定机构：上海交通大学医学院附属仁济医院风湿免疫科</p><p><br/></p><p>-&nbsp;&nbsp; 发布时间：2023-07-01</p><p><br/></p><p>-&nbsp;&nbsp; 概要：系统性红斑狼疮（SLE）是一种系统性自身免疫病，其发病机制复杂、临床表现多样。为SLE的诊疗提供更为科学、权威的参考依据，中华医学会风湿病学分会在充分参考各级循证医学证据、国内外权威诊治指南和专家建议的基础上，制定了本规范，从临床表现、辅助检查、诊断与评估、治疗与监测四个方面对SLE的规范化诊治进行详细阐述，旨在提高广大风湿免疫科医生诊治SLE的科学性和规范性，改善患者预后。</p><p><br/></p><p>7.&nbsp;<a href="https://app.dxy.cn/drugs/nativejump/guides/63232" target="_self">中国儿童食管狭窄诊治专家共识</a></p><p><br/></p><p>-&nbsp;&nbsp; 制定机构：中华医学会儿科学分会</p><p><br/></p><p>-&nbsp;&nbsp; 发布时间：2023-07-02</p><p><br/></p><p>-&nbsp;&nbsp; 概要：儿童食管狭窄在临床并不少见，可引起吞咽困难、进食障碍、呕吐或呛咳等症状，导致患儿营养不良和生长发育落后，严重影响患儿的身心健康。中华医学会儿科学分会消化学组及中华儿科杂志编辑委员会组织相关专家制定了本共识，旨在更好地指导临床实践，提髙儿童食管狭窄的诊治水平，减少并发症，最大程度上满足患儿的进食和营养需求。</p><p><br/></p><p>8.&nbsp;<a href="https://app.dxy.cn/drugs/nativejump/guides/63225" target="_self">2023 ADA循证临床实践指南：龋齿病变的恢复性治疗</a></p><p><br/></p><p>-&nbsp;&nbsp; 制定机构：美国牙科协会（ADA）</p><p><br/></p><p>-&nbsp;&nbsp; 发布时间：2023-06-29</p><p><br/></p><p>-&nbsp;&nbsp; 概要：恢复性牙科学是治疗龋齿不可或缺的一部分，修复牙齿的决策是复杂的，基于几个因素的平衡，如预后，龋齿风险和活动评估，以及空化的临床或放射学迹象。本文主要针对龋齿病变的恢复性治疗提供指导建议。</p><p><br/></p><p><strong>怎样及时获取感兴趣科室的上新指南？</strong>&nbsp;<br/></p><p>1）打开用药助手 App ，点击底部「临床指南」进入指南专属页，即可查看最新指南 &nbsp;&amp; 精选合集。&nbsp;</p><p><br/>2）点击「订阅科室」可关注感兴趣的科室，当关注的科室有重要指南上新时，将第一时间通过用药助手 App 或用药助手 VIP 服务号推送给你。</p><p><br/>需要打开用药助手 App 的通知权限或关注用药助手 VIP 服务号噢～</p><p><br/></p><p><img alt="重点指南的底图.jpg" src="https://img1.dxycdn.com/2023/0706/978/0485131297633486761-10.jpg!w640" title=""/></p><p><br/></p><p>成为<a href="https://dxy.pub/gFbP7h" target="_self">用药助手 PLUS 会员</a>，即可随时查看国内外权威指南，还能解锁「诊疗顾问」、「合理用药」等实用权益，助你快速破解诊疗难题！</p>              ]]>
			         	</description>	 
      </item>
	        <item>
         <title><![CDATA[会员简报 | 本周重点指南上新及热门疾病一览！]]></title>
         <link><![CDATA[http://oncol.dxy.cn/article/861224]]></link>
         <guid><![CDATA[http://oncol.dxy.cn/article/861224]]></guid>
		 		 <category><![CDATA[用药经验]]></category>
		 		 <category><![CDATA[最新资讯]]></category>
		 		 <category><![CDATA[只展示在用药助手]]></category>
		 		 		 <enclosure url="https://img1.dxycdn.com/2023/0629/249/0082798632641034761-10.jpg" />
		 		 
         <pubDate>2023-07-01 00:28:35.0</pubDate>
             <description>
						<![CDATA[   
    			<p><img alt="会员简报.png" src="https://img1.dxycdn.com/2023/0629/898/2952076081208924761-10.png!w640" title=""/></p><p>临床知识日新月异，及时获取最新的内容对我们十分有必要。为了把近期最新的重点内容及时同步给各位会员，我们每周会定期为会员汇总平台上新/更新的重要内容，一起来看看这周有哪些重要变化吧！</p><p><strong>一周上新的重点指南</strong></p><p>临床实践指南作为缩小当前最佳证据与临床实践之间差距的临床决策工具，能帮我们规范诊疗方案，尤其是遇到难题或意见不一致的时候，临床指南能帮我们指明大的方向，保护患者，同时也保护我们自己。</p><p>目前用药助手已涵盖 20000+ 国内外权威指南，数据一直不断更新。</p><p>本周更新的重点指南请见 &gt;&gt;&nbsp;<a href="http://neuro.dxy.cn/article/861225" target="_self">一周重点指南上新</a>&nbsp;&lt;&lt;</p><p><br/></p><p><strong>本周大家都在关注的疾病及治疗</strong></p><p>为了帮助大家基于循证医学证据进行诊疗，用药助手构建了一个以疾病为中心，辅助医生临床诊疗全过程的数据库，即「诊疗顾问」。</p><p>现已上线 4000+ 疾病的诊疗决策参考，覆盖诊断、治疗、用药、预后全流程，数据将持续更新迭代。</p><p>本周热门诊疗顾问内容请见 &gt;&gt;<a href="http://ophth.dxy.cn/article/861229" target="_self"> 热射病如何急救处理？</a>&lt;&lt;</p><p><br/></p><p><strong>热门说明书更新</strong></p><p>用药助手持续为大家更新药品说明书，过去一周累计更新说明书约 223 篇，其中查看量较高的说明书包括：</p><p><br/>-&nbsp; &nbsp;<a href="https://app.dxy.cn/drugs/nativejump/drugs/94382" target="_self">松龄血脉康胶囊（松龄）</a></p><p>-&nbsp;&nbsp;&nbsp;<a href="https://app.dxy.cn/drugs/nativejump/drugs/52849" target="_self">必亮（萘替芬酮康唑乳膏）</a></p><p>-&nbsp;&nbsp;&nbsp;<a href="https://app.dxy.cn/drugs/nativejump/drugs/59943" target="_self">新泰洛其（复方可待因口服溶液）</a></p><p>-&nbsp;&nbsp;&nbsp;<a href="https://app.dxy.cn/drugs/nativejump/drugs/115594" target="_self">复方芩兰口服液（珍宝岛）</a></p><p>-&nbsp;&nbsp;&nbsp;<a href="https://app.dxy.cn/drugs/nativejump/drugs/199770" target="_self">碳酸钙颗粒（上海诺成）</a></p><p>点击说明书标题即可查看详情。更多药品说明书请打开用药助手 App 搜索查看。</p><p><br/></p><p><strong>用药助手会员服务</strong><br/></p><p>为了帮助大家提高临床决策效率，我们精选了优质内容和服务供会员使用。成为会员后，除了可以及时收到每周的重要更新内容，还能随时随地畅享以下权益：</p><p>--查指南更权威：覆盖 20000+ 国内外权威医学机构发布的临床指南、专家共识、指南解读，及时了解各专科必读指南<br/></p><p>--查疾病更专业：畅享「诊疗顾问」4000+ 临床常见疾病知识，快速掌握疾病诊断、治疗方案（仅 PLUS 会员可享噢）</p><p>--查药品更全面：掌握「合理用药」2000+ 临床常见药品成分超说明书内容，轻松查阅孕妇、儿童等特殊人群安全用药</p><p>--用工具更及时：8 大临床常用工具，医学计算、相互作用、配伍禁忌... 帮你解放大大脑和双手，值班不累、下班轻松</p><p>……</p><p>全部会员权益请见 &gt;&gt;&nbsp;<a href="https://dxy.pub/gFbP7h" target="_self">会员中心</a>&nbsp;&lt;&lt;，我们将不断优化会员的服务体验。</p><p>如果你还不是会员，欢迎 &gt;&gt;&nbsp;<a href="https://dxy.pub/gFbP7h" target="_self">加入我们</a>&nbsp;&lt;&lt;，一起做靠谱的临床专家！</p><p><br/></p>              ]]>
			         	</description>	 
      </item>
	        <item>
         <title><![CDATA[热射病如何急救处理？]]></title>
         <link><![CDATA[http://oncol.dxy.cn/article/861229]]></link>
         <guid><![CDATA[http://oncol.dxy.cn/article/861229]]></guid>
		 		 <category><![CDATA[用药经验]]></category>
		 		 <category><![CDATA[最新资讯]]></category>
		 		 <category><![CDATA[只展示在用药助手]]></category>
		 		 		 <enclosure url="https://img1.dxycdn.com/2023/0629/327/6129278151050234761-10.jpg" />
		 		 
         <pubDate>2023-07-01 00:27:17.0</pubDate>
             <description>
						<![CDATA[   
    			<p><img alt="公众号头图.gif" src="https://img1.dxycdn.com/2023/0629/681/2749004298513134761-10.gif!w640" title=""/></p><p>热射病是由热损伤因素作用于机体引起的严重致命性疾病，是热环境下体育竞技和军事训练中常见的疾病。热射病即重症中暑，是由于暴露在高温高湿环境中机体体温调节功能失衡，产热大于散热，导致核心温度迅速升高，超过40℃，伴有皮肤灼热、意识障碍（如谵妄、惊厥、昏迷）及多器官功能障碍的严重急性热致疾病，是中暑最严重的类型。</p><p>热射病如不及时救治，容易产生一些高危的并发症，如急性呼吸窘迫综合征，休克，急性肾损伤，急性肝衰竭，横纹肌溶解症，弥散性血管内凝血，多系统器官衰竭，心血管疾病等等。那么热射病该如何急救处理呢？</p><p><strong>一图看懂热射病现场急救流程</strong></p><p><strong><img alt="热射病急救.png" src="https://img1.dxycdn.com/2023/0629/635/4036091537696134761-10.png!w640" title=""/></strong></p><p>（图片来自用药助手App-诊疗顾问-热射病）</p><p><strong>热射病如何急救处理呢？</strong></p><p><strong><img alt="热射病.png" src="https://img1.dxycdn.com/2023/0629/037/4625138948887334761-10.png!w640" title=""/></strong></p><p>完整急救内容请点击 &nbsp;&gt;&gt;&nbsp;「<a href="https://app.dxy.cn/drugs/nativejump/advisor_dtl/0?fieldId=6313" target="_self">热射病</a>」&nbsp;&lt;&lt; 详情查看。</p><p>为了帮助大家基于循证医学证据进行诊断和治疗，用药助手构建了一个以疾病为中心，辅助医生临床诊疗全过程的数据库，即「诊疗顾问」。如果你在临床中遇到难以诊断的病例，或者对于治疗方案没有把握，可以试试在用药助手 App 搜索相关的疾病或症状词，通过对应的诊疗顾问内容帮你破解诊疗难题。</p><p>现已上线 4000+ 疾病的诊疗决策参考方案，覆盖诊断、治疗、用药、预后全流程，上文提到的「<a href="https://app.dxy.cn/drugs/nativejump/advisor_dtl/0?fieldId=6313" target="_self">热射病</a>」是诊疗顾问的数据之一。&nbsp;</p><p>成为<a href="https://dxy.pub/gFbP7h" target="_self">用药助手 PLUS 会员</a>，即可随时查看临床常见疾病诊疗方案，还能解锁「临床指南」、「合理用药」等实用权益，助你快速破解诊疗难题。</p><p><img alt="诊疗顾问底图.png" src="https://img1.dxycdn.com/2023/0629/042/4648514460958134761-10.png!w640" title=""/></p>              ]]>
			         	</description>	 
      </item>
	        <item>
         <title><![CDATA[一周重要指南上新 | 高度近视防控、高血压的管理等内容发布！]]></title>
         <link><![CDATA[http://oncol.dxy.cn/article/861225]]></link>
         <guid><![CDATA[http://oncol.dxy.cn/article/861225]]></guid>
		 		 <category><![CDATA[用药经验]]></category>
		 		 <category><![CDATA[最新资讯]]></category>
		 		 <category><![CDATA[只展示在用药助手]]></category>
		 		 		 <enclosure url="https://img1.dxycdn.com/2023/0629/695/2722229382832134761-10.jpg" />
		 		 
         <pubDate>2023-07-01 00:24:38.0</pubDate>
             <description>
						<![CDATA[   
    			<p><img alt="查指南上用药助手.png" src="https://img1.dxycdn.com/2023/0629/949/0236145357196034761-10.png!w640" title=""/></p><p>临床实践指南作为缩小当前最佳证据与临床实践之间差距的临床决策工具，能帮我们规范诊疗方案，尤其是遇到难题或意见不一致的时候，临床指南能帮我们指明大的方向，保护患者，同时也保护我们自己。</p><p><br/></p><p>目前用药助手已涵盖 20000+ 国内外权威指南，数据一直不断更新。</p><p><br/></p><p>一起来看看近期有哪些值得关注的指南吧！</p><p><br/></p><p><strong>近期上新的重点指南</strong></p><p><br/></p><p>点击下方指南标题名称，即可跳转查看详情：</p><p>&nbsp;1.&nbsp;<a href="https://app.dxy.cn/drugs/nativejump/guides/63164" target="_self">高度近视防控专家共识（2023）</a></p><p><br/></p><p>-&nbsp;&nbsp; 制定机构：中华医学会眼科学分会</p><p><br/></p><p>-&nbsp;&nbsp; 发布时间：2023-06-25</p><p><br/></p><p>-&nbsp;&nbsp; 概要：我国流行病学调查显示，中小学生近视率逐年上升，并呈现低龄化、高度化趋势。6~18岁儿童青少年近视率约53.6%，高三学生高度近视率高达20%。相比于低中度近视，高度近视因眼轴过度延长、屈光度数不断增长，大大增加进展为病理性改变的风险。高度近视人群中，白内障、青光眼、近视性黄斑变性、视网膜脱离、近视性视神经病变等致盲性眼病发病率明显高于正视人群。病理性近视引起的视网膜病变已经成为中国不可逆性致盲性眼病的首要病因。</p><p><br/></p><p>2.&nbsp;<a href="https://app.dxy.cn/drugs/nativejump/guides/63162" target="_self">2023 ESH指南：高血压的管理</a></p><p><br/></p><p>-&nbsp;&nbsp; 制定机构：欧洲高血压学会（ESH）</p><p><br/></p><p>-&nbsp;&nbsp; 发布时间：2023-06-21</p><p><br/></p><p>-&nbsp;&nbsp; 概要：2023年是欧洲高血压学会(ESH)高血压指南发布20周年，该指南于2003年首次发布。2023版欧洲高血压指南全面总结了高血压管理各方面的最佳现有证据，并提出相应指导建议。</p><p><br/></p><p>3.&nbsp;<a href="https://app.dxy.cn/drugs/nativejump/guides/63153" target="_self">急性缺血性卒中血管内治疗中国指南2023</a></p><p><br/></p><p>-&nbsp;&nbsp; 制定机构：中国卒中学会（CSA）</p><p><br/></p><p>-&nbsp; &nbsp; 发布时间：2023-06-24</p><p><br/></p><p>-&nbsp;&nbsp; 概要：卒中是致残和致死的主要疾病之一，急性缺血性卒中约占全部卒中的80%。急性缺血性卒中治疗的关键在于尽早开通阻塞血管，挽救缺血半暗带。目前被证实有效的急性缺血性卒中早期血管再通的治疗方法主要是静脉rt-PA溶栓。对静脉溶栓随机对照试验（random control trial，RCT）的荟萃分析证实发病4.5 h内静脉rt-PA溶栓有明确获益，而且溶栓时间越早，获益越大。</p><p><br/></p><p>4.&nbsp;<a href="https://app.dxy.cn/drugs/nativejump/guides/63193" target="_self">高甘油三酯血症临床管理多学科专家共识</a></p><p><br/></p><p>-&nbsp;&nbsp; 制定机构：中国心血管病相关专家小组（统称）</p><p><br/></p><p>-&nbsp; &nbsp; 发布时间：2023-06-26</p><p><br/></p><p>-&nbsp;&nbsp; 概要：高甘油三酯血症（HTG）是国人常见的血脂异常类型。流行病学研究表明，HTG 是动脉粥样硬化性心血管疾病 （ASCVD）及急性胰腺炎的危险因素之一，且与超重/ 肥胖、胰岛素抵抗/2 型糖尿病、非酒精性脂肪性肝病、慢性肾脏病有明确关联。近十年来，HTG 与临床疾病关联的基础与药物（贝特类药物、烟酸类药物、处方级ω-3 脂肪酸等）干预研究取得了一些进展，但临床处理尚存不同意见。</p><p><br/></p><p>5.&nbsp;<a href="https://app.dxy.cn/drugs/nativejump/guides/63173" target="_self">产后出血预防与处理指南（2023）</a></p><p><br/></p><p>-&nbsp;&nbsp; 制定机构：中华医学会妇产科学分会</p><p><br/></p><p>-&nbsp;&nbsp; 发布时间：2023-06-25</p><p><br/></p><p>-&nbsp;&nbsp; 概要：产后出血一直是导致我国孕产妇死亡的首要原因。近20年，我国因产后出血导致的孕产妇死亡虽然已经大幅减少，但仍有进一步下降的空间。产后出血导致孕产妇死亡的主要原因在于诊断和治疗的延迟，错过抢救时机。新版指南强调产后出血处理的“四早原则”——尽早呼救及团队抢救、尽早综合评估及动态监测、尽早针对病因止血和尽早容量复苏及成分输血，避免错过抢救时机而导致孕产妇发生严重并发症甚至死亡。</p><p><br/></p><p>6.&nbsp;<a href="https://app.dxy.cn/drugs/nativejump/guides/63167" target="_self">延迟性恶心呕吐防治中国专家共识（2022 年版）</a></p><p><br/></p><p>-&nbsp;&nbsp; 制定机构：中国抗癌协会肿瘤营养与支持治疗专业委员会</p><p><br/></p><p>-&nbsp;&nbsp; 发布时间：2023-05-30</p><p><br/></p><p>-&nbsp;&nbsp; 概要：恶心呕吐是抗肿瘤治疗的常见不良反应，其中化疗所致的恶心呕吐( CINV) 研究最为深入。因预防不足或缺乏足够重视，CINV 会给肿瘤患者带来一系列的危害，甚至导致抗肿瘤治疗的延迟或终止。而延迟性CINV 由于其多发生于院外，患者并不能及时报告，常被低估。为此，中国抗癌协会肿瘤支持治疗专业委员会组织本领域多学科专家，结合临床亟待解决的问题，基于当前的循证医学证据进行分析和讨 论，制定了本共识。</p><p><br/></p><p>7.&nbsp;<a href="https://app.dxy.cn/drugs/nativejump/guides/63184" target="_self">2023 ETA指南：甲状腺结节的管理</a></p><p><br/></p><p>-&nbsp;&nbsp; 制定机构：欧洲甲状腺协会（ETA）</p><p><br/></p><p>-&nbsp;&nbsp; 发布时间：2023-06-01</p><p><br/></p><p>-&nbsp;&nbsp; 概要：随着影像学技术的广泛使用，包括颈部的可视化，出现了大量的需要引起注意的甲状腺结节。大多数病变是良性的，无症状的，不需要治疗。如果确诊为癌症，大多数是小的、不活跃的肿瘤，可以安全地进行保守治疗。在考虑到患者意愿的情况下，需要采取更具成本效益、适应风险的方法来管理这种高发疾病。因此，本指南旨在为成年甲状腺结节患者的初步检查和后续管理提供临床实践指南。重要的是，这些指南并不包括对甲状腺恶性肿瘤的管理。</p><p><br/></p><p>8.&nbsp;<a href="https://app.dxy.cn/drugs/nativejump/guides/63195" target="_self">国家标准化代谢性疾病管理中心(MMC)代谢病管理指南(第二版)</a></p><p><br/></p><p>-&nbsp;&nbsp; 制定机构：代谢中心学术委员会</p><p><br/></p><p>-&nbsp;&nbsp; 发布时间：2023-06-25</p><p><br/></p><p>-&nbsp;&nbsp; 概要：最新流行病学数据提示，我国成人糖尿病患病形势严峻。代谢性疾病已成为严重影响人民健康和社会发展的重大慢性疾病。国家标准化代谢性疾病管理中心(MMC，代谢中心)经过6年多的运行，对代谢病患者的管理已形成特色，并取得了一系列成效，不断将标准化的代谢病诊疗模式向前推进。为使该标准化管理模式得到更高效运行，现在第一版指南基础上，就6年来的运行经验，结合当前国际国内最新代谢病诊疗指南进行总结归纳，撰写此第二版指南。</p><p><br/></p><p>9.&nbsp;<a href="https://app.dxy.cn/drugs/nativejump/guides/63201" target="_self">中国肝硬化临床诊治共识意见</a></p><p><br/></p><p>-&nbsp;&nbsp; 制定机构：中华医学会消化病学分会（CSGE）</p><p><br/></p><p>-&nbsp;&nbsp; 发布时间：2023-04-15</p><p><br/></p><p>-&nbsp;&nbsp; 概要：肝硬化是由多种病因引起的以弥漫性肝细胞坏死、肝细胞异常再生、血管新生、纤维组织大量增生和假小叶形成为组织学特征的进行性慢性肝病。肝硬化以肝功能减退和门静脉高压为特征性表现，晚期可出现多种并发症。为规范肝硬化的诊治，以指导临床实践，中华医学会消化病学分会组织国内相关领域专家，参考国内外最新指南和共识意见，总结近年来相关研究成果，就肝硬化的病因、病理和发病机制、临床表现、主要并发症、诊断、治疗，以及预后和慢病管理等方面形成共识。</p><p><br/></p><p><strong>怎样及时获取感兴趣科室的上新指南？</strong>&nbsp;<br/></p><p>1）打开用药助手 App ，点击底部「临床指南」进入指南专属页，即可查看最新指南 &nbsp;&amp; 精选合集。&nbsp;</p><p><br/>2）点击「订阅科室」可关注感兴趣的科室，当关注的科室有重要指南上新时，将第一时间通过用药助手 App 或用药助手 VIP 服务号推送给你。</p><p><br/>需要打开用药助手 App 的通知权限或关注用药助手 VIP 服务号噢～</p><p><br/></p><p><img alt="重点指南的底图.jpg" src="https://img1.dxycdn.com/2023/0629/472/6520827383007034761-10.jpg!w640" title=""/></p><p><br/></p><p>成为<a href="https://dxy.pub/gFbP7h" target="_self">用药助手 PLUS 会员</a>，即可随时查看国内外权威指南，还能解锁「诊疗顾问」、「合理用药」等实用权益，助你快速破解诊疗难题！</p>              ]]>
			         	</description>	 
      </item>
	        <item>
         <title><![CDATA[会员简报 | 本周重点指南上新 &amp; 相互作用数据更新！]]></title>
         <link><![CDATA[http://oncol.dxy.cn/article/860466]]></link>
         <guid><![CDATA[http://oncol.dxy.cn/article/860466]]></guid>
		 		 <category><![CDATA[用药经验]]></category>
		 		 <category><![CDATA[最新资讯]]></category>
		 		 <category><![CDATA[只展示在用药助手]]></category>
		 		 		 <enclosure url="https://img1.dxycdn.com/2023/0621/130/6549980733450441761-10.jpg" />
		 		 
         <pubDate>2023-06-24 15:03:50.0</pubDate>
             <description>
						<![CDATA[   
    			<p><img alt="会员简报.png" src="https://img1.dxycdn.com/2023/0621/554/4285828510219341761-10.png!w640" title=""/></p><p>临床知识日新月异，及时获取最新的内容对我们十分有必要。为了把近期最新的重点内容及时同步给各位会员，我们每周会定期为会员汇总平台上新/更新的重要内容，一起来看看这周有哪些重要变化吧！</p><p><strong>一周上新的重点指南</strong></p><p>临床实践指南作为缩小当前最佳证据与临床实践之间差距的临床决策工具，能帮我们规范诊疗方案，尤其是遇到难题或意见不一致的时候，临床指南能帮我们指明大的方向，保护患者，同时也保护我们自己。</p><p>目前用药助手已涵盖 20000+ 国内外权威指南，数据一直不断更新。</p><p>本周更新的重点指南请见 &gt;&gt;&nbsp;<a href="http://ophth.dxy.cn/article/860465" target="_self">一周重点指南上新</a>&nbsp;&lt;&lt;</p><p><strong>相互作用数据更新</strong></p><div><p>不恰当的药物相互作用会降低药物疗效或增加药物不良反应，或者导致严重不良反应事件，甚至危及患者的生命。联合用药的种类越多，发生药物相互作用的风险也越高，需要引起临床的高度重视。&nbsp;</p><p>&nbsp;为了帮助大家便捷地查药物相互作用数据，用药助手提供了「相互作用」查询这一功能。目前用药助手 App 内支持查询&nbsp;120000&nbsp;余对药物相互作用的临床表现和临床证据。</p><p>今年上半年，我们继续坚持循证和溯源的特色，新增了&nbsp;3500&nbsp;余对药物相互作用数据，并且请专业人员对全量相互作用数据进行了审核和把关。详情请见 &gt;&gt; <a href="http://derm.dxy.cn/article/860518" target="_self">相互作用数据更新</a> &lt;&lt;</p><br/></div><p><strong>热门说明书更新</strong></p><p>用药助手持续为大家更新药品说明书，过去一周累计更新说明书约 223 篇，其中查看量较高的说明书包括：</p><p><br/>-&nbsp; &nbsp;<a href="https://app.dxy.cn/drugs/nativejump/drugs/158000" target="_self">达伯舒（信迪利单抗注射液）</a></p><p>-&nbsp;&nbsp;&nbsp;<a href="https://app.dxy.cn/drugs/nativejump/drugs/91805" target="_self">鲁南力康（米力农注射液）</a></p><p>-&nbsp;&nbsp;&nbsp;<a href="https://app.dxy.cn/drugs/nativejump/drugs/117785" target="_self">九味双解口服液（力哥）</a></p><p>-&nbsp;&nbsp;&nbsp;<a href="https://app.dxy.cn/drugs/nativejump/drugs/88369" target="_self">佳福（复方胃蛋白酶散）</a></p><p>-&nbsp;&nbsp;&nbsp;<a href="https://app.dxy.cn/drugs/nativejump/drugs/148610" target="_self">通脉降糖胶囊（步长）</a></p><p>点击说明书标题即可查看详情。更多药品说明书请打开用药助手 App 搜索查看。</p><p><br/></p><p><strong>用药助手会员服务</strong><br/></p><p>为了帮助大家提高临床决策效率，我们精选了优质内容和服务供会员使用。成为会员后，除了可以及时收到每周的重要更新内容，还能随时随地畅享以下权益：</p><p>--查指南更权威：覆盖 20000+ 国内外权威医学机构发布的临床指南、专家共识、指南解读，及时了解各专科必读指南<br/></p><p>--查疾病更专业：畅享「诊疗顾问」4000+ 临床常见疾病知识，快速掌握疾病诊断、治疗方案（仅 PLUS 会员可享噢）</p><p>--查药品更全面：掌握「合理用药」2000+ 临床常见药品成分超说明书内容，轻松查阅孕妇、儿童等特殊人群安全用药</p><p>--用工具更及时：8 大临床常用工具，医学计算、相互作用、配伍禁忌... 帮你解放大大脑和双手，值班不累、下班轻松</p><p>……</p><p>全部会员权益请见 &gt;&gt;&nbsp;<a href="https://dxy.pub/gFbP7h" target="_self">会员中心</a>&nbsp;&lt;&lt;，我们将不断优化会员的服务体验。</p><p>如果你还不是会员，欢迎 &gt;&gt;&nbsp;<a href="https://dxy.pub/gFbP7h" target="_self">加入我们</a>&nbsp;&lt;&lt;，一起做靠谱的临床专家！</p><p><br/></p>              ]]>
			         	</description>	 
      </item>
	        <item>
         <title><![CDATA[一周重要指南上新 | 中国成人糖尿病前期干预、冠状动脉粥样硬化性心脏病患者药物治疗管理路径等内容发布！]]></title>
         <link><![CDATA[http://oncol.dxy.cn/article/860465]]></link>
         <guid><![CDATA[http://oncol.dxy.cn/article/860465]]></guid>
		 		 <category><![CDATA[用药经验]]></category>
		 		 <category><![CDATA[最新资讯]]></category>
		 		 <category><![CDATA[只展示在用药助手]]></category>
		 		 		 <enclosure url="https://img1.dxycdn.com/2023/0621/410/0293154977268341761-10.jpg" />
		 		 
         <pubDate>2023-06-24 15:01:42.0</pubDate>
             <description>
						<![CDATA[   
    			<p><img alt="查指南上用药助手.png" src="https://img1.dxycdn.com/2023/0621/529/8066555180474341761-10.png!w640" title=""/></p><p>临床实践指南作为缩小当前最佳证据与临床实践之间差距的临床决策工具，能帮我们规范诊疗方案，尤其是遇到难题或意见不一致的时候，临床指南能帮我们指明大的方向，保护患者，同时也保护我们自己。</p><p><br/></p><p>目前用药助手已涵盖 20000+ 国内外权威指南，数据一直不断更新。</p><p><br/></p><p>一起来看看近期有哪些值得关注的指南吧！</p><p><br/></p><p><strong>近期上新的重点指南</strong></p><p><br/></p><p>点击下方指南标题名称，即可跳转查看详情：</p><p>&nbsp;1.&nbsp;<a href="https://app.dxy.cn/drugs/nativejump/guides/63110" target="_self">中国成人糖尿病前期干预的专家共识（2023版）</a></p><p><br/></p><p>-&nbsp;&nbsp; 制定机构：中华医学会内分泌学分会（CSE）</p><p><br/></p><p>-&nbsp;&nbsp; 发布时间：2023-06-15</p><p><br/></p><p>-&nbsp;&nbsp; 概要：随着国内外糖尿病前期的研究取得了一系列重要进展，获得了更多关于糖尿病前期预防、诊断及干预的循证医学新证据，中华医学会内分泌学分会联合中华医学会糖尿病学分会、中国医师协会内分泌代谢科医师分会专家对原有专家共识进行了修订，形成了《中国成人糖尿病前期干预的专家共识（2023版）》，以便及时传递重要进展，指导临床实践。</p><p><br/></p><p>2.&nbsp;<a href="https://app.dxy.cn/drugs/nativejump/guides/63111" target="_self">冠状动脉粥样硬化性心脏病患者药物治疗管理路径专家共识</a></p><p><br/></p><p>-&nbsp;&nbsp; 发布时间：2023-06-14</p><p><br/></p><p>-&nbsp;&nbsp; 概要：为进一步促进药师规范化、同质化地开展冠状动脉粥样硬化性心脏病患者的药物治疗管理，受国家卫生健康委员会人才交流服务中心委托，由首都医科大学附属北京安贞医院牵头，复旦大学附属中山医院、首都医科大学附属北京朝阳医院等9家医院共同参与制订了《冠状动脉粥样硬化性心脏病患者药物治疗管理路径专家共识》。</p><p><br/></p><p>3.&nbsp;<a href="https://app.dxy.cn/drugs/nativejump/guides/63128" target="_self">中国高尿酸血症相关疾病诊疗多学科专家共识（2023年版）</a></p><p><br/></p><p>-&nbsp; &nbsp; 发布时间：2023-06-13</p><p><br/></p><p>-&nbsp;&nbsp; 概要：共识在《中国高尿酸血症相关疾病诊疗多学科专家共识》（2017版）基础上，由风湿免疫、肾脏、内分泌代谢、心血管、神经、泌尿、营养、儿科、老年、药学、影像、血液肿瘤、呼吸、重症、中医学和病理共16个学科专家共同更新、修订而成，旨在持续推动全国各相关学科对HUA相关疾病的认识，规范和指导其临床实践，改善患者预后，为相关学科的各级临床医师提供参考。</p><p><br/></p><p>4.&nbsp;<a href="https://app.dxy.cn/drugs/nativejump/guides/63117" target="_self">鼻腔盐水冲洗在儿童上呼吸道感染的应用专家共识</a></p><p><br/></p><p>-&nbsp;&nbsp; 制定机构：上海市医学会儿科分会</p><p><br/></p><p>-&nbsp; &nbsp; 发布时间：2023-06-19</p><p><br/></p><p>-&nbsp;&nbsp; 概要：目前鼻腔冲洗在儿童URTIs的应用尚缺乏统一规范，存在临床使用误区。本共识在阐明上述机制和疗效的基础上，结合儿童年龄和生理的特点，推荐适合不同年龄儿童的鼻腔盐水冲洗装置，选择适宜的盐水温度和浓度，介绍使用操作过程及注意事项等，为URTIs的儿童提供一种有效的可供选择的治疗策略。</p><p><br/></p><p>5.&nbsp;<a href="https://app.dxy.cn/drugs/nativejump/guides/63106" target="_self">蕈样肉芽肿治疗中国专家共识（2023）</a></p><p><br/></p><p>-&nbsp;&nbsp; 发布时间：2023-05-15</p><p><br/></p><p>-&nbsp;&nbsp; 概要：蕈样肉芽肿（MF）是皮肤T细胞淋巴瘤最常见类型，早期仅累及皮肤，进展期出现肿块并有淋巴结、外周血和内脏受累。治疗前需对患者进行分期评估，根据分期选择治疗方案。我国12位MF诊疗领域专家在国外最新指南和共识的基础上，回顾了治疗方法的循证医学级别，结合我国现状，在MF一线、二线治疗方案和新疗法等方面达成共识，为规范MF治疗提供指导。</p><p><br/></p><p>6.&nbsp;<a href="https://app.dxy.cn/drugs/nativejump/guides/63107" target="_self">2023 HFA/AACA/EAPCI科学声明：急性心力衰竭合并心脏瓣膜病</a></p><p><br/></p><p>-&nbsp;&nbsp; 制定机构：欧洲心力衰竭协会（HFA）</p><p><br/></p><p>-&nbsp;&nbsp; 发布时间：2023-05-23</p><p><br/></p><p>-&nbsp;&nbsp; 概要：心脏瓣膜病（VHD）常与急性心力衰竭（AHF）相关，AHF可由慢性瓣膜病变叠加急性血流动力学应激引起，也可能是由新的明显瓣膜病变引起的。伴有AHF的VHD患者可能有明显的合并症。本文主要关注VHD合并AHF的流行病学，病理生理学，诊断检查和治疗的相关内容。</p><p><br/></p><p>7.&nbsp;<a href="https://app.dxy.cn/drugs/nativejump/guides/63114" target="_self">甲磺酸倍他司汀治疗眩晕症的专家共识</a></p><p><br/></p><p>-&nbsp;&nbsp; 制定机构：中国医药教育协会</p><p><br/></p><p>-&nbsp;&nbsp; 发布时间：2023-06-16</p><p><br/></p><p>-&nbsp;&nbsp; 概要：本共识包括组胺类药物的药理基础以及甲磺酸倍他司汀在常见眩晕疾病（如良性阵发性位置性眩晕、梅尼埃病、前庭神经炎等）中的用药推荐等级、剂量、疗程、复查方法、特殊人群用药、药物不良反应等方面，旨在帮助医生提升临床实践水平。</p><p><br/></p><p>8.&nbsp;<a href="https://app.dxy.cn/drugs/nativejump/guides/63132" target="_self">聚腺苷二磷酸核糖聚合酶抑制剂药物相互作用管理中国专家共识(2023版)</a></p><p><br/></p><p>-&nbsp;&nbsp; 制定机构：中国药师协会肿瘤专科药师分会</p><p><br/></p><p>-&nbsp;&nbsp; 发布时间：2023-06-15</p><p><br/></p><p>-&nbsp;&nbsp; 概要：聚腺苷二磷酸核糖聚合酶抑制剂(PARPi)是近年上市被美国国立综合癌症网络(NCCN)和中国临床肿瘤学会(CSCO)指南推荐用于上皮性卵巢癌、乳腺癌、胰腺癌、前列腺癌等肿瘤治疗的药物。大多数PARPi通过细胞色素P450酶代谢，因此与肿瘤患者常用的其他药物之间存在广泛的相互作用。</p><p><br/></p><p>9.&nbsp;<a href="https://app.dxy.cn/drugs/nativejump/guides/63123" target="_self">2023 ESICM指南：急性呼吸窘迫综合征的定义，表型和呼吸支持策略</a></p><p><br/></p><p>-&nbsp;&nbsp; 制定机构：欧洲危重病医学会（ESICM）</p><p><br/></p><p>-&nbsp;&nbsp; 发布时间：2023-06-16</p><p><br/></p><p>-&nbsp;&nbsp; 概要：本文是对2017年ESICM指南的更新，本文主要内容涉及成人急性呼吸窘迫综合征(ARDS)患者的非药物呼吸支持策略，包括2019冠状病毒病(COVID-19)所致的ARDS。</p><p><br/></p><p>10.&nbsp;<a href="https://app.dxy.cn/drugs/nativejump/guides/63124" target="_self">2023 TSA临床实践指南：原发性醛固酮增多症的治疗</a></p><p><br/></p><p>-&nbsp;&nbsp; 制定机构：中国台湾醛固酮增多症学会</p><p><br/></p><p>-&nbsp;&nbsp; 发布时间：2023-06-14</p><p><br/></p><p>-&nbsp;&nbsp; 概要：原发性醛固酮增多症(PA)是继发性高血压最常见的病因，也是为数不多的可以通过手术治愈的内科疾病之一。醛固酮分泌过多与心血管并发症密切相关。本文主要针对PA的治疗提供实践指导。</p><p><br/></p><p><strong>怎样及时获取感兴趣科室的上新指南？&nbsp;</strong><br/></p><p>1）打开用药助手 App ，点击底部「临床指南」进入指南专属页，即可查看最新指南 &nbsp;&amp; 精选合集。&nbsp;</p><p><br/>2）点击「订阅科室」可关注感兴趣的科室，当关注的科室有重要指南上新时，将第一时间通过用药助手 App 或用药助手 VIP 服务号推送给你。</p><p><br/>需要打开用药助手 App 的通知权限或关注用药助手 VIP 服务号噢～</p><p><br/></p><p><img alt="重点指南的底图.jpg" src="https://img1.dxycdn.com/2023/0621/588/4878597038384341761-10.jpg!w640" title=""/></p><p><br/></p><p><a href="https://dxy.pub/gFbP7h" target="_self">成为用药助手 PLUS 会员</a>，即可随时查看国内外权威指南，还能解锁「诊疗顾问」、「合理用药」等实用权益，助你快速破解诊疗难题！</p><p><img src="https://img1.dxycdn.com/2023/0627/555/2914202054020453761-10_small.jpg" title="" alt="qrcode_for_gh_2faebbe4b111_258.jpg"/></p>              ]]>
			         	</description>	 
      </item>
	        <item>
         <title><![CDATA[药物联用禁忌太多？相互作用查询功能帮你搞定！]]></title>
         <link><![CDATA[http://oncol.dxy.cn/article/860518]]></link>
         <guid><![CDATA[http://oncol.dxy.cn/article/860518]]></guid>
		 		 <category><![CDATA[用药经验]]></category>
		 		 <category><![CDATA[最新资讯]]></category>
		 		 <category><![CDATA[只展示在用药助手]]></category>
		 		 		 <enclosure url="https://img1.dxycdn.com/2023/0622/490/2173468998050861761-10.jpg" />
		 		 
         <pubDate>2023-06-22 08:45:37.0</pubDate>
             <description>
						<![CDATA[   
    			<p>不恰当的药物相互作用会降低药物疗效或增加药物不良反应，或者导致严重不良反应事件，甚至危及患者的生命。联合用药的种类越多，发生药物相互作用的风险也越高，需要引起临床的高度重视。</p><p>为了帮助大家便捷地查药物相互作用数据，用药助手提供了「相互作用」查询这一功能。目前用药助手 App 内支持查询&nbsp;120000&nbsp;余对药物相互作用的临床表现和临床证据。</p><p><strong>相互作用持续更新</strong></p><p>去年 12&nbsp;月，我们对相互作用数据进行了全面升级，在原版数据的基础上对内容进行更新、调整和完善，从临床建议、临床证据、作用机制、证据等级、参考文献等方面对药物的相互作用进行了全面介绍。</p><p>今年上半年，我们继续坚持循证和溯源的特色，新增了&nbsp;3500&nbsp;余对药物相互作用数据，并且请专业人员对全量相互作用数据进行了审核和把关。</p><p>在数据研发的过程中，除了考虑临床常用药物，我们还关注了新上市的药品。以近期新上市的莫博赛替尼为例：莫博赛替尼与强效CYP3A抑制剂（例如酮康唑）合并给药增加了莫博赛替尼的血浆浓度，这可能增加不良反应的风险，包括QTc间期延长。我们在 App 中也对该类相互作用进行了提示：</p><p><img alt="相互作用截图20230621.jpg" src="https://img1.dxycdn.com/2023/0622/811/6777833794616761761-10.jpg!w640" title=""/></p><p>（图片来源：用药助手 App - 相互作用-莫博赛替尼）</p><p><br/><strong>数据来源权威可靠</strong></p><p>在进行相互作用数据库研发时，我们主要参考并整合了国内外的说明书以及权威数据源（如 PubMed）的文献结论，同时邀请了业内权威刘治军老师的团队与我们共建临床实用的药物相互作用数据库。</p><p>刘治军老师是首都医科大学附属北京安贞医院的主任药师，北京协和医学院（清华大学医学部）药理学博士，他所带领团队的著作《药物相互作用基础与临床》已经成为药物相互作用领域的代表作品。<br/><br/><strong>作用风险一查便知</strong></p><p>现在你可以通过用药助手 App 便捷地了解临床药物的作用影响、作用程度和处理措施。</p><p>通过用药助手 App 首页即可找到相互作用入口，然后输入想要查询的药品成分，例如依次输入「药品名 A」与「药品名 B」并点击➕添加，然后点击下方的「分析结果」可以快速查询这两种药物联用是否有风险。</p><p>以临床常使用的「阿司匹林」和「阿莫西林克拉维酸钾」为例：</p><p><img alt="007.PNG" src="https://img1.dxycdn.com/2023/0622/025/8467603856519761761-10.png!w640" title=""/></p><p><br/>（图片来源：用药助手 App - 相互作用）<br/><br/><strong>会员畅享海量数据</strong></p><p>这些进阶版资源，都在用药助手「专业版 PLUS」会员权益中！</p><p>如果你已经是 PLUS 会员，可直接畅享所有升级后的相互作用数据。如果你还不是会员，现在入手会员可享特惠价格，解锁会员的全部权益：</p><p>除相互作用数据之外，可随时查询 20000+ 最新国内外临床指南，另外还有4000+ 临床常见疾病的全链路诊疗知识、2000+ 药品成分的用药详解、800+ 医学计算公式、配伍禁忌、抗菌谱等十余种专业内容服务，把你的临床难题解决得明明白白～</p><p>目前，我们正在举行年中限时优惠活动：</p><p><strong>2023.6.8 - 2023.7.7</strong></p><p><strong>用药助手 PLUS 会员</strong></p><p><strong>买一年送 2 个月&nbsp;</strong></p><p><strong>▼▼▼▼▼▼</strong></p><p><a href="https://dxy.pub/xjBYPf" target="_self"><strong>点击去购买，获赠限时福利</strong></a></p><p><strong>▲▲▲▲▲▲</strong></p><p>现在入手 PLUS 会员，每天不到 6 毛钱，即可连续 425 天畅享 PLUS 会员所有权益！</p><p>活动将在&nbsp;7&nbsp;月 7 日截止，别错过哦～</p>              ]]>
			         	</description>	 
      </item>
	  	     </channel>
</rss>
