又见肱二头肌长头腱断裂(大力水手征)
范特西_ 推荐病例信息
患者女性,48岁,左上臂肿物1月就诊。
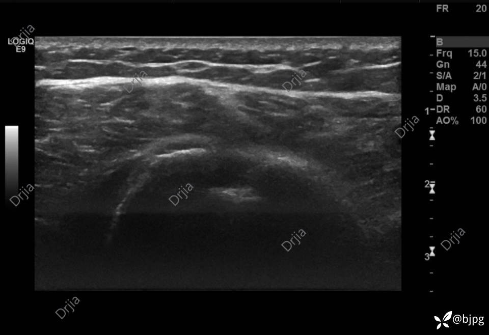
1月前发现左上臂肿物,无疼痛,无明显功能障碍。今日就诊,行左上臂肿物超声检查:

左侧结节间沟空虚

沿肱二头肌走行区纵切扫查未见肌腱影像

肱二头肌肌腹圆钝,腱腹移行消失

肱二头肌远心端断端血肿形成
病例讨论
肱二头肌长头腱断裂分为急性断裂和慢性断裂。
急性断裂:少见,多见于干体力劳动的青壮年,常发生于用力过猛。
慢性断裂:多见于老年人,以肱二头肌肌腱慢性炎性反应合并周围组织退变引起肌腱断裂为主,一般患者无明显症状,功能也不受限。
肱二头肌长头腱断裂患者表现为大力水手征,遗憾没有拍照,下次遇到补上。
















































