我们一起学形态学3
前言
本期继续我们一起学形态学3,宗旨是专家说的那样,学习各种成熟与不成熟血细胞的形态特点,因为没有一模一样的细胞,就是多看。
形态学培训图如下
Part.1
10*100 外周血

点击下方空白区域查看答案
▼
「淋巴细胞」
成熟淋巴细胞分大淋巴细胞和小淋巴细胞——大淋巴细胞:胞体直径12-15μm,圆形或类圆形,胞核椭圆形,常偏一侧,核染色质紧密而均匀,核仁消失。胞质较多,呈清澈的淡蓝色,常有少许紫红色颗粒。小淋巴细胞:胞体直径6-9μm,圆形或类圆形或蝌蚪型等,胞核类圆形,圆形或有小切迹,核染色质聚集,呈大块状,副染色质不明显,核仁消失。胞质少或极少(似裸核),常呈淡蓝色,有时候呈深蓝色,常无颗粒。
Part.2
10*100 外周血

点击下方空白区域查看答案
▼
「单核细胞」
成熟单核细胞:胞体直径14-25μm,圆形或不规则,可见伪足。胞核不规则,呈扭曲,折叠状,或呈大肠状,马蹄形,“S”形,分叶形、笔架形等,核染色质疏松,可呈条索状,小块状,核仁消失。胞质量多,呈浅灰蓝色,或略带红色,如毛玻璃半透明,可见细小,分布均匀的灰尘样紫红色颗粒,常有空泡。
Part.3
10*100 外周血

点击下方空白区域查看答案
▼
「淋巴细胞」
成熟淋巴细胞分大淋巴细胞和小淋巴细胞——大淋巴细胞:胞体直径12-15μm,圆形或类圆形,胞核椭圆形,常偏一侧,核染色质紧密而均匀,核仁消失。胞质较多,呈清澈的淡蓝色,常有少许紫红色颗粒。小淋巴细胞:胞体直径6-9μm,圆形或类圆形或蝌蚪型等,胞核类圆形,圆形或有小切迹,核染色质聚集,呈大块状,副染色质不明显,核仁消失。胞质少或极少(似裸核),常呈淡蓝色,有时候呈深蓝色,常无颗粒。
Part.4
10*100 外周血

点击下方空白区域查看答案
▼
「Dohle小体」
杜勒小体又称Dohle(0上两点点不来)小体(Dohle body),蓝斑,是中性粒细胞因毒性变化而保留的局部嗜碱性区域,呈圆形、梨形或云雾状,直径为1~2um,界限不清,可染成灰蓝色或天蓝色,是细胞局部不成熟,即细胞核与细胞质发育不平衡的表现,也是细胞严重毒性变化的表现。常见于严重感染,中毒,大面积烧伤等。
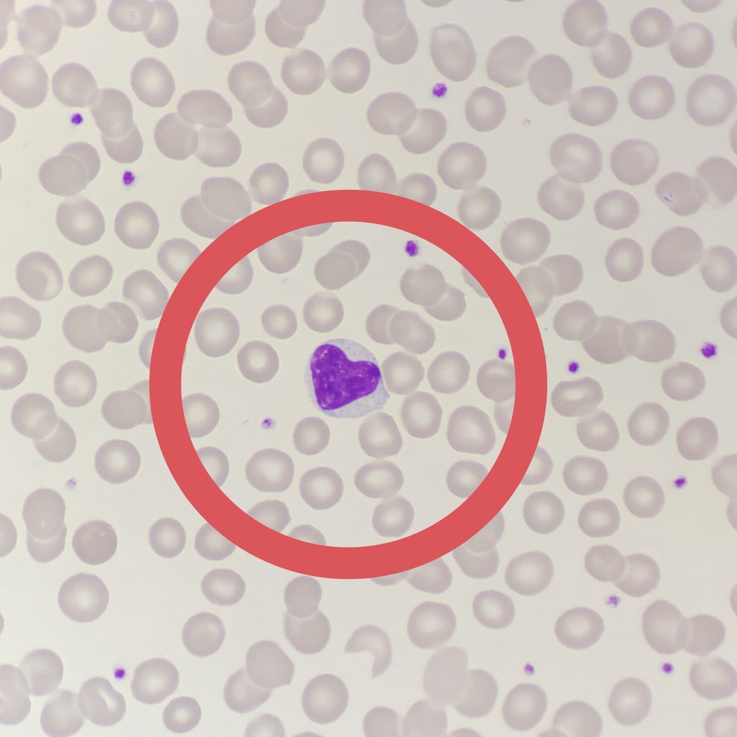
Part.5
10*100 外周血

点击下方空白区域查看答案
▼
「淋巴细胞」
成熟淋巴细胞分大淋巴细胞和小淋巴细胞——大淋巴细胞:胞体直径12-15μm,圆形或类圆形,胞核椭圆形,常偏一侧,核染色质紧密而均匀,核仁消失。胞质较多,呈清澈的淡蓝色,常有少许紫红色颗粒。小淋巴细胞:胞体直径6-9μm,圆形或类圆形或蝌蚪型等,胞核类圆形,圆形或有小切迹,核染色质聚集,呈大块状,副染色质不明显,核仁消失。胞质少或极少(似裸核),常呈淡蓝色,有时候呈深蓝色,常无颗粒。
Part.6
10*100 外周血

点击下方空白区域查看答案
▼
「凋亡细胞」
核心特点是程序性,可控的自主死亡,其意义在于维持生物体发育平衡、清除异常细胞及防治炎症反应。形态特点:染色质聚集,分块,位于核膜上,胞质凝缩,最后核断裂,细胞通过出芽的方式形成许多凋亡小体,凋亡小体内有结构完整的细胞器,还有凝缩的染色体,可被邻近细胞吞噬消化,因始终膜封闭,没有内溶物释放,故不会引起炎症。
Part.7
10*100 外周血

点击下方空白区域查看答案
▼
「反应性淋巴细胞」
反应性淋巴细胞(旧称异型淋巴细胞)是机体在病毒,原虫感染或免疫应激下激活增生的良性T淋巴细胞,核心意义在于提示感染性疾病。主要分三型,I型空泡型/浆细胞型;II型不规则型/单核细胞型;III型幼稚型。正常≤2%,≥5%有临床意义,≥10时且三型都见,描述请结合临床除外传染性单核细胞增多症。儿童轻度升高5%-10%常见于普通病毒感染,成人显著升高更需重视。
Part.8
10*100 外周血

点击下方空白区域查看答案
▼
「毛细胞」
镜下头次见,经过老师指导才知道。毛细胞胞体为15-20μm,胞质多少不定,呈浅蓝色或浅灰色,胞质的边缘常出现毛状,锯齿状突起;核呈圆形,椭圆形,肾形,有的凹陷,扭曲,折叠,核膜清楚,染色质呈细颗粒状,核仁不见或一到三个,可见于多毛细胞白血病,也见于脾淋巴瘤如脾边缘区淋巴瘤。
温馨小贴士
资料部分有来源老师
《临床血液学与检验》第四版 《实用血液学图谱》李顺义,卢兴国,李伟皓 《外周血细胞形态学检查技术》王霄霞
内容分享,仅供学习;个人观点,欢迎指正
















































