这是皮肤转移了么
范特西_ 推荐病例信息
女 58岁,左乳癌术后2年。先是皮肤出现红色的斑丘,抹药,但效果不明确,时好时坏,然后出现破溃,胸腹壁还有一些斑丘。
病例讨论

皮肤外观

斑丘的超声表现:皮肤层低回声区

脂肪层血流信号增多

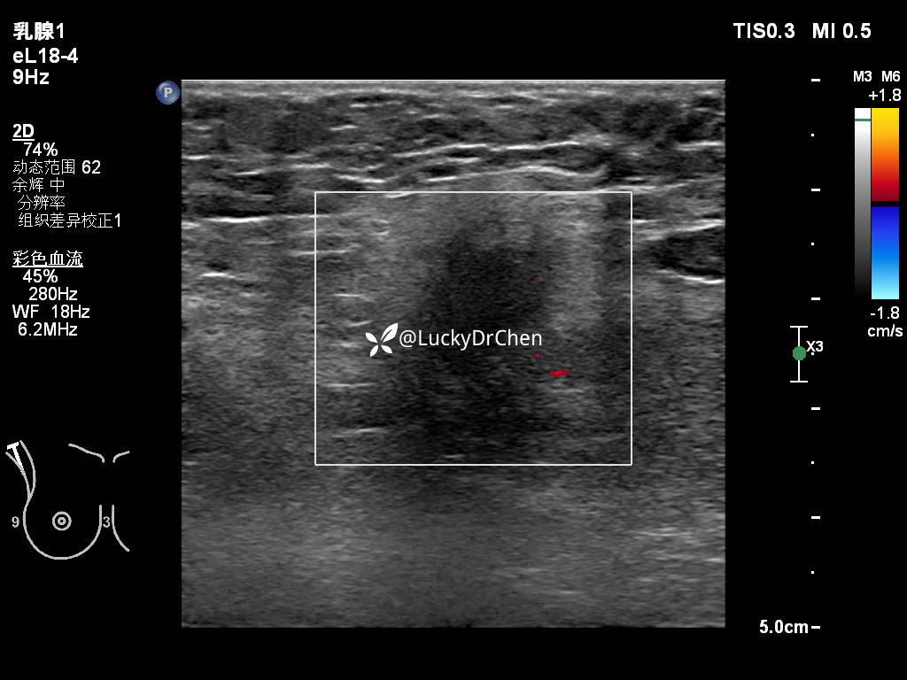
右侧腋下低回声,形态不规则,边界不清晰,周边高回声晕

可见点状血流信号

腋下肿大淋巴结
请教大家,这是转移到皮肤了么?右腋下是转移癌还是新发灶?
范特西_ 推荐病例信息
女 58岁,左乳癌术后2年。先是皮肤出现红色的斑丘,抹药,但效果不明确,时好时坏,然后出现破溃,胸腹壁还有一些斑丘。
病例讨论

皮肤外观

斑丘的超声表现:皮肤层低回声区

脂肪层血流信号增多

右侧腋下低回声,形态不规则,边界不清晰,周边高回声晕

可见点状血流信号

腋下肿大淋巴结
请教大家,这是转移到皮肤了么?右腋下是转移癌还是新发灶?
