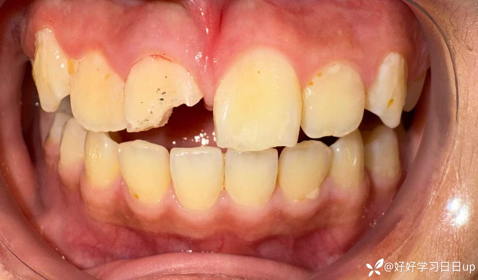
一例断冠活髓切段+树脂修复
雪里一片清净 推荐一个小学生上午摔跤冠折漏髓,断牙也丢了
ct显示牙根未折断,上级沟通后先行活髓切断术,后续树脂恢复形态交给了我
红标金刚砂去除薄壁弱尖,唇侧做出短斜面,抛光短斜面边缘线,黄标再淡化边缘线,备洞完成
腭侧背板很难搭建因为断面不规则,只能从唇侧搭建框架,做出唇侧框架再恢复邻面壁,从腭侧充填,唇侧树脂欠充,铺唇侧树脂。打磨形态,抛光套装抛光,邻面纱条抛光,结束。






复盘觉得不上橡皮章真的该抽自己大嘴巴子,我们的护士不配台整个操作下来也是十分艰难,框架搭建就有问题后续修形过猛,形态刻板,颜色先随他去吧,先练习好形态再学习配色
















































