dxy logo
首页丁香园病例库全部版块
搜索
登录

病例嘴里含了个拳头大的「沙包」,仿佛下一秒就要爆裂!已经长了 20 年...

浙江大学医学院附属第二医院口腔外科官方账号 · 发布于 3 小时前 · IP 浙江浙江
9800 浏览
icon雪里一片清净 推荐

当患者走进诊室时,饶是褚涵文早有心理准备,也依然呼吸一滞——

只见患者完全无法合上嘴巴,从口中突出一个硕大的紫红色「沙包」,上面遍布纹路,仿佛下一秒就要爆裂。

震惊之余,褚涵文忍不住对患者感叹:怎么现在才来?

img

仅专业人士可见

img

仅专业人士可见

患者就诊时面容


口含「血色沙包」20 年

据患者描述,这个「沙包」最早出现在 20 年前。

当时,肿物还局限于口腔内部,张嘴、合嘴勉强正常,但渐渐地,肿物开始向嘴巴外突出,最终完全无法纳回,严重影响了进食和语言功能,也让患者基本脱离了社交生活。

经人介绍后,患者来到浙江大学医学院附属第二医院口腔外科就诊,由副主任医师褚涵文担任主诊医师。

简单进行口腔系统检查后,褚涵文发现,患者口部的肿物触诊柔软、边界不清,且肿物体积会随着体位发生变化,这意味着并非真性肿瘤。

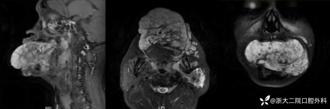
那么是否会是囊肿或其他血管畸形?治疗团队随即安排患者进行了舌部的增强磁共振检查,结果提示病灶为静脉畸形,且遍布患者左侧的舌-咽旁、颌面间隙、颌面部软组织及左侧腮腺。

img

患者 MRI 结果

静脉畸形是口腔颌面部常见的先天性脉管畸形,好发于头颈部,早期不易发现也无症状,但随着年龄的增长会逐渐增大。

本例患者,就是一种典型且严重的颌面部多发静脉畸形,硕大的肿物内部,包含的是流动的血液。

这种疾病通常可导致颜面部畸形、诱发局部功能障碍,还有继发感染或出血的高风险。目前的治疗包括保守观察、药物治疗、介入治疗、激光治疗、手术切除等。

对于小范围的血管畸形,局部注射平阳霉素、博来霉素等抗肿瘤抗生素或化疗药物有较好疗效;对于体积较大但范围相对局限的病变,还可以采用介入栓塞或者手术切除等手段。[1]

然而,本病例中病变范围巨大且弥漫,累及舌根、咽旁及口腔多处软组织,治疗难度大、手术风险也极高。

一方面,舌体的血供本身就极为丰富,一旦发生出血,出血量往往非常惊人,可能引发呼吸道梗阻或失血性休克。这位患者的静脉畸形内部血窦密布,甚至形成了快速涡流,术中大出血的风险远远超过常规手术。

另一方面,如果直接切除病灶,极易导致舌体过短,使患者从「舌体过大」的困境陷入「舌体功能受限」的新难题,显然也不是最佳方案。

那么到底该怎么治疗呢?


先把药「锁」起来

褚涵文想到了一种他曾在脑外科和胸外科见到过的材料:纤维蛋白胶。

这是一种果冻样的材料,具有良好的生物相容性,常在不少外科手术中被用于止血。将两管液体分别置入管腔内,同时推动双管使之在出口处汇合,流动的液体就会立即凝固为果冻状的固体,覆盖创面,并持续发挥止血功效。

既然能够堵住血液,那么能否用这种凝胶把药物锁在病灶局部呢?

实际上,这样的想法早在几年前就已经被褚涵文及其团队变为了现实。他们用博来霉素溶液与护固莱士止血凝胶的 A 管溶液融合,同时推动 A、B 两管,载着博来霉素的液体在出口处瞬间被锁在止血凝胶内。[3]

img

包含药物和凝胶的双管注射器

博来霉素可以通过损伤血管内皮细胞,引发局部炎症反应,从而导致血管壁闭塞、纤维化,最终使血管畸形区域萎缩。

「普通的静脉给药,博来霉素的利用率一直不高,如果加大剂量则可能引发其他系统的并发症。」

褚涵文介绍,利用上面的凝胶方法,就可以将博来霉素固定在病灶局部,持续对畸形的血管发挥作用,有效提高了药效。「而且,凝胶还能形成局部栓塞、中断血流,这也能促进血管的萎缩。」

img

利用这种方法,褚涵文在最近的四五年间已经陆续帮助了近 90 位患者。

不过,对于开头提到的这位患者,仅仅是凝胶锁药恐怕依然不够。「体积实在是太大,几乎是我们团队碰到最夸张的病例,除了药物控制,还必须进行手术切除。」

但谁先谁后又成了问题。

经过全院多学科的 MDT 讨论后,考虑到术中大出血风险,治疗团队最终确定——先利用凝胶法多轮注射化疗药物,等肿物缩小后,再行手术切除。


为期 14 个月,完成出血仅 50mL 的「保舌之战」

就诊后一周,患者接受了第一次「凝胶化疗」。局部消毒后,治疗团队向患者的病灶腔内注射了博来霉素和护固莱士的混合液,术后反应良好,患者仅仅经过一次注射就有了明显的血管萎缩效果。

之后,患者一直往返于两地接受注射治疗,很快就过去了半年多。

漫长的治疗过程和长远的距离,让患者家属打起了退堂鼓。与此同时,治疗团队里也有几位医生认为,已经到了可以手术的状况。

于是,MDT 讨论再次召开。认真评估患者新的病变范围后,大部分医生还是觉得手术存在巨大的出血风险。此外,如果这个时间进行手术切除,仅存的舌体组织将难以维系正常的语言和吞咽功能,还需要进行舌体再造治疗。

权衡再三,治疗团队一致觉得,继续注射治疗。

img

治疗过程示意图

患者左下唇的静脉畸形在 2 次治疗后基本恢复正常,舌根部的静脉畸形区域在每次治疗后都有更多正常组织逐渐形成,直到接受了 8 次注射治疗后,病变范围较前明显减少,正常的舌体组织明显增多,手术时机终于成熟。

此时距离患者首次就诊,已经过去了近 14 个月。

向血库申请来 800mL 备血后,患者进入手术室。全麻后消毒、铺巾,手术正式开始。

打开患者咬合部位后,牵拉舌体向上,可见舌部肿物大小约有 13cm*8cm。褚涵文沿着病损周围进行钝性分离,一个不落地将周围的血管一一结扎,然后用超声刀沿肿物表面舌体切开舌粘膜,暴露肿物,完整剥离肿物。

img

仅专业人士可见

与此同时,为了尽可能减少术中出血,褚涵文在切口周围也注射了博来霉素+护固莱士的混合液。

切除肿物后,为了恢复患者的舌部形态和功能,褚涵文将创口对位间断缝合,这样就形成了一个新的舌头。

手术终于结束,最后出血量仅为 50 mL。

术后 12 天,患者的面容得到显著的改善,缩小的病损也没有复发迹象,顺利出院。

img

仅专业人士可见

img

仅专业人士可见

患者术后面容

静脉畸形 (15)
血管畸形 (16)
纠错
15 16 39
同行评议(3)
已评议
不开通精选
开通精选
精选已授权,待上线
评议结果暂未公布
参与评议
去邀请
5.0
病例完整5.0
临床实用5.0
诊疗科学5.0
学术价值5.0

全部讨论(0)

默认最新
avatar
15
分享帖子
share-weibo分享到微博
share-weibo分享到微信
认证
返回顶部