治疗后未做冠使用一年出现隐裂
雪里一片清净 推荐患者去年底做的一颗下7rct,根充结束后无症状建议做冠,患者不想做。嘱咐不能咬硬物
今年上半年来复诊近中食物嵌塞,重新充填近中依然建议做冠,患者还是说考虑考虑。
最近又来了几次还是塞牙的问题,患者自己想做冠,但是牙齿1度松动牙周较差,牙齿轻微扣痛,后方还有一颗埋伏度智齿,重新充填后龈上洁治后嘱咐观察
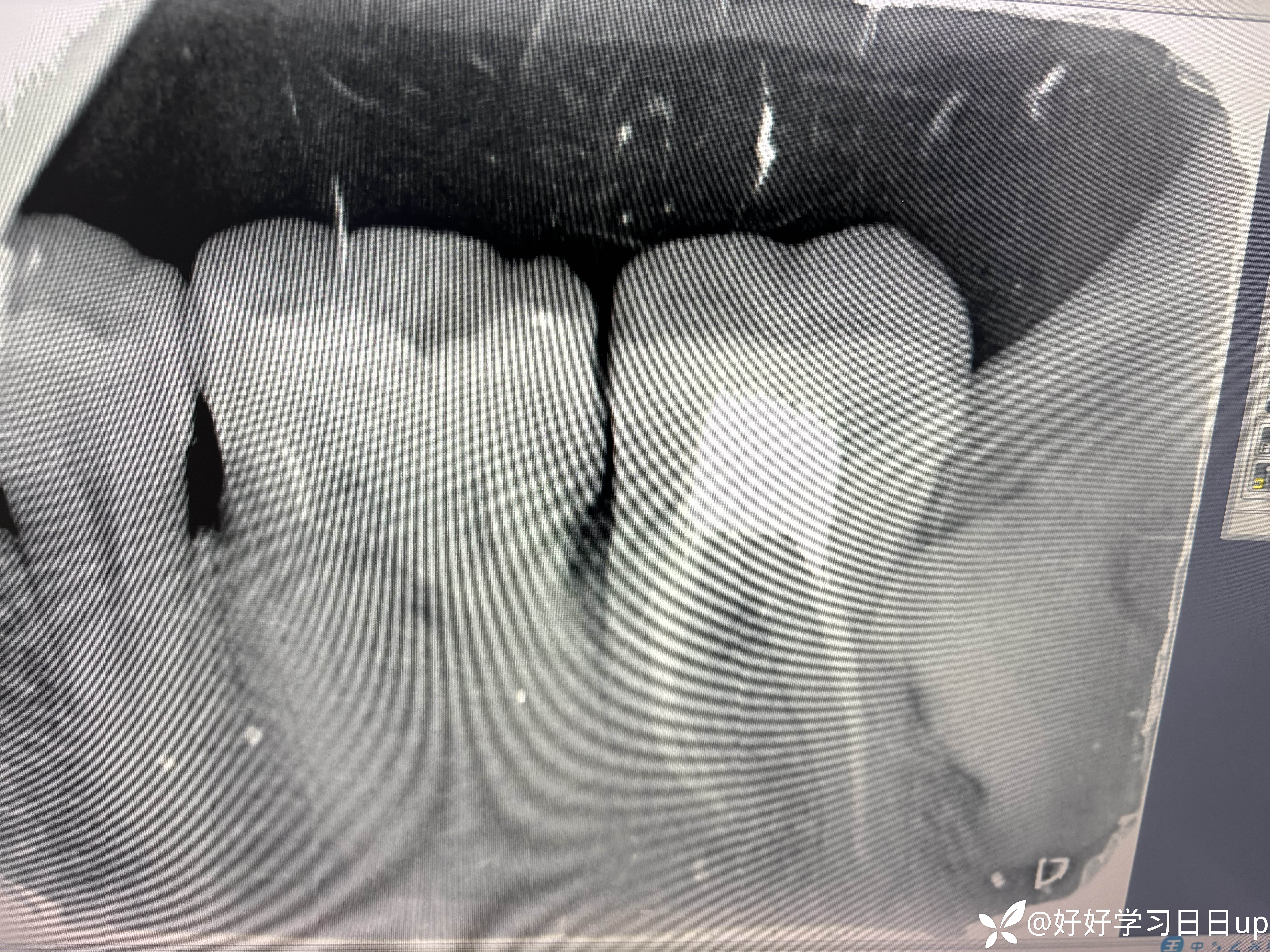
今天来了说肿了补的位置牙线用的过程中掉了一块,口内看可能是牙周脓肿,于是拍了一张根尖片,感觉不是根管引起的瘘管,引流脓液,洁治后,发现近中缺损部位疑似隐裂,拆除充填体发现隐裂贯穿近远中但是裂的位置卡不进探针,再次向下打磨隐裂部位,本来想完全去除隐裂,但没想到裂的还是比较深害怕抗力越来越差,跟患者说可能需要拔除,或者降低咬合后续观察,患者选择降低
我当时的想法是做一个树脂嵌体,但是想想好像也没作用,直接流体填起来降低到咬不到,颌面流体颊舌向做了一道杠想着给牙一个像中心的力量(瞎搞的也是没招了),老师们遇见这种是直接建议拔除还是有其他方法?是隐裂引起的脓包吗?
























































