求助|这样为啥患者会四肢瘫,神志清楚
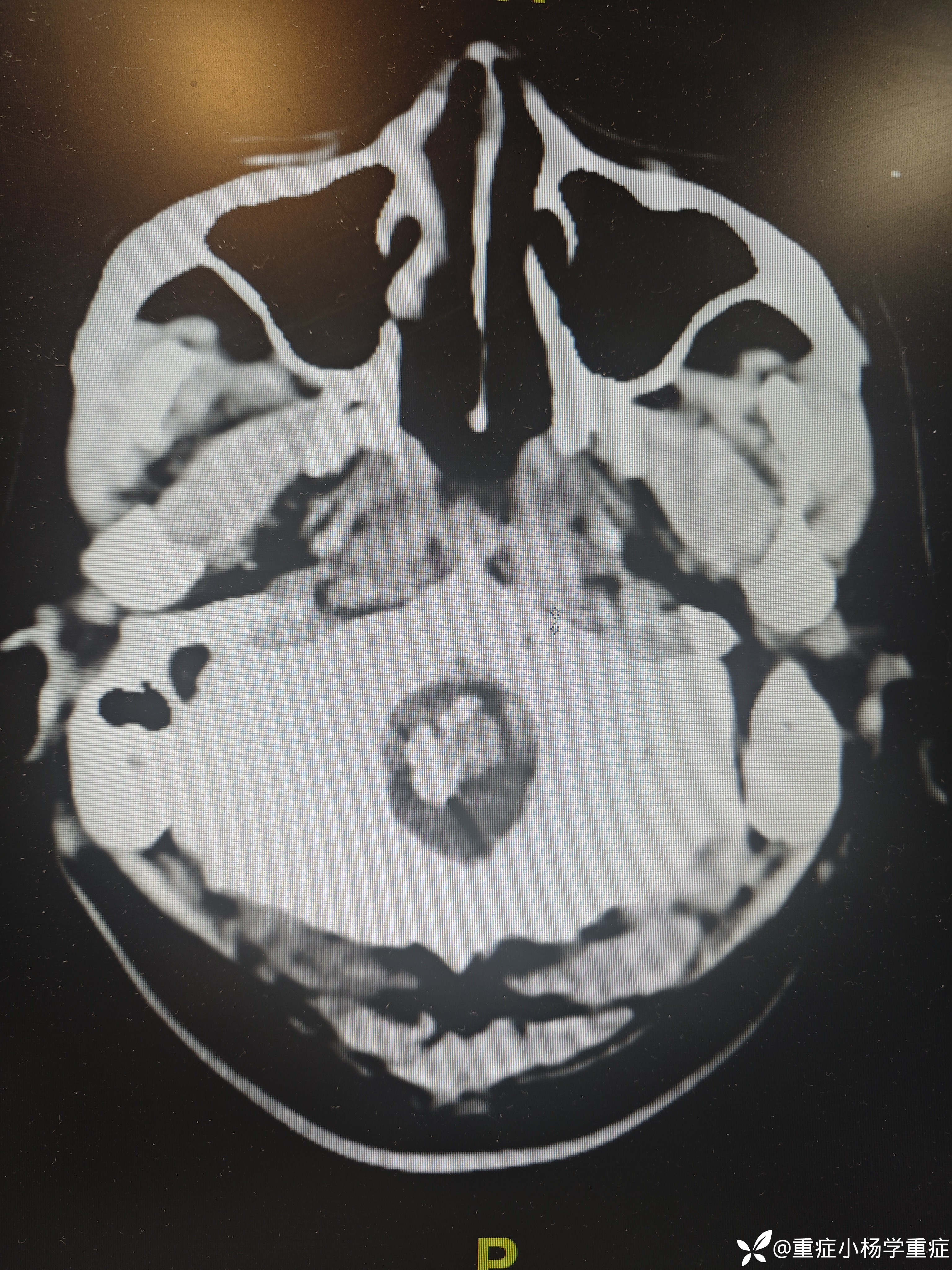
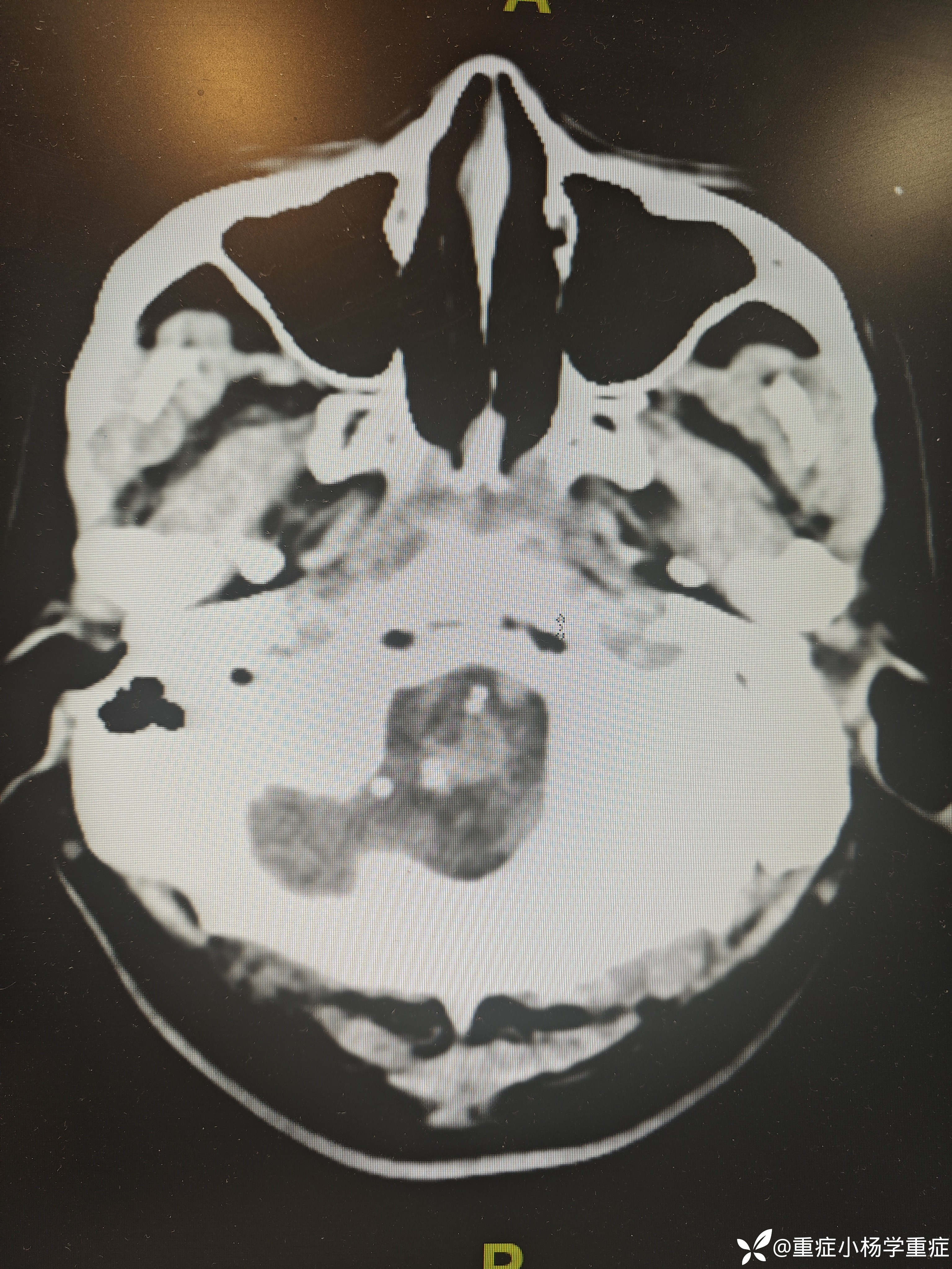
飞跃迷雾1 达人已点赞因“代:脑出血术后2月余,痰多伴呼吸困难1小时”入院。因头痛至医院检查ct提示蛛网膜下腔出血,后完善CTA提示脑血管畸形,至省内医院行介入栓塞后出现脑梗塞,考虑压迫延髓导致呼吸功能损伤,术后第二天予以气切,后出现四肢瘫痪,近期ct如下









这还有什么补救措施么?老师们
主要是神经系统的治疗和脱机方面的经验,谢谢了。
飞跃迷雾1 达人已点赞因“代:脑出血术后2月余,痰多伴呼吸困难1小时”入院。因头痛至医院检查ct提示蛛网膜下腔出血,后完善CTA提示脑血管畸形,至省内医院行介入栓塞后出现脑梗塞,考虑压迫延髓导致呼吸功能损伤,术后第二天予以气切,后出现四肢瘫痪,近期ct如下









这还有什么补救措施么?老师们
主要是神经系统的治疗和脱机方面的经验,谢谢了。
