慢性言语不利—小脑性共济失调的诊疗梳理
病例信息
44岁女性
主诉:言语不利1年
现病史:1年来逐渐出现言语不利,听理解能力不受影响,偶有饮水呛咳,未正规诊治,逐渐加重。
既往史:体健。
查体:神志清楚,智能正常,构音障碍,眼动充分,无眼震,双侧鼻唇沟对称,伸舌居中,四肢肌张力正常,四肢肌力V级,双侧指鼻试验、跟膝胫试验欠稳准,闭目难立征阴性,浅感觉检查无明显异常,双侧babinski征阴性,脑膜刺激征阴性,无不自主运动。
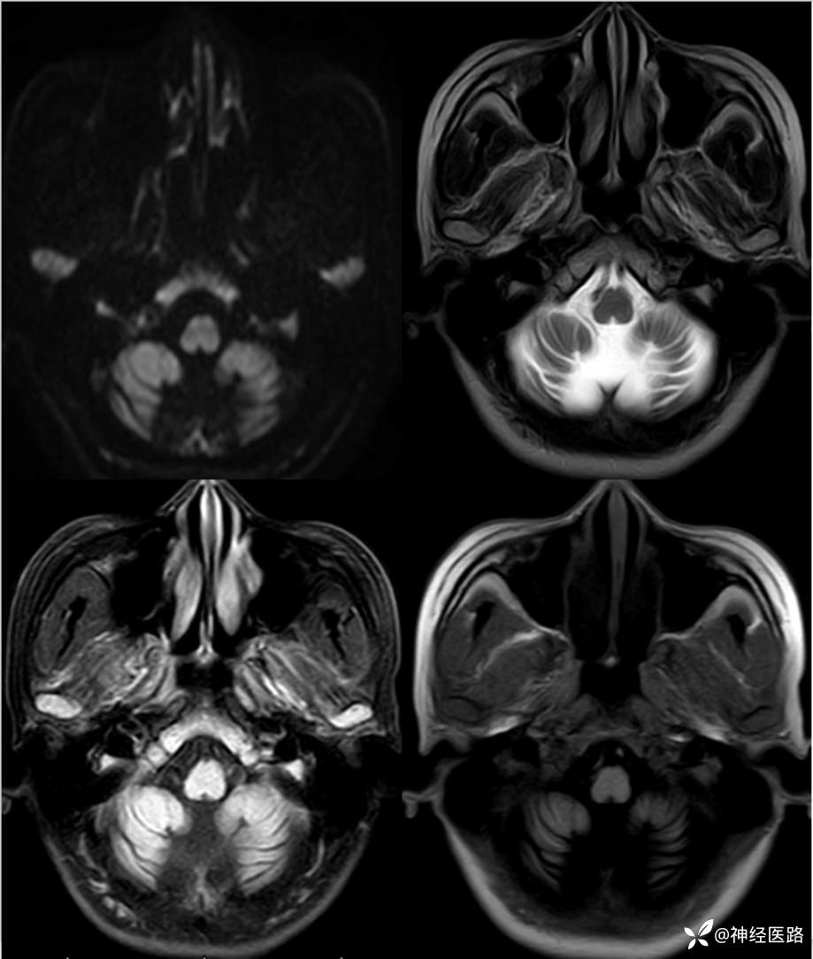
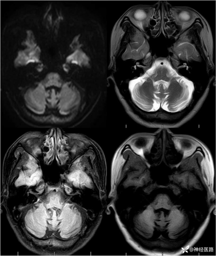
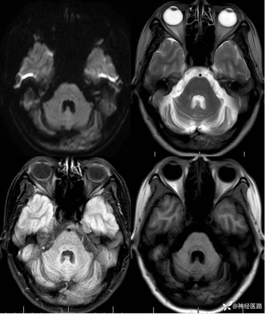
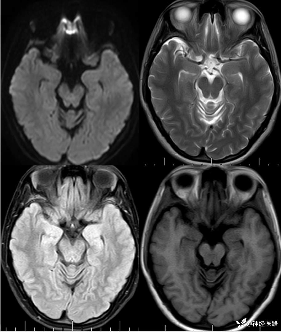
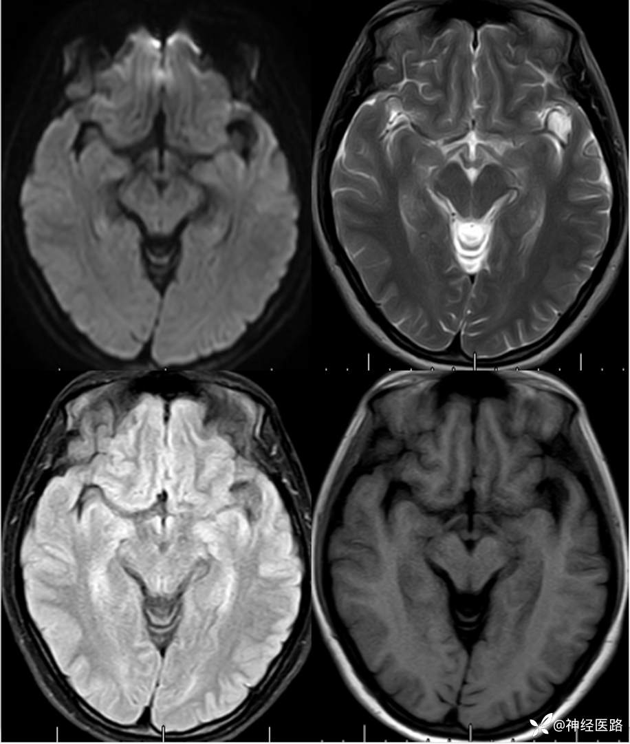
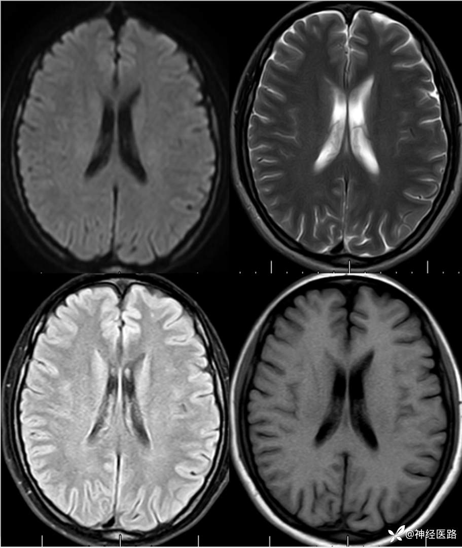
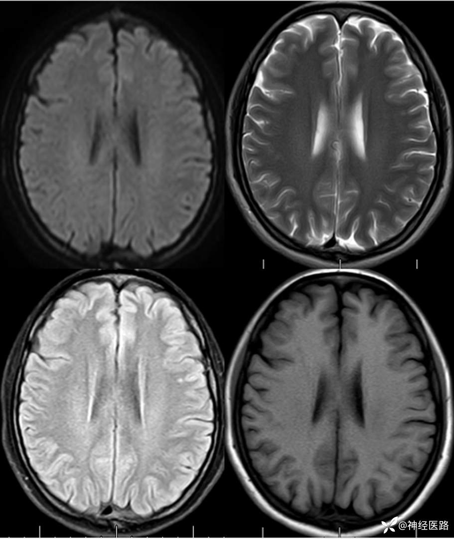
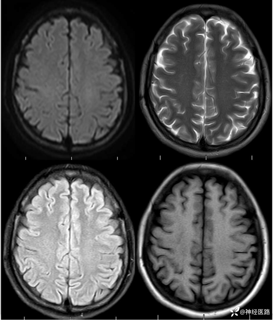
辅助检查:头部磁共振: 1.左侧额叶及右侧顶叶白质内高信号,请结合临床及相关检查。2.双侧小脑半球脑萎缩。3.部分颅骨信号增高。















病例讨论
进行性言语不利,头部磁共振提示小脑萎缩,考虑小脑性共济失调,下一步如何诊治?
一、小脑性共济失调见于哪些疾病?
1.代谢性疾病:Wernicke脑病、亚急性联合变性、中枢神经系统表面铁沉积症、维生素B1缺乏、维生素B7缺乏、维生素B12缺乏、维生素E缺乏
2.感染:EB病毒、流感病毒、腮腺炎病毒、单纯疱疹病毒、水痘-带状疱疹病毒、柯萨奇病毒、轮状病毒、埃可病毒、CJD、JC病毒、HIV、李斯特菌、布鲁菌、结核杆菌、Whipple病、神经梅毒、神经Lyme病
3.神经退行性疾病:MSA、PSP、不明原因的散发性成年起病型共济失调(sporadic adult onset ataxia,SAOA)
4.肿瘤性疾病
5.免疫性疾病:血管炎、OMA、多发性硬化、ADEM、Miller-Fisher综合征、Bickerstaff脑干脑炎、抗神经束蛋白155抗体阳性的慢性炎性脱髓鞘性多发性神经根神经病、桥本脑病、狼疮脑病、干燥综合征、副肿瘤性ACA(抗Yo、抗Hu、抗Tr、抗Ri、抗KLHL11、抗两性蛋白抗体)、抗谷氨酸脱羧酶(GAD)小脑共济失调、抗mGluR1小脑共济失调、原发性自身免疫性小脑共济失调(PACA)、自身免疫性脑炎相关小脑共济失调、谷蛋白共济失调(GA)
6.内分泌:甲状腺功能减退或亢进
7.遗传性疾病:SCA、DRPLA(齿状核红核苍白球路易体萎缩症)、亚历山大病、CANVAS、RFC1相关共济失调、脑白质营养不良、肝豆状核变性、Refsum病、尼曼-匹克病C型(NPC)、遗传性痉挛性截瘫(HSP)复杂型、甲基丙二酸血症、FRDA、CTX、ARSACS、AT、AOA、AVED、FXTAS、亨廷顿病、EA(发作性共济失调)、Kufs病、戈谢病、唾液酸沉积症、线粒体病(MELAS综合征,MERRF综合征,KSS综合征,Leber遗传性视神经病变,Leigh综合征,周围神经病、共济失调和视网膜色素变性综合征)、NBIA(婴儿神经轴索营养不良、不典型INAD、脂肪酸羟化酶相关性神经变性病、神经铁蛋白病、血浆铜蓝蛋白缺乏症)、 Hartnup病、早发性小脑性共济失调伴反射保留、Unverricht-Lundborg病、Lafora病、2-羟基戊二酸尿症、无β脂蛋白血症、佩梅病、 Roussy-Levy综合征
8.中毒:酒精、抗癫痫药物(苯妥英钠、苯巴比妥)、锂盐、胺碘酮、抗肿瘤药物(5-氟尿嘧啶和阿糖胞苷)、环孢霉素、甲硝唑、多粘菌素、重金属(砷、铊、锰、汞)、有机溶剂
9.血管性疾病
10.其它:正常颅压脑积水、小脑扁桃体下疝畸形、脑干先兆偏头痛、进行性共济失调和腭震颤(PAPT)、心因性共济失调、良性阵发性斜颈
红色字体于成年前发病。
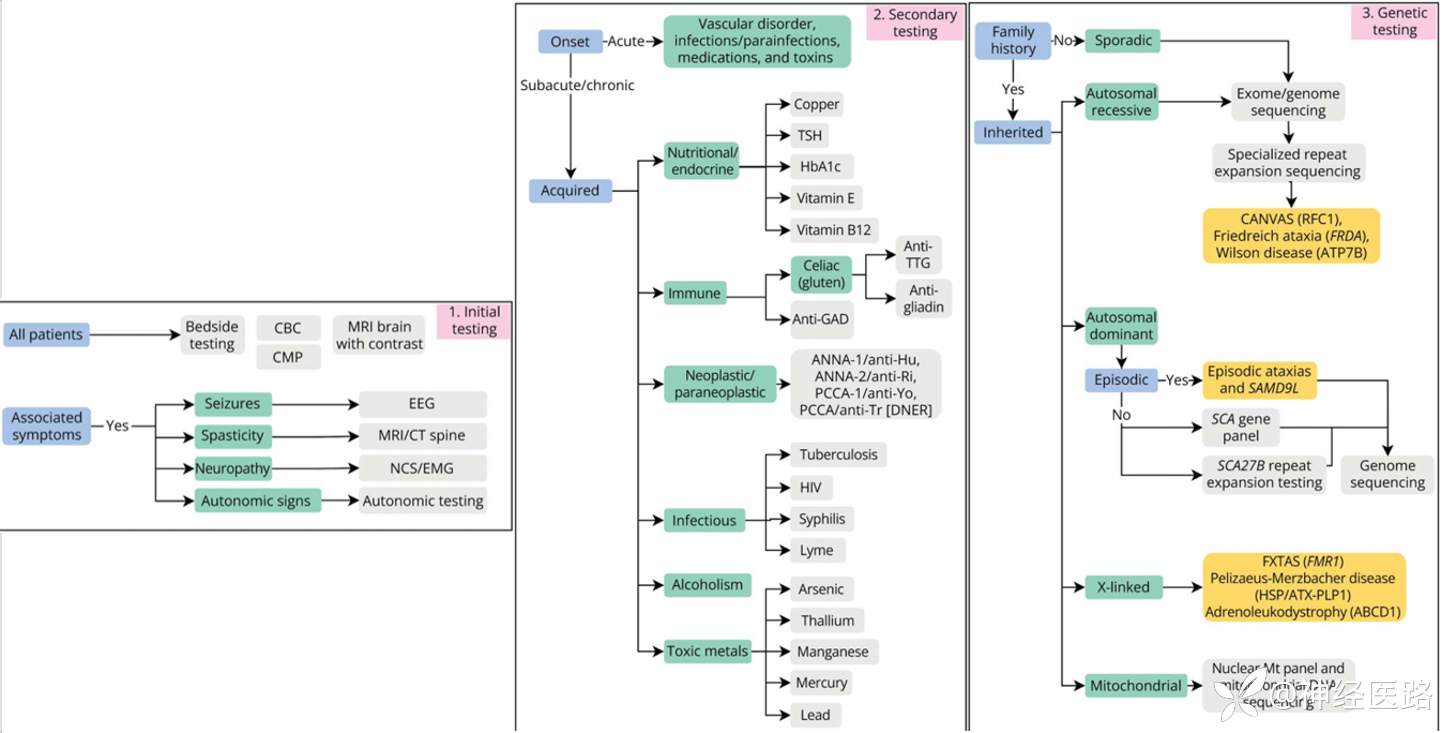
二、小脑性共济失调的诊断流程?

1.初始评估
①所有患者:
血常规
血生化:谷草转氨酶、谷丙转氨酶、碱性磷酸酶、白蛋白、总蛋白、球蛋白、总胆红素、钙、钠、钾、氯、二氧化碳、阴离子间隙、葡萄糖、肌酐、尿素氮、肾小球滤过率
脑平扫及增强
②根据症状需进行相应检查:癫痫(脑电图)、痉挛(脊髓MRI/CT)、周围神经病(神经传导速度/针极肌电图)、自主神经体征(自主功能检测)
2.次级评估(获得性共济失调)
急性:血管性疾病、感染/副感染、药物、中毒
亚急性/慢性:①营养/内分泌:铜、TSH、糖化血红蛋白、维生素E、维生素B12
②免疫:乳糜泻(谷蛋白),检测抗TTG抗体、抗gliadin抗体;抗GAD抗体
③肿瘤/副肿瘤:抗Yo、抗Hu、抗Tr、抗Ri抗体
④感染:结核、HIV、梅毒、莱姆病
⑤酒精
⑥金属中毒:砷、铊、锰、汞、铅
3.基因检测(遗传性共济失调)

三、成人小脑性共济失调的诊断流程?


四、散发性晚发型小脑性共济失调(40岁以上的散发性小脑性共济失调)见于哪些疾病?
1.主要获得性病因
①自身免疫和炎症:自身免疫性小脑性共济失调、谷蛋白共济失调、原发进展型多发性硬化、CLIPPERS、COVID-19、感染后小脑炎、白塞氏病、SLE
②神经退行性疾病:MSA、PSP、CJD
③感染性疾病:PML、Whipple病、梅毒、莱姆病、HIV、EBV
④中毒:酒精、汞、甲苯、氯乙烷、锂、胺碘酮、免疫抑制剂、抗癫痫药物、甲硝唑
⑤其它:幕下型表面铁沉积症、小脑扁桃体下疝畸形、维生素B1缺乏、维生素B12缺乏、维生素E缺乏、ECD
2.主要遗传性病因
①非编码区扩增:SCA27B、CANVAS、FXTAS、FRDA
②编码区扩增:SCA1、SCA2、SCA3、SCA6、SCA7、SCA17、齿状核—红核—苍白球—路易体萎缩症(DRPLA)
③编码区单核苷酸突变:SCA48、EA2、SPG7、SANDO、SCAR8、原发性辅酶Q10缺乏症
④线粒体疾病:MELAS、MERRF
3.提示病因的临床特征

SCA7:视网膜变性
SCA27B:发作性共济失调或复视,下跳性眼震
SPG7:视神经病、痉挛
VLOFA:视神经病、感音神经性耳聋、方波急跳、痉挛
线粒体病、抗KELCH11小脑性共济失调、表面铁沉积症:感音神经性耳聋
CANVAS:前庭反射消失、慢性咳嗽
抗IgLON5小脑性共济失调:喘鸣、泌尿生殖功能障碍
抗Ri小脑性共济失调:眼阵挛
MSA:喘鸣、肌阵挛、体位性低血压、痉挛、泌尿生殖功能障碍
自身免疫性小脑共济失调、CJD:肌阵挛
FXTAS:震颤、周围神经病
CANVAS、VLOFA、酒精性小脑变性:周围神经病
抗IgLON5小脑性共济失调、MSA:快速眼动睡眠障碍
小脑扁桃体下疝畸形:下跳性眼震
PPMS:痉挛
五、问题
1.经过严谨的评估,最终诊断会是什么?
2.如果考虑SCA,那么符合入院标准吗,继续在门诊进行检查?
参考文献:1.Nat Rev Neurol. 2025 Sep 22.
2.Pract Neurol. 2019 Jun;19(3):196-207.
3.中华神经科杂志, 2024, 57(4): 315-325.
















































