反复呕吐数月后出现意识障碍
病例信息
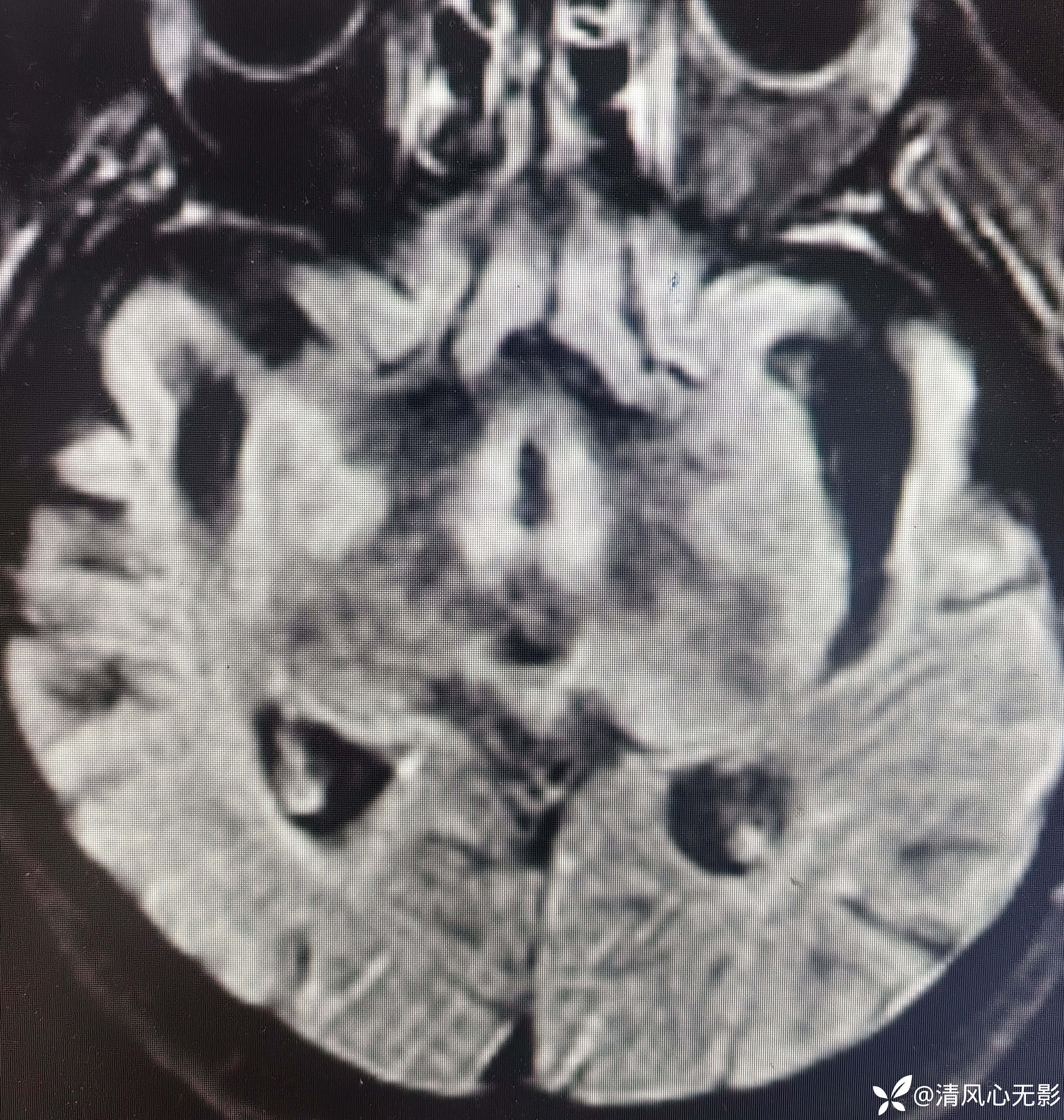
患者老年女性,反复呕吐4月,意识障碍1周。
既往有高血压、糖尿病、精神分裂症病史。
入院查颅脑MRI:




查血脱髓鞘抗体阴性。
诊断:韦尼克脑病
予肌注维生素B1、控制血压血糖、营养支持、补充叶酸及甲钴胺等治疗。
患者神志转清。
病例信息
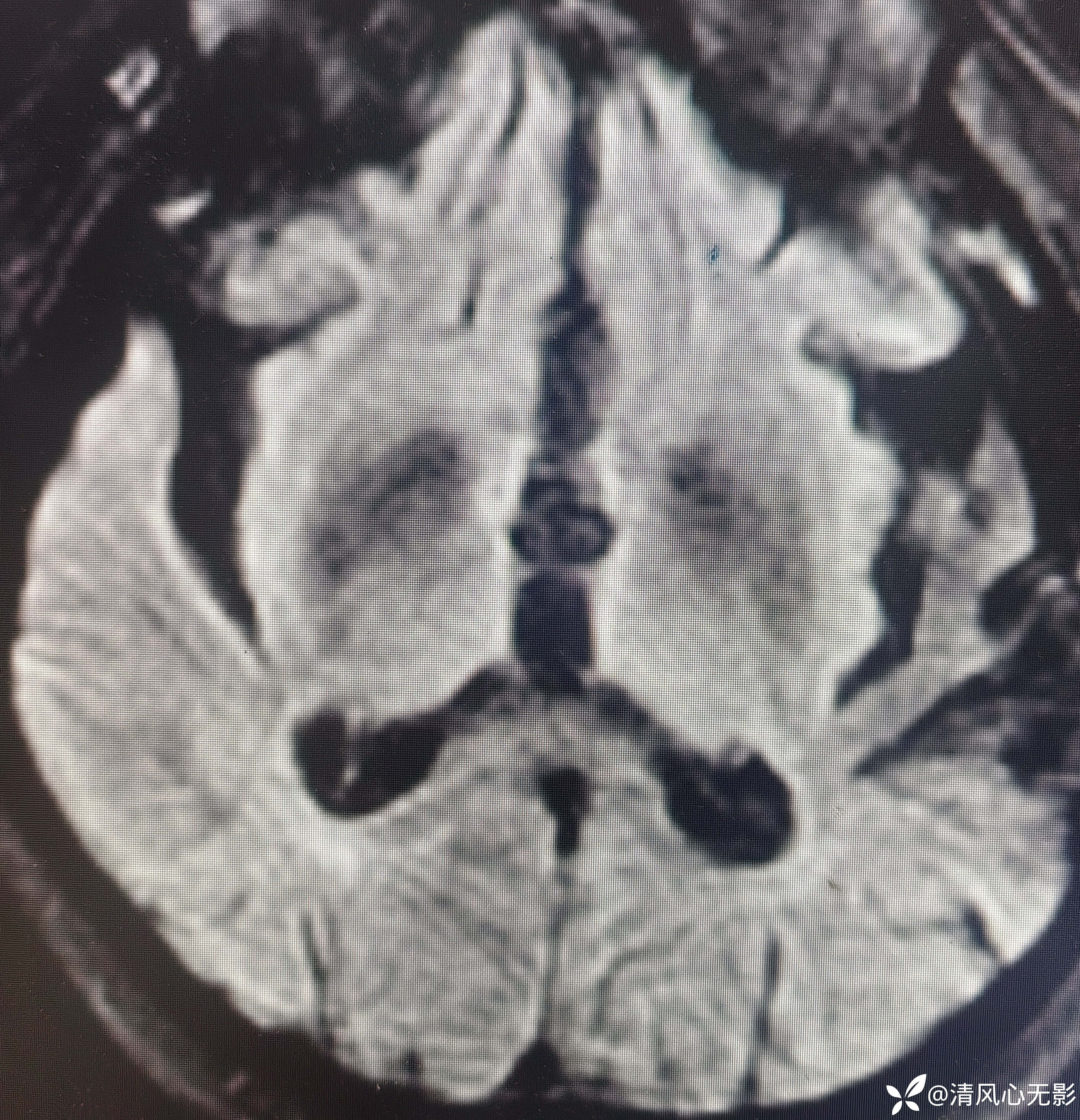
患者老年女性,反复呕吐4月,意识障碍1周。
既往有高血压、糖尿病、精神分裂症病史。
入院查颅脑MRI:




查血脱髓鞘抗体阴性。
诊断:韦尼克脑病
予肌注维生素B1、控制血压血糖、营养支持、补充叶酸及甲钴胺等治疗。
患者神志转清。
