这个杀手太冷漠之脑干梗死
青鹊词 推荐病例信息
老年女性,主因“头昏头晕伴乏力1周,加重1天。”入院。
神经系统阳性体征:双下肢肌力4级,双侧病理征阳性,余无特殊。
药物保守治疗。

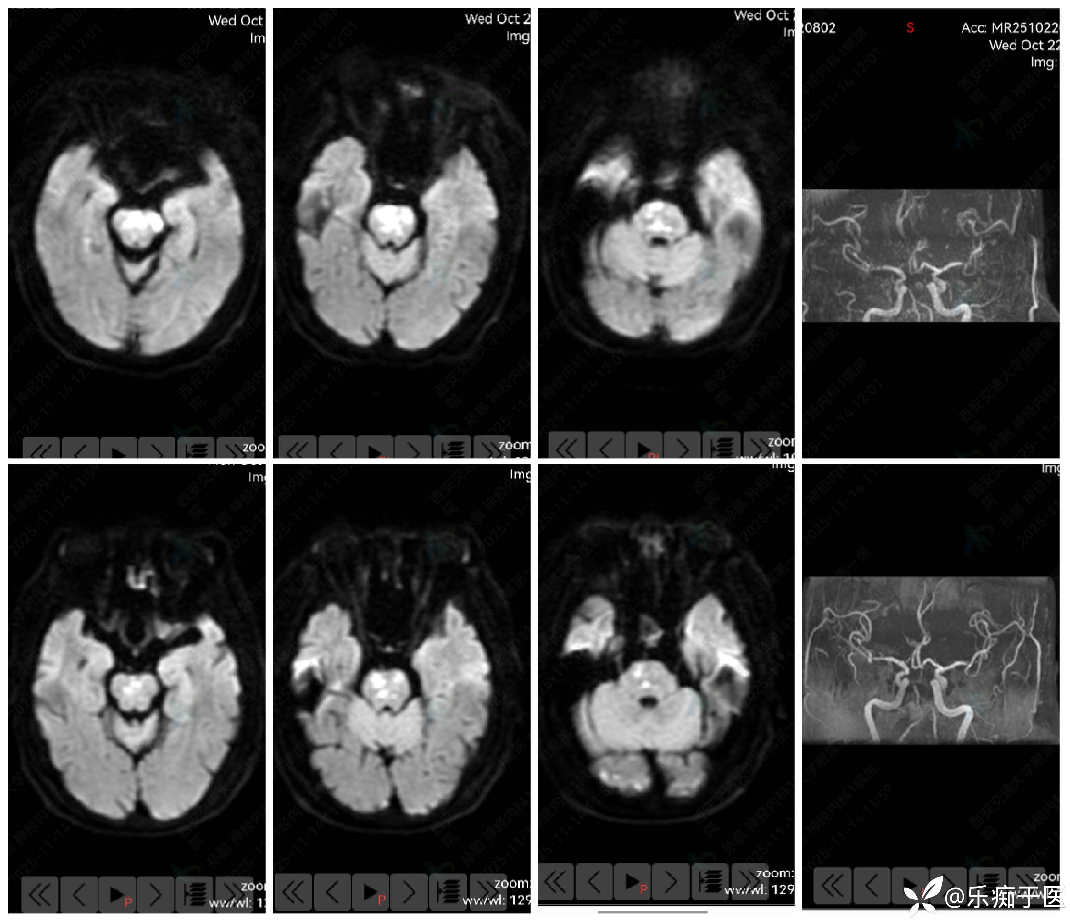
上:加重后 下:加重前
加重后:嗜睡,构音障碍明显加重,中枢性面瘫,右侧肢体2级,左侧肢体肌力3级,双侧病理征阳性。
谈取栓,患者家属拒绝。
造影

病例讨论
你还遇到哪些“冷面杀手”?
青鹊词 推荐病例信息
老年女性,主因“头昏头晕伴乏力1周,加重1天。”入院。
神经系统阳性体征:双下肢肌力4级,双侧病理征阳性,余无特殊。
药物保守治疗。

上:加重后 下:加重前
加重后:嗜睡,构音障碍明显加重,中枢性面瘫,右侧肢体2级,左侧肢体肌力3级,双侧病理征阳性。
谈取栓,患者家属拒绝。
造影

病例讨论
你还遇到哪些“冷面杀手”?
