消化道穿孔遇上小肠憩室
黄洋峰医生 达人已点赞病例信息
【患者信息】:患者,男,21岁
【主诉】:以“间断上腹部隐痛2天,加重6小时为主诉入院”
【现病史及既往史】:2天前患者无明显诱因出现上腹部隐痛,无放射痛,无发热,恶心,呕吐,黄疸,呕血,黑便等不适,在当地诊所口服中药,具体不详,症状无明显缓解,于昨日下午18点左右至我院门诊行腹部ct检查,(由于属于急诊ct,结果未及时报出,患者等待检查结果过程中自行返家,此时患者仍为隐痛),于晚20点左右,进食豆浆约300ml,小笼包3个。21点左右出现上腹部剧痛,坚挺至第二日凌晨4点再次于我院就诊,遂以“腹痛查因”为诊断收住入科,发病以来,患者神志清,精神欠佳,大小便未排。
既往患者体质一般,(着重强调一下,患者21岁,外卖小哥,身高170cm,体重46kg,体型消瘦,一副营养严重不良体貌),
【检查】:查体,板状腹,全腹压痛伴反跳痛,腹膜刺激征阳性,肝浊音界消失,肠鸣音减弱,(大概率穿孔)
调取门诊病例信息
ct,


(大家可以通过胸腹腔轮廓了解患者体型)

ct报告单实际上是手术后才审核出来的,这是后话
在ct结果未实际出具时,自行阅片:腹腔有渗出,盆腔有积液,阑尾有粪石,未见游离气体影,肠道结构紊乱,肠内容物较多。
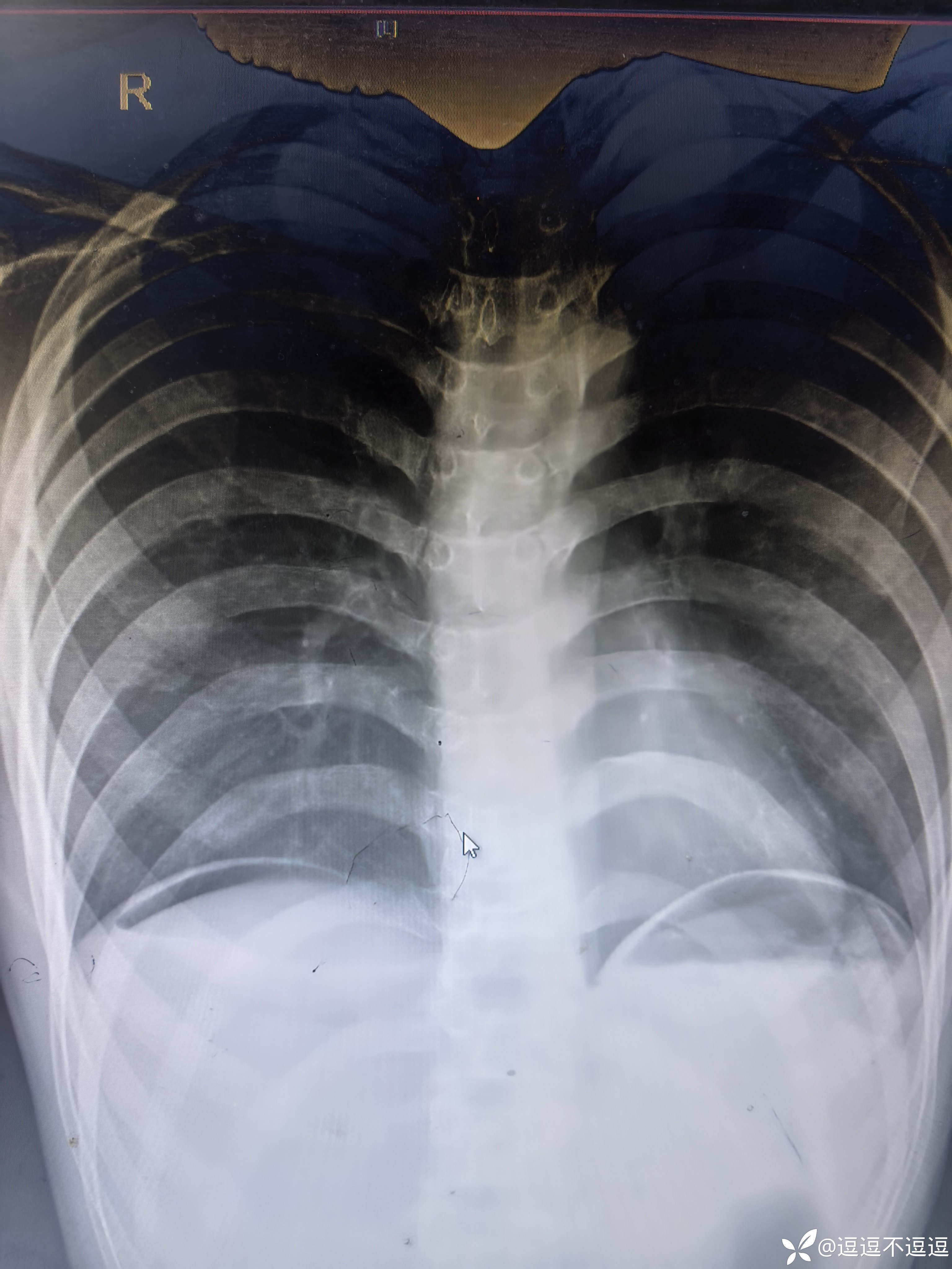
目前患者腹痛加重6小时,结合查体,考虑消化道穿孔,毕竟ct刚做过,那就在做个腹部立位平片

这张膈下新月型的游离气体影很典型
【临床诊断】:①急性弥漫性腹膜炎,②消化道穿孔
【治疗经过及结果】:
这例毫无疑问要手术治疗,腹腔镜探查一下


患者不是空腹穿孔,腹腔大量胃内容物溢出及脓性渗出物约600ml,腹腔感染重,行胃穿孔修补术。术中大量温盐水冲洗腹腔,顺便探查,术中遇到如下图:

这是阑尾吗?

这个病变实际位于空肠

来看一下阑尾,

上面钳子是阑尾,阑尾系膜清晰可见,阑尾充血,质硬,附脓苔!👇面钳子是憩室,

术后体征
病例讨论
这个病例穿孔毫无疑问,手术治疗是必须的。
针对此病例要探讨一下几点:
①患者腹痛门诊已经例行腹部ct,虽结果未出具,但和ct室老师沟通,当时的腹部ct未见穿孔。实际上审核后出具的ct报告仍未明确穿孔,不过患者手术已经做完。(希望有阅片经验丰富的老师们可以详细看一下以上ct影像,提供意见。)!
②患者再次突发腹痛,距离原来检查相隔3小时左右。虽说时间间隔相对较短,但绝不能有侥幸心理——依靠之前的检查来掩盖本次就诊的目的!只能说患者的进食加剧了穿孔的进程,而疾病的演变往往只差一个诱因。这例随后通过详细的查体也能的到诊断的方向,一张腹部立位平片也能发现问题,也可能仍需要再次做腹部ct检查。
遇到这种情况你会怎么处理……??
③对于本例术中探查的小肠憩室,这种情况下是否需要干预?你会怎么做?阑尾处理吗?(胃穿孔,腹腔感染重的,做修补术后,这种探查见到的小肠憩室希望一辈子别发炎!)
术后我和我的小伙伴探讨了处理本例疾病的心得
查体,查体,查体很关键!!!
遇到的每一例病人都要明确思路,不能以偏概全!不能盲目轻信辅助检查!毕竟是“只是辅助”
疾病的发生发展和演变需要过程,不能掉以轻心!!麻痹大意!!
















































