dxy logo
首页丁香园病例库全部版块
搜索
登录

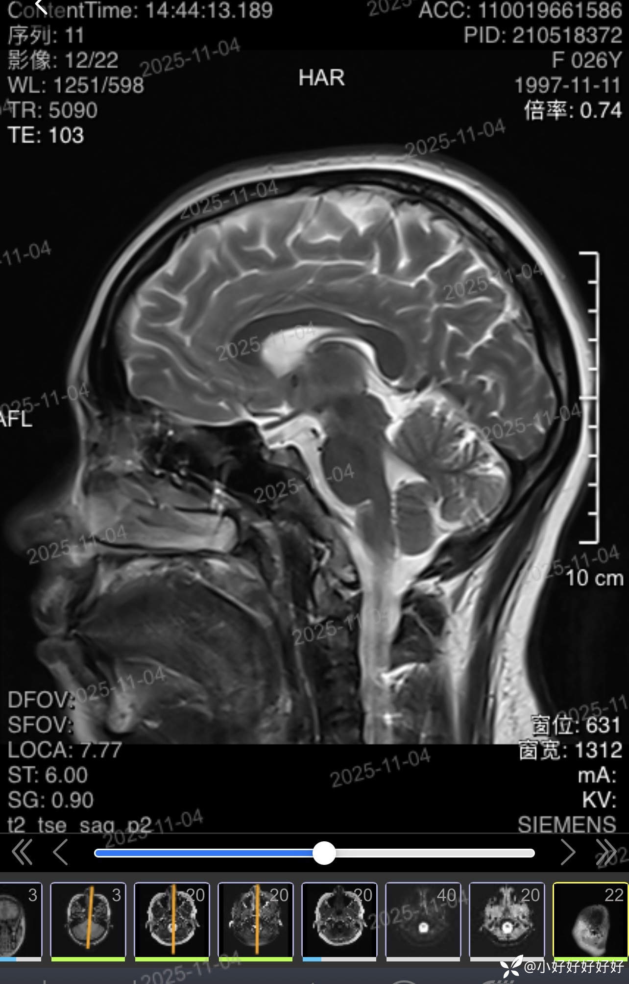
病例请教各位老师是脑萎缩吗?

神经科医师 · 发布于 11-04 · 来自 iOS · IP 浙江浙江
678 浏览

图1.2是病人现在的

图3是病人半年前的

这样是否异常?

img


img


img


脑萎缩 (58)
纠错
17 收藏1
同行评议(0)
已评议
不开通精选
开通精选
精选已授权,待上线
评议结果暂未公布
参与评议
去邀请
NaN
病例完整NaN
临床实用NaN
诊疗科学NaN
学术价值NaN

全部讨论(0)

默认最新
avatar
17
分享帖子
share-weibo分享到微博
share-weibo分享到微信
认证
返回顶部