dxy logo
首页丁香园病例库全部版块
搜索
登录

病例肾肿瘤1例

用户头像
泌尿外科版达人 · 发布于 11-03 · 来自 Android · IP 河南河南
1339 浏览

病例信息

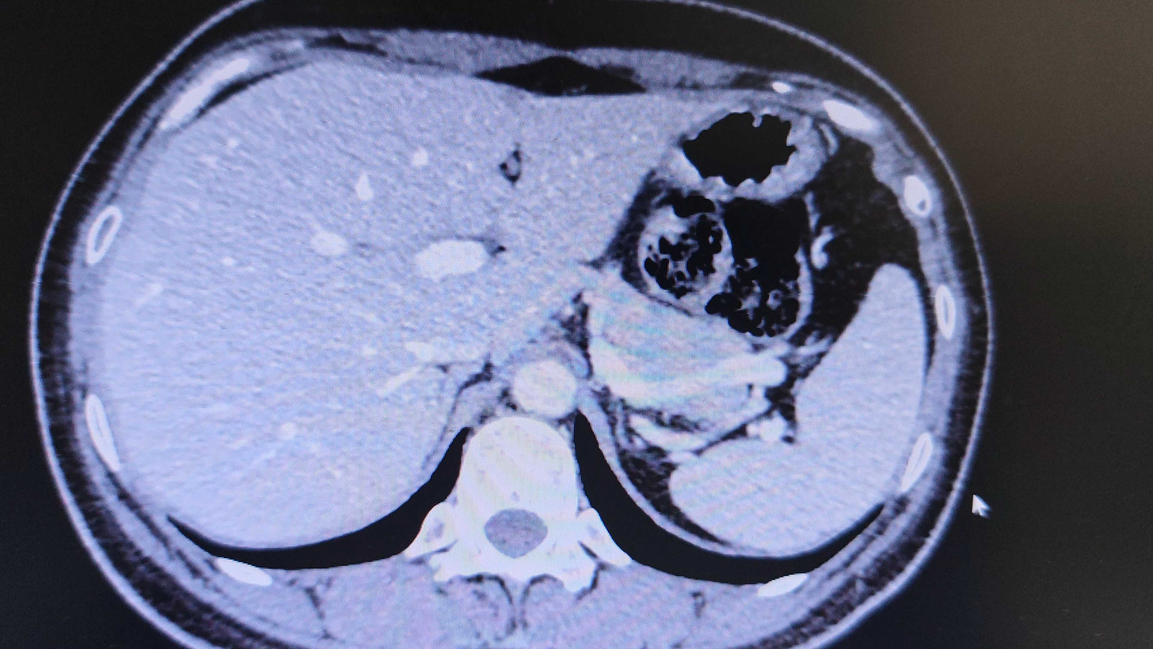
患者,女,43岁,体检发现肾肿瘤3天。

增强CT检查

previewplay video


previewplay video


病例讨论

肾部分切还是根治。

分享一例肿瘤病例
6005 讨论
肾肿瘤 (65)
纠错
2 收藏1
同行评议(0)
已评议
不开通精选
开通精选
精选已授权,待上线
评议结果暂未公布
参与评议
去邀请
参与病例讨论,解锁评议权益
您的专业意见将作为丁香园病例库收录的重要依据
NaN
病例完整NaN
临床实用NaN
诊疗科学NaN
学术价值NaN
评议
开分
入库

全部讨论(0)

默认最新
avatar
2
分享帖子
share-weibo分享到微博
share-weibo分享到微信
认证
返回顶部