在2020年明确的新疾病----VEXAS 综合征的其他表现
在此前讨了VEXAS综合征的全身症状、皮肤、血液、经典风湿病表现,今天讨论其他脏器表现。
2, 《在2020年明确的新疾病----VEXAS 综合征的临床表现概述》
3, 《在2020年明确的新疾病----VEXAS 综合征的皮肤表现》
4,《在2020年明确的新疾病----VEXAS 综合征的血液病表现》
5,《在2020年明确的新疾病----VEXAS 综合征的经典风湿病表现》
一,呼吸系统表现
呼吸道问题也是很常见的。
而2025年的一项目前最大宗的综述性报告[1]:呼吸系统症状是第三常见的症状;仅次于皮肤、全身炎症反应(即发热、体重下降、显著的疲倦乏力)。
我们先看一个较大规模的VEXAS综合征患者的呼吸系统表现研究[2]:
2020 年 11 月至 2021 年 5 月期间,法国 VEXAS 综合征队列的114人,其中51人进行了至少一次全吸气胸部 CT 扫描。
CT 扫描时的症状通常具有呼吸系统性质[2]:
- 呼吸困难(n = 23 名患者)、
- 咳嗽(n = 21 名患者)、
- 发热(n = 20 名患者)
- 呼吸功能不全(n = 6 名患者)
45例患者经判定后被认为存在VEXAS相关肺部受累,1例患者心力衰竭,2例患者肺部感染(COVID-19和水痘),3例患者仅表现出重力相关异常。
所有患者在 CT 扫描中均显示实质疾病迹象[2]:
- 最常见的是磨玻璃样混浊 (n = 39 [86.6%])。
- 共有 24 名患者出现胸腔积液,最常见的是少量 (95.8%)、单侧 (58.3%)和主要发生在右侧 (64.2%)。
- 只有一名患者出现肺纤维化体征(网状形成伴牵引性支气管扩张)。
- 纵隔腺肿大很常见(n = 26 [57.7%]),主要是< 20 mm(n = 24 [92%])和多发性(n = 19 [73.0%])。
- 没有患者表现出气管软骨炎的迹象。

VEXAS的代表性肺部 CT :机化性肺炎或感染 (A, B),非特异性模式 (C, D),提示心力衰竭 (E, F),参考2
放射学体征的聚类分析表明了三种不同的模式[2]:
1,图1 A,1B (n = 15);可能是机化性肺炎或感染的磨玻璃样病变和实变相关。
2 ,图 2C, 2D (n = 18); 相关病变程度较轻,通常为单侧且并非感染、机化性肺炎或心力衰竭的临床表现,包括肺不张、支气管扩张、较少见的结节,最常见的是胸腔积液。
3,图 2E、2F (n = 13);纵隔腺肿大、磨玻璃样病变、以及可能是心力衰竭引起的始终存在的双侧受累的胸腔积液。
治疗反应提示,抗感染和利尿剂无效的肺部浸润病灶,在泼尼松龙>20mg/d后表现出一致改善[2]。
另一项研究分析了支气管肺泡灌洗数据,显示42%的病例存在中性粒细胞性肺泡炎,提示肺实质内存在活跃的炎症过程[3]。
上述研究证实,VEXAS综合征患者的肺部病变是自身炎症性的,而非感染性的;但可以并存感染病变。
还可以看到一个综述性研究报告指出,269例VEXAS患者[4]:
- 最常描述的肺部表现是浸润(43.1%;n = 116),
- 其次是胸腔积液(7.4%;n = 20)和特发性间质性肺炎(3.3%;n = 9)。
- 其他肺部表现为:非特异性间质性肺炎(n=1)、闭塞性细支气管炎(n=3)、肺血管炎(n=6)、支气管扩张(n=1)、肺泡出血(n=1)、肺栓塞(n=4)、支气管狭窄(n=1)和肺泡炎(n = 1)。
几名患者患有一种或多种并存的自身免疫/炎症疾病[4]。
由此可以发现,肺部浸润性病变是常见的。但这可能会被误诊为普通的感染性疾病。
二,眼部
VEXAS综合征患者的眼部症状是诊断的重要提示。
在新近的一项VEXAS综合征的临床表现综述里指出的表现有[1]:眶周水肿(20.0%)、眼眶炎症 (14.9%)、巩膜外炎 (10.7%)、巩膜炎 (10.2%) 和葡萄膜炎 (8.9%)。
国际AIDA网络登记研究发现,VEXAS综合征的复发性多软骨炎(RP)与眼眶/眼部受累之间存在显著关联(相对风险:2.37,95%CI:1.03–5.46,P = 0.048),提示存在潜在的 共同致病机制[5]。

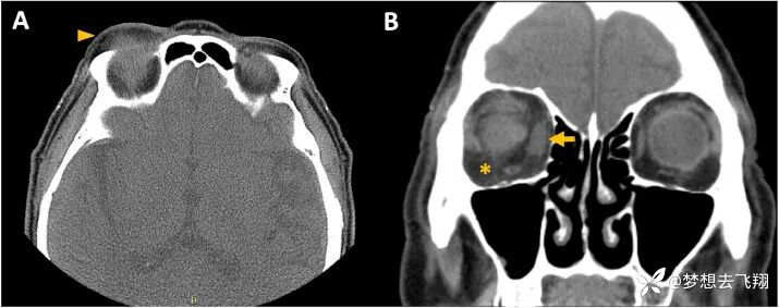
VEXAS综合征患者的眼眶CT,参考5
对上图的解释:显示轴向 (A) 和冠状 (B) 平面的眼眶计算机断层扫描 (CT),显示睑/眶周水肿(箭头)、锥内脂肪搁浅(眼眶蜂窝织炎)(星号)和内直肌扩大(眼眶肌炎)(箭头)在一名 77 岁男性 VEXAS 综合征患者右眼。
三,骨骼肌肉
尽管许多研究报告了VEXAS的关节痛或炎症性关节炎,但值得注意的是,大多数研究(包括所有病例系列)没有具体说明其评估关节受累的方法,很少报告放射学结果[1]。
缺乏标准化的评估方案和先进成像方式的使用有限(例如 超声波或 MRI)可能导致低估关节受累的患病率和严重程度。需要进行全面的肌肉骨骼成像研究,以正确表征关节疾病的模式、范围和演变,并评估基因型-表型模式。
虽然很少见,但已有3例VEXAS相关肌炎的记录,其特征是MRI证实的肌肉炎症,尽管肌酸激酶水平正常或轻微升高[6]。
四,其他脏器
1,神经系统
神经学特征的相对罕见。1例病例报告VEXAS伴Lewis和Sumner综合征,这是一种免疫介导的周围神经病变,伴有神经传导检查和特征性活检异常;其他罕见表现包括:视神经炎、无菌性脑膜炎、炎性假瘤、中枢神经系统血管炎和菱脑炎[1]。
2,心脏
法国299例患者的大型队列的最新数据提供了额外的见解,显示2.7%的心脏事件和1.7%的非缺血事件[6]。该论文指出,这些非缺血事件发生在炎症发作期间,提示全身炎症与心脏病理学之间存在机制联系。
3,泌尿生殖系
附睾炎/睾丸炎是 VEXAS 综合征的主要泌尿生殖系统特征。急性肾小管间质性肾炎引起的肾功能异常虽然罕见(0.9%),但考虑其严重性,以及需要活检明确诊断,医生不可忽视[1]。
4,听力
耳廓软骨受累已经在此前的软骨炎章节讨论过。这里必须提醒医生的是,还有近五分之一的患者有听觉前庭疾病影响,其中听力损失占大多数病例[1]。这点可能容易被内科医生忽视。
总之,VEXAS综合征是一个多系统多脏器受累的疾病。医生在面对多系统炎症性疾病时,应想到VEXAS综合征可能。
(后续讨论VEXAS综合征的诊断与治疗)
参考资料:
1,Al-Hakim A, et al. Clinical Features in VEXAS syndrome: a systematic review. Rheumatology (Oxford). 2025. PMID: 40570089
2,Borie R, Debray MP, Guedon AF et al; French VEXAS Group. Pleuropulmonary manifestations of vacuoles, E1 enzyme, X-linked, autoinflammatory, somatic (VEXAS) syndrome. Chest 2023;163:575–85.,
3,Casal Moura M, Baqir M, Tandon YK et al Pulmonary manifestations in VEXAS syndrome. Respir Med 2023;213:107245.
4,Kouranloo K, et al. Pulmonary manifestations in VEXAS (vacuoles, E1 enzyme, X-linked, autoinflammatory, somatic) syndrome: a systematic review .Rheumatol Int. 2023. PMID: 36617363
5,Vitale A, Caggiano V, Martin-Nares E et al Orbital/ocular inflammatory involvement in VEXAS syndrome: data from the international AIDA network VEXAS registry. Semin Arthritis Rheum 2024;66:152430.
6,Robert M, Mathian A, Lacombe V et al; FRENVEX Group. Nonischemic cardiac manifestations in VEXAS syndrome. JAMA Netw Open 2024;7:e2450251.















































