持续高热不退,死亡原因?
病例信息
患者 男,77岁,农民,因“畏寒发热1天”入院。现病史:患者于昨日无明显诱因出现畏寒发热,最高体温达40.0℃,无寒战,伴气促,无咽痛咳嗽,伴心悸、心慌,无胸闷、胸痛,无恶心、呕吐、腹痛、腹泻,无尿频、尿急、尿痛,无全身皮疹。病后在当地卫生院予双氯芬酸钠栓纳肛后送入我院急诊,行胸部CT检查示双肺感染,为求进一步诊治,遂门诊以“感染性发热 肺部感染”收住入我科。起病以来,患者精神饮食欠佳,大小便正常,体力下降、体重无明显改变.
既往史:既往有老年痴呆病史.
查体:急性病容,呼吸急促.双肺呼吸音粗,可闻及散在干湿性啰音.其他无明显阳性体征.
入院后完善相关辅助检查:
血常规及超敏C反应蛋白







ESR 23mm/h
D-二聚体及凝血功能正常范围.
血培养及痰培养阴性
入院后行心电监护,吸氧(3L/min),抗感染(莫西沙星)、补液及对症治疗.但患者持续高热,体温40.0居高不下,管床医师行地塞米松5mg 静脉推注2次仍持续高热.当日下午患者因持续高热,呼吸急促转到ICU治疗.
转ICU前(当日下午复查血气分析)

第二阶段
转入ICU后完善相关复诊检查.
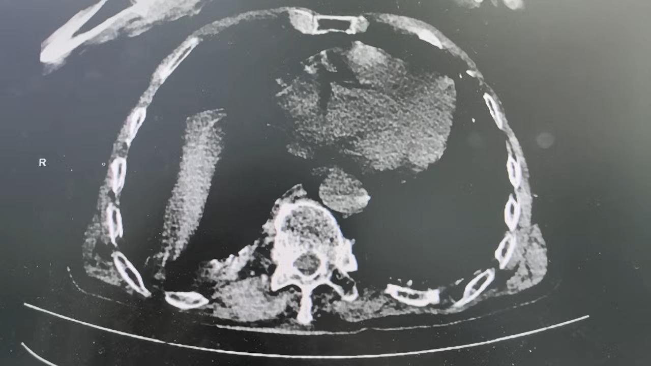
头颅(CT平扫),上腹部(CT平扫),下腹部(CT平扫),盆腔(CT平扫):
双侧基底节区腔隙性脑梗死,必要时MR检查;脑萎缩,脑白质变性;所示部分鼻窦炎;胆囊显示欠清;腹部肠腔多发积气;乙状结肠局部肠壁可疑增厚,建议进一步检查; 膀胱置管中; 前列腺钙化灶; 多发胸腰椎椎体压缩性改变,必要时MR检查; 扫及双侧胸腔少量积液。
床旁彩超:双下肢深静脉彩超,双侧下肢静脉目前未见明显异常。
床旁彩超:心脏彩超(含左心功能),左室舒张功能降低,目前心率122次/分.
予以行极化液(硫酸镁,氯化钾泵入)、呋塞米利尿,补液及对症支持治疗,于2025年9月18日5:04出现呼吸心跳骤停,立即行心肺复苏,肾上腺素静推,经口气管插管呼吸机辅助呼吸等抢救,抢救持续至6:00心跳未能恢复,宣布临床死亡。
抢救当时血气分析(其他血液相关检查患者拒绝)

病例讨论
患者持续高热不退原因?
患者死亡原因?























































