dxy logo
首页丁香园病例库全部版块
搜索
登录

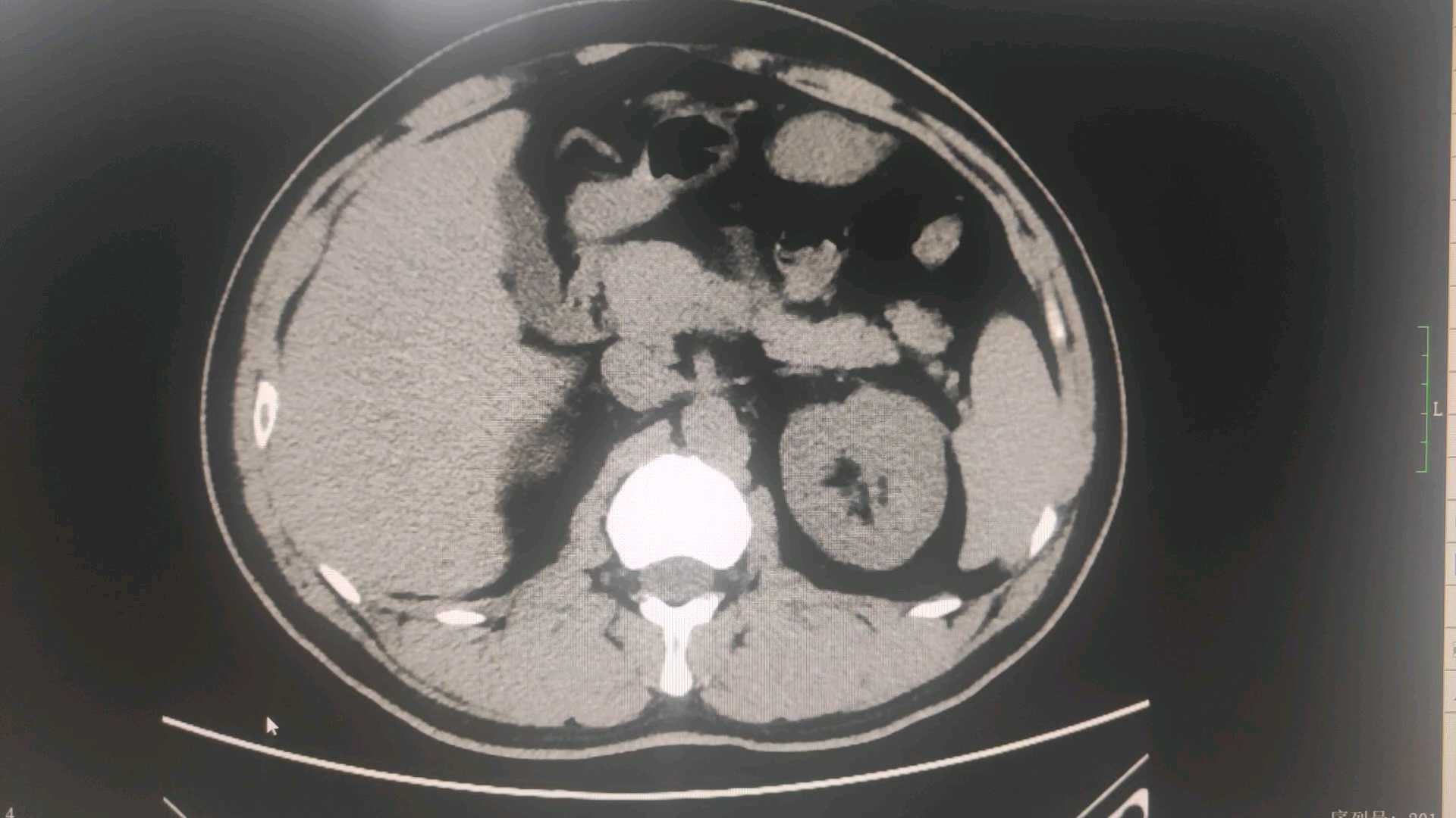
病例阑尾炎?憩室炎?

外科医师 · 发布于 10-25 · 来自 Android · IP 广东广东
908 浏览

男性,37岁,因“右下腹闷痛2天”于2025-10-25入院,右下腹压痛,反跳痛明显

previewplay video


previewplay video
阑尾炎 (306)
憩室炎 (14)
纠错
3 收藏2

全部讨论(0)

默认最新
avatar
3
分享帖子
share-weibo分享到微博
share-weibo分享到微信
认证
返回顶部