传说中的北海道“章鱼壶”病例你见过吗?也许在你身边比比皆是,你会漏诊和误诊吗?
病例信息

难得今天有空,整理一下这个月已经遇到了的4例应激性心肌病(Takosubo),其中这个星期3例,会诊的2例,自己科室的2例,各种应激因素都有(包括情绪和躯体疾病的应激,女性发病一般是情绪应激,多于绝经后,男性发病一般是躯体疾病应激),详见下面的病例,希望对各位老师能有帮助。
医学学无止境,需要不断学习。
应激性心肌病其实在临床并不少见,只是很多老师对应激性心肌病的关注度和理解度不够,相当容易被误诊和漏诊,特别是容易被误诊为心肌梗死或心肌炎。所以大家在诊断心肌梗死或心肌炎时,一定要想到和应激性心肌病鉴别,还有罕见的嗜铬细胞瘤(所有疾病中最伟大的演员,最会伪装)。
心电图还是发现应激性心肌病最关键的一环,然后再去做左心造影或心脏彩超去证实。
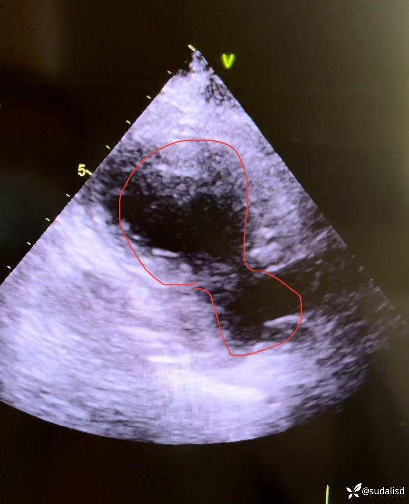
当然如果要做心脏彩超去证实,一定要找有丰富经验和手法好的心超医生,因为心尖部不好打,心尖部的疾病最容易漏诊,包括心尖部肥厚型心肌病、应激性心肌病。
感谢我们医院心超室的叶医生每次都能打出漂亮的心尖球囊样改变的超声动图(即传说中北海道的“章鱼壶”样),让每例应激性心肌病都有一个完美的闭环。
大喜大悲伤心,大怒伤肝。通过应激性心肌病这个疾病,我们可以看到,生气可以诱发应激性心肌病,又叫心碎综合征,所以情绪对我们的健康至关重要,大喜大怒大悲都会对我们身体造成一定程度的影响。
大悲会引起应激性心肌病,大喜也会引起应激性心肌病,本人临床上都碰到过。
所以我们平时要保持一颗平常心是多么的重要。俗话说平平淡淡才是真,细水才能长流。
下面让我们一起来欣赏这4例不同应激方式引起的应激性心肌病。
第1例:2025.9.26骨科会诊的病例。83岁女性,腰椎术后+紧张焦虑诱发。再经典不过的应激性心肌病的心肌图(广泛T波倒置,胸导V3-V5的T波倒置最深,胸导II导的T波倒置最深,经典的指向心尖部的完美向量,秒杀),心超下的动图也是相当的经典的心尖球囊样改变(即传说中北海道的“章鱼壶”样)。其实这个病人4年前已经在我们科室发作过一次应激性心肌病,当时已经做了左室造影证实。这次是复发,自从广东省人民进修回来诊断的数十例应激性心肌病当中,第一次遇到复发的。



第2例:2025.9.22呼吸科会诊的病例。发现会诊的病例当中,呼吸科的应激性心肌病是最多的,特别是慢性阻塞性肺疾病、支气管哮喘、肺部感染这些躯体疾病最容易诱发。78岁的女性,肺癌,这次是肺部感染诱发。



第3例:2025.9.23自己科室的病例。69岁女性。这个病例差点误诊为心肌炎,最后还是靠着心电图这条线索找我们心超室叶医生做了心脏彩超明确。其实这个病人简单一问,病人说咳嗽、胸痛数天就诊,肌钙蛋白升高,当时心电图胸导广泛的无Q波的ST段抬高,冠脉造影阴性,BNP也是轻度升高,有上呼吸道感染症状,理所当然的认为是急性心肌炎了。但后来我一看复查的心电图,又是经典的指向心尖的T波倒置向量,一叫我们心超室叶医生打心脏彩超,又是心尖球囊样改变(即传说中北海道的“章鱼壶”样)。再仔细去问病例,老人家这回说的清清楚楚:那天和老公吵架后生闷气突发胸痛。也是多么经典的情绪应激。看来体现了问病史询问是多么深奥的一门学问……




第4例:2025.9.4自己科室的病例。这个病例更有意思。57岁男性,当时救护车接回说病人是晕厥发病。心电图也是广泛的ST段抬高,肌钙蛋白升高,马上做了冠脉造影是阴性,又是理所当然认为是急性心肌炎。但后来这个病人发现了一个疑点:这个病人说是晕厥,但满身都是挫伤,从上到下,包括下肢、上肢、胸部、头部,还磕掉两颗牙齿。一般晕厥的病人一般不会有这么广泛的挫伤,满身都是,和我们平时见到的晕厥摔伤的病人明显不一样,后来我们叫病人家属把当时在路上发病的监控调出来,病人原来不是晕厥,是脚下绊到了什么东西,严重踉跄狠狠的摔了一跤。心电图的T波倒置不是经典的指向心尖部的向量,虽然心电图不典型,我们还是叫我们心超室叶医生仔细打了心脏彩超,相当漂亮,又是心尖球囊样改变(即传说中北海道的“章鱼壶”样),再次证实是应激性心肌病,当时高温和严重摔伤(创伤)诱发。看来又体现了问病史询问又是多么深奥的一门学问……





关于应激性心肌病我已经发过多个帖子,各种各样应激都有,情绪和躯体应激的都有。
下面的这些帖子都是关于应激性心肌病的全面解析,有兴趣的老师可以进一步学习。
大悲应激引起应激性心肌病的帖子链接如下:老太太典型胸痛+熟悉又诱人心电图+升高心肌坏死物!经典组合,但非一般的结局...,大家有兴趣可以再看看。
大怒应激引起应激性心肌病的帖子链接如下:离奇胸痛病例挑战丨老奶奶说:活了一辈子,从没犯过这么离奇的胸痛,简直要了我的命!,大家有兴趣可以再看看。
大喜应激引起应激性心肌病的帖子链接如下:病例挑战丨老奶奶同学聚会,聊的正欢时却离奇突发胸痛!结果令人伤心不已💔....,大家有兴趣可以再看看。
躯体疾病应激引起应激性心肌病的帖子链接如下:老奶奶心电图如此变化,背后真相到底是什么疾病?,大家有兴趣可以再看看。
西地兰药物应激引起应激性心肌病的帖子链接如下:难得一遇的病例,静推西地兰后老太太为何有如此大反应?您能从心电图揪出背后真凶吗?,大家有兴趣可以再看看。
一位临床医生如果能做到波澜不惊的境界,那才叫境界。
病例讨论
传说中的北海道“章鱼壶”病例你见过吗?也许在你身边比比皆是,你会漏诊和误诊吗?
欢迎大家积极讨论。
















































