前列腺电切术致腹腔积液
病例信息
【患者信息】:男性患者,75岁。
【主诉】:夜尿增多1年余,尿频、尿痛3天
【现病史及既往史】: 1年余前患者无明显诱因出现夜尿增多,伴尿频,约8-10次/天,偶感尿痛, 无肉眼血尿,未予重视及诊治;随时间进展,自觉病情加重,尿频次数较前增加,约10-15 次/天,无排尿踌躇,无尿线变细等不适,自行于当地卫生院治疗(具体不详),症状稍减轻,未系统诊治;3天前上述症状加重,伴尿痛、排尿困难,伴尿液不自主流出,伴肉眼血尿,自行口服药物治疗(具体不详),症状未见减轻;1天前为进一步治疗就诊我院,门诊 男性泌尿系彩超(2025年07月28日)示:左肾多发小结石。膀 胱结石。前列腺肥大伴钙化”,建议行手术治疗,故由门诊拟“前列腺增生”收入我科住院治疗。
【检查】:前列腺特异抗原二项示:总前列腺特异性抗原测定:0.62ng/mL,游离前列腺特 异性抗原测定:0.211ng/ml。男性泌尿系彩超示:左肾多发小结石。膀 胱结石。前列腺肥大伴钙化”尿液分析示:白细胞酯酶:+- 15Cell/uL,红细胞/潜血:+2 80Cell/uL,颜色:红褐色,透明度:微浊,镜检白细胞:+-,镜检红细胞:++。



【临床诊断】 :1.前列腺增生症;2.膀胱结石;3.右侧腹股沟疝。
【治疗经过及结果】:完善术前检查,于入院后第三日行膀胱镜碎石术及经尿道前列腺电切术。




病例讨论
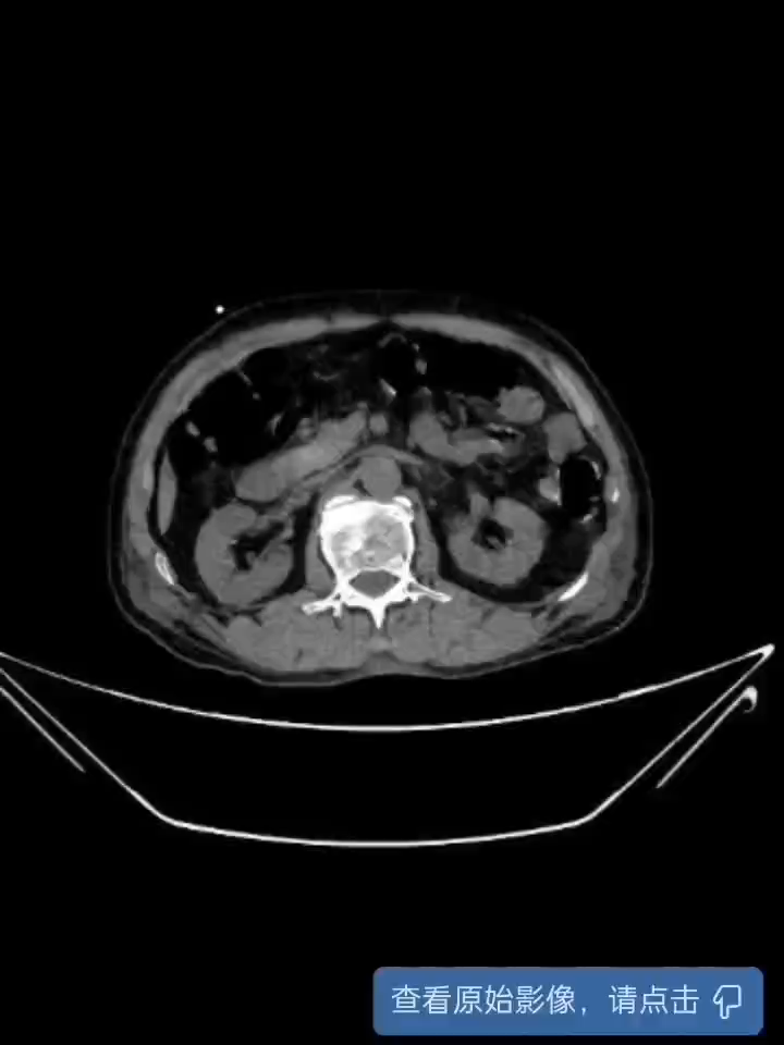
这个手术做的比较狼狈,一开始想给他做剜除,但奈何不好找边界,没有成功,切的过程中还遇到电切环出问题,更换电切环。最后发现还是捅出了篓子,幸好早有所耳闻,腹股沟置管引流出膀胱周围液体,但引出不多,所幸腹腔置管(胆囊周围穿刺点,超声引导下穿刺),引出1000多ml积液。术后安全恢复出院。
对于这种电切后直接出现腹腔积液及膀胱周围积液的,应该就是哪儿切穿了,但总的手术视频没有看出来。最后一个视频没有录制成功,各位大佬将就着看,请多指教。
08.24 01:00
今晚静下心来回复了各位老师,同时也把术后复查情况发出来,病人已安全出院。




前列腺电切,一个我又想做又烦做的事情,虽然接触时间长了,看得也不少了,但自己也觉得一点都不熟练,想多做多提升,但也烦做的不好的时候给病人带来伤害。在这个偏远基层医院,每年也就十台二十台,我做的每年也不到十台,确实积累得少,而且感悟得比较慢,所以一直都做的不好。想想有点无解,但作为医生,怎么也想着帮助病人,而且又不能不负担起该有的责任,硬着头皮摸着石头慢慢整。我不喜欢发朋友圈,包括邀功或者炫耀的锦旗,我都不喜欢发,我只想做个好医生,小医生,所以发的视频基本不剪辑(主要是也懒,不想剪辑,也不想学剪辑),在丁香园里得到各位大佬的指导,也能学习到一些东西,认识自己的不足,自然是心满意足了。
















































