男性63岁,热伴胸痛4天,胸部CT示双肺多发结节,考虑什么疾病?
毛休息休息 等 3 位达人已点赞病例信息
【患者信息】:男, 63 岁,
【主诉】: 主因发热伴胸痛4天于2025-03-10 08:56入院。
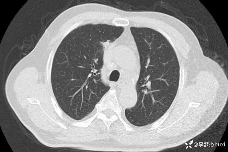
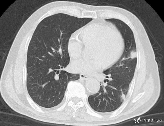
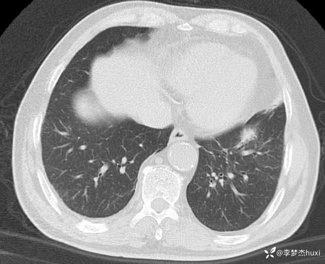
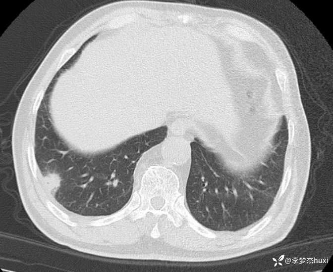
【现病史及既往史】: 1.患者老年 男,患者于入院前4天无明显诱因出现发热,具体体温不详,伴右侧胸痛,无放射痛,偶有咳嗽、无明显咳痰,无鼻塞,无咽痛,无胸闷、憋气,无恶心、呕吐,无腹痛、腹泻,无尿急、尿频、尿痛,院外口服退热药物治疗(具体不详),症状好转,今患者及家属为进一步诊治前来我院就诊,门诊查胸部CT:双肺炎症;双肺间质性改变;右肺上叶肺大疱?纵隔内肿大淋巴结,部分钙化;主动脉及冠状动脉壁钙化;双侧胸膜局部增厚;右侧第9、10肋骨欠规整?;右侧胸壁术后改变,双肺实性结节,建议复查或肺结节门诊检查,故门诊以“社区获得性肺炎,非重症”收入院。
2.既往左侧膝关节外伤手术史20年余,现左下肢无明显活动受限;高血压病史10余年,最高达170/?mmHg,目前口服“硝苯地平缓释片II”治疗,血压未监测;脑梗死病史10年余,无明显后遗症,现口服“阿托伐他汀、阿司匹林”治疗;右侧胸壁手术史1年余;否认“冠心病、糖尿病”病史,否认“肝炎”、“结核”等传染病史;无输血史;否认食物、药物过敏史,预防接种史不详,系统回顾无特殊。
【检查】: 3.查体:T36.8℃,P110次/分,R22次/分,BP170/90mmHg。神清,呼吸平稳,浅表淋巴结不大,双肺叩清音,双肺未闻及干湿性啰音,心率110次/分,律齐,无杂音。腹软,无压痛,无反跳痛及肌紧张,肝脾肋下未触及,双下肢无水肿。
4.辅助检查:心电图示:窦性心律,正常心电图。
【临床诊断】: 社区获得性肺炎,非重症。
【治疗经过及结果】:入院后予控制感染(患者老年,发热、感染重,故抗生素予莫西沙星)、护胃(泮托拉唑)、稳定动脉斑块(阿托伐他汀钙片)、控制血压(硝苯地平缓释片II)、补液及对症支持治疗。
总结与讨论
什么疾病?


























































