消失的气味:揭开嗅觉“失灵”的神秘面纱
病例作者:段洪刚 浙江大学医学院附属第二医院
【病例基本信息】
女,35 岁
现病史:患者 2 年余前因过度劳累后出现持续性嗅觉减退,偶有流涕,不伴鼻塞,无视力下降,无头晕头痛,无发热乏力,无恶心呕吐等不适。至外院就诊,予激素喷鼻、孟鲁司特钠口服治疗后,嗅觉减退症状好转。近 2 月余,嗅觉减退症状再次加重,药物治疗无效,就诊于我院。
既往史、家族史、过敏史:无特殊。
体格检查:体温 36.6 ℃;心率 76 次/分;呼吸 18 次/分;血压 105/64 mmHg。
专科查体:双侧嗅裂息肉。
【实验室检查及辅助检查】
1、血常规检查

2、影像学检查
鼻内镜:双侧嗅裂息肉,鼻咽部粘膜光滑。

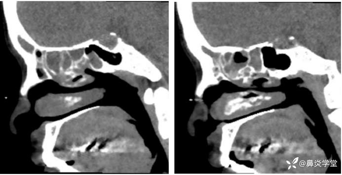
副鼻窦 CT:鼻息肉,鼻窦炎。两侧嗅裂炎性肉芽填充实变。



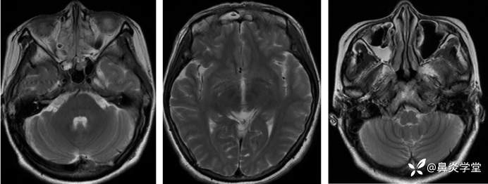
嗅通路 MRI:双侧嗅球、嗅束形态及信号未见明显改变,嗅三角区未见明显肿块。双侧梨形区、边缘。下丘脑未见明显形态及信号改变。附见:全组副鼻窦炎。


【临床诊断与治疗方案】
结合患者病史、症状、体征及上述检查结果,可诊断为慢性鼻窦炎伴鼻息肉、嗅觉障碍。
药物治疗无效后,手术是治疗慢性鼻窦炎、鼻息肉的主要方法。同时围手术期结合药物治疗可改善症状,促进功能恢复。综合考虑,制定治疗方案如下:
1、手术治疗
手术方式:视屏鼻内镜下双侧全组鼻窦开放 + 双侧鼻息肉切除术。
2、药物治疗

【疗效评估及随访】
术后病理结果:(左鼻息肉)符合鼻息肉。(右鼻息肉)符合鼻息肉。
1. 术后半个月:偶能闻到气味。
2. 术后 1 个月:嗅觉基本恢复,VAS 评分 5~6 分。
3. 术后 3 个月:因新冠后出现嗅觉下降,VAS 评分 3~4 分。
4. 术后 6 个月:术后嗅觉基本恢复,VAS 评分 6~7 分,无鼻塞、流涕、头痛。
【医生个人治疗心得】
1、诊断思路
患者 2 年前出现持续性嗅觉下降,伴流涕,经药物治疗,症状得到改善;近 2 月余,嗅觉减退症状再次加重,药物治疗无效。应进一步补充血常规、鼻内镜、鼻窦 CT 及嗅通路 MRI,以明确诊断。
血常规,能够反映机体的病理性变化;鼻内镜与鼻窦 CT 紧密结合,是有效诊断鼻腔鼻窦外科疾病的方法;嗅通路 MRI,则能够评估嗅通路结构及嗅中枢功能,有助于诊断及鉴别诊断的开展[1-5]。
本例患者鼻内镜检查(见息肉)、鼻窦 CT(提示鼻窦炎),支持慢性鼻窦炎伴鼻息肉诊断。主要鉴别诊断如下[5]:

此外,该患者的症状以嗅觉减退为主,嗅通路 MRI 检查未见明显异常,排除嗅通路结构及嗅中枢功能异常,可进一步明确为鼻-鼻窦炎相关的嗅觉障碍[3]。
2、治疗方案选择
《中国慢性鼻窦炎诊断和治疗指南(2018)》指出,慢性鼻窦炎药物治疗无效后,鼻内镜手术(endoscopic sinus surgery,ESS)是首选的外科治疗手段[5]。
鼻内镜手术治疗后可以通畅窦口鼻道复合体,快速改善鼻腔、鼻窦通气功能,为鼻内用药、鼻腔冲洗、引流等提供便利,增进整体抗炎功效[6]。
在药物治疗方面,临床推荐鼻用糖皮质激素作为慢性鼻窦炎的一线首选治疗药物,疗程不少于 12 周。其安全性和耐受性良好,局部不良反应发生率低,与安慰剂比较无显著差异[5]。
目前国内已上市鼻用激素中,布地奈德是唯一具有鼻息肉适应证的原研糖皮质激素[7]。
术后应用鼻用糖皮质激素可有效减少鼻息肉复发。临床研究证实,布地奈德是患者鼻息肉术后预防性治疗非常有效的一种局部用激素。行息肉切除术的患者,术后应用布地奈德鼻喷雾剂,手术后复发率明显低于安慰剂组(25% vs. 80%)[8]。
《中国慢性鼻窦炎诊断和治疗指南(2018)》推荐,术后应用鼻用激素,应根据术腔恢复情况,持续用药 3~6 个月[5]。
且根据《嗅觉障碍诊断和治疗专家共识(2017 年)》,目前文献已报道的治疗嗅觉障碍的药物有多种。其中,糖皮质激素是治疗嗅觉障碍最常用的药物[3]。
此外,大环内酯类药物、白三烯受体拮抗剂、黏液溶解促排剂也可作为慢性鼻窦炎的辅助治疗药物。
3、诊治难点
嗅觉作为人体的重要感觉,与人们生活质量密切相关。因此,临床上治疗慢性鼻窦炎合并嗅觉障碍时不仅要彻底清除病灶,更应重视嗅觉功能恢复[8]。
《中国慢性鼻窦炎诊断和治疗指南(2018)》指出,内镜鼻窦手术只是慢性鼻窦炎整体治疗中的一部分,手术不能切除或改变鼻窦黏膜的炎症本质,持续的术腔护理和综合药物治疗才有可能促进鼻窦黏膜形态与功能的逐渐恢复[5]。
糖皮质激素可能通过抑制炎症反应、减轻水肿、促进嗅上皮再生等方面改善嗅觉功能。相关的研究也报道鼻内应用糖皮质激素治疗 4 周~4 个月后,慢性鼻窦炎伴鼻息肉患者的客观嗅觉功能有明显的提高[9]。
此外,无论药物治疗还是手术治疗,科学的疗效评价方法应建立在与治疗前症状体征相对比的、客观检查结果的基础之上。慢性鼻窦炎疗效评定分主观评价和客观评价两个方面。
主观评价推荐采用视觉模拟量表(VAS)评分法;客观评价推荐采用鼻内镜检查 Lund-Kennedy 评分法和鼻窦 CT 检查 Lund-Mackay 评分法。
参考文献
[1] 尚晓东.血常规的这些事你知道吗[J].江苏卫生保健,2022(12):29.
[2] 王溪刚.鼻内镜技术在耳鼻咽喉科的临床应用[J].中国医疗器械信息,2019,25(22):146-147.
[3] 中华耳鼻咽喉头颈外科杂志编辑委员会鼻科组,等. 嗅觉障碍诊断和治疗专家共识(2017年)[J]. 中华耳鼻咽喉头颈外科杂志, 2018, 53(7):11.
[4] 李运其. 影像学技术在鼻腔鼻窦疾病中的应用现状[J]. 当代医学, 2009, 15(4):2.
[5] 中华耳鼻咽喉头颈外科杂志编辑委员会鼻科组,等.中国慢性鼻窦炎诊断和治疗指南(2018).中华耳鼻咽喉头颈外科杂志,2019,54(2)81-100.
[6] 吕传桢,等.加强药物疗法联合鼻内镜手术治疗慢性鼻-鼻窦炎疗效及临床价值分析[J].中国医学文摘(耳鼻咽喉科学),2023,38(02):45-48.
[7] 布地奈德鼻喷雾剂药物说明书.
[8] Gulati SK. Indian J Otolaryngol Head Neck Surg. 2001;53(3):207-209.
[9] 朱春燕. 鼻内镜手术联合药物用于慢性鼻窦炎鼻息肉治疗对嗅觉的影响观察[J]. 中文科技期刊数据库(全文版)医药卫生, 2022(12):3.
















































