dxy logo
首页丁香园病例库全部版块
搜索
登录

星期二门诊见闻(321):如此“粗壮”的血管也得脑梗死?

神经内外版达人 · 发布于 2024-11-20 · 来自 Android · IP 辽宁辽宁
2684 浏览
icon青鹊词 推荐
这个帖子发布于 1 年零 0 天前,其中的信息可能已发生改变或有所发展。

病例信息

38岁♂,高血压病史,反复头晕2个月,阅片出现小脑和延髓DWI高信号,提示新近梗死。

img

查体:没有明显阳性体征

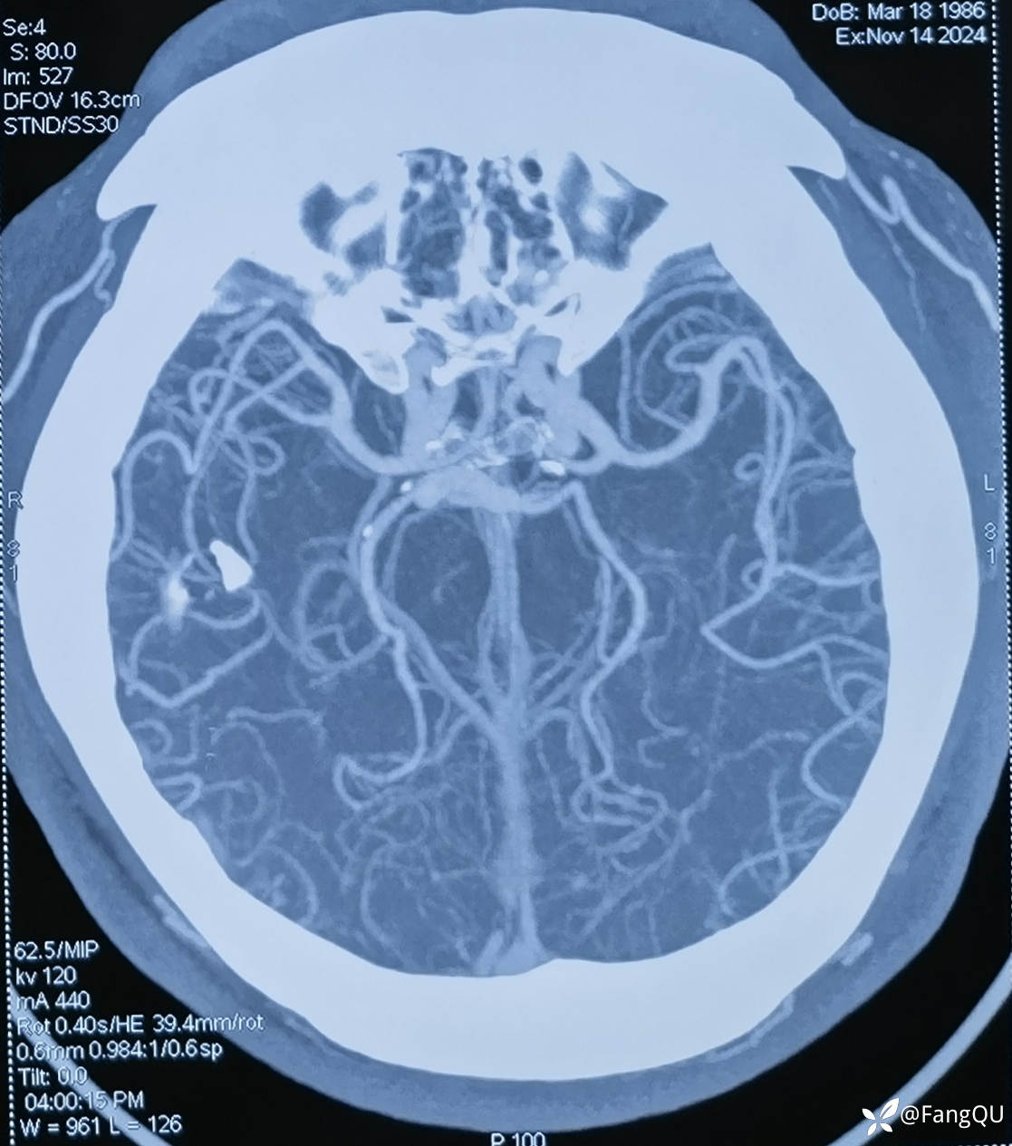
建议头颈CTA:见下

img


img


img


img


img

双侧椎动脉和基底动脉如此粗壮,咋还得脑梗死呢?

椎基底动脉扩张延长 (6)
纠错
15 12 6
同行评议(0)
已评议
不开通精选
开通精选
精选已授权,待上线
评议结果暂未公布
参与评议
去邀请
NaN
病例完整NaN
临床实用NaN
诊疗科学NaN
学术价值NaN

全部讨论(0)

默认最新
avatar
15
分享帖子
share-weibo分享到微博
share-weibo分享到微信
认证
返回顶部