23:40接到值班医生电话,术后患者可能动脉栓塞,瞬间我就没睡意了
江边愚者 等 2 位达人已点赞23:40接到电话:今天的糖尿病足患者,介入手术后双足发绀、疼痛,怀疑血管栓塞;
穿铅衣手术时,衣服汗湿完了,本来很困很累,瞬间没有了睡意,安排先罂粟碱和前列地尔改善末梢循环,同时床旁急诊彩超;

术中双侧髂外重度狭窄和右侧股浅动脉远端闭塞:

左侧髂外球囊扩张成形,然后10mm球扩支架,血流好,但是右侧血流慢

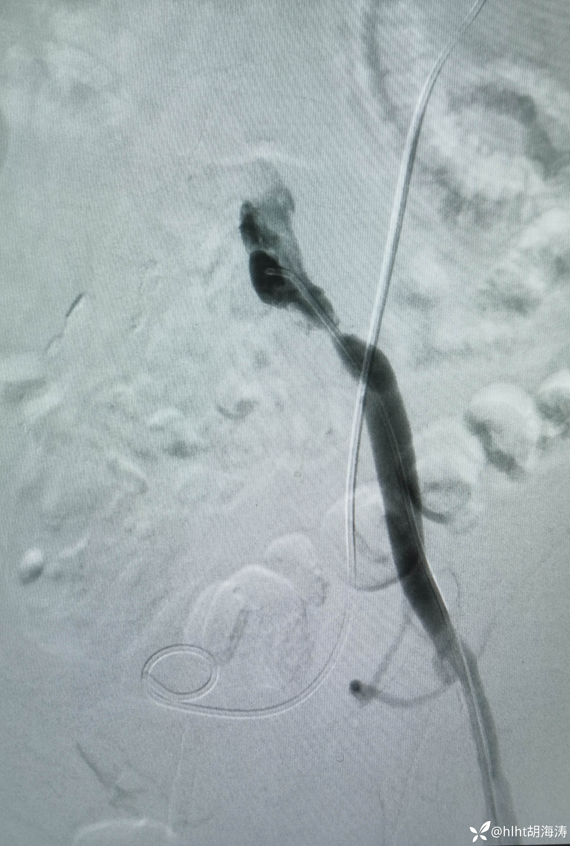
多次尝试,翻山,导丝没法进入左髂外,然后右侧腹股沟区穿刺:微创针

置入5F血管鞘:造影提示右侧髂外开口处重度狭窄

右侧髂外动脉直径不到左侧的1/2,扩到5mm,血流好,无限流夹层

右侧股浅很细,中远段闭塞导丝没法过,考虑髂外通了,循环也会改善:

手术结束时,左侧下肢远端造影,很通畅:

23:00手术结束,双侧腹股沟区股动脉恢复搏动,右侧股浅闭塞段没法打通,侧枝循环好,手术顺利;
23:40接到值班医生电话,说患者双足发绀,冰凉且疼痛,我心里紧张起来;
手术结束前,我再次造影看了双侧股浅动脉,血流好,没有血栓形成;
前段时间外出学习,上级医院老师分享的案例:术后反复血栓,前后做了三次吸栓取栓,保下了下肢;
回医院的路上,我在想,如果血栓形成,一个方法是自己处理,一个方案请专家会诊,还有一个方案是患者转院;
外科医生,最怕半夜来自医院的电话,尤其是当天手术后,即使还没听到值班医生的声音,心里已经猜到可能的情况;
选择了血管外科,术后血管急性栓塞是不可能回避的并发症;
如果不回医院看看,我肯定一晚睡不好,不管什么情况,都得自己去面对;
术后,你遇到过哪些不舒服的时刻?咋度过的?
















































