dxy logo
首页丁香园病例库全部版块
搜索
登录

病例【神经】特别精彩病例|发现头皮肿块,进行性增大2年余

影像核医学版版主 · 发布于 2024-11-12 · 来自 iOS · IP 江西江西
6377 浏览
icon呱呱叫了 等 2 位达人已点赞
这个帖子发布于 1 年零 12 天前,其中的信息可能已发生改变或有所发展。

病例信息

【患者信息】:女,58岁

【现病史及既往史】:发现头皮肿块,进行性增大2年余

【检查】

临床实验室检查无殊

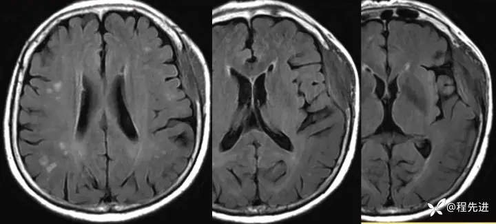
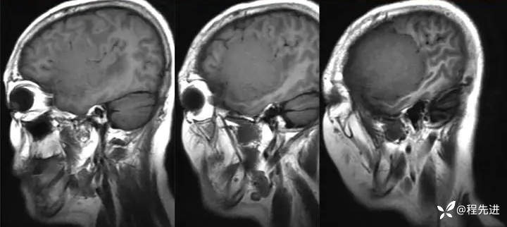
影像检查:

img


img


img


img


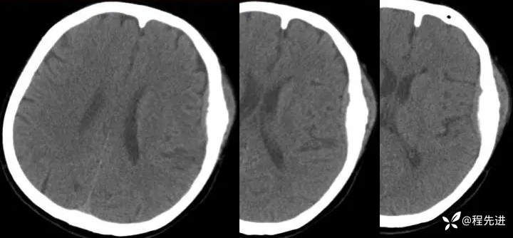
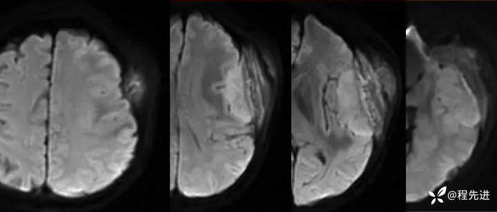
1月余后:

img


img


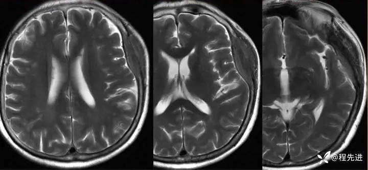
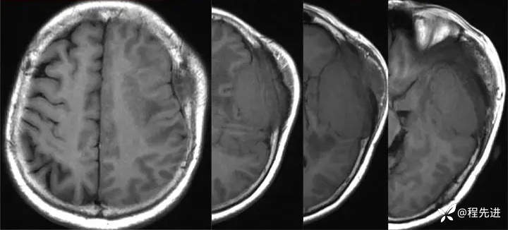
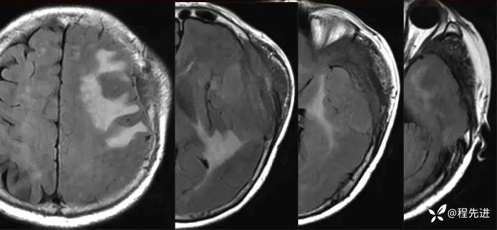
2年后:

img


img


img


img


img
该帖还没有疾病标签去添加
23 4 13
同行评议(0)
已评议
不开通精选
开通精选
精选已授权,待上线
评议结果暂未公布
参与评议
去邀请
NaN
病例完整NaN
临床实用NaN
诊疗科学NaN
学术价值NaN

全部讨论(0)

默认最新
avatar
23
分享帖子
share-weibo分享到微博
share-weibo分享到微信
认证
返回顶部