一生中最剧烈的头痛-SAH
西门开心 推荐病例信息
患者性别:女
患者年龄:95岁
主诉:因“突发意识不清7小时余”入院。
简要病史:患者于7小时余前吃中饭时突发意识不清,头撞到桌面,呼之不应,无抽搐,家属拨打120送我院急诊,测脉搏105次/分,呼吸14次/分,血压:207/92mmHg,SPO2 95%,至急诊后出现呕吐2次,为胃内容物,行CT检查提示:蛛网膜下腔出血破入脑室系统;予以氨甲环酸止血、尼莫地平防止脑血管痉挛、乌拉地尔控制血压,请神经外科会诊考虑“动脉瘤破裂出血”建议行CTA明确诊断及手术治疗,患者家属经商讨后拒绝CTA检查及手术治疗,要求行保守治疗,经我科会诊后以“蛛网膜下出血、脑血管意外、高血压”收住院治疗。
体格检查:P:95次/分R:28次/分,BP:153/76mmHg(乌拉地尔控制),昏迷,双侧瞳孔不等大等圆,左侧3.0,对光反射迟钝,右侧眼疾无法观察,白内障,约5.0mm,颈项稍强直,四肢肌力无法判断,肌张力高,左侧病理征(+),右侧病理征(-)。
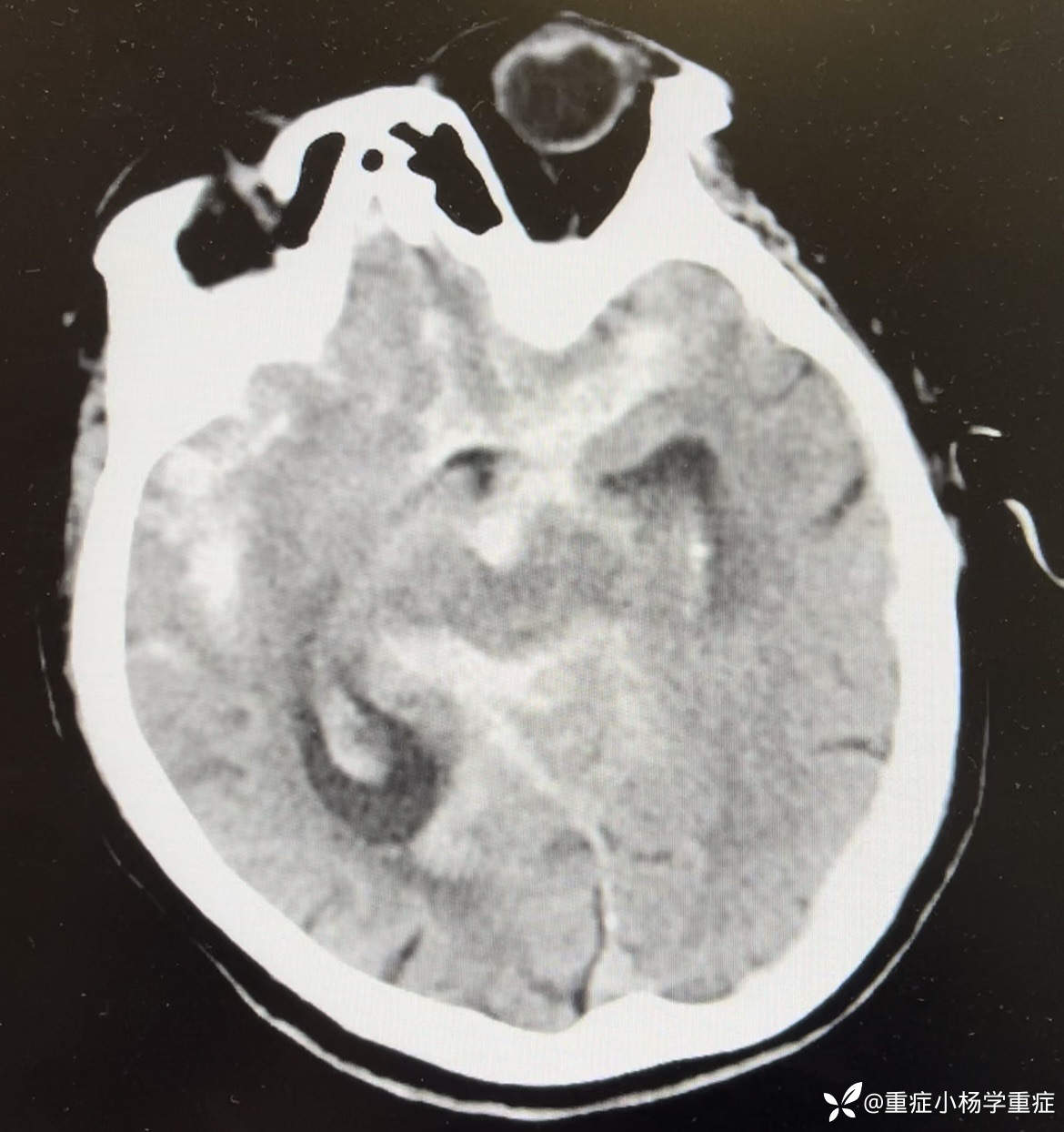
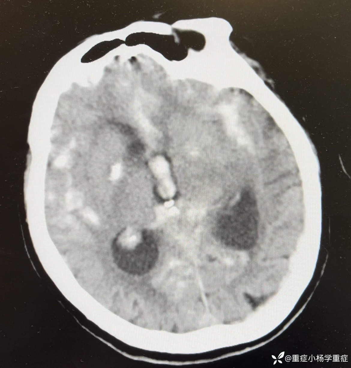
辅助检查:生化:肌酐128.9umol/L↑,钠146.3mmol/L↑。CT平扫:1.蛛网膜下腔出血破入脑室系统;2.老年脑改变;3.考虑两肺少许炎症,随诊复查。



临床诊断:1、蛛网膜下出血;2、脑血管意外;3、高血压;4、肾功能不全
治疗经过:止血(氨甲环酸0.5g)、乌拉地尔控制血压(160mmHg以下,但应避免低血压)、预防脑血管痉挛(尼莫地平5ml:1mg/h泵入)、止痛,余治疗主要予以控制体温、维持内环境稳定、控制血糖<11.1mmol/L等,密切观察患者是否会突发癫痫、再出血可能。
讨论:SAH临床表现为:头痛、恶心呕吐、精神症状(谵妄、昏迷)。神经系统查体:颈强直、脑膜刺激症状、III/IV脑神经麻痹导致眼部症状(眼球运动、瞳孔、对光反射)。
处理分析
患者家属拒绝CTA或DSA检查,无法明确病因,其占所有脑卒中的5%到10%。通常由脑底部或脑表面血管破裂引起,血液流入蛛网膜下腔。SAH的主要病因是颅内动脉瘤破裂,约占85%。
主要治疗方式介入血管支架!
总结与讨论
评分系统:GCS评分、Hunt-Hess、 WFNSS 、Fisher评分等
SAH的预后较差,病死率高达45%,存活者中残疾率也较高。约10%的患者在接受治疗前死亡,30天内病死率约为25%或更高。再出血的病死率约为50%,2周内再出血率为20%-25%,6个月后的年复发率为2%-4%。
保守治疗,亚低温何时使用?至今没见过将体温控制在32-35摄氏度的
颅内压监测:不手术置入颅内压监测仪,怎么评估颅内压啊?腰大池引流顺便监测压力?















































