儿童肱骨髁上骨折保守治疗手法复位后需要测量的两个角度是什么?
杨庆运骨伤科医生 达人已点赞病例信息
【患者信息】:患者性别:男
患者年龄:4岁
【主诉】:患儿玩耍中摔倒受伤后肘关节畸形、疼痛活动受限就诊于当地医院,为求保守治疗就诊于我院。
【现病史及既往史】:
【检查】:肘关节畸形、手部知觉感觉活动功能正常。

【临床诊断】:肱骨髁上骨折GartlandⅢ型完全移位
【治疗经过及结果】:明确诊断其小儿骨折属于肱骨髁上骨折GartlandⅢ型完全移位针对选择方案有手术治疗、保守治疗两种方案,给予患者家属沟通讲清楚手术及保守治疗的利弊关系后患者家属表示优先保守治疗手法复位,接受复位失败后手术治疗。
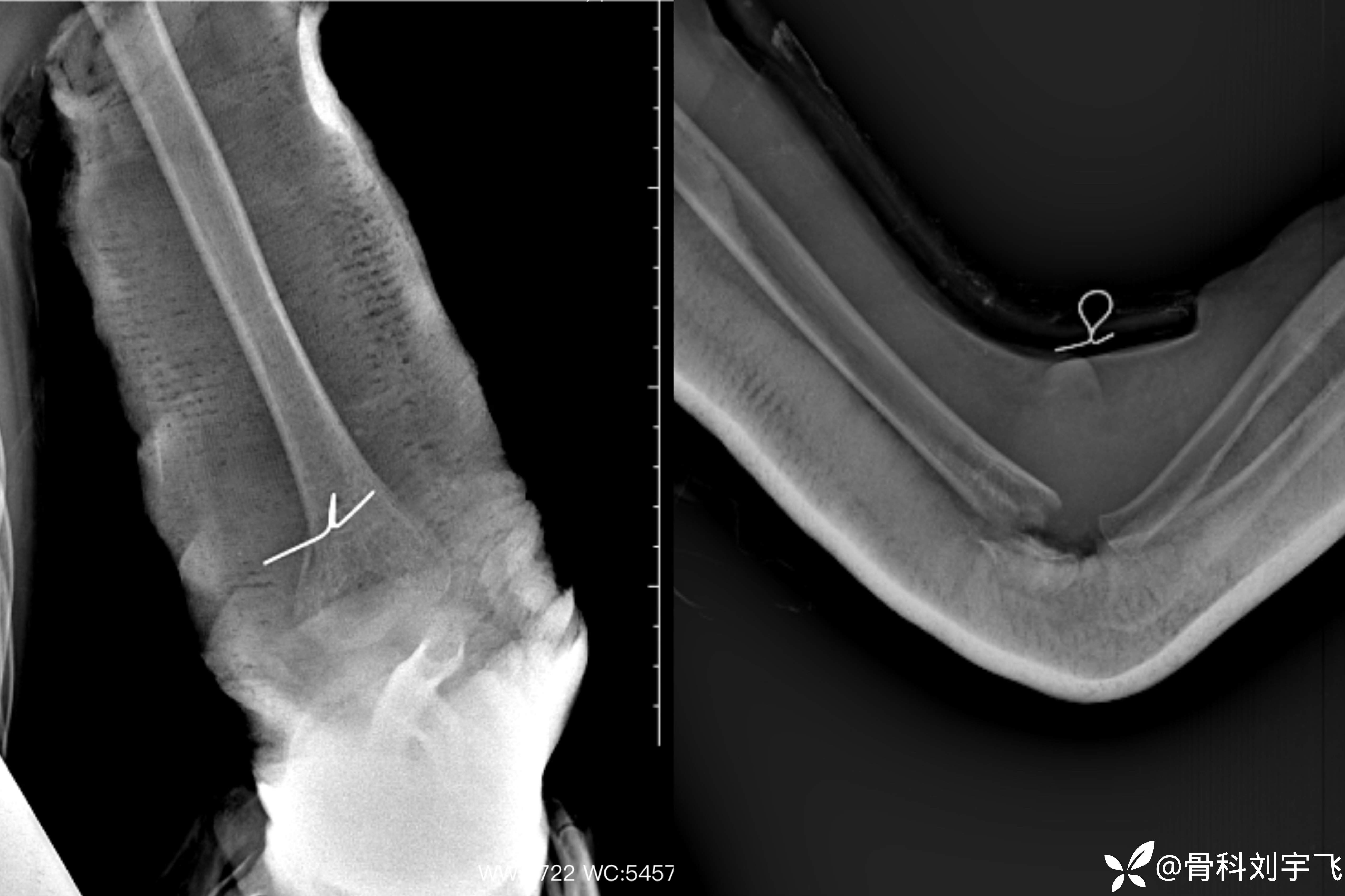
首次复位后:

正位尺偏移位恢复,侧位骨折端仍有旋转,石膏固定,择期调整。

三周后复查:正位及侧位骨折端位置力线良好给予小夹板固定。

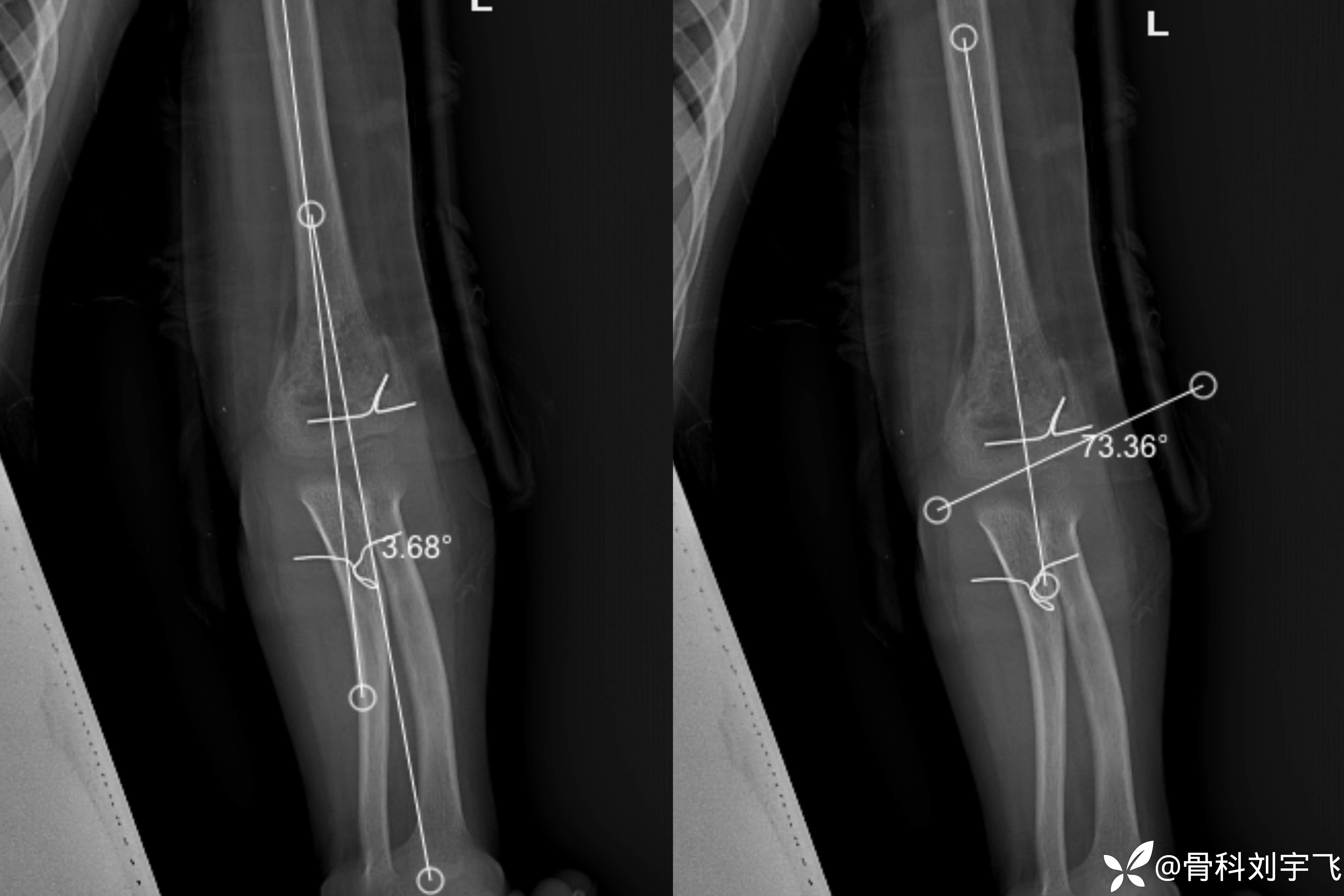
一月时复查:可见骨痂形成测量测量提携角、Baumann角

总结与讨论
提携角 :为肱骨干轴线与前臂轴线相交所成之角,角尖指向上臂,正常值为5°~20°
Baumann角(α)是肱骨长轴和通过肱骨外上髁骺板的直线的夹角。Baumann角的余角(90°- α -5°)即为肘外翻角
Baumann角的正常值范围为75°~80°,Williamson等扩展到64°~81°。
测量Baumann角有助于评价儿童肱骨髁上骨折复位效果。
后期持续随访中:小儿外观屈伸活动正常。
















































