dxy logo
首页丁香园病例库全部版块
搜索
登录

病例乳腺肿物,有穿刺病理结果

超声医学版达人 · 发布于 2024-11-01 · 来自 Android · IP 北京北京
2257 浏览
这个帖子发布于 1 年零 24 天前,其中的信息可能已发生改变或有所发展。

病例信息

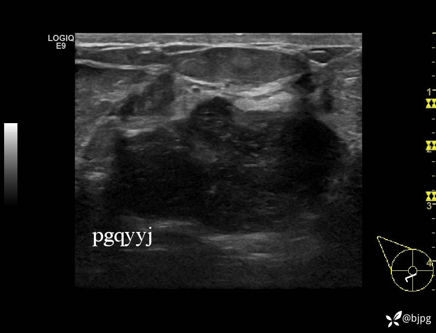
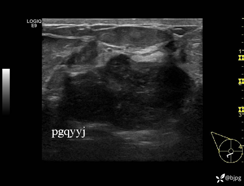
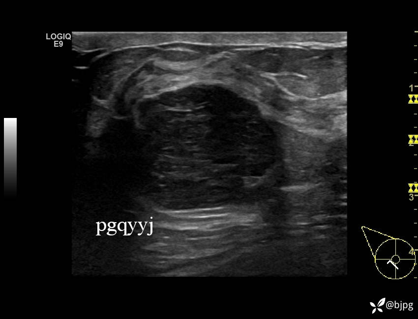
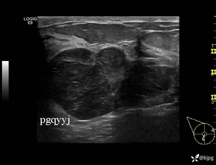
【患者信息】:女性36岁

【主诉】:发现右乳肿物一周

【现病史及既往史】:无

【检查】:超声

img


img


img


img


img


img


img


【临床诊断】:右乳结节,性质待定

【治疗经过及结果】:穿刺活检,欢迎同道讨论,穿刺病理数日后公布。

乳腺分叶状肿瘤 (7)
纠错
9 收藏3
同行评议(0)
已评议
不开通精选
开通精选
精选已授权,待上线
评议结果暂未公布
参与评议
去邀请
NaN
病例完整NaN
临床实用NaN
诊疗科学NaN
学术价值NaN

全部讨论(0)

默认最新
avatar
9
分享帖子
share-weibo分享到微博
share-weibo分享到微信
认证
返回顶部