“病例分享”青年女性右乳房黑色斑块,结合病理考虑是?
Amor良 推荐性别:女性
年龄:28岁
主诉:右侧乳房黑色斑块20余年
现病史:患者自诉20余年右侧乳房处发现一处黑色斑片,无任何不适,近年来斑片逐渐隆起皮表形成斑块,表面粗糙,无任何不适,要求来院手术切除治疗。
查体:右侧乳房处见一约4.0x2.0黑色斑块,边界尚清,表面粗糙,无破溃、糜烂,无压痛,未触及腋窝淋巴结。

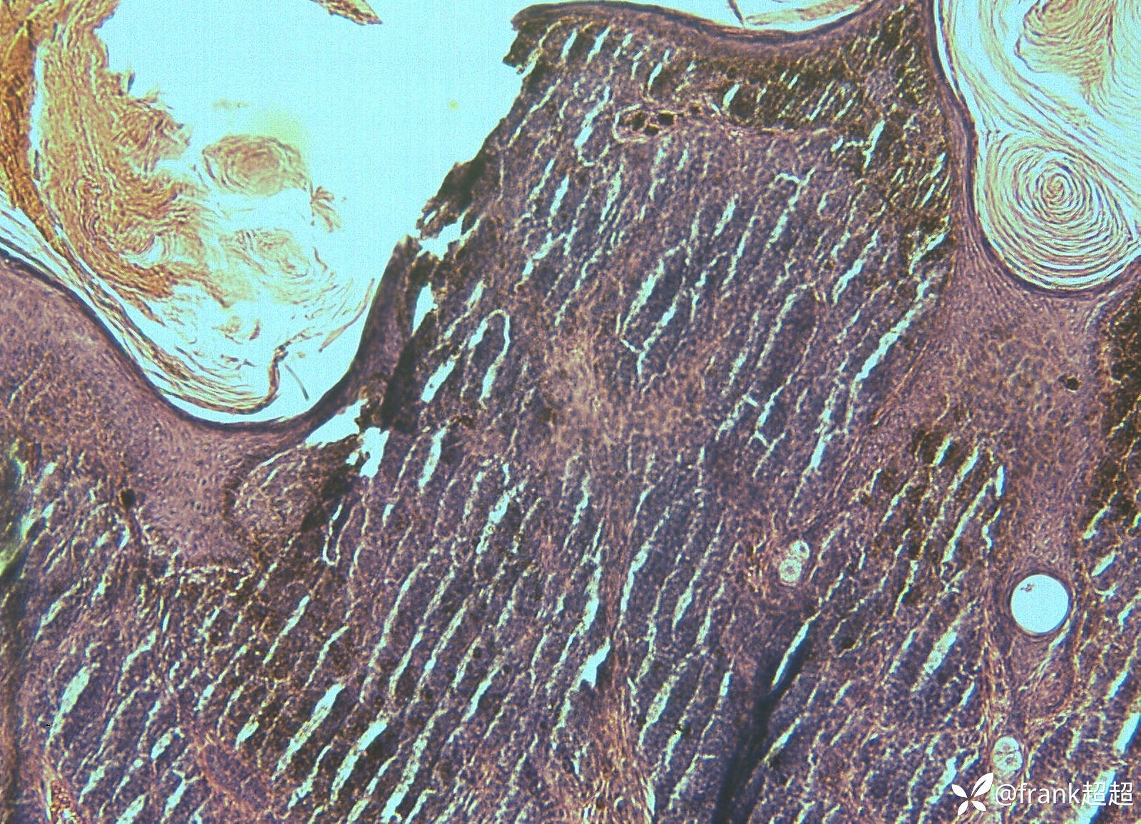
病理:



病理提示:表皮角化过度,棘层轻度增生,表皮突下延,基底层及真皮内痣细胞成巢及散在分布,围绕附属器排列,有成熟现象,真皮上部痣细胞含黑素颗粒。
结合病史及病理,诊断?
















































