异常胸部ct
病例信息
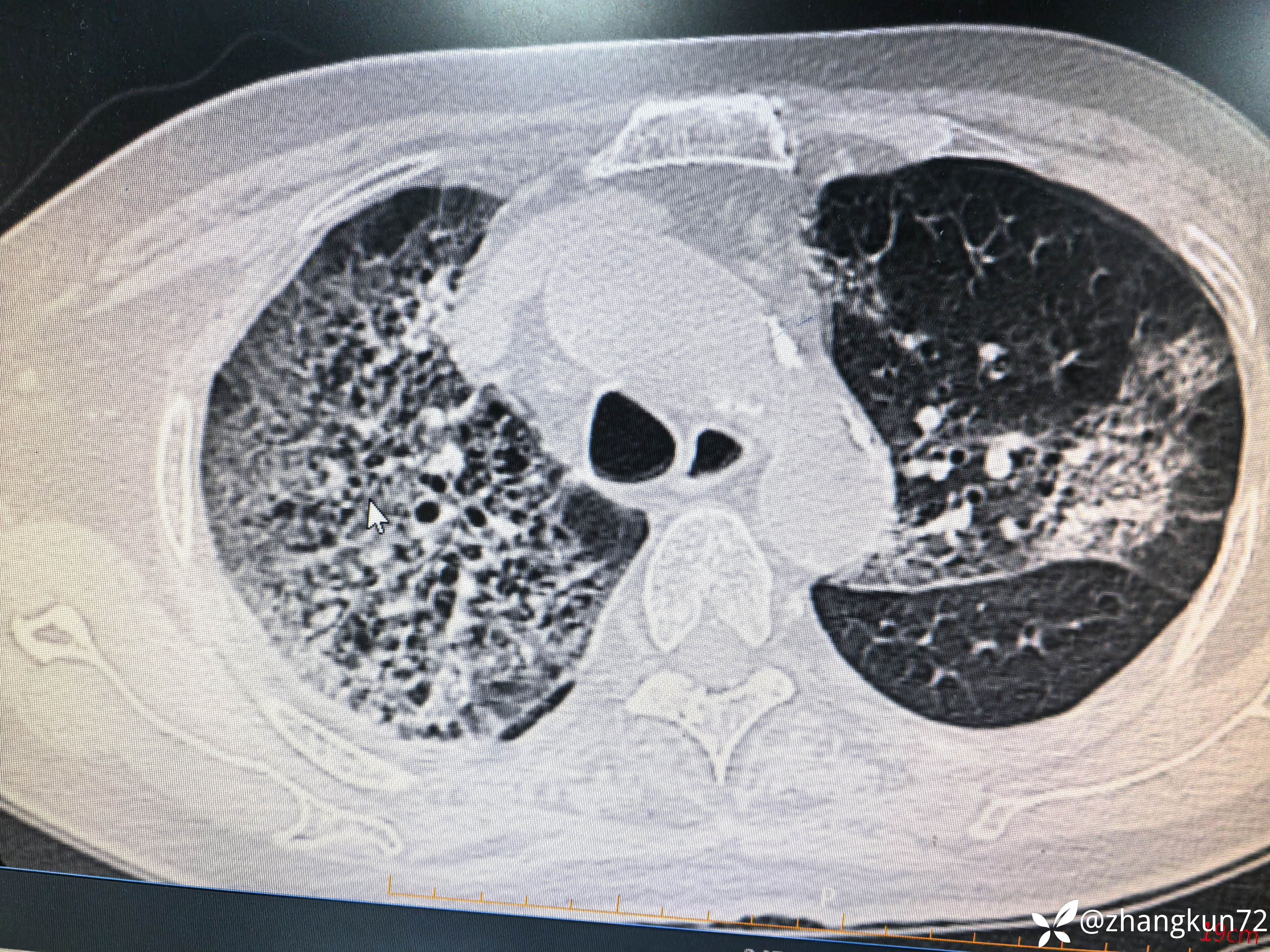
【患者信息】:中年男性
【主诉】:活动后气喘半月余
【现病史及既往史】:既往有肾上腺皮质功能减退证,甲状腺功能减退症
【检查】:白细胞计数正常,超敏c反应蛋白6.41,降钙素原0.09,白介素6 9.04,真菌G试验阴性,GM试验1.13,新冠核酸阴性,甲流阴性,乙流阴性,支原体抗体阴性,梅毒及艾滋病等病原体阴性,痰培养一次检查肺炎克雷伯杆菌。




【临床诊断】:1型呼吸衰竭,肺部感染,肾上腺皮质功能减退证,甲状腺功能减退症
【治疗经过及结果】:予口服左甲状腺素片,静脉注射氢化可的松,亚胺培南联合莫西沙星抗感染
总结与讨论
目前治疗一般,是否为感染,什么病原体感染
















































