男性67岁,发热、咳嗽4天,肺炎病原菌不好判定,哌拉西林加了左氧氟沙星,是啥呀?
病例信息
【患者信息】:男, 67 岁
【主诉】: 主因发热伴咳嗽、咳痰4天于2024-10-14 11:35入院。
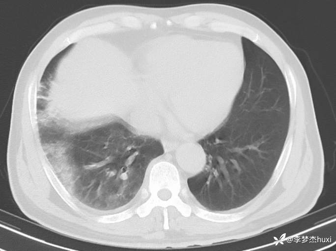
【现病史及既往史】: 1.现病史:患者老年 男,患者缘于入院前4天无明显诱因出现发热,体温最高达38.6℃,无寒战,伴咳嗽,咳痰,为黄痰,胸闷、憋气,周身酸痛,头痛,无咽痛,进食差,无胸痛及咯血,无鼻塞、流涕,无恶心、呕吐,无腹痛、腹泻,无尿频、尿急、尿痛,无血尿及腰背部疼痛,院外口服药物治疗(具体不详),症状无好转,现为求进一步诊治来诊,查头胸部CT:脑干密度欠均匀,双侧基底节区腔隙灶,脑白质稀疏,脑萎缩,鼻窦炎,右肺炎症,主动脉及冠状动脉钙化,双侧胸膜局限性增厚,甲状腺左叶密度欠均匀,建议结合临床复查。查血常规:白细胞数目11.85x109/L,C-反应蛋白241.01mg/L,中性粒细胞数目9.98x109/L,肝功能:谷丙转氨酶108U/L,谷草转氨酶110U/L,心肌酶、血糖、肾功能、钾钠氯、血脂大致正常,尿常规:蛋白质3+,酮体2+,潜血2+。心电图示:窦性心动过速。门诊以“肺炎”收住院。。
2.既往史:既往高血压病史10余年,血压最高达180/110mmHg,口服替米沙坦1片1/日,无冠心病、糖尿病等慢性病史,无肝炎、伤寒、结核等传染病史,无外伤史,无手术史,无输血史,预防接种史不详,否认药物、食物过敏史。
【检查】: 3.查体:T38.6℃,P120次/分,R20次/分,BP170/60mmHg。神清,呼吸平稳,浅表淋巴结无肿大,双肺叩清音,双肺呼吸音粗,闻及湿性啰音,心率100次/分,律齐,无杂音,腹软,无压痛、反跳痛及肌紧张,双下肢无水肿。
4.辅助检查:头胸部CT:脑干密度欠均匀,双侧基底节区腔隙灶,脑白质稀疏,脑萎缩,鼻窦炎,右肺炎症,主动脉及冠状动脉钙化,双侧胸膜局限性增厚,甲状腺左叶密度欠均匀,建议结合临床复查。查血常规:白细胞数目11.85x109/L,C-反应蛋白241.01mg/L,中性粒细胞数目9.98x109/L,肝功能:谷丙转氨酶108U/L,谷草转氨酶110U/L,心肌酶、血糖、肾功能、钾钠氯、血脂大致正常,尿常规:蛋白质3+,酮体2+,潜血2+。心电图示:窦性心动过速。
【临床诊断】:肺炎
【治疗经过及结果】:哌拉西林他唑巴坦加左氧氟沙星
总结与讨论
猜病原体






















































