那个被大便憋死的患者,死因是什么?
第 102 期病例榜第 8 名病例信息
【患者信息】:
患者,男性,73岁。
【主诉】:
肛门停止排气、排便1个月
【现病史及既往史】:
既往史:肺恶性肿瘤(术后),高血压、糖尿病。
现病史:患者1月前开始无明显诱因出现肛门停止排气、排便。伴腹胀不适,及恶心。无发热,无便血,无呕吐,无呕血。患者半月前曾与当地某医院普外科就诊,给予患者补液、禁食、灌肠等处理,持续半月,症状无改善,急诊转入我科。患者既往神志清、精神可,饮食、睡眠正常,小便正常,大便每2-4日一次。
【检查】:
入院后急诊行腹部CT检查:可见结肠、直肠扩张明显。


见如此腹部CT,当日与患者行内镜下减压治疗。
此时患者血常规、凝血功能正常,电解质紊乱(低钾、氯、钙)
CEA 6.77
急诊内镜检查,可见直肠进镜20cm,直肠大量粪块崁顿.进镜困难。冲洗后粪块无变化。

翌日,患者DSA下放置肠梗阻管治疗。放置过程中可见结肠内大量干粪块,肠道内完全堵塞。。不过介入医生水平可以,肠梗阻放入横结肠近端。

随后经肠梗阻管冲洗治疗。但患者仅仅有少量粪水排出。
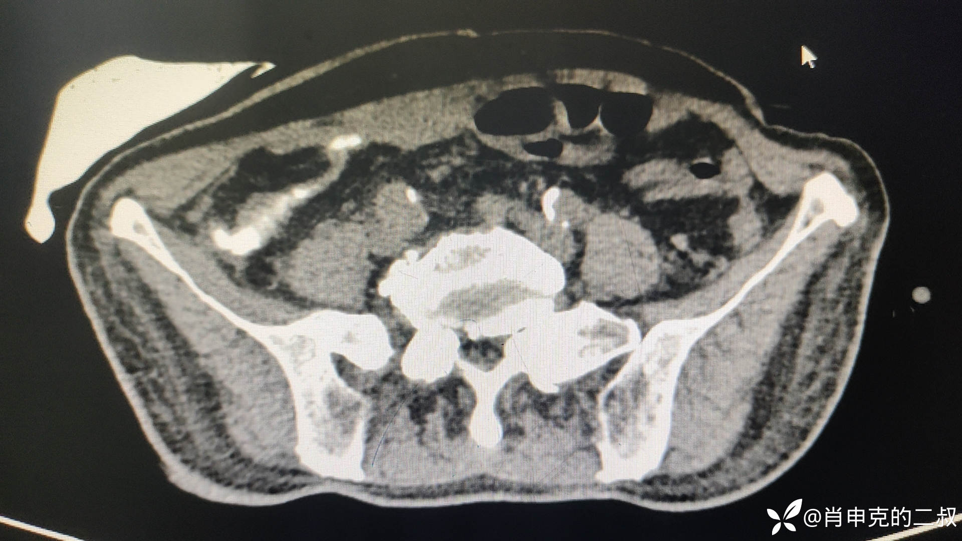
肠梗阻管治疗第3日,复查腹部CT,并无明确好转。

当日夜间,患者腹胀、腹痛明显,随后我们未患者行急诊剖腹减压治疗。
手术的最初设定方案,是乙状结肠或者横结肠造口将粪便排出。
但是手术过程中,我们开腹后见全大肠肠管扩张明显,其中粪块坚硬如砖头,无法挤压排出。。。随后我们调整手术方案,决定性全大肠切除+小肠造瘘。


由于结肠太大,太沉,需要单独一个医生整个抱起结肠。

术后结肠几十斤。。。最粗的地方堪比大腿一般粗。

手术过程很顺利,凌晨12点做到凌晨4点。术后患者入ICU治疗。
当日上午,患者小肠排出大量粪便。

术后第三日,患者出现腹腔引流管出血,出血量大时,一小时可出500ml。反复输血治疗。此时患者出现凝血功能障碍。


随后患者出现明显谵妄,并且自行拖拽全身管路。这是出现的麻烦是如何进行补液,补液量高了患者心脏收不了,补液量少能量不够、血容量不足。由于禁食时间过程患者严重低蛋白血症及电解质紊乱,我们只能尽力补充。


在大量输血的情况下,患者勉强控制了出血。此时患者严重的凝血障碍。
后续的几天患者出现发热,造口仍不断排出粪便。

经血培养确定患者存在真菌感染,但此时患者早已开始使用抗真菌药物。

由于长期卧床,患者并发坠积性肺炎。ICU患者给予患者血滤治疗。。。

肝功能异常、胆红素异常、低蛋白、电解质紊乱、呼碱合并代碱、心肌酶普升高。患者出现所有实验室指标的异常。

除了贫血外,患者开始出现血小板下降,输血小板、冷沉淀。。。。。

血小板已经下降至个位数。。此时患者谵妄不能解除,完全胡言乱语。。。


此时患者,,复查CT:心包积液、胸腔积液、肺部感染、肺不张。。腹部CT反而未见特殊异常。。。
术后第20天,患者清晨突然完全清醒,语言对答流利,谵妄解除。并且要求进食及下床活动。
术后第21天,患者心跳呼吸停止。。
总结与讨论
梗阻一个月紧急手术,这是我们不愿意看到的。我们处理了这么多严重的梗阻,大部分在肠梗阻管治疗后就能接触危机。死亡的患者并不多。
其实我也很疑问该患者最终的死因是什么??欢迎各位大佬讨论。。。。。。
















































