太凶险了!头痛伴发热起病,入院pH 6.7,3天后死亡!
飞跃迷雾1 达人已点赞病例信息
【患者信息】:患者,男,31岁。
【主诉】:头痛伴发热4天。
【现病史及既往史】:患者4天前无明显诱因下出现头痛,疼痛位于后枕部,颈部酸胀,无恶心呕吐,无食物模糊,无意识水平下降,无黑矇、晕厥。伴发热,体温最高未测,无畏寒、寒战,无咽痛、咳嗽、咳痰等表现。
外院左氧氟沙星抗感染3天后无好转,胸闷气急加重,伴疲乏无力,嗜睡,转诊我院急诊。预检评估血压低,心率快,入抢救室监护治疗。
既往史:糖尿病5年,家属诉服药不规律,平时血糖控制不佳。
【体格检查】:T 37.2℃,P 159bpm,RR 31次/分,Bp 96/60mmHg。神志淡漠,消瘦,重病面容,面色潮红。颈软,无显著抵抗,呼吸深大,双肺呼吸音粗,心率快,律齐。腹部平坦,双下肢无水肿,病理征未引出。
【急诊相关辅助检查】
血气分析:失代偿性代谢性酸中毒,血乳酸升高。

血常规:白细胞计数19.4x10^9/L,中性粒百分数91.2%。

急诊室生化:乳酸脱氢酶514IU/L ↑,肌酸激酶337U/L ↑,β-羟基丁酸 9.18mmol/L ↑,葡萄糖24.73mmol/L ↑,超敏C反应蛋白242.3mg/L↑。

D-二聚体1.57μg/mL ↑,PT 14.7s,APTT 35.5s,纤维蛋白原8.34g/L。
白介素6 863.2pg/mL↑,降钙素原 3.32Hng/mL↑。
胸部CT、心脏超声、肝胆胰脾超声未见异常。
急诊头颅CT未见明显急症征象。附见:部分鼻窦炎,鼻咽后壁增厚。
【临床诊断】:
- 糖尿病伴酮症酸中毒
- 中枢神经系统感染待排
【治疗经过及结果】:患者入急诊后诊断考虑糖尿病酮症酸中毒,重症感染:中枢神经系统可能。予积极补液、扩容、降糖、纠正酸中毒,维持内环境稳定。收住EICU,予经验性美罗培南+达托霉素抗感染治疗。同时完善腰穿、脑脊液检查,同步送检血及脑脊液mNGS筛查病原学。
脑脊液常规、生化、墨汁染色等检查无异常。
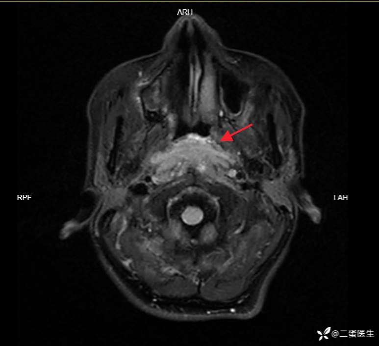
头颅CT见“鼻咽部软组织增厚明显”,进一步完善头颅增强MRI,提示“鼻咽腔软组织填充、强化,两侧头长肌及两侧翼内肌信号改变”。

入院后第二天夜间,患者病情加重,出现嗜睡、休克,左侧眼球固定,左侧瞳孔散大,左侧眼睑下垂,左侧周围性面瘫,左侧面部麻木,予行气管插管、机械通气。
血mNGS结果回报,米根霉(序列数133)。

患者自入院后虽经积极治疗,但因病情危重,进展快,意识水平进行性下降,最终昏迷状态,GCS 1+T+1,双侧瞳孔散大固定,血流动力学极不稳定,大剂量血管活性药物维持,家属商议后要求自动出院。
总结与讨论
毛霉菌病最常见的临床表现为鼻-眶-脑感染,可能始于易感宿主经鼻窦吸入孢子后。高血糖症(通常存在相关的代谢性酸中毒)是最常见的基础病症。一项纳入179例鼻-眶-脑毛霉菌病患者的回顾性研究发现,其中126例(70%)患者有糖尿病,多数患者就诊时存在酮症酸中毒。
感染通常表现为急性鼻窦炎,伴发热、鼻充血、脓性鼻分泌物、头痛和鼻窦区疼痛。所有鼻窦均受累,并蔓延至邻近结构,如腭、眼眶和脑,通常在几日内迅速进展。
眼眶受累的体征包括眶周水肿、眼球突出和失明。常见面部麻木,这是由第五对脑神经感觉支梗死导致的。感染从筛窦播散至大脑额叶可导致意识模糊。从蝶窦蔓延至邻近的海绵窦可导致脑神经麻痹、海绵窦血栓形成和颈动脉受累。
一篇对1970-1993年间文献中报道的208例鼻-眶-脑毛霉菌病病例进行的回顾性研究发现,症状和体征的发生率如下:
- 发热–44%
- 鼻溃疡或坏死–38%
- 眶周或面部肿胀–34%
- 视力减退–30%
- 眼肌麻痹–29%
- 鼻窦炎–26%
- 头痛–25%
鼻-眶-脑毛霉菌病最常由米根霉菌导致。
(参考资料来自于UpToDate临床顾问)
















































