男性40岁,咳嗽、咳痰5天,CT示空洞病变,可能是啥病原菌?
病例信息
【患者信息】:男, 40 岁,
【主诉】:主因咳嗽、咳痰5天
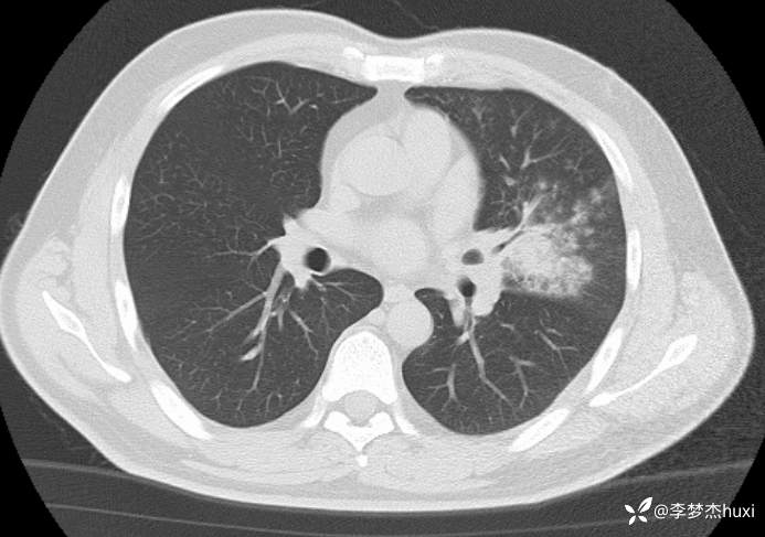
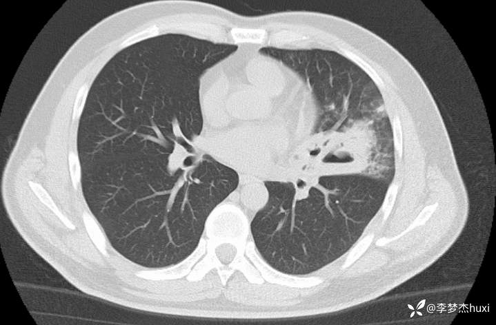
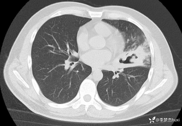
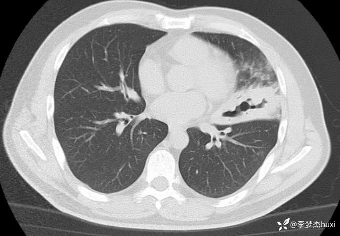
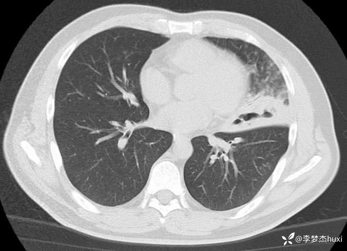
【现病史及既往史】: 1.患者中年 男,患者缘于5天前前无诱因出现咳嗽、咳痰,为黄痰,伴臭味,痰不易咳出,伴发热,最高体温不详,无喘息、憋气,无胸痛,无咯血,无腹痛腹泻,无恶心、呕吐。院外未应用药物治疗,症状无明显好转,为求进一步治疗来院就诊,门诊查胸部CT;双肺炎症,左肺上叶厚壁空洞形成,双肺纹理增重,双侧胸膜局限性增厚,脂肪肝,建议结合临床复查。以“肺炎”收住院;。
2.既往体健;否认“高血压、冠心病、糖尿病”病史;否认食物、药物过敏史。
【检查】: 查体:T36.3℃,P84次/分,R20次/分,BP140/60mmHg。神清,呼吸平稳,浅表淋巴结不大,双肺叩清音,双肺未闻及干湿性啰音,心率84次/分,律齐,无杂音。腹部平坦,软,腹部无压痛,无反跳痛及肌紧张,肝脾肋下未触及,双下肢无水肿。
【临床诊断】:肺脓肿伴有肺炎。
【治疗经过及结果】:化验:血沉:110.4MM/H,C-反应蛋白:52.3mg/L,提示感染重。纤维蛋白原浓度:9.79g/L, D-二聚体:0.8mg/L,提示血液高凝状态,肾功能 尿酸:575umol/L,提示高尿酸血症,血常规 白细胞数目:13.45×10^9/L,中性粒细胞数目:11.57×10^9/L,,抗生素予头孢吡肟)、止咳化痰(复方甘草片、氨溴索)及对症支持治疗。
总结与讨论
猜病原菌,欢迎留言讨论























































