男性82岁,美罗培南治疗仍发热的肺炎,考虑什么病原菌?
病例信息
【患者信息】:男, 82 岁
【主诉】:意识不清3小时
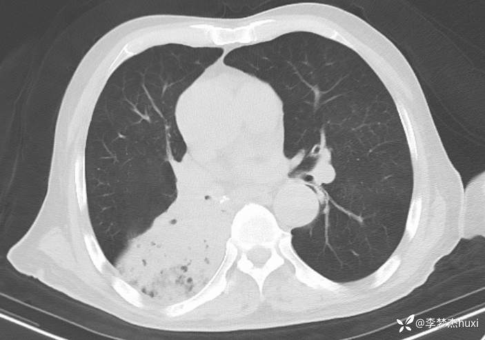
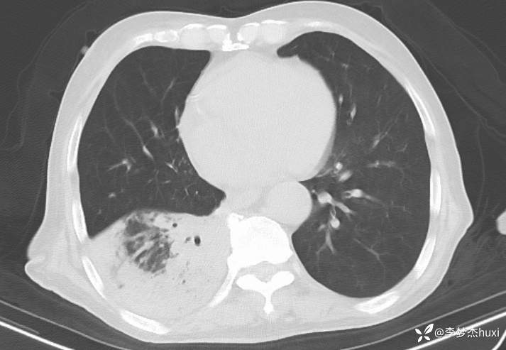
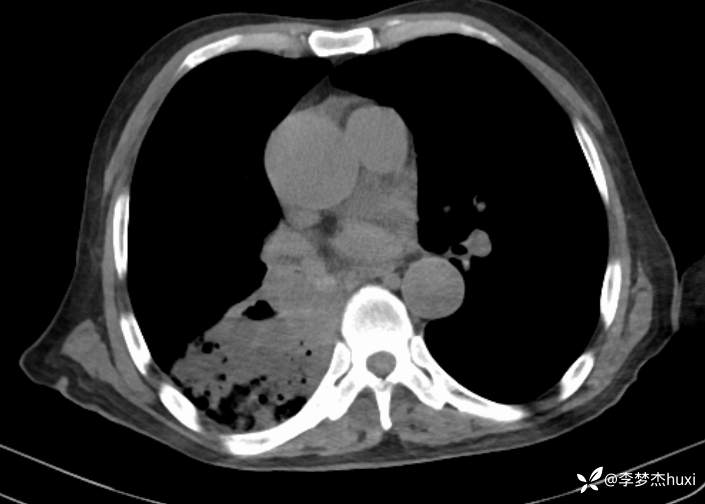
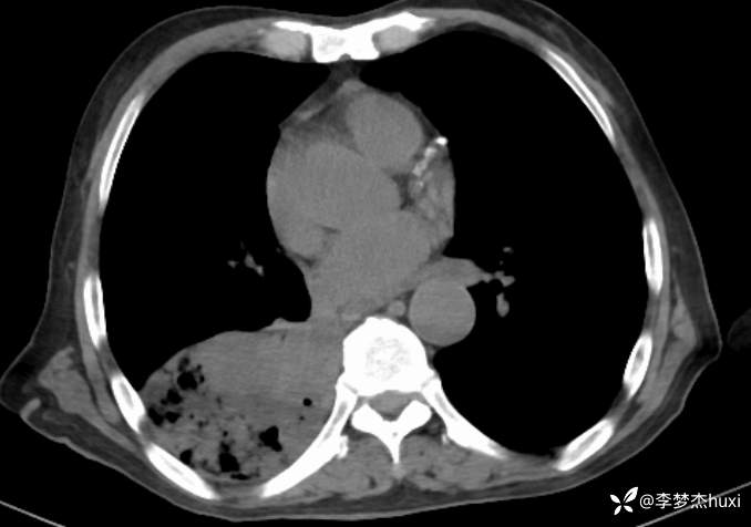
【现病史及既往史】: 1.患者老年 男,患者缘于3小时前无诱因出现意识不清,伴咳嗽、咳痰,痰不易咳出,伴发热,最高体温不详,院外应用“退热药物”(具体不详)治疗,无恶心、呕吐,无大小便失禁,无胸痛,今为求进一步治疗来院就诊,急诊查胸部及头CT:双侧基底节区腔隙性脑梗塞,脑白质稀疏,脑萎缩,脑干密度不均匀,右肺感染首为考虑,占位待除外,建议治疗后复查,右肺中叶局限性炎症,双肺间质性改变,主动脉及冠状动脉钙化,双肺气肿,左肺实性结节,建议复查,纵隔内及右肺门结节,右肺门增大。右肺下叶部分支气管堵塞。右侧胸膜局部增厚并少量积液,甲状腺密度不均匀,胆囊结石,右肾类圆形囊性密度影,建议结合超声。查血常规:白细胞数目 13.91*109/L,BNP前体 1360pg/ml。D-二聚体 0.8pg/ml。以“肺炎”收住院;。
2.既往抑郁症7年,院外应用“奥氮平、阿普唑仑”治疗。否认“高血压、冠心病、糖尿病”病史;否认食物、药物过敏史。
【检查】: 查体:T36.0℃,P84次/分,R20次/分,BP90/60mmHg。昏迷,呼吸平稳,浅表淋巴结不大,双肺叩清音,右肺闻及湿啰音,心率84次/分,律齐,无杂音。腹部平坦,软,上腹部压痛,无反跳痛及肌紧张,肝脾肋下未触及,双下肢无水肿。
4.辅助检查:急诊查胸部及头CT:双侧基底节区腔隙性脑梗塞,脑白质稀疏,脑萎缩,脑干密度不均匀,右肺感染首为考虑,占位待除外,建议治疗后复查,右肺中叶局限性炎症,双肺间质性改变,主动脉及冠状动脉钙化,双肺气肿,左肺实性结节,建议复查,纵隔内及右肺门结节,右肺门增大。右肺下叶部分支气管堵塞。右侧胸膜局部增厚并少量积液,甲状腺密度不均匀,胆囊结石,右肾类圆形囊性密度影,建议结合超声。查血常规:白细胞数目 13.91*109/L,BNP前体 1360pg/ml。D-二聚体 0.8pg/ml。。
【临床诊断】: 1.细菌性肺炎,2.感染性休克。
【治疗经过及结果】:美罗培南抗感染
总结与讨论
美罗培南治疗无好转,并出现右侧胸腔积液,可能的病原菌?































































