【规培病例诊疗分析】高龄老太,髂骨骨折如何治疗
病例信息
患者,89岁,老年女性
主 诉:摔倒后左髂部疼痛1-天。
现病史:患者1天前在家中不慎摔倒,左髂部撞击石头,致使左髂部疼痛,呈持续性锐痛,伴左髋部主动及被动活动受限,伤后左髂部皮肤擦伤,轻微渗血,肢端无麻木不适,无头晕、头痛,无恶心、呕吐,无胸痛、胸闷,无呼吸困难,无腹胀、腹痛,无大小便失禁等伴随症状。患者遂在亲属陪同下到当地医院住院治疗,建议上级医院进一步手术治疗,遂就诊我院门诊。遂以“左侧髂骨骨折”收住我科住院治疗。病程中患者神志清楚,精神可,大小便正常,体重无明显变化。
既往史、个人史等无特殊。
专 科 情 况
左髋部稍肿,约0.5*3cm皮肤擦伤,创面清洁干燥。左髋部压痛、叩痛阳性,骨盆分离挤压试验阳性,左下肢纵向叩击痛阴性,左髋关节活动痛性受限;左下肢查体无明显异常
实 验 室 及 辅 助 检 查
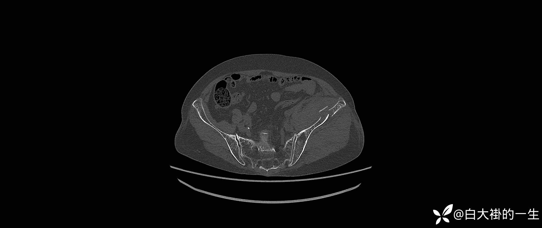
2024-08-03外院DR:左髂骨粉碎性骨折。
入院诊断:1.左髂骨粉碎性骨折;2.左髋部皮肤擦伤。
影像学如图:




分析处理
本例采取的左髂骨骨折切开复位内固定术
总结与讨论
髂骨骨折分型?
髂骨骨折的治疗原则?
本例髂骨骨折还可以采取的固定方式?手术入路?有哪些技巧?
















































