眼底激光治疗中心性浆液性脉络膜视网膜病变3例
一眼万年_连仲 达人已点赞中浆是我们眼科工作者非常常见的病例,大家是怎么治的呢?
来看看下面的病例,欢迎大家讨论
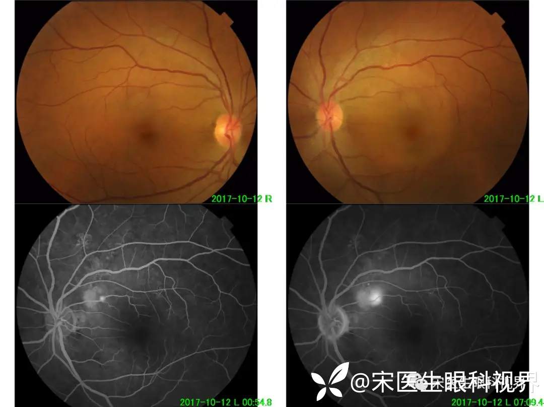
case1:45岁男性,长途司机,左眼视力下降1月余,VOS:0.4

FFA所见:左眼黄斑鼻上方距中心凹约1PD处点状渗漏荧光,随时间延长,渗漏扩大。
给予532眼底激光光凝治疗。

激光后20天VOS:0.6,激光后48天VOS:0.8,效果满意。

半年后复查无复发。
case2
52岁女性,家庭妇女,左眼视力下降半年余,VOS:0.2


诊断为:左眼中心性浆液性脉络膜视网膜病变,激光后21天VOS:0.6,半年后无复发。
case3
53岁女性,右眼视力下降2月余,VOD:0.6


532眼底激光光凝治疗+口服卵磷脂络合碘胶囊3个月后视力恢复到0.8。
总 结
- 中浆是视网膜色素上皮(RPE)失代偿,屏障功能受损,液体渗漏所致RPE和(或)神经上皮层脱离。常表现为不同程度的视力下降、视物变形、变小、变暗等,感冒、劳累、情绪波动容易诱发
- 荧光素眼底血管造影结合OCT检查可确诊并指导激光治疗。典型的FFA表现为黄斑区圆形荧光渗漏,随时间延长而扩大
- 激光治疗中浆具有安全、有效、恢复快、并发症少等优点。过去认为病程超过3个月以上才激光,实际上黄斑长期浆液性脱离,视细胞外节与RPE细胞绒毛突的正常定向性生理嵌合不可能完全恢复正常、所以,治疗越早效果越好
- 激光治疗中浆的机制是利用激光的热效应破坏失代偿的RPE细胞和刺激周围正常RPE细胞增殖,恢复新的RPE屏障。参考参数:光斑大小100-200um,曝光时间:0.1-0.2秒,功率:100-300mw,I级光斑。
















































