【上海CPC】散在空洞性病变,是感染吗?
病例信息
病例介绍(上海市8月份CPC疑难病例讨论)
患者,男,35岁
主诉:发热1周伴咽痛、乏力
现 病 史:患者1周前受凉后开始出现发热,体温最高达41℃,伴有咽痛、吞咽困难,感畏寒、四肢肌肉酸痛,有乏力、纳差表现,无寒战,无鼻塞、流涕,无咳嗽、咳痰,无咯血,无痰中带血,无声嘶呛咳,无恶心、呕吐,无腹痛、腹泻,无呕血、黑便,无便血,无胸痛,无意识障碍,2023-4-16至我院发热门诊就诊,查胸部CT:两肺感染,考虑炎症,建议结合临床。心包少量积液。血常规:WBC:16.01*10^9/L、N:90.3%、PLT:46*10^9/L、CRP153.26mg/L。电解质:血钾3.47mmol/L。肝功能正常。给予左氧氟沙星抗感染,赖氨匹林退热等治疗2天,患者仍有发热,热峰在38.5℃,遂拟诊“细菌性肺炎”收入病房。
起病以来,患者精神软,纳差明显,近4天几乎未进食,夜间睡眠差,大小便正常,发病至今体重减轻约8斤,体力较前明显下降。
既 往 史:否认急、慢性传染病史,按时预防接种,否认手术外伤史,否认输血史,否认药物、食物过敏史,否认糖尿病,冠心病,慢性肾脏等疾病史。
个 人 史:否认化学性物质、放射性物质、有毒物质接触史。否认吸烟史。否认饮酒史。否认冶游史。否认家族遗传病史。否认家族肿瘤史。
体格检查:T:38.6℃,P 102次/分,R:20次/分,BP:120/75mmHg,指末氧饱和度(未吸氧)96%,神志清楚,精神软,痛苦病容,浅表淋巴结未触及肿大,呼吸平稳,张嘴困难,上鄂可见散在脓点,扁桃体未见肿大,口唇无发绀,双肺呼吸音粗,未闻及明显干湿性啰音,心尖搏动位于第五肋间左锁骨中线内0.5cm,心率102次/分,心律齐,各瓣膜听诊区未闻及病理性杂音,全腹平软,无压痛及反跳痛,肝脾肋下未扪及,双下肢无浮肿,四肢肌力5级,肌张力正常,双侧巴氏征未引出。
诊疗经过:入院后予以哌拉西林钠联合磷霉素抗感染,止咳、化痰:雾化吸入;纠正低钾血症等治疗,入院后第二天患者诉夜间感左侧胸部皮肤疼痛,查体见左侧锁骨下见一肿块5*5cm,质软,无明显波动感,皮肤表面红肿,触痛(+),停用哌拉西林钠、磷霉素,改为美罗培南1.0q8h、利奈唑胺0.6q12h静滴加强抗感染;并予以纠正血小板减少(丙种球蛋白自备,白介素-11皮下注射)等治疗10天,患者咽痛缓解,纳差改善,仍持续发热,体温波动在38.1-39.4℃,伴乏力,2023-04-29完善胸部增强CT:1.两肺多发肺脓疡,双侧少量胸腔积液。2.心包少量积液。头颅、腹部CT未见远处脓肿病灶。
化验结果:
2023-4-16【血常规】WBC:16.01*10^9/L ↑、N:90.3% ↑、PLT:46*10^9/L ↓ 、CRP153.26mg/L ↑。电解质:血钾3.47mmol/L↓ 。
肝功能正常。
2023-04-18【咽拭子】肺炎支原体、肺炎衣原体、新冠病毒核酸(COVID-19):阴性;甲型流感病毒、乙型流感病毒、嗜肺军团菌、呼吸道合胞病毒(RNA)A型、呼吸道合胞病毒(RNA)B型:核酸均阴性;
2023-04-19
【甲状腺功能】 三碘甲状腺原氨酸:1.34nmol/L,甲状腺素:117nmol/L,促甲状腺素:1.330uIU/ml,游离三碘甲状腺原氨酸:2.8pmol/L ↓,游离甲状腺素:13.9pmol/L;
【血常规】血红蛋白:124g/L ↓,红细胞计数:4.32×10^12/L,白细胞计数:19.28×10^9/L ↑,红细胞压积:38.1% ↓,平均红细胞体积:88.2fl,平均血红蛋白量:28.7pg,平均血红蛋白浓度:325g/L,血小板计数:30×10^9/L ↓ ,血小板压积:0.04%↓,大血小板比率:52.2%↑,红细胞分布宽度CV:14.3%↑,红细胞分布宽度SD:45.9fl,血小板分布宽度:20.1fl↑,平均血小板容积:13.1fl↑, 嗜中性粒细胞%:91.9% ↑,淋巴细胞%:3.3% ↓,单核细胞%:4.5%,嗜酸性粒细胞%:0% ↓,嗜碱性粒细胞%:0.30%,嗜中性粒细胞数:17.72×10^9/L↑,淋巴细胞计数:0.64×10^9/L↓,嗜酸性粒细胞数:0×10^9/L↓,单核细胞数:0.86×10^9/L↑,嗜碱性粒细胞数:0.06×10^9/L;
C-反应蛋白: >370mg/L↑, 血沉: 66↑, 降钙素原:95.558ng/ml ↑;
【可溶性炎症因子12项】白介素1β:2.48pg/mL,白介素4:2.80pg/mL,白介素5:1.70pg/mL,白介素6:260.05pg/mL ↑ ,白介素8:121.97pg/mL ↑,白介素10:53.31pg/mL ↑,白介素12p70:2.28pg/mL,白介素17A:6.61pg/mL,肿瘤坏死因子-α:3.01pg/mL,干扰素-α:2.95pg/mL,干扰素-β:2.40pg/mL,白介素2:2.86pg/mL;
真菌1-3-β-D葡聚糖:<10.00pg/ml, 细菌内毒素测定:<5.00pg/ml, 半乳甘露聚糖:<0.1000ug/L,
隐球菌荚膜多糖:阴性(-);
【传染病指标】梅毒初筛试验:阴性(-),人免疫缺陷病毒抗体:阴性反应;
【免疫】军团菌抗体检测:阴性(-) ,肺炎支原体血清学检测:阴性(-) ,Q热立克次体检测:阴性(-) ,肺炎衣原体抗体检测:阴性(-) ,腺病毒抗体测定:阴性(-) ,合胞病毒抗体测定:阴性(-) ,甲型流感病毒检测:阴性(-) ,乙型流感病毒检测:阴性(-) ,副流感病毒抗体测定:阴性(-) ;
【凝血功能】 凝血酶原时间:16.2秒 ↑,PT活性度:47%↓,国际标准化比值:1.40 ↑,部分凝血活酶时间:31.9秒 ↑,纤维蛋白原:6.52g/L ↑,凝血酶时间:14.3秒,抗凝血酶Ⅲ:70.6%↓,低分子肝素:0ug/mL;
【肿瘤指标】 甲胎蛋白:1.31ng/ml,癌胚抗原:0.87ng/ml,糖类抗原125:62.13U/mL ↑,糖类抗原153:11.71U/ml,糖类抗原199:6.55U/mL,鳞状上皮细胞癌抗原:0.19ng/mL,细胞角蛋白19片段:0.63ng/mL;
【尿核基质蛋白22】:阴性(-) ;
【免疫】 弓形虫IgG:0.02(-),单疱病毒2型IgM:0.0(-),弓形虫IgM:0.00(-),风疹病毒IgG:7.63(+-),巨细胞病毒IgG:389.8(+),风疹病毒IgM:0.21(-),巨细胞病毒IgM:2.1(-),单疱病毒2型IgG:0.0(-);
【尿常规】正常;
【生化】总胆红素:20.0umol/L,直接胆红素:7.9umol/L ↑,谷丙转氨酶:14U/L,谷草转氨酶:31U/L,线粒体-AST:11.0U/L,总蛋白:49.7g/L ↓, 白蛋白:23.9g/L ↓,前白蛋白:41mg/L ↓,白球比例:0.9↓, Υ-谷氨酰酶:28.0U/L,碱性磷酸酶:192U/L ↑,总胆汁酸:2.8umol/L,谷胱甘肽还原酶:65U/L,葡萄糖:5.6mmol/L, 肌酐:117.2umol/L ↑ ,估算肾小球率过率-EPI:69.03mL/(min*1.),胱抑素C:1.50mg/L↑, 尿素:13.8mmol/L ↑,尿酸:0.311mmol/L,补体C1q:151.0mg/L ↓ ,血β2微球蛋白:5.73mg/L ↑, 钾:3.15mmol/L ↓, 钠:141mmol/L,氯:95.0mmol/L ↓ ,钙:1.80mmol/L ↓,磷:0.77mmol/L ↓,镁:1.05mmol/L,碳酸氢盐:31.0mmol/L,总胆固醇:1.71mmol/L,甘油三酯:2.38mmol/L ↑,高密度脂蛋白-胆固醇:0.20mmol/L ↓,低密度脂蛋白-胆固醇:1.3mmol/L,小而密LDL-C:30.9mg/L↓, 同型半胱氨酸:14.0umol/L↑,游离脂肪酸:0.59mmol/L,超氧化物歧化酶:84.0U/mL↓;
免疫球蛋白E:315.4IU/mL ↑;
抗链球菌溶血素O:49.0IU/mL,类风湿因子:6.0IU/mL,抗环瓜氨酸抗体:10U/mL ;
2023-04-20
【血常规】血红蛋白:130g/L,红细胞计数:4.49×10^12/L, 白细胞计数:18.35×10^9/L↑ ,红细胞压积:39.1%↓,平均红细胞体积:87.1fl,平均血红蛋白量:29.0pg,平均血红蛋白浓度:332g/L,血小板计数:37×10^9/L ↓ ,红细胞分布宽度CV:14.6%↑,红细胞分布宽度SD:46.7fl↑, 嗜中性粒细胞%:92.7% ↑ ,淋巴细胞%:5.3% ↓ ,单核细胞%:1.8%↓,嗜酸性粒细胞%:0%↓,嗜碱性粒细胞%:0.20%,嗜中性粒细胞数:16.68×10^9/L↑,淋巴细胞计数:0.95×10^9/L↓,嗜酸性粒细胞数:0×10^9/L↓,单核细胞数:0.32×10^9/L,嗜碱性粒细胞数:0.04×10^9/L,网织红细胞计数%:0.17%↓;
【自身免疫】 抗核抗体(IIF):阴性(-) ,抗nRNP抗体:阴性(-) ,抗SM抗体:阴性(-) ,抗SSA抗体:阴性(-) ,Ro-52:阴性(-) ,抗SSB抗体:阴性(-) ,抗SCL-70抗体:阴性(-) ,多肌炎硬皮病抗体:阴性(-) ,抗JO-1抗体:阴性(-) ,抗着丝点抗体:阴性(-) ,细胞周期蛋白Ⅰ型:阴性(-) ,抗双链DNA抗体:阴性(-) ,抗单链DNA抗体:阴性(-),抗核小体抗体:阴性(-) ,抗组蛋白抗体:阴性(-) ,抗核糖体P蛋白:阴性(-) ,抗线粒体抗体Ⅱ型:阴性(-) ;
ANCA均(-);
【气管镜灌洗液】 结核抗酸杆菌涂片:未找到;
2023-04-21
【气管镜灌洗液培养】细菌未生长;
【血Tspot 、寄生虫检测】阴性。
特殊检查:
2023-04-18【腹部超声】胆囊内絮状回声(胆泥形成可能)。
2023-04-20【气管镜】声门活动可,气管环清晰,隆突薄锐。两侧:气管及支气管粘膜光整,稍苍白,管腔内可见较多黄白色痰液,左下叶痰液较多,吸之各管腔通畅,管口未见新生物。
2023-04-21【心脏超声】1、左房内径正常,左室内径正常,左室壁不增厚,静息状态下室壁收缩活动未见明显异常。2、二尖瓣不增厚,开放不受限,彩色多普勒未测及二尖瓣反流,二尖瓣血流图E峰大于A峰。3、主动脉不增宽,主动脉瓣不增厚,开放不受限,彩色多普勒未测及主动脉瓣反流。4、右房、右室不大,肺动脉不增宽,肺动脉及三尖瓣血流图未见明显异常。心包腔内见无回声区,左室后壁后方约5mm。 心包腔积液。
2023-04-23
【颈部超声】左颈部颈总动脉外侧、肌层后方不均质回声团,左锁骨下胸壁不均质回声团,内以弱回声为主,左颈内静脉壁毛糙、增厚 右颈内静脉内充满点絮状回声,右侧颈部低回声结节(淋巴结可能),请结合临床。
【血管超声】双侧下肢股总动脉、股深动脉、股浅动脉、腘动脉、足背动脉走行正常,内膜欠光整,CDFI:彩色血流充盈良好。
【下肢静脉】双侧下肢股总静脉、股深静脉、股浅静脉、腘静脉内径及走行正常,探头加压管腔能变形,管腔内无异常回声,彩色及频谱多普勒检测均出现血流信号,且血流充盈良好。双侧下肢深静脉血流缓慢,见血流自显影。
影像学检查:
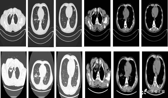
2023-4-16【胸部CT】两肺感染,考虑炎症,建议结合临床。心包少量积液。
2023-4-29【胸部增强CT】1.两肺多发肺脓疡,双侧少量胸腔积液。 2.心包少量积液。
2023-04-29【全腹CT】1.脾脏低密度灶,肝脏左叶及左侧肾脏小囊性低密度灶,建议增强MRI进一步检查。2.右肾小结石。3.下腹部肠道内较多气粪影,余下腹部及盆腔CT平扫未见明显异常。
2023-04-29【头颅CT】颅脑CT平扫颅内未见明显异常,必要时MRI进一步检查。

2023-04-16上面一排, 2023-04-29下面一排

支气管镜检查

讨论内容:1.患者目前的诊断是什么?
2.下一步诊疗方案?
分析处理
@唐绍宏 @李梦杰huxi @涂涂呼吸 @多喝热水0324 @virjoy森 @华夏览雄 @dxy_kycn1ka3 @李小平主任 @勇往向前医者心 @xiseng @胡志勇HZY @belb咏歌 @ljzhang168 @L陈云旗
















































