隐秘的“真凶”-肺叶实变究竟何种病因?
李梦杰huxi 达人已点赞病例信息
女患,45岁,职业普通职员,初次就诊时间:2024-03-27
病史:患者入院10天前无明显诱因出现咳嗽、发热、咳痰,咳白色痰,最高温度达37.8℃,伴有活动后气短,无头晕、头痛,无心悸、气短,无恶心、呕吐,无腹痛、腹胀、腹泻,未行相关诊治,患者自发病以来,精神状态可,饮食及睡眠可,大小便正常,近期体重无明显改变。
既往体健;无宠物、家禽等接触史。
查体:右肺可闻及湿罗音,触觉语颤增强,其余各脏器查体未见明显异常。
入院检查(2024.03.27):血常规:白细胞12.26×109/L,中性粒细胞百分比85.3%, 红细胞计数4.64×1012/L,血红蛋白134g/L,血小板计数458×109/L。生化常规:总蛋白65g/L,白蛋白38g/L,ALT及AST正常;肌酐47μmol/L,钾离子、钠离子、氯离子正常范围内。C-反应蛋白135mg/L。甲流、乙流、新冠:阴性。
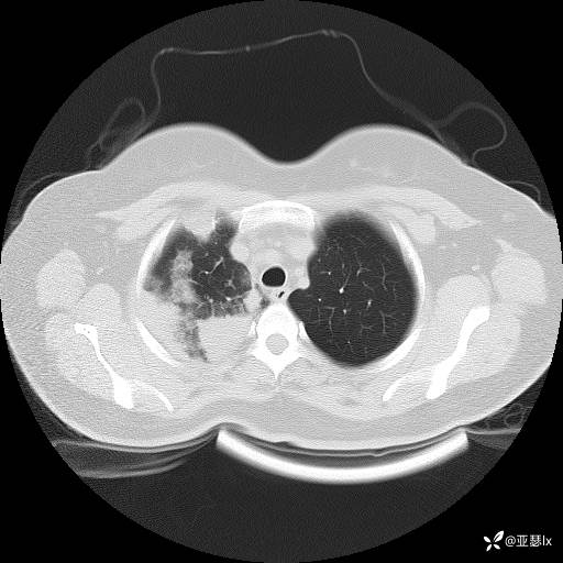
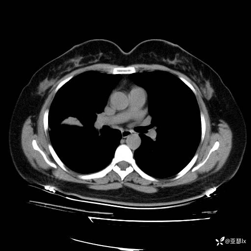
影像学:







分析处理
初步诊断:社区获得性肺炎
诊断依据:1.社区发病;2.病史及体征:咳嗽、发热等急性感染表现;查体:右肺可闻及湿罗音,触觉语颤增强;3.实验室检查:感染指标明显升高;影像学:右肺实变影。
鉴别诊断:1.感染性:细菌、分枝杆菌、病毒、真菌病原体鉴别。
2.异常液体:肺出血?
3.肉芽组织:机化性肺炎?结节病?嗜酸性粒细胞性肺炎?类脂性肺炎?
4.其他:肿瘤?肺梗死?
初步治疗:经验性抗感染(左氧氟沙星+青霉素钾),同时筛查病原体。
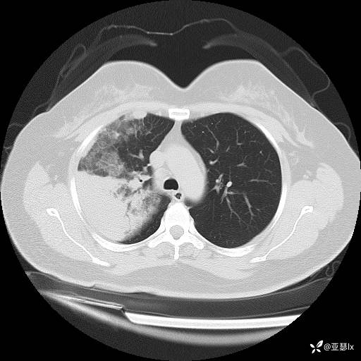
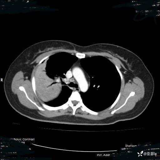
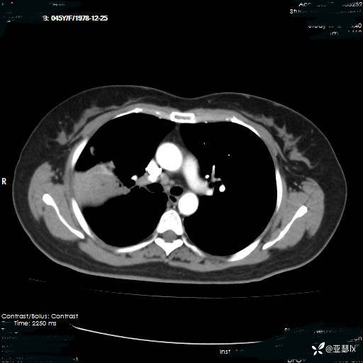
治疗后复查影像学(2023.04.07)





患者体温有所改善,但影像学未见明显变化,后续行肺穿刺活检检查。
总结与讨论
肺实变究竟为何病因:非典型病原体?机化性肺炎?还是其他非感染性因素? @丁香园病例库
















































