一样的息肉,少见的病理
西兰花饺子 推荐病例信息
63岁女性,体检胃肠镜,肠镜监查见多发息肉,其中肝曲见一直径约1.0cm亚蒂息肉,病变表面稍红,有少许血迹,近景观察表面私有粘液感,BLI观察见表面微结构、微血管欠清晰。





处理分析
内镜下符合0-Isp型,NICE分型考虑为2型?,决定行EMR切除
总结与讨论
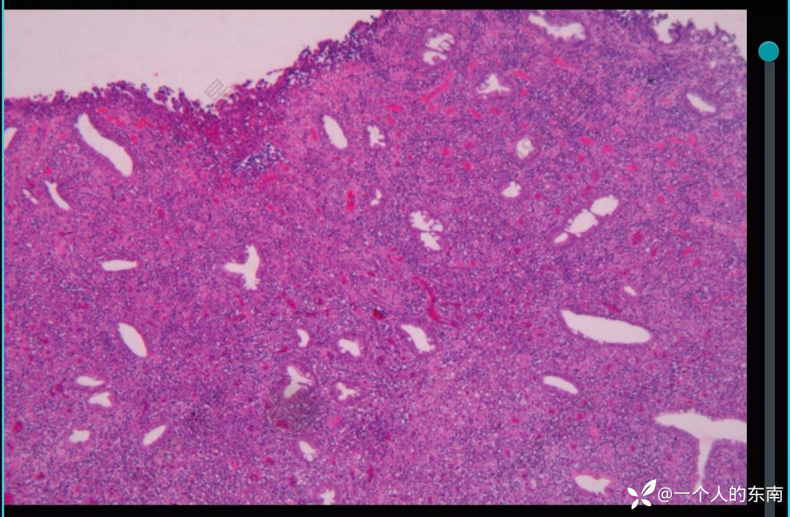
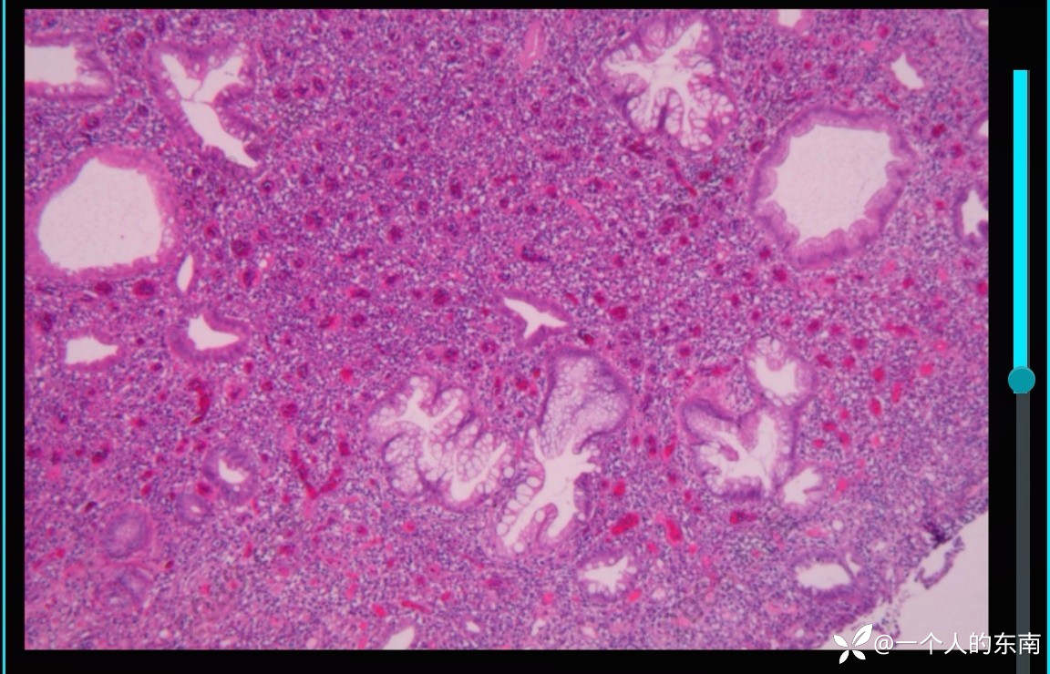
病理结果图片如下


大家认为这个病变会是什么性质的呢?
这个病变在BLI下观察的分型用NICE分型是否合理,应该分为几型呢?
西兰花饺子 推荐病例信息
63岁女性,体检胃肠镜,肠镜监查见多发息肉,其中肝曲见一直径约1.0cm亚蒂息肉,病变表面稍红,有少许血迹,近景观察表面私有粘液感,BLI观察见表面微结构、微血管欠清晰。





处理分析
内镜下符合0-Isp型,NICE分型考虑为2型?,决定行EMR切除
总结与讨论
病理结果图片如下


大家认为这个病变会是什么性质的呢?
这个病变在BLI下观察的分型用NICE分型是否合理,应该分为几型呢?
