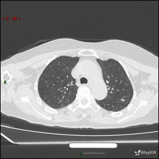
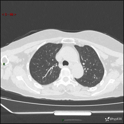
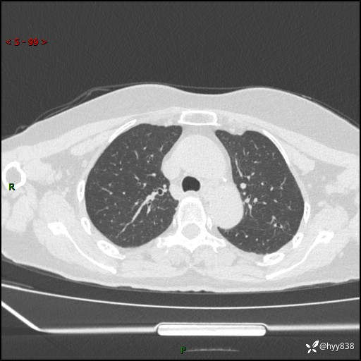
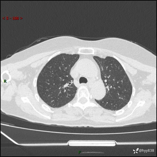
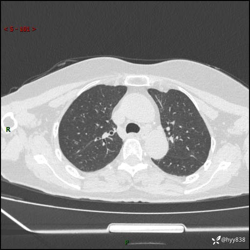
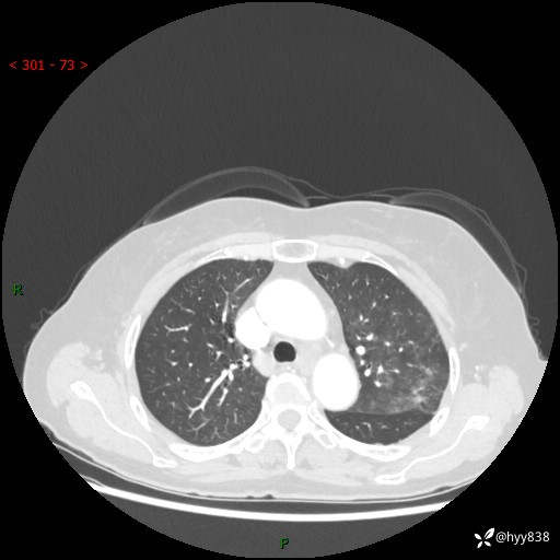
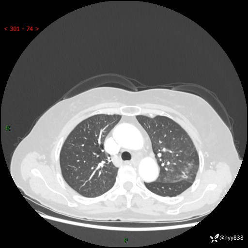
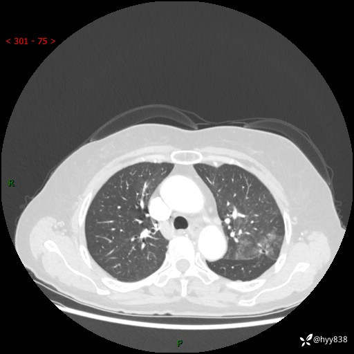
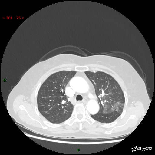
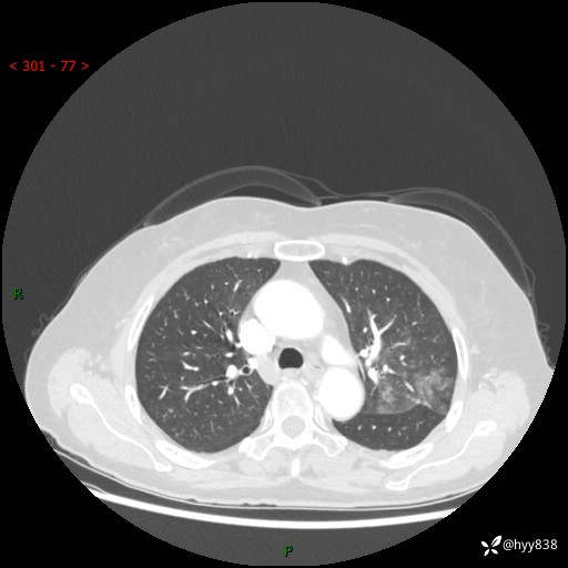
老年女性,偶然发现肺结节10天。结节不大,空洞不小,还牵拉胸膜---结果公布~
华夏览雄 等 2 位达人已点赞病例信息
性别:女
年龄:68岁
主诉:体检发现肺结节10余天
现病史:患者10余天前因“左侧鼻塞伴鼻腔异味2月”就诊于我院耳鼻喉科,查胸部CT示:左上肺结节影,建议复查。患者偶有咳嗽、咳痰,多咳白痰,无畏寒、发热,无胸痛、呼吸困难等,现为进一步明确肺结节性质,就诊于我科门诊。现以“孤立性肺结节”收住我科。 起病来,患者精神、食欲、睡眠尚可,体力、体重无明显变化。
胸部CT(2024.7.16)





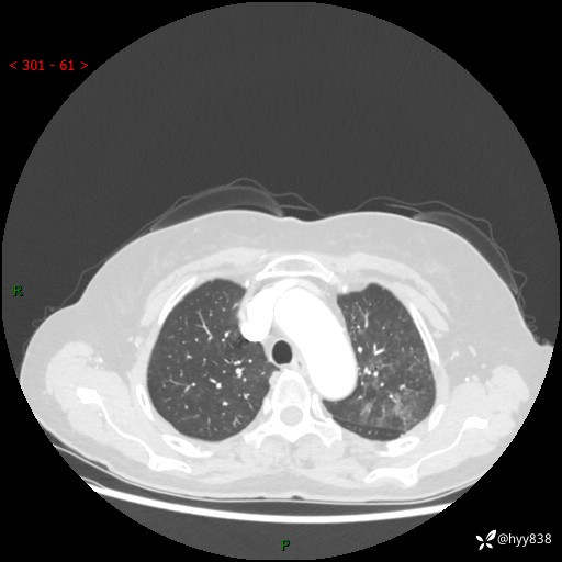
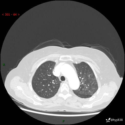
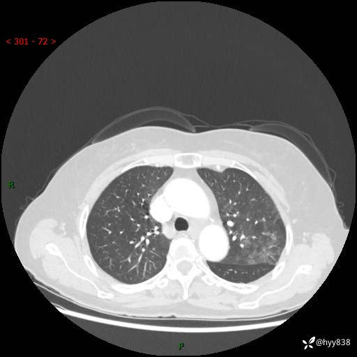
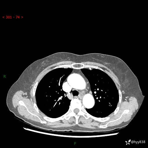
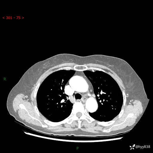
胸部CT增强(2024.8.2)






























































