病例分享 | 45岁女患,7年的病史,结合影像学,如何诊断?
1、患者:女, 年龄:45岁
2、主诉:走路不稳渐加重7年,饮水呛咳伴头晕2年渐加重。
3、简要病史:患者于入院前7年出现走路不稳,表现为行走右偏,逐渐加重,易跌倒、不能自理;近2年出现饮水呛咳、吞咽困难及头晕;病程伴有耳鸣、反应迟钝,无恶心、呕吐。既往否认高血压、否认糖尿病、否认冠心病。
4、体格检查:体温36.0℃,脉搏80次/分,呼吸20次/分,血压140/70mmHg。查体:神清,构音障碍;眼球运动自如,双水平性眼震,左视时明显;双侧瞳孔等大同圆,左:右=3mm:3mm,对光反射灵敏;双侧额纹对称,双侧鼻唇沟对称;伸舌居中;四肢肌力4级,肌张力减低,四肢腱反射亢进,双侧Babinski征阳性;粗测感觉未见明显异常;四肢共济运动完成差,左侧为著;脑膜刺激征阴性。
自理能力等级:30分,重度依赖(≤40分)。
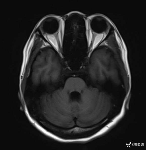
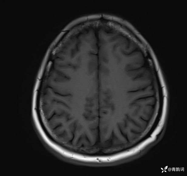
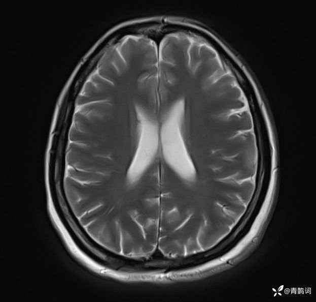
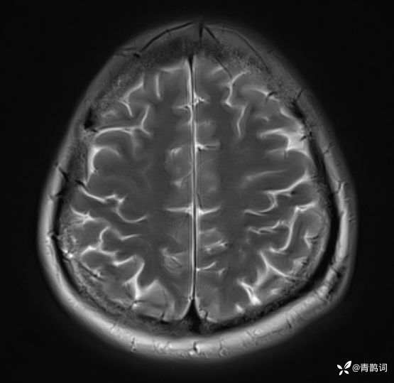
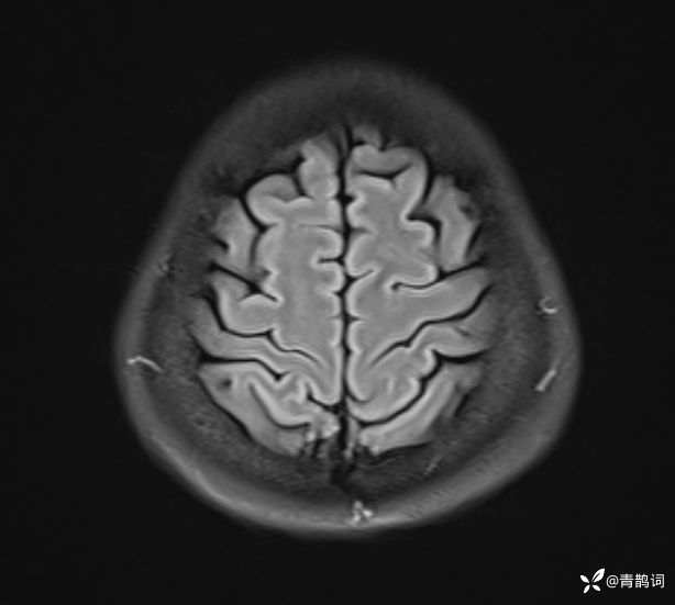
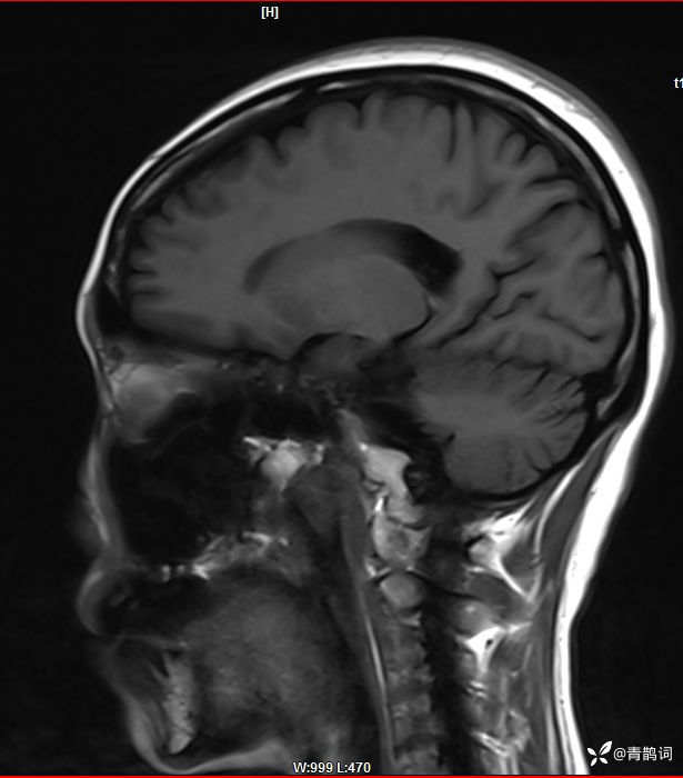
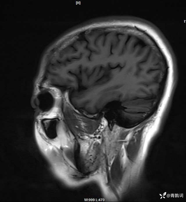
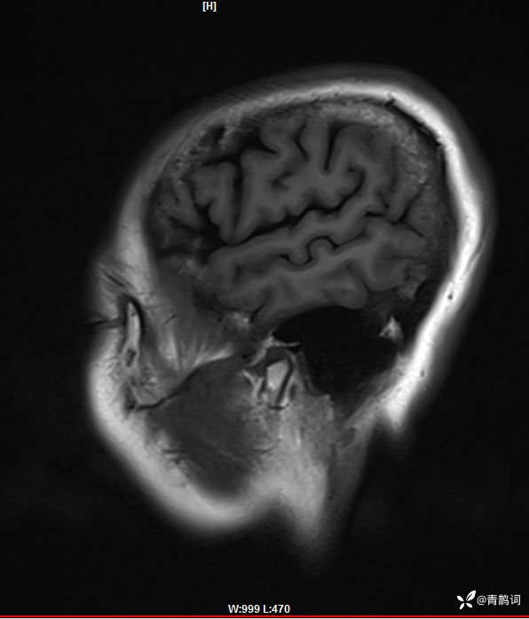
入院后完善磁共振:
T1:




















T2:




















FLAIR:



















矢状位:




















请结合病史及影像学资料,评论区留下你的精彩见解!
















































