dxy logo
首页丁香园病例库全部版块
搜索
登录

病例[每周胸片] 239  小姑娘正侧胸片 肺部病变位于哪个肺段,具体是什么基本病变?

影像核医学版达人 · 发布于 2024-07-23 · IP 广西广西
3.0 万 浏览
icon程先进 达人已点赞
这个帖子发布于 1 年零 93 天前,其中的信息可能已发生改变或有所发展。

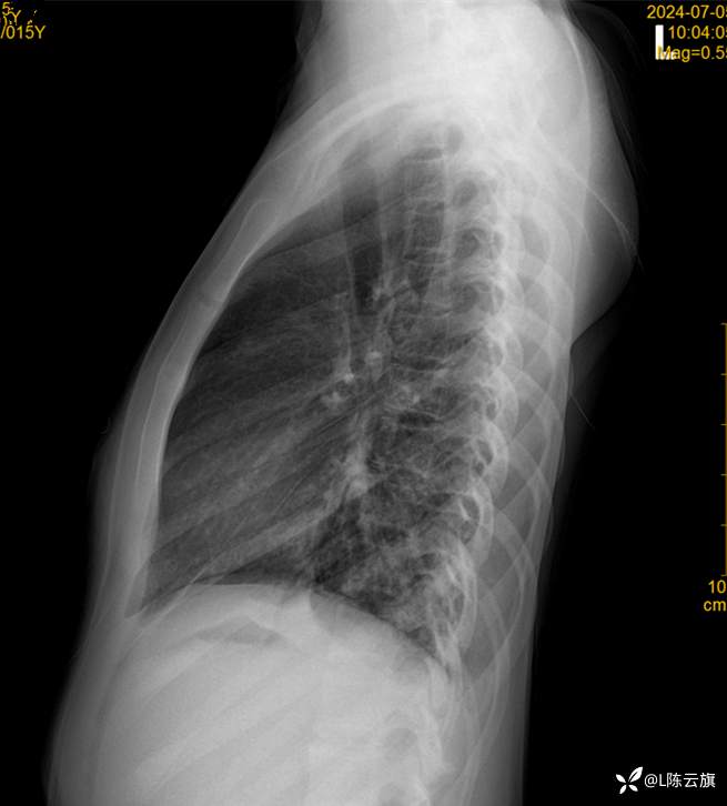
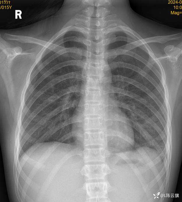
患者女,15岁,精神病住院患者,咳嗽、伴发热两天,余无特殊。

img
img
该帖还没有疾病标签去添加
12 3 17
同行评议(0)
已评议
不开通精选
开通精选
精选已授权,待上线
评议结果暂未公布
参与评议
去邀请
NaN
病例完整NaN
临床实用NaN
诊疗科学NaN
学术价值NaN

全部讨论(0)

默认最新
avatar
12
分享帖子
share-weibo分享到微博
share-weibo分享到微信
认证
返回顶部