没有肺功能可以直接上慢阻肺药物吗?
男性72岁,因发热3天复诊。
3天前发热,体温最高38度,外院查血常规CT后予头孢+地米输液2天。
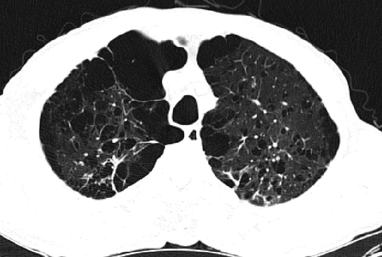
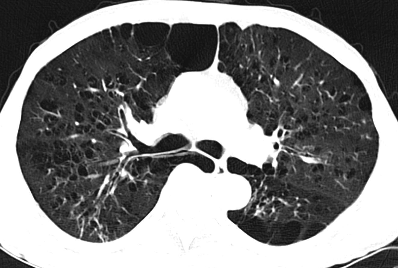
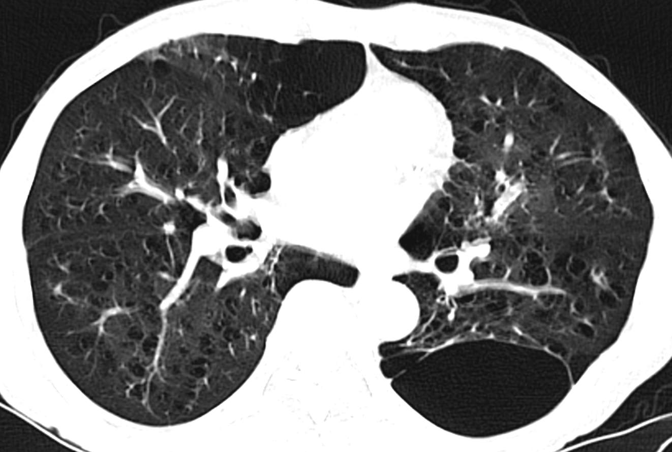
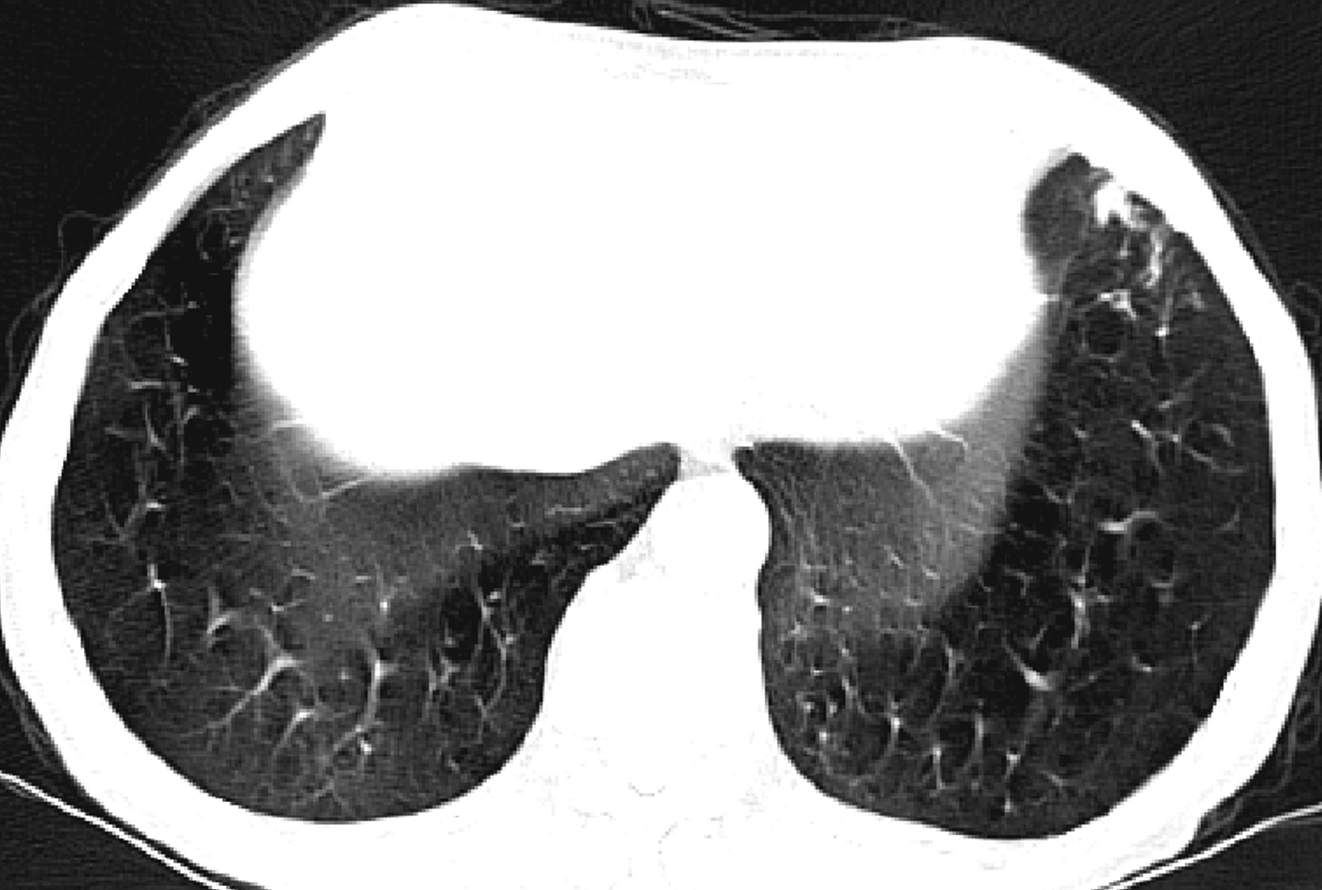
因CT明显异常而复诊。
询问患者近年来快走后有胸闷气急,休息片刻后可好转,日常每天有轻度咳嗽咳痰。
吸烟50包年,近2月开始戒烟。
查体:体温36.5度,无紫绀,无杵状指,无气促,两肺呼吸音低,无罗音。心率90次/分,齐,下肢无浮肿 。




血常规:

因患者有肺大泡,肺功能存在一定禁忌。
问题来了,能否诊断慢阻肺,是否先按慢阻肺治疗?如果用药,是选择ICS/LABA、LABA/LAMA还是三联LABA+LAMA+ICS?















































