患者金葡肺炎,菌血症,应用万古霉素及头孢唑林效果欠佳,由MSSA变成MRSA
李梦杰huxi 达人已点赞病例信息
患者男性,31岁,主因发热四周入院 现病史:患者入院四周前无明显诱因出现发热,体温最高39.6度,偶有畏寒寒颤,伴膝关节,髋关节及腰椎疼痛,伴乏力,无咳嗽咳痰,无胸闷憋气,无腹痛腹泻,无尿频尿急等伴随症状,自诉于当地诊所输液3天(具体不详),体温未见好转,为进一步治疗收入院。 既往体健。 否认烟酒不良嗜好 入院查体未见异常,淋巴结未触及肿大。入院后第二天出现右足背皮肤红肿,触痛,皮温高。 化验,血常规:白细胞8.04×109/L,淋巴细胞比13.3%,中性粒细胞比78.9%,血红蛋白129g/L,血小板213×109 /L,c反应蛋白88.29mg/L,前降钙素0.51ng/ml,D二聚体1340ng/ml,钾3.83mmol/L,钠135.2mmol/L,白蛋白34.4g/L。
处理分析
入院6.27血培养示金黄色葡萄球菌

于6.26-7.3应用利奈唑胺600mg q12h,6.29-7.3头孢唑林2.0g q8h,体温未控制,仍每日出现发热,体温最高39度,遂停用利奈唑胺,7.4改用万古霉素1.0g q8h。用药3天后体温控制,患者7.9自动出院。出院第二天再次出现发热,体温40度。患者于6.29诉胸痛,复查ct


7.9复查ct示


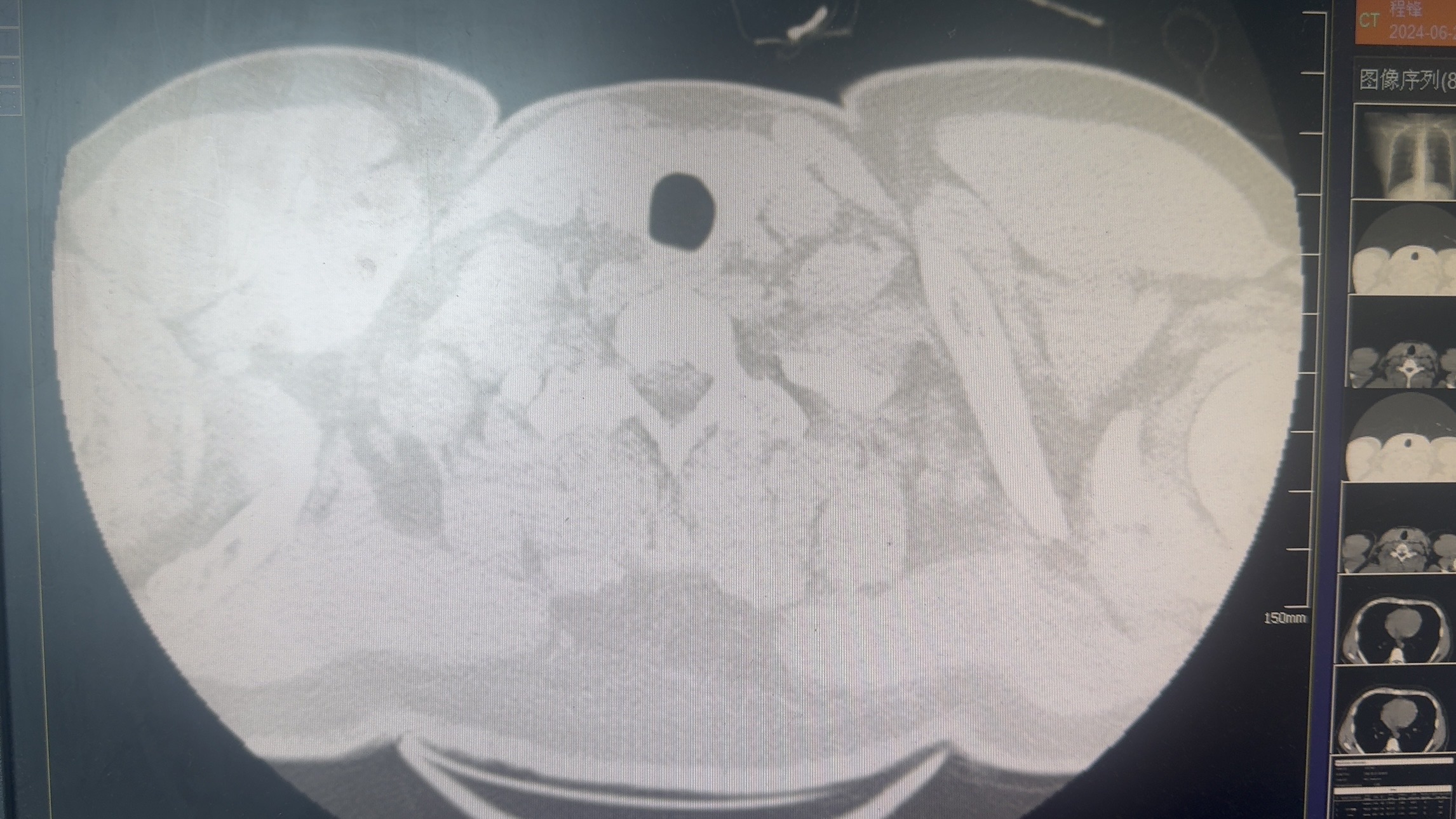
7.12再次入院,继续给予万古霉素及头孢唑林治疗,7.17再次出现发热,7.17-7.22每日均出现发热,体温最高40度。7.18复查ct


7.19血培养

总结与讨论
我们医院做不了万古霉素的浓度,患者起始治疗时治疗有效,后又开始出现发热,金葡菌由MSSA变成MRSA。治疗应该怎么更改















































