【影诊笔记773】头痛、头晕10天,CT、MRI齐全,请高诊!
男,42岁 0200825 02
主 诉:头痛、头晕10天
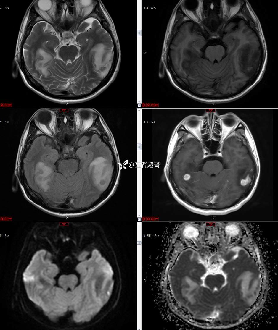
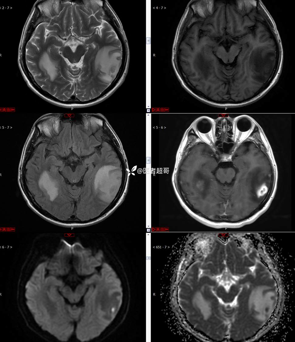
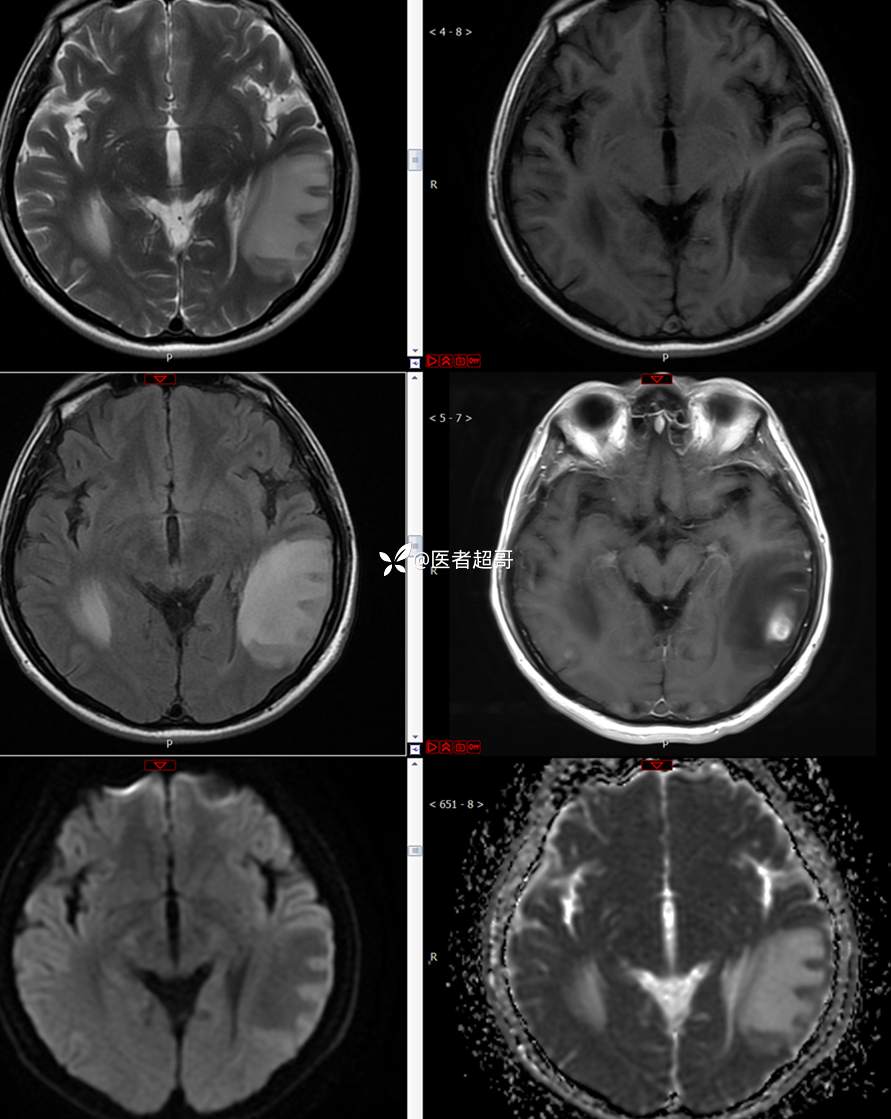
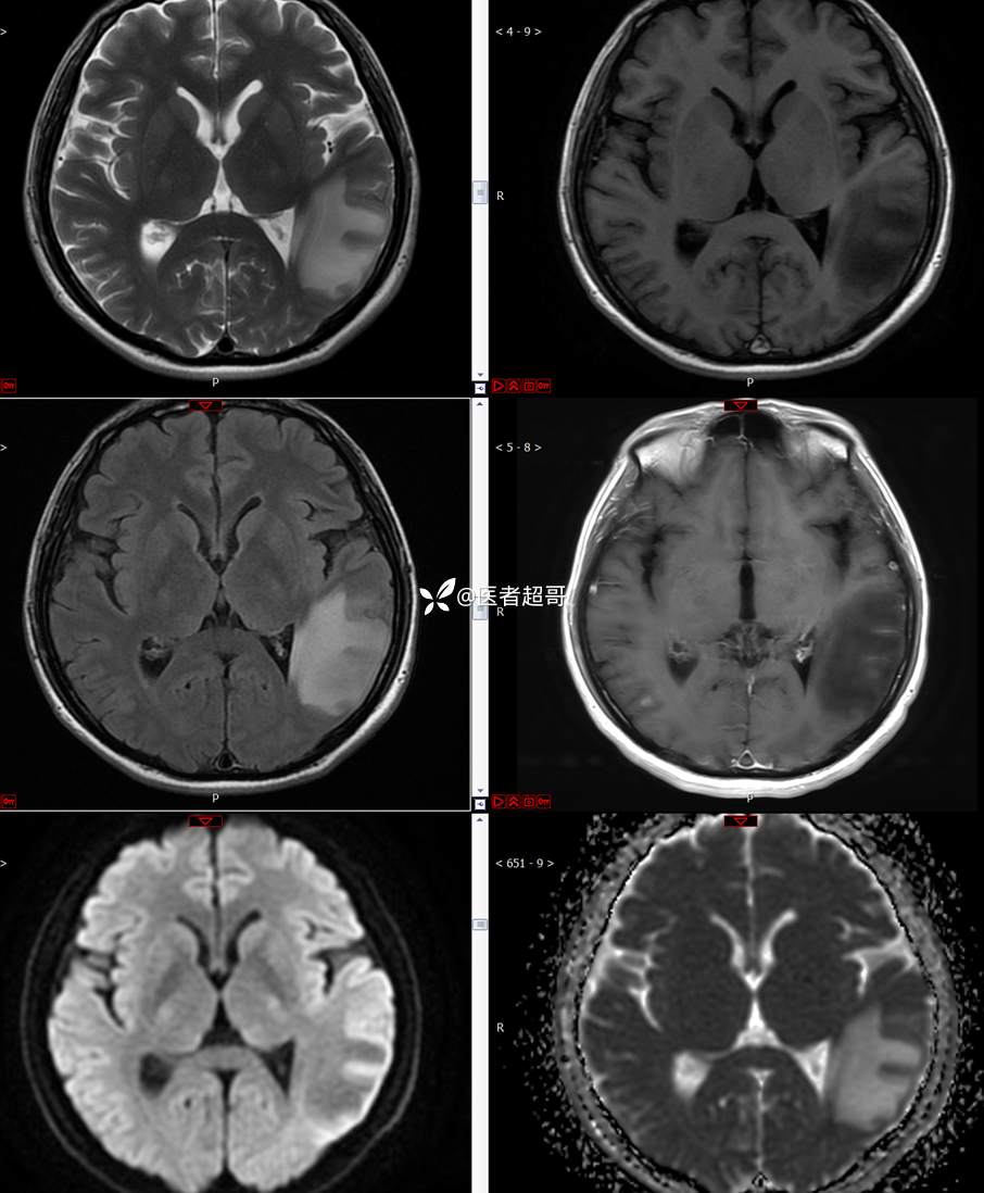
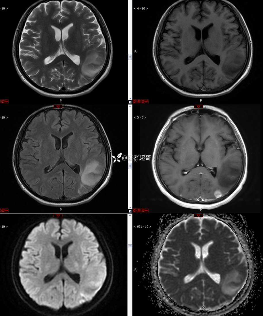
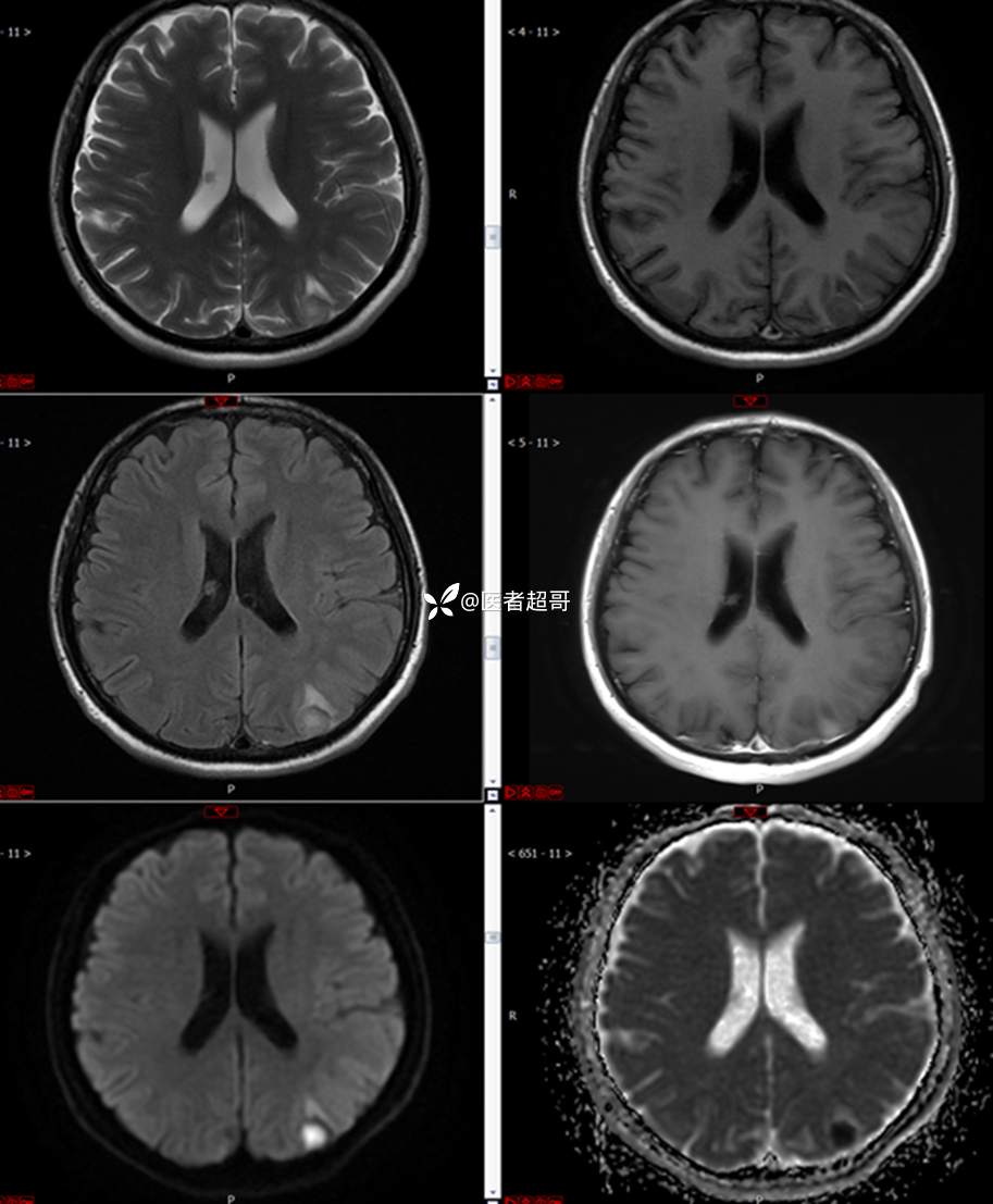
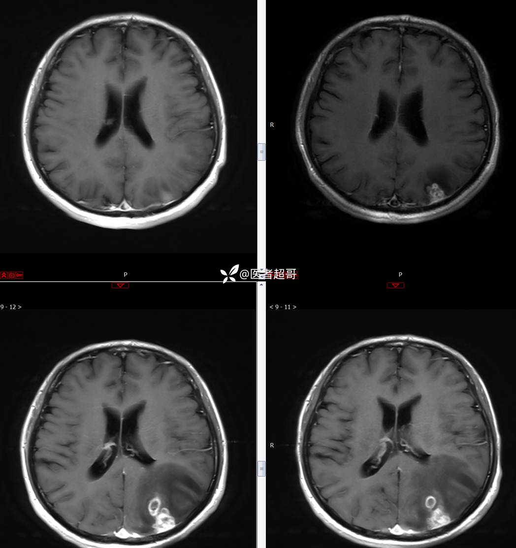
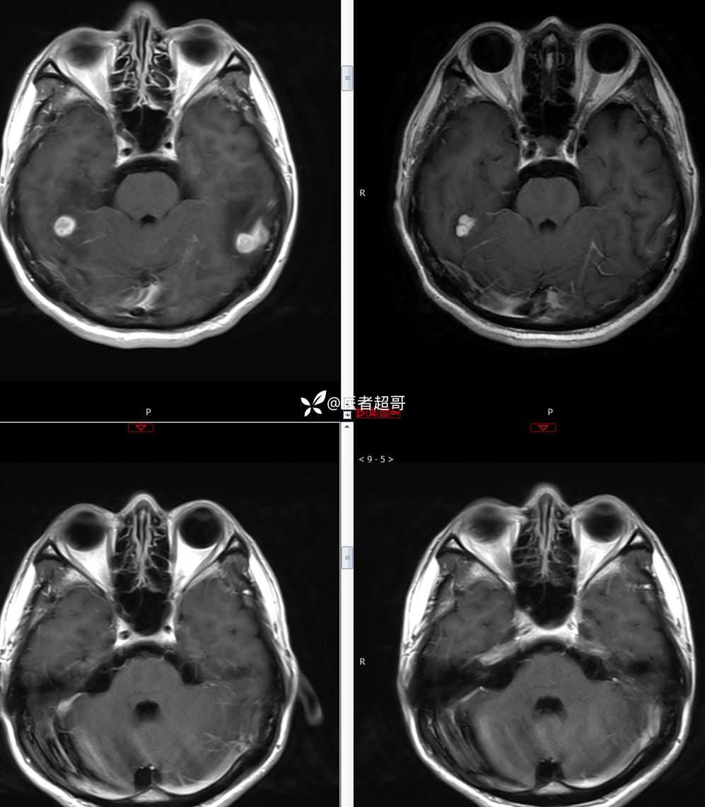
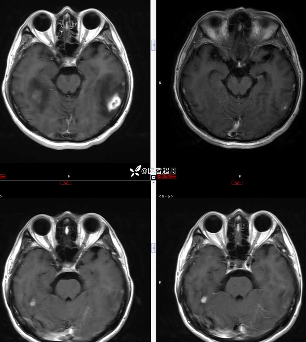
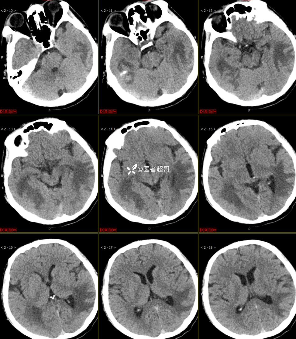
现病史:患者10天前无明显诱因感头痛、头晕,伴记忆力减退,无恶心、呕吐,无肢体抽搐及肢体活动不灵等,于我院就诊,行颅脑MR示颅内多发占位,现患者为求进一步治疗于我院就诊,以“颅内占位”收入我科。患者目前神志清,精神可,饮食、睡眠正常,体重无明显变化。
既往史:既往急性肝功能衰竭病史.










男,42岁 0200825 02
主 诉:头痛、头晕10天
现病史:患者10天前无明显诱因感头痛、头晕,伴记忆力减退,无恶心、呕吐,无肢体抽搐及肢体活动不灵等,于我院就诊,行颅脑MR示颅内多发占位,现患者为求进一步治疗于我院就诊,以“颅内占位”收入我科。患者目前神志清,精神可,饮食、睡眠正常,体重无明显变化。
既往史:既往急性肝功能衰竭病史.










