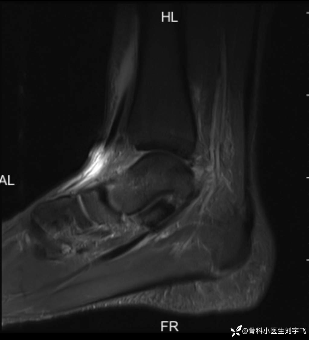
踝关节扭伤后,内外侧疼的很厉害,大家看一下这个核磁
病例信息
患者性别:男
患者年龄:17岁
主诉:踝关节疼痛伴活动受限
简要病史:一天前打篮球跳起来落地的时候垫脚扭伤,自述90度左右,
体格检查:内外侧踝关节压痛,胫前压痛
辅助检查:MRI X线










临床诊断:距腓前韧带撕裂 三角韧带损伤、胫骨前肌腱损伤?
处理分析
石膏固定?手术修补?
病例信息
患者性别:男
患者年龄:17岁
主诉:踝关节疼痛伴活动受限
简要病史:一天前打篮球跳起来落地的时候垫脚扭伤,自述90度左右,
体格检查:内外侧踝关节压痛,胫前压痛
辅助检查:MRI X线










临床诊断:距腓前韧带撕裂 三角韧带损伤、胫骨前肌腱损伤?
处理分析
石膏固定?手术修补?
