都是脑梗死遇上面瘫,诊断却大不同……
相信大家都听说过面瘫,但您是否知道它只是一种症状,并不是一种疾病。
同样是面瘫,却又有不一样的地方,您是否知道它们之间有什么区别呢?
遇到面瘫的患者您知道它究竟是什么疾病导致的吗?
今天我们介绍2个病例,都是脑梗死遇上面瘫,为啥第一个病例是2种疾病,而第二个病例是1种疾病呢?
病例1
患者男,85岁,既往冠心病、高血压、糖尿病史,以“发现言语不清1.5小时”为代主诉入院(患者为醒后卒中,具体发病时间不明,家属拒绝溶栓治疗,未溶栓)。
查体:言语不清,双侧额纹对称,眼裂等大,闭目有力,左侧鼻唇沟变浅,口角稍向右歪,伸舌居中,四肢肌力V级,肌张力正常,双侧巴氏征阳性。
头颅核磁如图1a、1b:

图1a

图1b
图1:左侧额叶点状梗死灶
给予抗血小板、降脂稳斑等治疗,次日,言语不清基本恢复正常,口角歪斜同前。
第3日,患者自觉左眼闭合不全,口角歪斜较前加重。
查体:言语清晰,左侧额纹变浅,左眼闭合不全,左侧鼻唇沟变浅,口角向右歪斜,伸舌居中,四肢肌力肌张力正常,双侧巴氏征阳性。
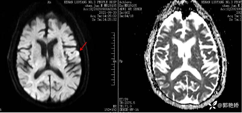
复查头MRI如图2a、2b:

图2a

图2b
图2:左侧额叶及半卵圆中心散在急性梗死灶
病例2
患者女,70岁,既往体健,以“头晕、行走不稳9小时”入院。
查体:言语清晰,双侧额纹对称,眼裂等大,闭目有力,双侧瞳孔等大等圆,光反射灵敏,眼球各方向运动不受限,无眼震,右侧鼻唇沟稍浅,伸舌居中,四肢肌力V级,肌张力正常,右侧肢体轻瘫试验阳性,共济无异常,双侧巴氏征阴性。
头颅核磁如图3:

图3:桥脑左侧份急性梗死灶
问
以上两例病例均有面瘫,那么有什么不一样呢?是否都能用同一个病来解释呢?
■ 病例1
病例1中上、下面部表情肌均瘫痪,叫做周围性面瘫——是指面神经核或其以下的面神经各段所致的面肌麻痹(下运动神经元损伤),病变可定位在颅内、颞骨或者腮腺等面神经走行区域。
周围性面瘫并非独立疾病,是许多疾病共有症状,周围性面瘫最常见疾病为急性面神经炎,主要是由于面神经在出颅的茎乳孔附近受损。
若病变位于面神经管内,鼓索支和镫骨肌支受损,会出现舌前味觉缺失,听觉过敏,周围性面瘫伴外耳道或鼓膜疱疹,这提示膝状神经节带状疱疹病毒感染,称为Hunt综合征。
其次病因还有外伤、慢性中耳乳突炎、肿瘤及卒中等,其病因及定位复杂。
■ 病例2
病例2中仅下面部表情肌均瘫痪,叫做中枢性面瘫——是指面神经核以上部位受损(上运动神经元损伤)。
脑干结构复杂且紧凑,脑神经核团及上下传导束排列密集,一般脑干病灶累及面神经核的同时,常伴患侧面神经核邻近结构受累,往往累及其他颅神经核团和(或)传导纤维,出现相应的症状。
Millard-Gubler综合征累及展神经和面神经,表现为周围性面瘫、展神经麻痹和对侧偏瘫。
Foville综合征为基底动脉深穿支闭塞累及脑桥旁中线网状结构和锥体束,表现为两眼向病灶侧凝视麻痹及对侧偏瘫。
若双侧脑神经同时受累也提示脑干内病变,因脑神经核在脑干相互邻近易同时受累。

图4 周围性面瘫vs中枢性面瘫[1]
揭晓诊断
到这里,相信大家对上述2例病例的诊断应该非常清楚了!
第一例诊断为:急性脑梗死合并左侧急性面神经炎。
动脉硬化性脑梗死合并面神经炎是指脑梗死发病17日内患有面神经麻痹。
曾有文献报道了8例患者中(中老年男性占多数),两病发病时间相距3-17天不等,多在10天内发生,从整体的预后来看,病程长,恢复差。机体患脑梗死后,免疫功能低下,抵抗力下降,引起病毒感染,特别是E、B病毒、带状疱疹病毒和麻疹病毒的感染,侵犯面神经,导致面神经脱髓鞘改变。
而这8例患者中面神经炎多发生在脑梗死病灶对侧,可能是因为对侧已患中枢性面瘫,下面部表情肌功能丧失或受到严重抑制,此时面神经更易被病毒侵犯,形成中枢性面瘫和周围性面瘫多在同侧发生。
第二例诊断为:脑桥中上部旁正中动脉供血区梗死。
由于病灶部位在面神经核的上方,可引起病灶对侧的中枢性面舌瘫,此病常表现为病灶对侧肢体麻木无力、中枢性面舌瘫和言语不清。
临床上无交叉体征,需与大脑半球病灶所致偏瘫相鉴别。
好了,通过以上的分享相信您对面瘫一定有了进一步的认识,不同的疾病治疗原则是不一样的,正确的分析是患者获益的前提,若是诊断错误,很可能导致病情延误。
图源:
[1]微信公众号“医学美图”,一图读懂丨周围性面瘫VS中枢性面瘫,2016-11-08 18:01
















































