病例分享|年纪轻轻,记忆力障碍,结合影像学,你考虑什么?
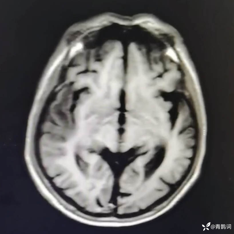
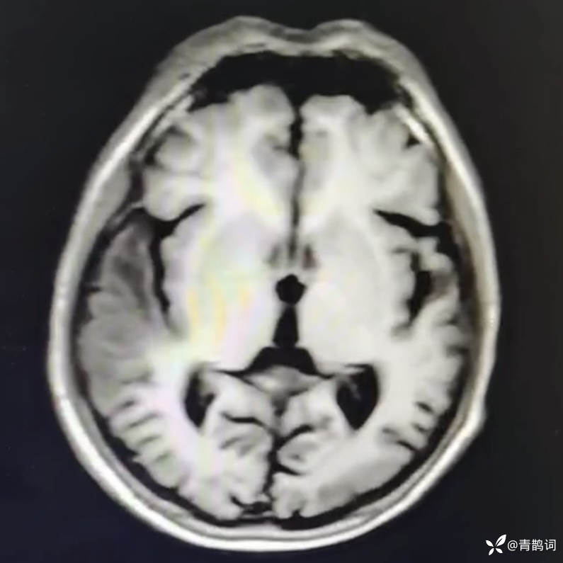
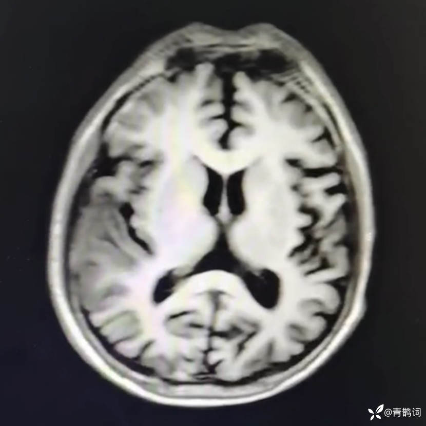
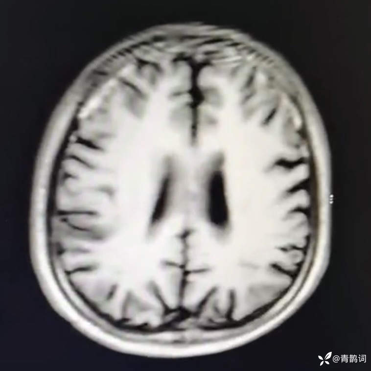
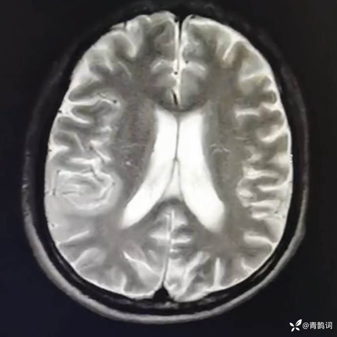
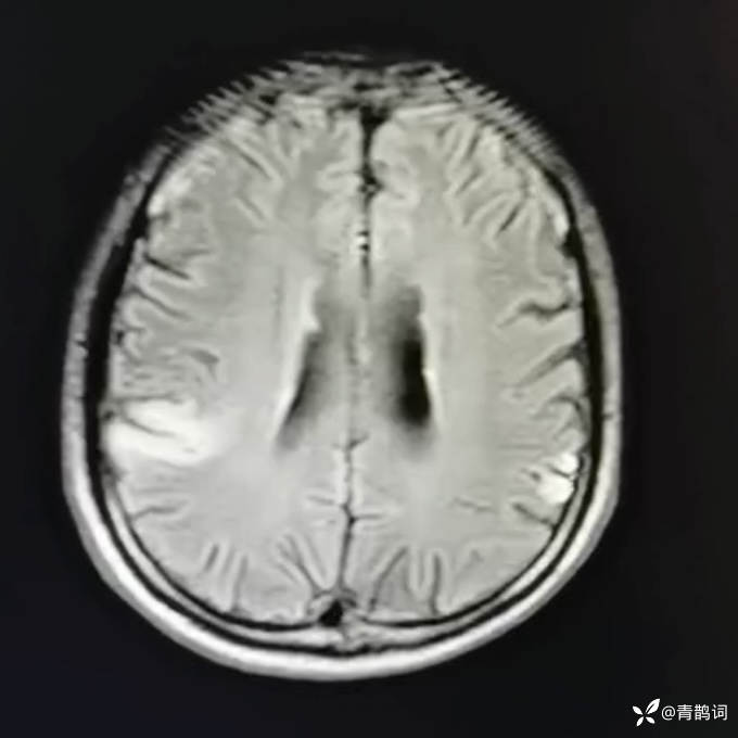
乐痴于医等 2人推荐简要病史:42岁男性,记忆力下降及听力下降一年余。既往体健,否认前驱感染病史。否认家族史。三个月前就诊于当地医院,自述腰穿脑脊液乳酸增高。现就诊于我院,查体记忆力下降,计算力下降,定时定向差,吟诗样语言。完善磁共振如下:
T1:











T2:













FLAIR:













DWI:
















讨论:1.结合患者影像学资料和临床资料,如何诊断?
2.患者小脑萎缩严重,和大脑半球的病灶之间有无关系?能否用一元论解释?
3.应该进一步完善哪些检查?
4.治疗手段有哪些?
















































